16/05/2015
Xanthogranulomatøs inflammation, ofte forkortet som XP, er en særlig og relativt sjælden form for kronisk betændelse, der kan opstå i forskellige væv og organer i kroppen. Selvom navnet kan lyde kompliceret, beskriver det en proces, hvor immunsystemet reagerer på en måde, der fører til en ophobning af specifikke immunceller, især såkaldte skummende makrofager. Denne tilstand er vigtig at forstå, ikke kun på grund af dens natur, men også fordi den klinisk og radiologisk ofte kan efterligne mere alvorlige tilstande som kræft, hvilket kan skabe stor bekymring og diagnostiske udfordringer for både patienter og læger.

Denne artikel vil dykke ned i, hvad den xanthogranulomatøse proces indebærer, hvor i kroppen den typisk findes, hvordan den diagnosticeres, og hvad vi ved om dens årsager. Vi vil også se på et specifikt eksempel, Adult Orbital Xanthogranulomatøs Sygdom (AOXD), for at illustrere tilstandens kompleksitet.
Hvad Er en Xanthogranulomatøs Proces (XP)?
For at forstå XP, må vi først se på de involverede celler. Vores immunsystem har celler kaldet makrofager, som er kroppens "skraldemænd". De rydder op i døde celler, affaldsstoffer og bekæmper infektioner. I en xanthogranulomatøs proces sker der en overdreven reaktion, hvor makrofager optager store mængder fedtstoffer (lipider) fra ødelagt væv. Dette får dem til at svulme op og se "skummende" ud under et mikroskop. Derfor er tilstedeværelsen af disse skummende makrofager et centralt kendetegn ved diagnosen.
Processen er en blanding af både akut og kronisk inflammation. Den involverer ofte:
- Suppuration (pusdannelse): En ophobning af døde hvide blodlegemer og væske.
- Hæmoragi (blødning): Små blødninger i det betændte væv.
- Nekrose (vævsdød): Celler i området dør som følge af inflammationen eller den oprindelige skade.
Som reaktion på denne skade dannes der granulomatøst væv, som er en organiseret samling af immunceller. Over tid kan dette føre til dannelse af arvæv (fibrose), hvilket resulterer i en hård, tumorlignende masse. Det er denne masse, der ofte skaber den diagnostiske forvirring.
Hvor i Kroppen Opstår Xanthogranulomatøs Inflammation?
Selvom XP teoretisk set kan opstå overalt, er der nogle organer, hvor det ses hyppigere end andre. Oprindeligt blev tilstanden primært beskrevet i nyrerne og galdeblæren, men listen over berørte steder er vokset betydeligt med tiden.
De mest almindelige steder er:
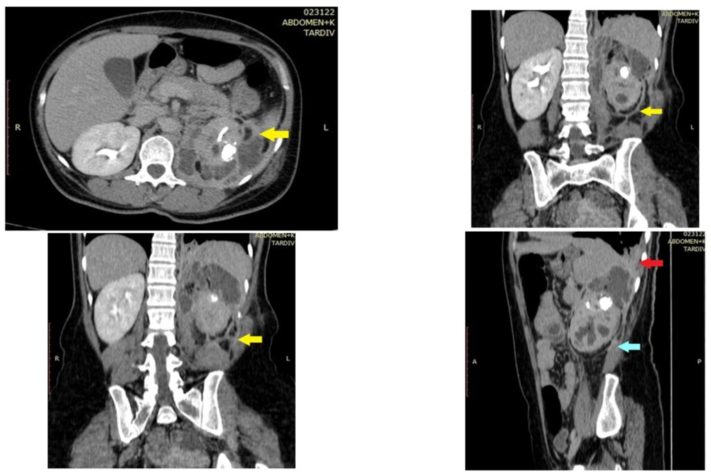
- Nyrerne (Xanthogranulomatøs Pyelonefritis): Ofte forbundet med kroniske urinvejsinfektioner og nyresten, der blokerer urinstrømmen. Inflammationen kan ødelægge nyrevævet og få det til at ligne en nyretumor.
- Galdeblæren (Xanthogranulomatøs Cholecystitis): Typisk en komplikation til kronisk betændelse i galdeblæren (cholecystitis), ofte i forbindelse med galdesten.
Tilstanden er dog også blevet beskrevet i en lang række andre organer, hvilket understreger dens systemiske potentiale. Nedenstående tabel giver et overblik over almindelige og sjældnere lokationer.
| Kategori | Specifikke Lokationer |
|---|---|
| Hyppige Lokationer | Nyrer, galdeblære |
| Mindre Hyppige Lokationer | Testikler, epididymis (bitestikel), æggestokke, æggeledere, lunger, bronkier |
| Sjældne Lokationer | Mavesæk, tarm, bugspytkirtel, livmoder, skede, knogler, lymfeknuder, blære, binyre, muskler, hud og øjenhule (orbita) |
Adult Orbital Xanthogranulomatøs Sygdom (AOXD): Et Specifikt Eksempel
En af de mere sjældne og komplekse manifestationer af XP er Adult Orbital Xanthogranulomatøs Sygdom (AOXD). Dette er en form for non-Langerhans celle histiocytose, en gruppe sygdomme karakteriseret ved en unormal ophobning af immunceller kaldet histiocytter. Ved AOXD sker denne proces i øjenhulen (orbita), hvilket kan føre til symptomer som hævelse omkring øjet, dobbeltsyn, smerter og nedsat syn.
Patofysiologien bag AOXD er stadig ukendt. Forskning, som publiceret i Canadian Journal of Ophthalmology, har undersøgt en mulig sammenhæng mellem AOXD og myoton dystrofi type 2, en arvelig muskelsygdom. Det er endnu uklart, om der er en direkte årsagssammenhæng, eller om de to sjældne sygdomme blot tilfældigvis kan forekomme hos den samme patient. Dette forskningsområde illustrerer, hvor komplekst og ufuldstændigt forstået dette sygdomsspektrum stadig er.
Diagnostiske Udfordringer: Inflammation eller Tumor?
Den største kliniske udfordring ved den xanthogranulomatøse proces er dens evne til at efterligne en ondartet tumor. På billeddiagnostiske undersøgelser som CT- eller MR-scanninger kan XP fremstå som en invasiv, solid masse, der er svær at skelne fra kræft. Dette skaber en betydelig diagnostisk udfordring.

Derfor er den endelige diagnose næsten altid afhængig af en vævsprøve (biopsi). Når vævet undersøges under et mikroskop af en patolog, kan de karakteristiske skummende makrofager, blandet med andre inflammatoriske celler og tegn på nekrose, bekræfte, at der er tale om en godartet inflammatorisk proces og ikke kræft. Denne afklaring er afgørende for at undgå unødvendigt aggressive behandlinger, som f.eks. omfattende kirurgi eller kemoterapi.
Processen kan også overlappe med eller ligne andre histiocytære og inflammatoriske lidelser, såsom Rosai-Dorfman sygdom, malakoplaki og inflammatorisk myofibroblastisk tumor, hvilket yderligere komplicerer diagnosen.
Mulige Årsager og Patogenese
Den præcise årsag til XP er ikke fuldt ud forstået, men det menes at være en reaktiv proces, der udløses af en kombination af faktorer. En mulig model for, hvordan sygdommen udvikler sig, er som følger:
- Udløsende Faktor: Processen starter ofte med en lokal vævsskade. Dette kan være forårsaget af en langvarig infektion, en blokering (f.eks. en nyre- eller galdesten), blødning eller nedsat blodforsyning.
- Vævsdød (Nekrose): Den indledende skade fører til, at celler dør og frigiver deres indhold, herunder store mængder fedtstoffer.
- Immunrespons: Kroppens immunsystem reagerer kraftigt på vævsskaden. Makrofager tiltrækkes til området for at rydde op.
- Dannelse af Skummende Makrofager: Makrofagerne opsluger de frigivne fedtstoffer, hvilket giver dem deres karakteristiske skummende udseende.
- Kronisk Inflammation og Fibrose: Den vedvarende inflammation og oprydningsproces fører til dannelse af granulomer og med tiden arvæv, som skaber den faste, tumorlignende masse.
Denne model forklarer, hvorfor tilstanden ofte ses i forbindelse med kroniske infektioner og obstruktioner, da disse tilstande skaber det perfekte miljø for vedvarende vævsskade og inflammation.
Ofte Stillede Spørgsmål (FAQ)
Er xanthogranulomatøs sygdom en form for kræft?
Nej, det er en fuldstændig godartet (benign) inflammatorisk tilstand. Den er ikke kræft og kan ikke sprede sig som kræft. Udfordringen er udelukkende, at den kan ligne kræft på scanninger og ved kirurgi, hvilket gør en vævsprøve afgørende for at stille den korrekte diagnose.
Hvordan behandles det?
Behandlingen afhænger fuldstændigt af, hvor i kroppen tilstanden er lokaliseret, og hvilke symptomer den forårsager. I mange tilfælde, hvor processen danner en velafgrænset masse (f.eks. i galdeblæren eller en del af en nyre), er kirurgisk fjernelse af det berørte væv den primære behandling. Operationen tjener både til at stille en endelig diagnose og til at fjerne kilden til inflammationen, hvilket ofte er helbredende. I andre, mere diffuse tilfælde, kan medicinsk behandling med antiinflammatoriske lægemidler som steroider blive overvejet.
Hvad er prognosen?
Generelt er den langsigtede prognose rigtig god. Da det er en godartet tilstand, er der ingen risiko for metastasering. Når den korrekte diagnose er stillet, og det betændte væv er behandlet eller fjernet, oplever de fleste patienter fuld helbredelse. Den potentielle risiko er relateret til den skade, inflammationen kan nå at forvolde på det pågældende organ, før den bliver opdaget og behandlet.
Er det en arvelig sygdom?
Der er generelt ingen beviser for, at xanthogranulomatøs inflammation som proces er direkte arvelig. Den betragtes som en reaktiv tilstand, der opstår som følge af andre faktorer som infektion eller obstruktion. Dog er den observerede sammenhæng mellem den sjældne variant AOXD og den arvelige sygdom myoton dystrofi type 2 interessant og indikerer, at der kan være genetiske faktorer, der i visse tilfælde øger en persons sårbarhed, men dette er endnu ikke bevist.
Hvis du vil læse andre artikler, der ligner Xanthogranulomatøs Inflammation Forklaret, kan du besøge kategorien Sygdom.
