30/12/2024
Nyretuberkulose er en alvorlig og ofte overset form for ekstrapulmonal tuberkulose, hvor tuberkulosebakterien, Mycobacterium tuberculosis, angriber nyrerne. Selvom tuberkulose oftest forbindes med lungerne, kan bakterien sprede sig via blodbanen til andre organer, herunder nyrerne. Sygdommen udvikler sig langsomt og kan i årevis være uden tydelige symptomer, hvilket gør tidlig diagnose til en betydelig udfordring. En nylig analyse af data fra 765 patienter over en tiårig periode har kastet lys over de nuværende udfordringer og succesrater inden for diagnosticering og behandling, og resultaterne understreger behovet for øget opmærksomhed på denne sygdom. Prognosen er generelt dårlig, især når begge nyrer er påvirket, hvilket gør korrekt og rettidig indgriben afgørende for patientens overlevelse og livskvalitet.

Symptomer: Den Klassiske og den Snigende Form
Traditionelt set er nyretuberkulose blevet forbundet med en række klassiske symptomer, som kan give mistanke om sygdommen. Disse inkluderer generel utilpashed, uforklarligt vægttab, feber og symptomer fra de nedre urinveje såsom hyppig vandladning, smerter ved vandladning og blod i urinen. Disse symptomer er dog uspecifikke og kan let forveksles med en almindelig urinvejsinfektion, hvilket ofte fører til forsinket diagnose.
En særlig interessant og bekymrende observation er dog den stigende anerkendelse af en mere snigende og atypisk præsentation af sygdommen. Mange patienter udvikler ikke de klassiske symptomer, men præsenterer sig i stedet med en tilstand kendt som tubulointerstitiel nefritis. Dette er en betændelsestilstand i nyrens væv (tubuli og interstitium), som er svær at opdage og let kan overses. Denne form for nyretuberkulose er særligt farlig, fordi den gradvist ødelægger nyrefunktionen uden at give tydelige advarselssignaler, før skaden er uoprettelig. Den manglende bevidsthed om denne atypiske form er en af de primære årsager til, at diagnosen stilles sent i forløbet.
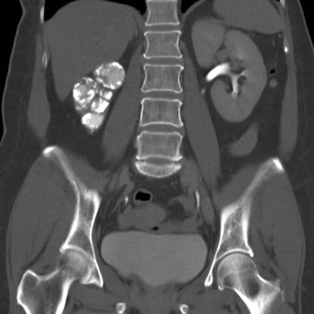
Moderne Diagnostiske Værktøjer
At stille den korrekte diagnose for nyretuberkulose kræver en kombination af avancerede diagnostiske metoder. Da symptomerne kan være vildledende, er læger afhængige af specifikke tests for at bekræfte tilstedeværelsen af tuberkulosebakterien og vurdere omfanget af skaden på nyrerne og urinvejene.
Vigtige Diagnostiske Metoder:
- T-SPOT.TB Test: Dette er en moderne blodprøve, der kan påvise en immunreaktion mod tuberkulosebakterien. Den er meget specifik og er et vigtigt redskab til at bekræfte en aktiv eller latent tuberkuloseinfektion i kroppen, hvilket kan lede mistanken mod nyrerne.
- CT-scanning: En CT-scanning af bughulen og urinvejene er afgørende for at visualisere nyrernes struktur. Den kan afsløre typiske tegn på nyretuberkulose, såsom forkalkninger, bylder (abscesser), arvæv, der forårsager forsnævringer (strikturer) i urinlederne, og udvidelse af nyrebækkenet (hydronefrose).
- Endoskopi (Cystoskopi og Ureteroskopi): Ved en endoskopisk undersøgelse føres et lille kamera op gennem urinrøret til blæren og eventuelt videre op i urinlederne. Dette giver lægen mulighed for direkte at inspicere slimhinderne for tegn på betændelse, sår eller arvæv forårsaget af tuberkulose. Der kan også tages vævsprøver (biopsier) under proceduren.
Disse tre metoder udgør hjørnestenene i den moderne diagnostik og har en høj diagnostisk værdi. En kombination af disse tests er ofte nødvendig for at opnå en endelig og sikker diagnose.
Behandlingsmuligheder og Deres Effektivitet
Behandlingen af nyretuberkulose er kompleks og afhænger af sygdommens stadie og omfanget af nyreskaden. Desværre viser data, at de nuværende behandlingsstrategier har begrænset succes, især når det kommer til medicinsk behandling alene.
Medicinsk Behandling med Anti-tuberkuløse Lægemidler
Standardbehandlingen for enhver form for tuberkulose er en langvarig kur med en kombination af flere antibiotika. Målet er at udrydde Mycobacterium tuberculosis-bakterien fra kroppen. Overraskende nok viser den omfattende analyse, at effekten af denne behandling for nyretuberkulose er suboptimal. Kun 15,43% af patienterne opnåede fuld helbredelse alene med medicin, mens sygdommen forværredes hos hele 68,55% af patienterne. Dette skyldes sandsynligvis, at når diagnosen stilles, har infektionen allerede forårsaget uoprettelig skade, arvæv og blokeringer i nyrerne, som medicin ikke kan reparere.
Aflastning med Ureterstent
Hos patienter, hvor tuberkulosen har forårsaget forsnævringer i urinlederen, hvilket fører til ophobning af urin og tryk på nyren (hydronefrose), kan anlæggelse af en ureterstent være nødvendig. En stent er et lille plastikrør, der holder urinlederen åben og sikrer, at urinen kan passere frit fra nyren til blæren. Selvom denne procedure er effektiv til at lindre hydronefrose og beskytte nyren mod yderligere trykskade, løser den ikke det underliggende problem. Data viser, at stentanlæggelse ikke kan vende den eksisterende nyreskade. Helbredelsesraten i denne patientgruppe var kun 21,43%, mens sygdommen fortsat udviklede sig hos 57,14%.

Kirurgisk Fjernelse af Nyren (Nefrektomi)
For et flertal af patienter med fremskreden nyretuberkulose er kirurgi den eneste reelle mulighed for helbredelse. Når en nyre er så ødelagt af infektionen, at den ikke længere fungerer og udgør en kilde til kronisk infektion og komplikationer, er den bedste løsning at fjerne den. Denne procedure kaldes en nefrektomi. Analyse af data viser, at hele 76,34% af patienterne endte med at få fjernet den syge nyre. Denne drastiske, men nødvendige, behandling viste sig at være yderst effektiv med en helbredelsesrate på imponerende 81,12%. Kirurgisk indgreb er således afgørende for at forhindre spredning af infektionen og undgå livstruende komplikationer forbundet med en ødelagt, ikke-fungerende nyre.
Sammenligning af Behandlingsmuligheder
For at give et klart overblik over effektiviteten af de forskellige behandlingsstrategier er her en sammenlignende tabel baseret på de indsamlede data.
| Behandlingstype | Helbredelsesrate | Forværringsrate | Primært Formål |
|---|---|---|---|
| Anti-tuberkuløs Medicin | 15,43% | 68,55% | At dræbe tuberkulosebakterien |
| Ureterstent | 21,43% | 57,14% | At aflaste trykket på nyren (hydronefrose) |
| Kirurgisk Fjernelse (Nefrektomi) | 81,12% | N/A | At fjerne den ødelagte nyre og infektionskilden |
Konklusion: Vigtigheden af Tidlig Diagnose og Kirurgi
Prognosen for patienter med nyretuberkulose er generelt dårlig, især i tilfælde, hvor begge nyrer er angrebet. De tilgængelige data understreger en kritisk virkelighed: Medicinsk behandling alene er ofte utilstrækkelig på grund af den sene diagnose og den omfattende, irreversible skade på nyrevævet. Nøjagtig og hurtig diagnostik ved hjælp af T-SPOT, CT og endoskopi er afgørende for at identificere sygdommen, før den når et fremskredent stadie. For de fleste patienter med alvorlig nyretuberkulose er kirurgisk fjernelse af den ødelagte nyre den mest effektive vej til helbredelse og forhindring af yderligere komplikationer. Øget bevidsthed blandt både læger og offentligheden om de atypiske symptomer, såsom tubulointerstitiel nefritis, er altafgørende for at forbedre prognosen for denne alvorlige sygdom.
Ofte Stillede Spørgsmål (FAQ)
Er nyretuberkulose smitsom?
Nyretuberkulose i sig selv betragtes generelt ikke som smitsom via urin. Smitten sker typisk gennem luftvejene fra en person med aktiv lungetuberkulose. En patient med nyretuberkulose kan dog have en samtidig, uopdaget lungetuberkulose, som kan være smitsom. Derfor vil patienter altid blive grundigt undersøgt for tuberkulose i lungerne.
Hvorfor er medicin ikke altid nok til at helbrede nyretuberkulose?
Når tuberkulosebakterien angriber nyrerne, forårsager den en kronisk betændelse, der fører til dannelse af arvæv, bylder og forkalkninger. Dette ødelægger nyrens fine strukturer og kan blokere urinvejene. Selvom anti-tuberkuløse lægemidler kan dræbe bakterierne, kan de ikke reparere den fysiske skade, der allerede er sket. Derfor fortsætter nyren med at være dysfunktionel og en kilde til problemer, selv efter infektionen er behandlet.
Kan man leve et normalt liv med kun én nyre?
Ja, de fleste mennesker kan leve et fuldt og sundt liv med kun én fungerende nyre. Den tilbageværende nyre kompenserer typisk ved at øge sin kapacitet. Efter en nefrektomi er det dog vigtigt at føre en sund livsstil, herunder at kontrollere blodtrykket, opretholde en sund vægt og undgå medicin, der kan skade nyrerne, for at beskytte den resterende nyre.
Hvis du vil læse andre artikler, der ligner Nyretuberkulose: Diagnose og Behandling, kan du besøge kategorien Sygdomme.
