13/03/1999
Inden for medicinens verden findes der tilstande, som er mestre i at efterligne andre, mere alvorlige sygdomme. En af disse er xanthogranulomatøs inflammation, en sjælden, men markant histopatologisk enhed, der kan påvirke forskellige organer i kroppen. Selvom den oftest ses i nyrerne og galdeblæren, kan den også forekomme i kvindens kønsorganer, hvor den udgør en betydelig diagnostisk udfordring. Når denne tilstand rammer livmoderslimhinden (endometriet), kaldes den xanthogranulomatøs endometritis. Den er berygtet for sin evne til at efterligne livmoderkræft, både klinisk og ved billeddiagnostik, hvilket kan føre til bekymring hos både patient og læge. At forstå denne usædvanlige sygdom er derfor afgørende for at sikre en korrekt diagnose og undgå unødvendigt aggressive behandlingsforløb.

Hvad er Xanthogranulomatøs Inflammation?
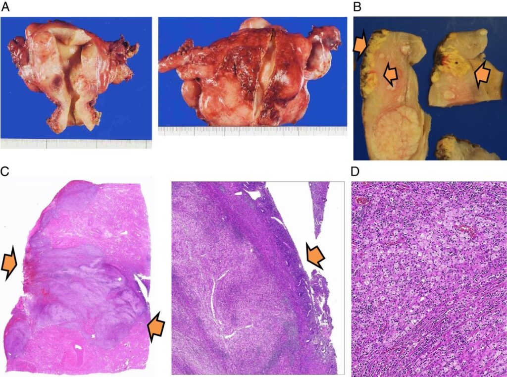
For at forstå xanthogranulomatøs endometritis, må vi først se på den overordnede tilstand: xanthogranulomatøs inflammation. Det er en kronisk og destruktiv betændelsestilstand, der er kendetegnet ved en ophobning af specifikke immunceller. Under mikroskopet ser patologer et karakteristisk mønster: en massiv infiltration af skumagtige histiocytter (en type makrofager, der har optaget fedtstoffer), siderofager (makrofager, der indeholder jern), flerkernede kæmpeceller, plasmaceller og lymfocytter. Denne cellulære sammensætning er ofte ledsaget af fibrose (ardannelse) og forkalkning. Resultatet er en unormal, ofte gul- eller brunlig vævsmasse, der erstatter det normale væv i det berørte organ. Det er denne aggressive vækst og udseende, der gør, at tilstanden så let kan forveksles med en ondartet tumor.
Xanthogranulomatøs Endometritis: Et Nærmere Kig
Når denne inflammatoriske proces opstår i livmoderslimhinden, erstattes det normale endometrium af det førnævnte xanthogranulomatøse væv. Dette kan føre til symptomer, der er stærkt alarmerende, især for kvinder efter overgangsalderen.
Et klassisk eksempel er en 69-årig kvinde, der henvender sig til lægen med blødning efter menopausen og et uforklarligt vægttab. Disse er klassiske advarselstegn på endometriekræft (livmoderkræft). Den indledende kliniske mistanke vil derfor næsten altid pege i retning af kræft eller forstadier til kræft (hyperplasi). En ultralydsscanning vil ofte forstærke denne mistanke, da den kan vise en fortykket livmoderslimhinde eller en udefinerbar masse i livmoderen. Radiologen kan beskrive fundene som suspekte for malignitet, hyperplasi eller pyometra (en ansamling af pus i livmoderen).
Den endelige sandhed afsløres dog først, når en vævsprøve undersøges af en patolog. I tilfælde som det beskrevne, vil den histopatologiske undersøgelse af livmoderen afsløre, at der ikke er tale om kræft, men derimod om xanthogranulomatøs endometritis. Denne diagnose er afgørende, da den ændrer hele behandlingsstrategien og patientens prognose.

Symptomer og Diagnostisk Udfordring
Symptomerne på xanthogranulomatøs endometritis er desværre ikke unikke for tilstanden, hvilket er kernen i den diagnostiske udfordring. De mest almindelige symptomer inkluderer:
- Blødning efter overgangsalderen
- Uregelmæssig eller kraftig menstruationsblødning (hos kvinder før menopausen)
- Underlivssmerter
- Vægttab
- Udflåd fra skeden
Som det ses, overlapper disse symptomer fuldstændigt med symptomerne på livmoderkræft. Udfordringen fortsætter gennem hele udredningsforløbet:
- Klinisk mistanke: Lægen vil baseret på symptomerne have en stærk mistanke om kræft.
- Billeddiagnostik: Ultralyd, CT- eller MR-scanninger kan vise en masse eller fortykkelse, der ligner en tumor. Vævet kan endda se ud til at invadere det omkringliggende muskelvæv i livmodervæggen (myometriet), hvilket er et klassisk tegn på avanceret kræft.
- Makroskopisk udseende: Hvis der udtages en vævsprøve eller hele livmoderen fjernes, vil vævet ofte fremstå som et skrøbeligt, gulligt og uregelmæssigt område, hvilket igen minder om en kræftsvulst.
Det er udelukkende den histopatologisk undersøgelse, der kan skelne de to tilstande fra hinanden. Patologen ser efter de karakteristiske skumagtige histiocytter og fraværet af maligne celler for at kunne stille den korrekte diagnose.
En Parallel: Lignende Tilstand i Galdeblæren
For at illustrere, at dette fænomen ikke er unikt for livmoderen, kan man drage en parallel til galdeblæren, hvor en lignende tilstand, xanthogranulomatøs cholecystitis, kan opstå. Her er årsagen ofte kronisk inflammation og obstruktion forårsaget af en galdesten, der sidder fast. Dette fører til en fortykkelse af galdeblærevæggen, som bliver hård, fibrotisk og fyldt med det samme inflammatoriske væv.
Kirurger, der opererer for, hvad de tror, er en kompliceret galdeblærebetændelse eller galdeblærekræft, kan blive mødt af en galdeblære, der er beskrevet som et "hårdkogt æg" – hvid, hård og med massive adhærencer (sammenvoksninger) til de omkringliggende væv. Igen er det en benign, inflammatorisk proces, der på dramatisk vis imiterer en malign sygdom. Denne parallel understreger, hvor aggressivt xanthogranulomatøs inflammation kan opføre sig, uanset hvilket organ den rammer.
Sammenligning: Endometritis vs. Kræft
For at give et klart overblik over forskellene og lighederne er her en sammenlignende tabel:
| Egenskab | Xanthogranulomatøs Endometritis | Endometriekræft |
|---|---|---|
| Natur | Benign (godartet) kronisk inflammatorisk proces | Malign (ondartet) neoplastisk vækst |
| Typiske Symptomer | Postmenopausal blødning, smerter, vægttab | Postmenopausal blødning, smerter, vægttab |
| Ultralyd/Scanning | Fortykkelse af endometriet, masse, kan se invasiv ud | Fortykkelse af endometriet, masse, ofte med tegn på invasion |
| Endelig Diagnose | Histopatologisk undersøgelse (mikroskopi af væv) | Histopatologisk undersøgelse (mikroskopi af væv) |
| Behandling | Ofte kirurgisk fjernelse af livmoderen (hysterektomi) pga. mistanke om kræft | Kirurgi, evt. suppleret med stråleterapi og/eller kemoterapi |
Behandling og Prognose
Da den endelige diagnose ofte først stilles efter, at livmoderen er blevet fjernet kirurgisk på grund af mistanke om kræft, er behandlingen for xanthogranulomatøs endometritis i praksis ofte en hysterektomi. Selvom dette er en stor operation, er det vigtigt at understrege, at prognosen for patienten er fremragende, når den korrekte diagnose er stillet. Da tilstanden er godartet, er der ikke behov for yderligere kræftbehandling som stråling eller kemoterapi. Hovedformålet med den korrekte diagnose er netop at forhindre denne form for overbehandling. Når det inflammatoriske væv er fjernet, er patienten i princippet helbredt.
Ofte Stillede Spørgsmål
Er xanthogranulomatøs endometritis en form for kræft?
Nej, absolut ikke. Det er en fuldstændig godartet (benign) og sjælden betændelsestilstand. Problemet er, at dens symptomer, udseende på scanninger og udseende under en operation kan ligne kræft til forveksling.

Hvad forårsager denne tilstand?
Den præcise årsag er ikke altid klar, men den menes at være relateret til langvarig (kronisk) inflammation. Mulige udløsende faktorer kan omfatte obstruktion i livmoderhalsen, infektioner (som pyometra), tidligere kirurgiske indgreb, tilstedeværelsen af en spiral (IUD) eller nedbrydning af væv af andre årsager.
Hvordan stilles den endelige diagnose?
Den eneste måde at stille en sikker diagnose på er ved en histopatologisk undersøgelse. Dette betyder, at en vævsprøve (en biopsi eller hele det fjernede organ) skal undersøges under et mikroskop af en specialiseret læge (en patolog), som kan identificere de karakteristiske celler og udelukke kræft.
Kan tilstanden påvirke fertiliteten?
Xanthogranulomatøs endometritis ses oftest hos kvinder efter overgangsalderen. Dog er det kendt, at kronisk endometritis generelt kan være forbundet med infertilitet og gentagne graviditetstab. Enhver alvorlig, kronisk betændelse i livmoderslimhinden kan skabe et ugunstigt miljø for et befrugtet æg at sætte sig fast og udvikle sig. Hvis tilstanden skulle opstå hos en kvinde i den fertile alder, ville den potentielt kunne påvirke hendes evne til at blive gravid.
Afslutningsvis er xanthogranulomatøs endometritis et perfekt eksempel på en medicinsk "ulv i fåreklæder". Det er en sjælden, godartet sygdom, der er en mester i at forklæde sig som den langt mere alvorlige livmoderkræft. Kendskab til denne tilstand er essentielt for både gynækologer og patologer for at sikre, at patienter modtager en præcis diagnose. Dette garanterer, at de får den rette behandling og undgår den fysiske og psykiske byrde, som en unødvendig kræftbehandling medfører, hvilket giver dem ro i sindet med en fremragende prognose.
Hvis du vil læse andre artikler, der ligner Xanthogranulomatøs Endometritis: Når Betændelse Ligner Kræft, kan du besøge kategorien Sundhed.
