29/03/2024
Endometriose er en tilstand, som de fleste forbinder med smertefulde menstruationer og problemer i bækkenregionen. Det er defineret ved tilstedeværelsen af væv, der ligner livmoderslimhinden (endometriet), uden for livmoderen. Men i sjældne tilfælde kan dette væv dukke op på de mest uventede steder i kroppen, herunder i hjernen. Dette fænomen, kendt som cerebral endometriose, er en medicinsk sjældenhed, der udfordrer vores forståelse af sygdommen. Gennem et fascinerende casestudie om en 40-årig kvinde vil vi udforske, hvordan dette kan ske, hvilke symptomer det medfører, og hvordan læger diagnosticerer og behandler denne komplekse tilstand.

Hvad er Endometriose? En Grundlæggende Forklaring
For at forstå den cerebrale form, må vi først forstå den almindelige form for endometriose. Normalt vokser endometriet inde i livmoderen og afstødes hver måned under menstruationen. Hos kvinder med endometriose vokser lignende væv på steder som æggestokkene, æggelederne, og på overfladen af bækkenorganerne. Dette fejlplacerede væv reagerer på de samme hormonelle signaler som livmoderslimhinden; det vokser og bløder med menstruationscyklussen. Da blodet ikke kan forlade kroppen, kan det forårsage inflammation, arvæv (adhærencer) og cyster, hvilket fører til kroniske smerter, kraftige blødninger og i nogle tilfælde infertilitet.
Et Ekstraordinært Tilfælde: Da Diagnosen Pegede på Hjernen
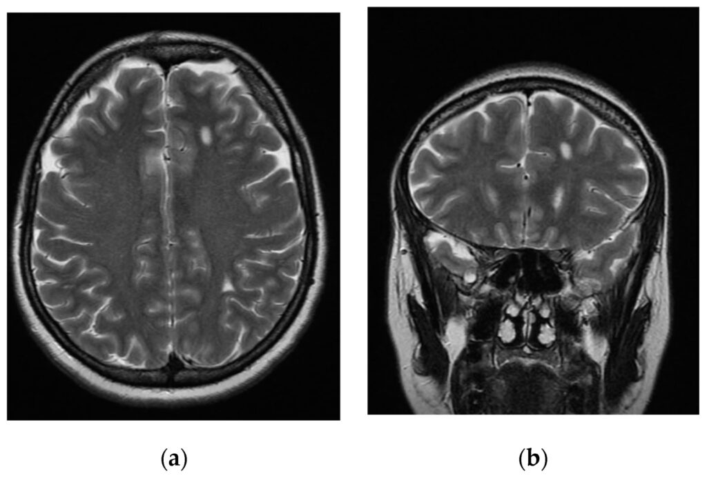
En 40-årig kvinde henvendte sig til lægen med nyligt opståede hovedpiner og gangbesvær. Hendes medicinske historie var allerede kompleks; hun led af medfødt hydrocephalus (vand i hovedet) og havde haft en ventrikuloperitoneal shunt – et dræn til at fjerne overskydende hjernevæske – siden hun var spæd. Lægernes første mistanke var, at shunten var blokeret.
En indledende CT-scanning viste dog, at hjernekamrene ikke var forstørrede. I stedet afslørede scanningen en ukendt masse i den bagerste del af hjernen, specifikt i lillehjernen. En efterfølgende og mere detaljeret MRI-scanning viste en multiloculeret cystisk masse med tegn på tidligere blødninger. Udseendet mindede bemærkelsesværdigt meget om endometriomer (også kendt som 'chokoladecyster'), der ofte ses i bækkenet hos kvinder med endometriose. Dette var dog et højst usædvanligt fund i hjernen.
Under operationen bekræftede kirurgerne massens cystiske natur. Indholdet var en chokoladefarvet væske, et klassisk tegn på gammelt blod, som er karakteristisk for endometriose. Massen blev succesfuldt fjernet, og kvindens symptomer forbedredes markant. Det mest overraskende var, at kvinden aldrig havde haft symptomer på bækkenendometriose, såsom cykliske smerter eller infertilitet. Den endelige mikroskopiske undersøgelse af vævet bekræftede diagnosen: endometriose.
Patogenese: Rejsen til Hjernen
Det store spørgsmål er: Hvordan kan livmodervæv ende i hjernen? Dette er kernen i forståelsen af patogenese ved ekstrapelvisk endometriose. Flere teorier eksisterer, men for fjerne steder som hjernen er nogle mere sandsynlige end andre.
De Førende Teorier
- Retrograd Menstruation: Den mest almindelige teori for bækkenendometriose, hvor menstruationsblod med endometrieceller flyder tilbage gennem æggelederne til bughulen. Denne teori forklarer dog ikke, hvordan cellerne kan nå hjernen.
- Metaplasi-teorien: Denne teori foreslår, at celler uden for livmoderen under visse omstændigheder kan omdanne sig til endometrieceller. Selvom det er teoretisk muligt, er det en mindre sandsynlig forklaring på en velafgrænset masse som i dette tilfælde.
- Hematogen spredning (via blodet): Dette er den mest plausible teori for endometriose på fjerne steder. Teorien går ud på, at endometrieceller trænger ind i blod- eller lymfekar, transporteres rundt i kroppen og sætter sig fast på et fjernt sted, hvor de kan vokse. Det fungerer på samme måde som kræftceller, der metastaserer.
I den specifikke sag med den 40-årige kvinde kan hendes ventrikuloperitoneale shunt have spillet en rolle. Shunten dræner væske fra hjernen til bughulen (peritoneum), hvor endometriose ofte findes. Det er teoretisk muligt, at endometrieceller fra bughulen er migreret retrogradt (baglæns) op langs shunten til hjernen. En anden mulighed er, at kvindens kejsersnit flere år tidligere kan have givet endometrieceller adgang til blodbanen.
Symptomer og Diagnose af Cerebral Endometriose
Symptomerne på endometriose i hjernen afhænger fuldstændigt af, hvor i hjernen massen er placeret, og hvor stor den er. Da det hormonfølsomme væv kan bløde i takt med menstruationscyklussen, kan symptomerne være cykliske og forværres på bestemte tidspunkter i måneden.
Mulige Symptomer Inkluderer:
- Kraftig hovedpine eller migræne
- Epileptiske anfald (kramper)
- Neurologiske udfald som lammelser, føleforstyrrelser eller synsforstyrrelser
- Balance- og koordinationsproblemer (som gangbesværet hos patienten i casestudiet)
- Kvalme og opkastning
Diagnosen er ekstremt vanskelig, da tilstanden er så sjælden. Læger vil typisk starte med neurologiske undersøgelser og billeddiagnostik som CT og især MRI. MRI-scanninger er særligt gode til at vise blødt væv og kan afsløre karakteristika, der tyder på blødning i massen. Den endelige og definitive diagnose stilles dog først efter en vævsprøve (biopsi) eller kirurgisk fjernelse, hvor en patolog kan undersøge vævet under et mikroskop.
Sammenligning: Bækkenendometriose vs. Cerebral Endometriose
For at give et klart overblik er her en tabel, der sammenligner de to manifestationer af sygdommen.
| Kendetegn | Bækkenendometriose (Almindelig) | Cerebral Endometriose (Sjælden) |
|---|---|---|
| Placering | Æggestokke, æggeledere, bughinde, tarm, blære. | Hjernevæv, oftest i lillehjernen eller hjernebarken. |
| Typiske Symptomer | Kroniske bækkensmerter, smertefuld menstruation, smerter ved samleje, infertilitet. | Hovedpine, epileptiske anfald, specifikke neurologiske udfald afhængigt af placering. |
| Primær Patogenese Teori | Retrograd menstruation. | Hematogen spredning (via blodet) eller lymfatisk spredning. |
| Diagnostisk Metode | Laparoskopi (kikkertoperation) er guldstandarden. Ultralyd og MRI bruges også. | MRI og CT-scanning efterfulgt af histologisk bekræftelse fra biopsi/operation. |
Ofte Stillede Spørgsmål
Hvor almindeligt er endometriose i hjernen?
Det er ekstremt sjældent. Der er kun et begrænset antal dokumenterede tilfælde i den medicinske litteratur på verdensplan. Det er så usædvanligt, at det sjældent overvejes som en primær diagnose.
Kan endometriose i hjernen være livstruende?
Ja. Som enhver anden masse, der vokser i hjernen, kan en endometriose-læsion øge trykket inde i kraniet, klemme på vitale hjernestrukturer og forårsage alvorlige neurologiske skader. Tidlig diagnose og behandling er afgørende for at undgå permanente skader og livstruende komplikationer.
Er der en sammenhæng mellem at have bækkenendometriose og risikoen for at få det i hjernen?
Der er ikke nødvendigvis en direkte sammenhæng. Som casestudiet viser, kan en person udvikle cerebral endometriose uden nogensinde at have haft symptomer på den almindelige bækkenform. Tilstedeværelsen af endometriose et sted i kroppen beviser dog, at cellerne har evnen til at vokse uden for livmoderen, hvilket teoretisk set øger risikoen, omend den stadig er ekstremt lav.
Hvordan behandles cerebral endometriose?
Den primære behandling er kirurgisk fjernelse af massen for at lindre trykket på hjernen og fjerne kilden til symptomerne. Efter operationen kan hormonbehandling (f.eks. p-piller, gestagener eller GnRH-agonister) overvejes for at undertrykke eventuelt tilbageværende mikroskopisk væv og forhindre, at det vokser igen, ligesom man behandler bækkenendometriose.
Konklusion
Casestudiet om den 40-årige kvinde med hovedpine og gangbesvær er en stærk påmindelse om kroppens kompleksitet og medicinens uendelige mysterier. Mens endometriose i hjernen er en yderst sjælden diagnose, understreger den vigtigheden af at tænke ud af boksen, når patienter præsenterer atypiske symptomer. Teorien om hematogen spredning giver den mest logiske forklaring på, hvordan denne tilstand kan opstå, og avancerede billeddiagnostiske teknikker er afgørende for at opdage den. Heldigvis, som det ses i dette tilfælde, kan en vellykket kirurgisk indgriben føre til en fuldstændig helbredelse og give patienten livet tilbage.
Hvis du vil læse andre artikler, der ligner Endometriose i hjernen: En sjælden medicinsk gåde, kan du besøge kategorien Sundhed.
