08/08/2024
Systemisk lupus erythematosus (SLE), ofte blot kaldet lupus, er en kronisk autoimmun sygdom, hvor kroppens immunsystem fejlagtigt angriber sine egne væv og organer. Et af de mest alvorlige organer, der kan blive påvirket, er nyrerne. Når lupus forårsager betændelse i nyrerne, kaldes tilstanden lupus nefritis. Denne komplikation er alvorlig og kræver omhyggelig diagnose og behandling for at forhindre permanent nyreskade eller endda nyresvigt. At forstå symptomerne og behandlingsmulighederne er afgørende for patienter, der lever med SLE.

Symptomer på Lupus Nefritis: Hvad skal man være opmærksom på?
Symptomerne på lupus nefritis kan variere meget fra person til person og kan udvikle sig snigende. I de tidlige stadier er det muligt slet ikke at have nogen mærkbare symptomer, hvorfor regelmæssige lægekontroller er vitale for personer med lupus. Når symptomerne opstår, kan de omfatte:
- Hævelse (ødem): Dette er et af de mest almindelige tegn. Væskeophobning kan forårsage hævelse i ben, ankler, fødder og undertiden i hænderne eller omkring øjnene.
- Vægtøgning: Den uforklarlige vægtøgning skyldes den væske, kroppen holder på.
- Skummende urin: Når nyrerne lækker store mængder protein i urinen, kan urinen se skummende eller boblende ud. Dette kaldes proteinuri.
- Blod i urinen (hæmaturi): Urinen kan få en lyserød, rødlig eller cola-farvet nuance på grund af tilstedeværelsen af røde blodlegemer.
- Forhøjet blodtryk: Nyreskade kan føre til hypertension, som kan forværre nyreproblemerne yderligere.
- Generelle symptomer: Ofte vil symptomer på lupus nefritis ledsages af en generel opblussen af lupus-symptomer som træthed, feber, ledsmerter og udslæt.
Da disse symptomer kan være subtile, bliver lupus nefritis ofte opdaget gennem rutinemæssige urin- og blodprøver, der måler nyrefunktionen og tjekker for protein og blod i urinen.
Diagnose og Klassifikation: Nøglen til den rette behandling
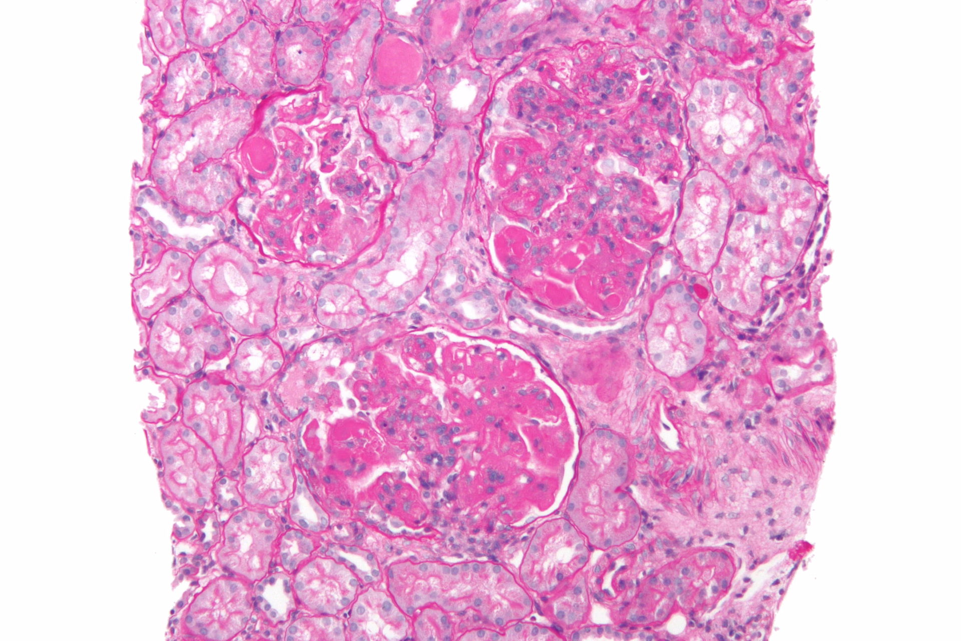
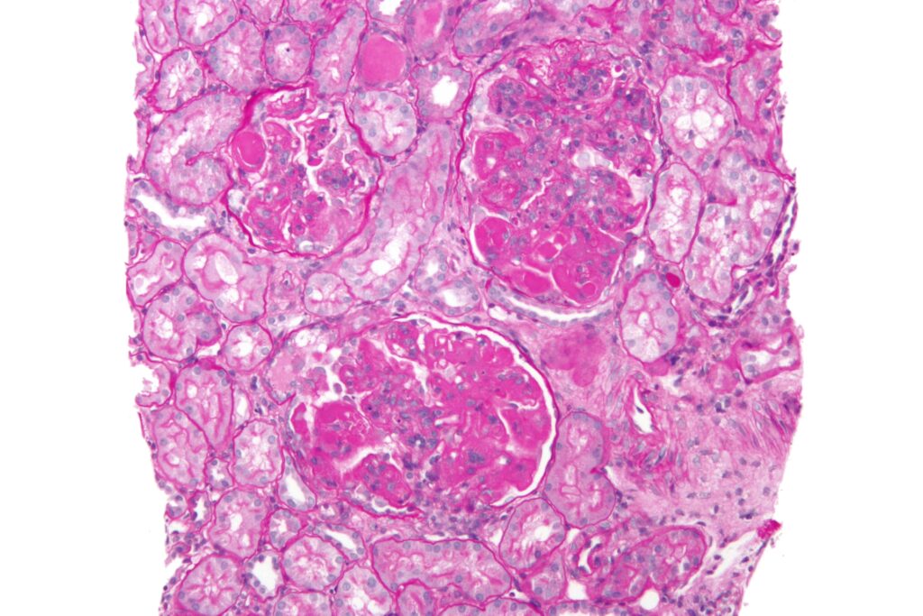
For at stille en præcis diagnose og bestemme den bedste behandlingsplan er en nyrebiopsi den gyldne standard. Under en biopsi udtages en lille vævsprøve fra nyrerne og undersøges under et mikroskop. Denne analyse hjælper lægerne med at klassificere lupus nefritis i forskellige klasser (I til VI) baseret på typen og omfanget af skaden. Behandlingen styres af denne histologiske klassifikation samt graden af sygdomsaktivitet og kronicitet.
To vigtige score-systemer bruges til at vurdere biopsien:
- Aktivitetsscore: Denne score beskriver graden af aktiv inflammation i nyrerne. Den ser på faktorer som cellevækst, nekrose (vævsdød), halvmånedannelser og infiltration af immunceller. En høj aktivitetsscore indikerer aktiv sygdom, der kræver aggressiv behandling.
- Kronicitetsindeks: Dette indeks beskriver graden af permanent ardannelse og skade, såsom glomerulosklerose (ardannelse i nyrernes filtre), fibrose og tubulær atrofi. Et højt kronicitetsindeks kan indikere, at skaden er uoprettelig, hvilket også påvirker behandlingsvalget.
Typisk er det klasse III og IV, der betragtes som de mest alvorlige proliferative former, som kræver intensiv immunsuppression for at forhindre progression til nyresvigt.
Behandlingsstrategier for Proliferativ Lupus Nefritis (Klasse III/IV)
Behandlingen af aktiv, proliferativ lupus nefritis er opdelt i to faser: en indledende (induktions-) fase for at slå inflammationen ned og en vedligeholdelsesfase for at holde sygdommen i ro.
Induktionsbehandling
Målet er at opnå en hurtig kontrol over inflammationen. Dette opnås normalt ved at kombinere højdosis kortikosteroider (som Prednison) med et andet immundæmpende lægemiddel. Prednison startes typisk i en dosis på 60-80 mg dagligt og nedtrappes gradvist over 6 til 12 måneder afhængigt af patientens respons.
De primære immundæmpende lægemidler, der anvendes i denne fase, er:
- Mycophenolat: En oral medicin, der er effektiv og generelt har færre systemiske bivirkninger end cyclophosphamid.
- Cyclophosphamid: Et stærkt immundæmpende middel, der gives intravenøst. Det er lige så effektivt som mycophenolat, men kan have mere alvorlige bivirkninger.
Nyere alternativer, som kan overvejes, inkluderer kombinationsbehandlinger med calcineurin-hæmmere (tacrolimus eller voclosporin) eller det biologiske lægemiddel belimumab.
| Lægemiddel | Administration | Fordele | Ulemper |
|---|---|---|---|
| Mycophenolat | Oral (piller) | Færre systemiske bivirkninger, nem at tage derhjemme. | Må ikke anvendes under graviditet. |
| Cyclophosphamid | Intravenøs (drop) | Lang erfaring med brug, meget effektiv. | Højere risiko for infektioner, blærecancer og infertilitet. |
Vedligeholdelsesbehandling
Når den akutte inflammation er under kontrol, overgår patienten til en vedligeholdelsesbehandling, der varer i mindst to år, og ofte længere, for at forhindre tilbagefald. Hvis cyclophosphamid blev brugt i induktionsfasen, skiftes der typisk til mycophenolat for at begrænse den langsigtede toksicitet. Mycophenolat foretrækkes generelt også frem for azathioprin til vedligeholdelse, da det har vist sig at have en lavere risiko for tilbagefald. Azathioprin er dog et vigtigt alternativ for patienter, der ønsker at blive gravide, da det anses for mere sikkert under graviditet. De fleste patienter fortsætter også med en lav dosis Prednison, som justeres efter sygdomsaktiviteten.
Behandling af Membranøs Lupus Nefropati (Klasse V)
For patienter med ren membranøs lupus nefropati (Klasse V), hvor hovedproblemet er stort proteintab i urinen, er der mindre enighed om den optimale behandling. Nogle eksperter vil begrænse brugen af immundæmpende medicin afhængigt af sværhedsgraden af proteinuri og biopsifund. Hvis patienten har en blanding af membranøs og proliferativ nefritis, behandles de dog efter de samme retningslinjer som for proliferativ nefritis alene.
Ofte Stillede Spørgsmål (FAQ)
- Er lupus nefritis helbredeligt?
- Lupus nefritis kan ikke helbredes, men det kan behandles effektivt. Målet med behandlingen er at opnå remission, hvilket betyder, at sygdommen er inaktiv. Med den rette behandling kan man forhindre permanent nyreskade og bevare en god nyrefunktion i mange år.
- Hvad er de største bivirkninger ved behandlingen?
- Da behandlingen involverer at dæmpe immunsystemet, er den største risiko en øget modtagelighed for infektioner. Kortikosteroider kan have mange bivirkninger, herunder vægtøgning, humørsvingninger, forhøjet blodsukker og knogleskørhed ved langvarig brug. Det er vigtigt at diskutere alle potentielle bivirkninger med din læge.
- Hvorfor er en nyrebiopsi nødvendig?
- En nyrebiopsi er den eneste måde, hvorpå lægerne præcist kan bestemme typen og sværhedsgraden af nyrebetændelsen. Denne information er afgørende for at skræddersy den mest effektive og sikre behandlingsplan for den enkelte patient.
- Kan jeg blive gravid, hvis jeg har lupus nefritis?
- Ja, det er muligt, men det kræver omhyggelig planlægning i tæt samarbejde med reumatologer og nefrologer. Sygdommen bør være i stabil remission i mindst seks måneder før undfangelse, og visse lægemidler (som mycophenolat) skal udskiftes med mere graviditetssikre alternativer (som azathioprin).
At leve med lupus nefritis kræver et tæt partnerskab mellem patient og læge. Tidlig opdagelse, korrekt diagnose og vedholdende behandling er afgørende for at beskytte nyrerne og sikre den bedst mulige livskvalitet. Ved at være opmærksom på symptomerne og følge den ordinerede behandlingsplan kan man effektivt håndtere denne alvorlige komplikation af lupus.
Hvis du vil læse andre artikler, der ligner Lupus Nefritis: Symptomer og Behandling, kan du besøge kategorien Sundhed.
