22/05/2002
Håndsymptomer som hævede og stive fingre er ofte en del af hverdagen for personer med psoriasisgigt (PsA), en autoimmun sygdom, der angriber led, ledbånd og sener. Faktisk oplever op til 50% af personer med PsA en type fingerhævelse kendt som daktylitis, ofte kaldet "pølsefingre". For nogle kan psoriasisgigt i hænderne dog udvikle sig til et punkt, hvor der opstår alvorlig ledskade. Et af de mest markante eksempler på dette er en tilstand kendt som pencil-in-cup deformitet. Selvom denne tilstand er sjælden og bliver stadig sjældnere takket være forbedrede behandlinger for psoriasisgigt, er det vigtigt at kende til den, vide hvad man skal holde øje med, og hvilke muligheder der findes, hvis man udvikler denne deformitet.

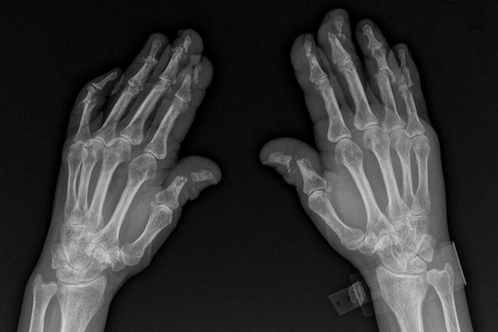
Hvad Er Pencil-in-Cup Deformitet?
Pencil-in-cup deformitet er en usædvanlig og alvorlig misdannelse af fingerleddene, som kan opstå ved meget aggressiv eller ubehandlet psoriasisgigt i hænderne. Navnet beskriver præcist, hvordan leddet ser ud på et røntgenbillede. Ved denne tilstand eroderer toppen af en mellemhåndsknogle (metacarpal) så meget, at den bliver tynd og spids som en blyant. Samtidig eroderer bunden af den overliggende fingerknogle i midten, mens den vokser i kanterne, hvilket skaber en hulning, der ligner en kop. Resultatet er et billede, der ligner en blyant, der er placeret i en kop. Dette er en unik manifestation af psoriasisgigt, fordi sygdommen både forårsager knogledestruktion (erosion) og ny knogledannelse (proliferation) i det samme led.
Det er en yderst sjælden tilstand. Mange reumatologer ser kun få, hvis nogen, tilfælde i løbet af deres karriere. Dette skyldes primært de store fremskridt inden for medicinsk behandling, som effektivt kan kontrollere inflammationen og forhindre den type alvorlig ledskade, der fører til pencil-in-cup. Hvis en læge opdager denne deformitet, er det et klart tegn på en meget aggressiv sygdom, hvilket kræver en hurtig og intensiv behandlingsindsats for at forhindre yderligere skade på det pågældende led og andre led i kroppen.
Symptomer på Pencil-in-Cup Deformitet
Tegnene på, at man kan have udviklet denne ledeformitet, ligner i høj grad de generelle symptomer på psoriasisgigt, men med et par karakteristiske træk. Vær opmærksom på følgende:
- Ledsmerter: Vedvarende og ofte intense smerter i de berørte fingerled.
- Stivhed: Markant stivhed, især om morgenen eller efter perioder med inaktivitet.
- Hævelse: Synlig hævelse omkring leddet, som kan være varmt at røre ved.
- Forkortning af fingeren: Efterhånden som knoglen nedbrydes, kan fingeren blive mærkbart kortere. Dette er et af de mest specifikke tegn.
- Nedsat bevægelighed: Betydelig begrænsning i evnen til at bøje og strække fingeren, hvilket påvirker gribefunktionen.
I de mest alvorlige tilfælde kan fingeren blive så slap, at den kan trækkes ud og skubbes sammen som et teleskop, et fænomen kendt som "teleskopfinger".
Årsager og Risikofaktorer
Den primære årsag til pencil-in-cup deformitet er ukontrolleret og aggressiv inflammation forårsaget af psoriasisgigt. Når immunsystemet fejlagtigt angriber kroppens egne led, kan den vedvarende inflammation føre til alvorlig nedbrydning af brusk og knogler.
Psoriasis Arthritis Mutilans
Pencil-in-cup er tæt forbundet med arthritis mutilans, som betragtes som den mest alvorlige og destruktive form for psoriasisgigt. Det anslås, at denne form rammer omkring 5% af alle med PsA. Blandt denne lille gruppe udvikler cirka 16% pencil-in-cup deformitet. Forekomsten er faldende, da målrettede biologiske lægemidler bliver mere udbredte til at håndtere selv svære tilfælde af sygdommen.

Andre Inflammatoriske Gigtsygdomme
Selvom det er stærkest associeret med psoriasisgigt, kan lignende forandringer i sjældne tilfælde ses ved andre inflammatoriske gigtsygdomme, såsom leddegigt (reumatoid artrit). Dog kan en reumatolog typisk skelne mellem de to, da mønsteret af ledinvolvering og den samtidige knoglenydannelse er karakteristisk for psoriasisgigt.
Diagnose: Et Røntgenfund
Diagnosen kan ikke stilles ved en almindelig fysisk undersøgelse alene. Selvom en læge kan have mistanke baseret på symptomer som en forkortet finger, er den endelige diagnose radiologisk. Det betyder, at den kun kan bekræftes via et røntgenbillede, som tydeligt viser den karakteristiske blyant- og kopformede erosion af knoglerne.
Hvis en person, der allerede er diagnosticeret med psoriasisgigt, klager over tiltagende fingersmerter eller nedsat funktion, vil en røntgenundersøgelse være det næste skridt for at vurdere skadens omfang. Hvis en person uden en kendt gigtdiagnose får taget et røntgenbillede, der viser pencil-in-cup, vil det øjeblikkeligt føre til en henvisning til en reumatolog for videre udredning, herunder blodprøver og en grundig undersøgelse for psoriasisgigt.
Behandlingsmuligheder for Pencil-in-Cup
Behandlingen fokuserer på to hovedområder: at stoppe den underliggende sygdomsaktivitet for at forhindre yderligere skade og at håndtere den eksisterende deformitet og dens konsekvenser.
1. Medicinsk Behandling
Fundet af en pencil-in-cup deformitet er et alarmsignal om, at sygdommen er aggressiv. Behandlingen vil derfor blive intensiveret med det samme. Målet er at få inflammationen under fuld kontrol så hurtigt som muligt.
- Sygdomsmodificerende Antireumatiske Lægemidler (DMARDs): Lægemidler som methotrexat kan bruges til at dæmpe immunsystemet.
- Biologiske Lægemidler: Da pencil-in-cup indikerer svær sygdom, vil reumatologer ofte gå direkte til de mere potente biologiske lægemidler (f.eks. TNF-hæmmere som adalimumab og infliximab). Disse lægemidler er meget målrettede og effektive til at stoppe den inflammatoriske proces, der ødelægger leddene.
2. Fysioterapi og Ergoterapi
Terapi er afgørende for at genvinde så meget funktion som muligt. En fysioterapeut kan hjælpe med øvelser for at forbedre bevægelighed og styrke. En ergoterapeut er specialiseret i at hjælpe med at tilpasse daglige aktiviteter, så de kan udføres med mindre smerte. De kan også tilpasse specialfremstillede skinner eller anbefale hjælpemidler, der kan aflaste leddet.
3. Kirurgi
På grund af den fremskredne skade henvises patienter med pencil-in-cup ofte tidligt til en håndkirurg for en vurdering. Tidlig kirurgisk intervention kan give bedre resultater. Operationen kan involvere at reparere beskadigede sener, stivgøre leddet i en funktionel position (artrodese) eller indsætte en ledprotese for at genskabe bevægelse. Valget af operation afhænger af skadens omfang og patientens individuelle behov.

Kan Skaden Omgøres?
Desværre er den knogleskade, der kendetegner pencil-in-cup, permanent og kan ikke omgøres. Medicinsk behandling kan stoppe yderligere progression og forhindre, at andre led bliver beskadiget, men den kan ikke genopbygge den tabte knogle. Kirurgi kan i mange tilfælde reparere leddet og gendanne en betydelig del af funktionen, men det er en behandling af symptomet, ikke årsagen. Derfor er den vigtigste lektie, at denne deformitet er et kraftigt tegn på, at psoriasisgigten ikke er under kontrol, og at effektiv behandling er absolut nødvendig.
| Karakteristik | Psoriasisgigt (PsA) | Leddegigt (RA) |
|---|---|---|
| Ledmønster | Ofte asymmetrisk, kan ramme yderled (DIP-led) | Typisk symmetrisk, rammer ofte mellemled og knoer |
| Knogleskade | Både erosion (nedbrydning) og proliferation (nydannelse) | Primært erosion |
| Specifik Deformitet | Pencil-in-cup, pølsefingre (daktylitis) | Svanehalsdeformitet, knaphulsdeformitet |
| Andre Symptomer | Hudpsoriasis, negleforandringer | Reumatoide noduli (gigtknuder) |
Ofte Stillede Spørgsmål (FAQ)
Er pencil-in-cup deformitet almindelig?
Nej, det er en meget sjælden komplikation. Takket være moderne og effektive behandlinger for psoriasisgigt ses den meget sjældnere i dag end tidligere. Den forekommer næsten udelukkende ved ubehandlet eller meget aggressiv sygdom.
Hvilken type læge behandler denne tilstand?
En reumatolog er den specialist, der diagnosticerer og styrer den medicinske behandling af den underliggende psoriasisgigt. Hvis kirurgi er nødvendig, vil man blive henvist til en ortopædkirurg, ofte med speciale i håndkirurgi.
Kan man forebygge pencil-in-cup?
Ja. Den bedste forebyggelse er tidlig diagnose og effektiv behandling af psoriasisgigt. Ved at holde inflammationen under kontrol med den rette medicin kan man forhindre, at den alvorlige ledskade opstår. Det er afgørende at tale med sin læge om alle nye eller forværrede symptomer.
Afsluttende Bemærkninger
At tale med din læge om nye eller forværrede symptomer på psoriasisgigt kan hjælpe dig med at opdage eventuelle ledskader så tidligt som muligt. På den måde kan du starte eller justere behandlingen for at afværge problemer, længe før en alvorlig deformitet som pencil-in-cup når at udvikle sig. Selvom det er et skræmmende billede på, hvad psoriasisgigt kan føre til, er det også en vigtig påmindelse om, hvorfor aggressiv og vedholdende behandling af sygdommen er så afgørende for at bevare leddenes funktion og livskvalitet.
Hvis du vil læse andre artikler, der ligner Pencil-in-Cup: Psoriasisgigts Sjældne Deformitet, kan du besøge kategorien Sundhed.
