29/05/2022
Tungekræft er en form for kræft, der opstår i cellerne i tungen, og den hører under kategorien mund- eller oral kræft. Det er en alvorlig tilstand, men med tidlig opdagelse og behandling er prognosen ofte god. Kræft kan udvikle sig i to forskellige områder af tungen. Når den opstår i den forreste, synlige del af tungen, kaldes det oral tungekræft. Hvis kræften derimod udvikler sig bagerst på tungen, tættere på svælget, er det kendt som orofaryngeal kræft. Mange af de tidlige tegn kan være svære at skelne fra andre, mere almindelige lidelser som mundsår, hvilket kan forsinke diagnosen. Nogle mennesker oplever måske slet ingen symptomer i de tidlige stadier, hvilket understreger vigtigheden af regelmæssige tandlægebesøg.

Den mest almindelige type tungekræft udvikler sig i pladecellerne (squamous cells), som er de tynde, flade celler, der dækker tungens overflade. Dette fører til dannelsen af tumorer eller læsioner. At forstå symptomerne, risikofaktorerne og hvordan diagnosen stilles, er afgørende for at kunne handle hurtigt og effektivt.
Typiske Symptomer på Tungekræft
Symptomerne på tungekræft ligner ofte dem for andre former for mundkræft og kan være fraværende eller meget diskrete i begyndelsen. Det er vigtigt at være opmærksom på enhver forandring i munden, der ikke heler af sig selv inden for et par uger.
De mest almindelige tegn og symptomer inkluderer:
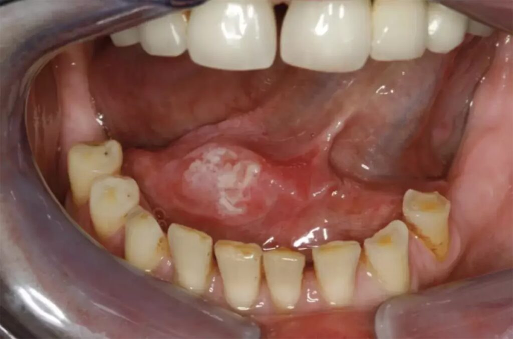
- Et vedvarende sår eller en knude på siden af tungen, som ikke heler og måske bløder let ved berøring.
- Smerter i munden eller på tungen, som kan være konstante eller komme og gå.
- Røde (erytroplaki) eller hvide (leukoplaki) pletter på tungen, som ikke kan skrabes af.
- Smerter ved synkning eller en følelse af, at noget sidder fast i halsen.
- Uforklarlig følelsesløshed i munden eller på tungen.
- En hævet tunge eller ændringer i tungens bevægelighed.
- Smerter, der stråler ud til øret.
- En mærkbar ændring i stemmen eller talebesvær.
Det er vigtigt at understrege, at disse symptomer ikke nødvendigvis betyder, at man har tungekræft. Mange andre tilstande kan forårsage lignende symptomer. Ikke desto mindre bør man altid søge læge eller tandlæge, hvis man oplever symptomer, der varer ved i mere end to uger.
Årsager og Kendte Risikofaktorer
Eksperter forstår endnu ikke fuldt ud, hvorfor nogle mennesker udvikler tungekræft. Sygdommen opstår, når der sker ændringer (mutationer) i cellernes DNA, hvilket får dem til at vokse ukontrolleret og danne en tumor. Der er dog en række kendte risikofaktorer, der markant øger sandsynligheden for at udvikle sygdommen.
De Vigtigste Risikofaktorer:
- Tobak: Rygning af cigaretter, cigarer, pibe samt brug af snus eller skråtobak er den største risikofaktor for mundkræft, herunder tungekræft.
- Alkohol: Et højt og regelmæssigt alkoholforbrug øger risikoen betydeligt. Kombinationen af rygning og et stort alkoholindtag er særligt farlig, da det øger risikoen op til 15 gange sammenlignet med personer, der hverken ryger eller drikker.
- Human Papillomavirus (HPV): Specielt HPV type 16 er en stigende årsag til kræft bagerst på tungen og i svælget (orofaryngeal kræft). Denne risikofaktor ses oftere hos yngre mennesker.
- Køn og Alder: Traditionelt har tungekræft været mere almindelig hos ældre mænd, ofte med en historik af rygning og alkoholforbrug. Dog ses der i de senere år en stigning i antallet af tilfælde hos yngre mennesker og kvinder, hvilket delvist kan tilskrives stigningen i HPV-relateret kræft.
- Dårlig kost: En kost fattig på frugt og grøntsager kan øge risikoen.
Hvordan Stilles Diagnosen?
Ofte er det en tandlæge, der først opdager potentielle tegn på mundkræft under en rutinemæssig undersøgelse. Hvis der findes unormale områder, vil patienten blive henvist til en specialist, typisk en øre-næse-hals-læge, for yderligere udredning.
Diagnoseprocessen omfatter normalt følgende trin:
- Fysisk Undersøgelse: Lægen vil omhyggeligt undersøge tungen, munden og halsen for knuder, sår eller andre unormale tegn. Lymfeknuderne på halsen vil også blive mærket efter for hævelser.
- Biopsi: Hvis der er mistanke om kræft, er en biopsi den eneste måde at stille en sikker diagnose på. Dette indebærer, at en lille vævsprøve fjernes fra det mistænkelige område. Prøven sendes derefter til et laboratorium, hvor en patolog undersøger cellerne under et mikroskop for at afgøre, om de er kræftceller.
- Billeddiagnostik: Hvis biopsien bekræfter kræft, vil lægen anbefale yderligere undersøgelser for at bestemme kræftens stadium og se, om den har spredt sig. Disse kan omfatte en CT-scanning, MR-scanning eller en PET-scanning. Disse scanninger giver detaljerede billeder af hoved- og halsområdet og resten af kroppen.
Stadieinddeling af Tungekræft (TNM-systemet)
Når diagnosen er stillet, klassificerer lægerne kræften i stadier. Stadieinddelingen er afgørende for at vælge den rette behandling og for at kunne sige noget om prognosen. Det mest anvendte system er TNM-systemet.
Bogstaverne står for:
- T (Tumor): Beskriver størrelsen på den primære tumor.
- N (Nodes/Lymfeknuder): Angiver, om kræften har spredt sig til nærliggende lymfeknuder på halsen.
- M (Metastaser): Viser, om kræften har spredt sig til andre dele af kroppen.
Tallene efter bogstaverne (0-4) angiver omfanget. For eksempel betyder T1 den mindste tumorstørrelse, mens T4 er den største. N0 betyder ingen spredning til lymfeknuder, mens N3 indikerer betydelig spredning. M0 betyder ingen fjernmetastaser, mens M1 betyder, at kræften har spredt sig.
Sammenligning af TNM-Stadier
| Parameter | Beskrivelse |
|---|---|
| T1 | Tumor er 2 cm eller mindre. |
| T2 | Tumor er mellem 2 og 4 cm. |
| T3 | Tumor er større end 4 cm. |
| T4 | Tumor er vokset ind i nærliggende strukturer (f.eks. kæbeben, hud). |
| N0 | Ingen spredning til lymfeknuder. |
| N1-N3 | Spredning til lymfeknuder i stigende omfang. |
| M0 | Ingen tegn på fjernmetastaser. |
| M1 | Kræften har spredt sig til fjerne organer (f.eks. lunger). |
Behandlingsmuligheder
Behandlingen for tungekræft afhænger af kræftens stadium, placering og patientens generelle helbred. Ofte involverer behandlingen en kombination af forskellige metoder.
- Kirurgi: Kirurgisk fjernelse af kræftvævet er den mest almindelige behandling. Operationen, hvor en del af eller hele tungen fjernes, kaldes en glosektomi. Kirurger vil altid forsøge at bevare så meget af tungen som muligt for at minimere påvirkningen af tale og synkefunktion. Hvis en stor del af tungen fjernes, kan der udføres rekonstruktiv kirurgi, hvor væv fra andre dele af kroppen bruges til at genopbygge tungen. Ofte fjernes også lymfeknuder på halsen (neck dissection) for at undersøge for spredning og forhindre tilbagefald.
- Strålebehandling: Højenergistråler bruges til at dræbe kræftceller. Strålebehandling kan bruges som primær behandling for små tumorer eller efter operation for at fjerne eventuelle tilbageværende kræftceller.
- Kemoterapi: Medicin, der dræber kræftceller i hele kroppen. Kemoterapi bruges ofte i kombination med strålebehandling (kemo-stråleterapi), især ved mere fremskredne stadier af sygdommen.
Ofte Stillede Spørgsmål
Hvad er de første tegn på kræft i tungen?
De tidligste tegn kan omfatte smerter i munden og en knude eller et sår på siden af tungen, der kan være smertefuldt, ikke heler og bløder let. Røde eller hvide pletter, der ikke forsvinder, er også et tidligt advarselstegn.
Kan tungekræft helbredes?
Ja, tungekræft kan helbredes, især når den opdages i et tidligt stadium. Succesraten afhænger af mange faktorer, herunder kræftens stadium ved diagnosen. Ifølge American Cancer Society overlever næsten alle med stadium 0 tungekræft, som endnu ikke har spredt sig, og kræver sjældent yderligere behandling efter den indledende fjernelse.
Spreder tungekræft sig hurtigt?
Tungekræft kan sprede sig hurtigt. Derfor er tidlig opdagelse afgørende, da stadiet ved diagnosen spiller en vital rolle for den femårige overlevelsesrate. En hurtig reaktion på symptomer kan forbedre prognosen markant.
Er tungekræft normalt dødelig?
Prognosen forværres, jo mere kræften har spredt sig. Personer med tungekræft i et tidligt stadium har typisk gode resultater. Overlevelsesraterne for tungekræft er generelt forbedret over tid takket være bedre diagnostiske metoder og behandlinger. Dog er fremskreden tungekræft stadig en meget alvorlig sygdom.
Hvor starter tungekræft normalt?
Tungekræft starter oftest i pladecellerne på tungens overflade, typisk på siderne af tungen. Kræft bagerst på tungen (orofaryngeal kræft) er ofte forbundet med HPV-infektion.
Hvis du vil læse andre artikler, der ligner Tungekræft: Symptomer, Diagnose og Behandling, kan du besøge kategorien Sundhed.
