27/04/2022
Tuberkulose (TB) er en alvorlig og potentielt livstruende infektionssygdom, der primært påvirker lungerne. Når det kommer til at diagnosticere denne sygdom, er hurtighed og nøjagtighed afgørende. Læger anvender en række forskellige værktøjer til at stille en diagnose, og et af de mest centrale er røntgenundersøgelse af brystkassen. Selvom et røntgenbillede sjældent står alene, giver det uvurderlig information om tilstedeværelsen og omfanget af en aktiv TB-infektion. Denne artikel dykker ned i, hvordan læger bruger røntgenbilleder til at opdage tuberkulose, hvad de kigger efter, og hvilke andre tests der er nødvendige for at bekræfte en diagnose.

Hvad er Tuberkulose? En kort oversigt
Tuberkulose forårsages af bakterien Mycobacterium tuberculosis. Den spreder sig typisk gennem luften, når en person med en aktiv lungeinfektion hoster, nyser eller taler. Det er vigtigt at skelne mellem to former for TB-infektion:
- Latent TB-infektion: Personen har TB-bakterier i kroppen, men immunsystemet holder dem under kontrol. De har ingen symptomer og kan ikke smitte andre. Infektionen kan dog blive aktiv senere i livet.
- Aktiv TB-sygdom: Bakterierne formerer sig aktivt og forårsager symptomer. Personen er syg og kan smitte andre. Typiske symptomer inkluderer vedvarende hoste (ofte med blodigt opspyt), feber, nattesved, vægttab og træthed.
Det er primært den aktive TB-sygdom i lungerne, som en røntgenundersøgelse af brystkassen er effektiv til at identificere.
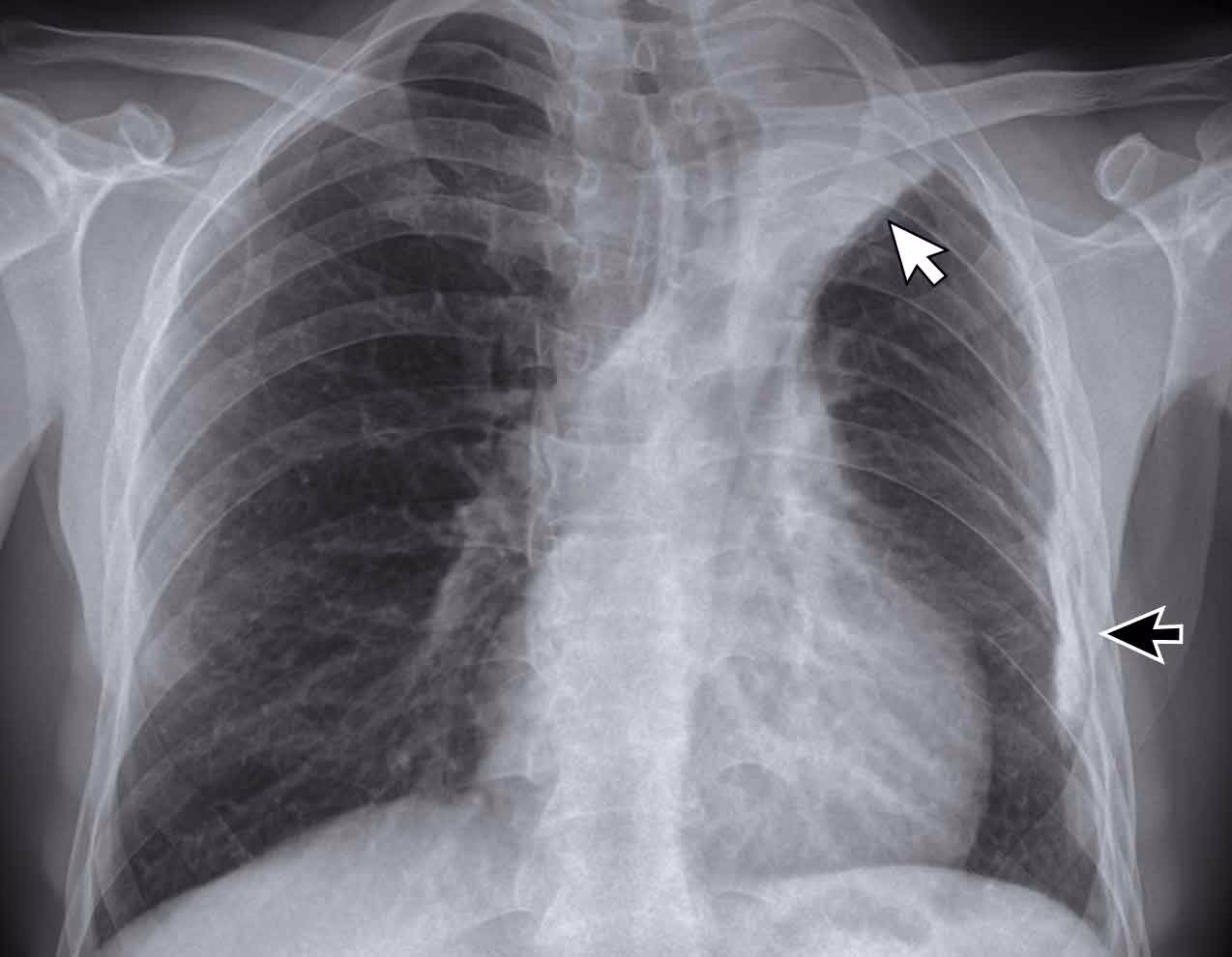
Røntgenbilledets rolle i TB-diagnostik
Når en læge har mistanke om aktiv tuberkulose, enten på grund af symptomer eller en positiv hud- eller blodprøve, er en røntgenundersøgelse af brystkassen ofte det næste skridt. Røntgenbilleder giver et visuelt indblik i lungernes tilstand. Når TB-bakterier vokser og spreder sig i lungevævet, skaber de betændelse og skader, som kan ses på et røntgenbillede. Disse forandringer fremstår typisk som unormale skygger eller pletter i områder af lungerne, der normalt er klare og gennemsigtige.
De klassiske tegn, en radiolog leder efter, er hvide eller grålige pletter, kendt som noduler (små, runde skygger) eller masser (større skygger). Disse indikerer områder med betændelse eller arvæv forårsaget af kroppens reaktion på bakterierne. En af de mest karakteristiske observationer ved TB er, at disse forandringer ofte findes i de øverste dele (apikale lapper) af en eller begge lunger.
Hvad kan et røntgenbillede af brystet afsløre?
Et røntgenbillede kan give detaljeret information ud over blot at vise tilstedeværelsen af pletter. Lægen kan vurdere flere aspekter af infektionen:
- Størrelse, form og tæthed: Tætheden af de hvide områder kan give en indikation af, hvor fremskreden infektionen er. Meget tætte, hvide områder kan tyde på en mere alvorlig og aktiv sygdom.
- Kaviteter: I nogle tilfælde kan infektionen nedbryde lungevævet og skabe hulrum, kendt som kaviteter. Disse ses som mørke områder omgivet af en tyk, hvid væg og er et stærkt tegn på aktiv og smitsom TB.
- Hævede lymfeknuder: Lægen kan også se efter hævede hilære lymfeknuder. Disse lymfeknuder er placeret nær hilum, det centrale område i lungen, hvor luftrør og blodkar træder ind. Hævelse her kan indikere, at infektionen har spredt sig.
- Pleuravæske: Tuberkulose kan forårsage en ophobning af væske i rummet mellem lungerne og brystvæggen. Dette kaldes pleuravæske og ses som en ensartet hvid skygge, typisk i bunden af lungen.
- Miliær TB: I sjældne og meget alvorlige tilfælde kan infektionen sprede sig via blodbanen til hele kroppen. På et røntgenbillede viser dette sig som utallige små, frø-lignende pletter spredt over begge lunger, hvilket ligner hirsefrø – deraf navnet miliær TB.
Sammenligning med Lungebetændelse
Andre lungesygdomme, især lungebetændelse, kan ligne tuberkulose på et røntgenbillede. Der er dog ofte subtile forskelle, som en erfaren læge kan genkende. Her er en simpel sammenligning:
| Karakteristik | Tuberkulose (Typisk) | Lungebetændelse (Typisk) |
|---|---|---|
| Placering i lungerne | Ofte i de øverste lungelapper. | Oftere i de nedre lungelapper. |
| Udseende | Pletter, læsioner, og potentielt hulrum (kaviteter). | Mere diffuse hvide områder (konsolidering). |
| Udvikling | Udvikler sig ofte langsommere over uger eller måneder. | Udvikler sig typisk hurtigt over dage. |
Begrænsninger og behovet for yderligere tests
Selvom røntgenbilleder er yderst nyttige, er de ikke nok til at stille en endelig TB-diagnose. Ifølge Verdenssundhedsorganisationen (WHO) har røntgenundersøgelser en høj følsomhed (85-95%), hvilket betyder, at de er gode til at fange sygdommen, hvis den er der. Men de har også begrænsninger:
- Manglende specificitet: Som nævnt kan andre tilstande som lungebetændelse, lungekræft eller svampeinfektioner ligne TB på et røntgenbillede.
- Latent TB: En person med latent TB har typisk et helt normalt røntgenbillede af brystkassen. Bakterierne er inaktive og forårsager ingen synlige skader.
- Tidlige stadier: I de meget tidlige stadier af aktiv TB kan forandringerne være for små eller subtile til at blive opdaget.
Derfor er det absolut nødvendigt at bekræfte fundene fra et røntgenbillede med andre tests. Den gyldne standard for at bekræfte aktiv lunge-TB er en spyttest (også kaldet en ekspektoratprøve). En prøve af slim, der hostes op fra lungerne, sendes til et laboratorium for at blive undersøgt under et mikroskop og for at dyrke TB-bakterierne. Dette beviser utvetydigt tilstedeværelsen af Mycobacterium tuberculosis.
For at opdage latent TB, hvor røntgen er ineffektivt, bruges hud- og blodprøver. Disse tests kan dog nogle gange give falsk-positive resultater, især hos personer, der er blevet vaccineret mod TB (med BCG-vaccinen). I disse tilfælde kan et normalt røntgenbillede hjælpe med at udelukke en aktiv infektion.

Ofte Stillede Spørgsmål
Er et røntgenbillede nok til at diagnosticere TB?
Nej. Mens et røntgenbillede er et afgørende værktøj til at screene for og identificere tegn på aktiv TB, er det ikke nok til en endelig diagnose. Andre sygdomme kan ligne TB. En diagnose skal altid bekræftes med en laboratorietest af spyt (ekspektorat) for at påvise selve TB-bakterien.
Kan et røntgenbillede opdage latent tuberkulose?
Generelt nej. Ved latent TB er bakterierne i dvale og forårsager ingen skade på lungevævet, så røntgenbilledet vil typisk se helt normalt ud. Latent TB opdages ved hjælp af en hudprøve (Mantoux-test) eller en blodprøve (IGRA-test).
Hvor mange røntgenbilleder er nødvendige for at udelukke TB?
Normalt er en enkelt optagelse forfra og bagfra (posterior-anterior) tilstrækkelig for en læge til at vurdere lungerne for tegn på TB. I nogle tilfælde kan en supplerende optagelse fra siden (lateral) blive anmodet om for at få et bedre overblik over specifikke områder i lungerne. Lægen kan også bede om flere billeder over en periode for at overvåge udviklingen af eventuelle pletter.
Hvad er forskellen på TB og lungebetændelse på et røntgenbillede?
Den største forskel er ofte placeringen og udseendet. TB har en tendens til at starte i de øverste dele af lungerne og kan danne hulrum (kaviteter). Lungebetændelse viser sig oftere i de nedre dele af lungerne og fremstår som mere udbredte, uklare skygger. En læges erfaring er dog afgørende for at skelne mellem de to, og en spyttest er nødvendig for at være sikker.
Konklusion
Et røntgenbillede af brystkassen er en hurtig, effektiv og uundværlig del af processen med at diagnosticere aktiv tuberkulose. Det giver lægerne mulighed for at se de fysiske tegn på infektionen i lungerne, vurdere dens omfang og identificere potentielle komplikationer. Det er dog vigtigt at huske, at et røntgenbillede er et stykke i et større puslespil. Det kan ikke stå alene. En kombination af patientens symptomer, en røntgenundersøgelse og afgørende laboratorietests, såsom en analyse af opspyt, er nødvendig for at stille en sikker diagnose og iværksætte den rette behandling, der kan redde liv og forhindre yderligere smittespredning.
Hvis du vil læse andre artikler, der ligner Kan et røntgenbillede afsløre tuberkulose?, kan du besøge kategorien Sundhed.
