24/03/2010
Et brækket ben er en alvorlig skade, der kan have stor indflydelse på din dagligdag. Heldigvis findes der i dag en række effektive behandlingsmetoder, der kan sikre, at knoglen heler korrekt, og at du genvinder din fulde funktion. Behandlingen afhænger i høj grad af, hvor på benet bruddet er placeret, og hvor komplekst bruddet er. Fra en simpel revne, der kun kræver hvile, til et kompliceret brud, der nødvendiggør kirurgisk indgreb, dækker denne artikel alt, hvad du behøver at vide om diagnosticering, behandling og genoptræning af et brækket ben.

Diagnose: Første skridt mod heling
Når du ankommer til skadestuen eller lægeklinikken med mistanke om et brækket ben, vil det første skridt være en grundig undersøgelse for at fastslå skadens omfang. Denne proces involverer typisk flere trin.
Fysisk undersøgelse
Lægen vil inspicere det skadede område for tydelige tegn på et brud. Dette inkluderer at kigge efter:
- Hævelse og ømhed: Området omkring bruddet vil ofte være meget hævet og smertefuldt ved berøring.
- Deformitet: Benet kan se forkert ud, have en unormal vinkel eller være kortere end det andet ben.
- Åbent sår: Hvis knoglen har gennembrudt huden, er der tale om et åbent brud, som kræver øjeblikkelig behandling.
- Nedsat bevægelighed: Du vil sandsynligvis have svært ved at bevæge eller belaste benet.
Billeddiagnostik
For at få et præcist billede af bruddet er billeddiagnostik afgørende. Røntgenbilleder er det mest almindelige og effektive værktøj til at identificere placeringen og typen af brud. I de fleste tilfælde er røntgenbilleder tilstrækkelige til at stille en diagnose. I mere komplekse tilfælde, eller hvis der er mistanke om et stressbrud, som ikke altid er synligt på et røntgenbillede, kan lægen bestille yderligere scanninger:
- CT-scanning (Computertomografi): Giver mere detaljerede tværsnitsbilleder af knoglen og kan være nyttig ved brud, der involverer et led.
- MR-scanning (Magnetisk Resonans Imaging): Er især god til at vise skader på bløddele som ledbånd, sener og muskler omkring bruddet.
Forstå de forskellige typer knoglebrud
Knoglebrud klassificeres ud fra flere faktorer, herunder om huden er brudt, og hvordan knoglen er brækket. At forstå typen af brud er afgørende for at vælge den rigtige behandling.
| Brudtype | Beskrivelse | Særlige kendetegn |
|---|---|---|
| Åbent brud | Knoglen har gennembrudt huden. | Høj risiko for infektion. Kræver øjeblikkelig kirurgisk behandling. |
| Lukket brud | Huden over bruddet er intakt. | Mindre risiko for infektion end ved åbne brud. |
| Forskudt brud | De brækkede knogleender er ikke på linje med hinanden. | Kræver ofte, at knoglen sættes på plads (reduktion), enten manuelt eller kirurgisk. |
| Komplet brud | Knoglen er brækket i to eller flere dele. | Kan være stabilt eller ustabilt afhængigt af bruddets art. |
| Ufuldstændigt brud | Knoglen er revnet, men ikke brækket helt over. | Også kendt som en "fissur" eller "hårgrænserevne". |
| Grønkvistfraktur | Knoglen bøjer og brister på den ene side, ligesom en frisk, grøn gren. | Ses oftest hos børn, da deres knogler er blødere og mere fleksible. |
Behandlingsforløbet for et brækket ben
Behandlingen starter normalt på en skadestue, hvor skaden vurderes, og benet stabiliseres. Den videre behandling afhænger af brudtypen.
Sætning af benet (Reduktion)
Hvis du har et forskudt brud, hvor knogleenderne ikke er på linje, skal de sættes korrekt på plads. Denne proces kaldes reduktion. I nogle tilfælde kan dette gøres manuelt af en læge uden operation (lukket reduktion). Efterfølgende anlægges en skinne eller gips for at holde knoglerne i den korrekte position, mens de heler. Ofte anlægges en skinne først for at give plads til, at hævelsen kan aftage, før der lægges en fast gips omkring benet.
Immobilisering: Gips og skinner
For at en knogle kan hele korrekt, skal den holdes i ro. Dette kaldes immobilisering. En gips eller en skinne er den mest almindelige metode til at opnå dette. Du vil sandsynligvis skulle bruge krykker eller en stok for at undgå at lægge vægt på benet i en periode, typisk i mindst seks uger, men det kan variere meget.
Medicin mod smerter og inflammation
Et knoglebrud er smertefuldt. Håndkøbsmedicin som paracetamol eller ibuprofen kan hjælpe med at lindre smerter og reducere inflammation. Hvis du oplever stærke smerter, kan din læge ordinere stærkere smertestillende medicin.

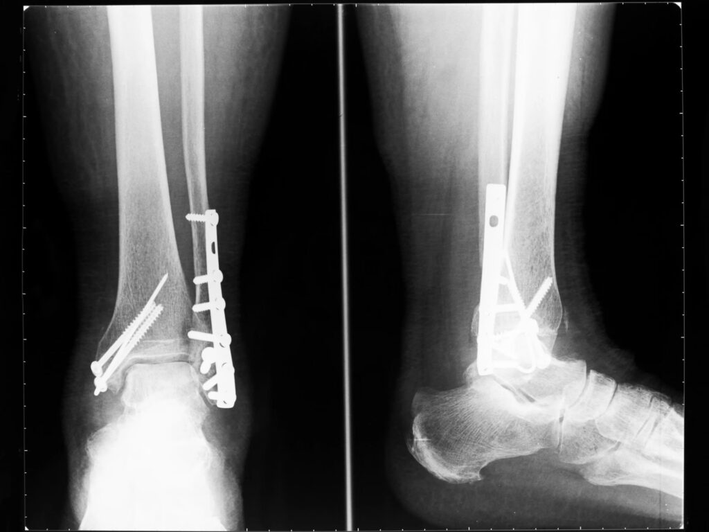
Kirurgi: Når gips ikke er nok
Selvom de fleste brud heler fint med immobilisering, kræver nogle skader kirurgi for at sikre den bedste heling. Kirurgisk indgreb er mere sandsynligt, hvis du har:
- Flere brud på samme knogle.
- Et ustabilt eller meget forskudt brud.
- Løse knoglefragmenter, der kan komme ind i et led.
- Skader på de omkringliggende ledbånd.
- Et brud, der strækker sig ind i et led.
- Et brud som følge af en knusningsskade.
Under operationen vil kirurgen implantere metalplader, stænger eller skruer for at holde knoglestykkerne i den korrekte position under helingen. Ved et brud på lårbenet (femur) er den mest almindelige operation at indsætte en lang metalstang (marvsøm) ned gennem midten af knoglen for at stabilisere den indefra. I andre tilfælde kan en ekstern fiksationsramme anvendes, hvor metalpinde føres gennem huden ind i knoglen og fastgøres til en ramme uden på benet. Denne ramme giver stabilitet og fjernes typisk efter 6-8 uger.
Genoptræning: Vejen tilbage til fuld funktion
Efter at gipsen eller skinnen er fjernet, begynder en af de vigtigste faser af din heling: genoptræning. Fordi du ikke har brugt dit ben i lang tid, vil musklerne være svækkede, og leddene vil være stive. Fysioterapi og genoptræningsøvelser er afgørende for at:
- Reducere stivhed og genoprette bevægeligheden i det skadede ben.
- Genopbygge muskelstyrken.
- Forbedre balance og koordination.
Genoptræning kan være en lang proces og kan tage flere måneder, især efter alvorlige skader. Det er vigtigt at være tålmodig og følge fysioterapeutens anvisninger nøje for at opnå det bedst mulige resultat.
Ofte Stillede Spørgsmål (OSS)
Hvor lang tid tager det for et brækket ben at hele?
Helingstiden varierer meget afhængigt af bruddets type, din alder og dit generelle helbred. En simpel knogleheling tager typisk 6-8 uger for voksne, men det kan tage betydeligt længere tid, før du genvinder fuld styrke og funktion – ofte 3 til 6 måneder eller endnu længere for komplekse brud.
Kan jeg gå på et brækket ben?
Nej, du bør aldrig belaste et ben, du mistænker er brækket. Følg altid din læges anvisninger om, hvornår og hvor meget vægt du må lægge på benet. At belaste benet for tidligt kan forsinke helingen eller forårsage, at knoglen heler i en forkert position.
Skal metalplader og skruer fra en operation fjernes igen?
I mange tilfælde bliver implantaterne siddende permanent i kroppen uden at give problemer. De fjernes kun, hvis de forårsager smerte, irritation eller andre komplikationer. Dette er en beslutning, du vil træffe i samråd med din ortopædkirurg.
Hvad er de mest almindelige komplikationer?
De mest almindelige komplikationer inkluderer infektion (især ved åbne brud eller operation), blodpropper på grund af immobilitet, forsinket heling eller manglende heling af knoglen, samt langvarig stivhed eller smerte. Det er vigtigt at kontakte din læge, hvis du oplever tegn på komplikationer som feber, øget rødme, hævelse eller stærke smerter.
Hvis du vil læse andre artikler, der ligner Behandling af et brækket ben: En komplet guide, kan du besøge kategorien Sundhed.
