17/05/2025
Tuberkulose, ofte forkortet som TB, er en sygdom med en lang og kompleks historie, der fortsat er en global sundhedsudfordring. Selvom den er mindre udbredt i Danmark end tidligere, er forståelsen af dens mange manifestationer afgørende for korrekt diagnose og behandling. En af de mere specifikke radiologiske fund, der kan forvirre både patienter og læger, er tilstedeværelsen af 'klynger af små knuder' (noduler) i lungevævet. Dette fænomen ses typisk i det, man kalder post-primær tuberkulose. Men hvorfor opstår disse klynger, og hvad fortæller de os om sygdommens udvikling? Denne artikel vil dykke ned i patologien og radiologien bag dette fænomen for at give en klar og detaljeret forklaring.

Hvad er Forskellen på Primær og Post-primær Tuberkulose?
For at forstå, hvorfor nodulære klynger opstår, er det vigtigt først at skelne mellem de to hovedfaser af tuberkulose: den primære infektion og den post-primære (eller sekundære) sygdom.
Primær Tuberkulose: Dette er den første eksponering for tuberkelbakterien, Mycobacterium tuberculosis. Hos de fleste mennesker med et sundt immunforsvar er kroppen i stand til at indkapsle bakterierne. Dette skaber en lille, lokaliseret betændelseslomme i lungen (kendt som et Ghon-fokus) og ofte en reaktion i de nærliggende lymfeknuder. I de fleste tilfælde giver dette ingen symptomer, og infektionen går i en dvaletilstand (latent TB). Personen er smittet, men ikke syg, og kan ikke smitte andre.
Post-primær Tuberkulose: Dette er en reaktivering af den latente infektion, som kan ske måneder, år eller endda årtier efter den primære infektion. Det sker typisk, når personens immunforsvar svækkes af andre årsager som alderdom, underernæring, HIV, immunsupprimerende medicin eller andre kroniske sygdomme. I modsætning til den primære infektion, som kan opstå hvor som helst i lungen, har post-primær TB en stærk forkærlighed for de øverste dele (apikale segmenter) af lungerne. Dette skyldes, at tuberkelbakterien trives i et iltrigt miljø, og blodgennemstrømningen og ventilationen i lungernes øvre lapper skaber ideelle betingelser for bakteriens vækst.
Mekanismen Bag Nodulære Klynger: Endobronkial Spredning
Svaret på, hvorfor klynger af små noduler dannes, ligger i den måde, hvorpå den reaktiverede infektion spreder sig lokalt i lungen. Processen kaldes endobronkial spredning.
Når den latente infektion reaktiveres i en øvre lungelap, begynder immunforsvaret igen at bekæmpe bakterierne. Kroppen danner granulomer – små, organiserede samlinger af immunceller – for at isolere og inddæmme infektionen. I midten af disse granulomer opstår der ofte en type vævsdød kaldet kaseøs nekrose, som har en osteagtig konsistens. Disse kaseøse granulomer er et patologisk kendetegn for tuberkulose.
Hvis et sådant granulom, der ligger tæt på en lille luftvej (en bronkiole), vokser og nedbrydes, kan dets inficerede, kaseøse indhold tømmes ud i luftvejen. Herfra kan det flydende, bakteriefyldte materiale spredes via de små bronkier til tilstødende områder af lungen. Hver gang dette materiale lander i en ny del af lungen, starter en ny, lille infektionsfokus. Kroppen reagerer ved at danne et nyt, lille granulom på hvert af disse steder.
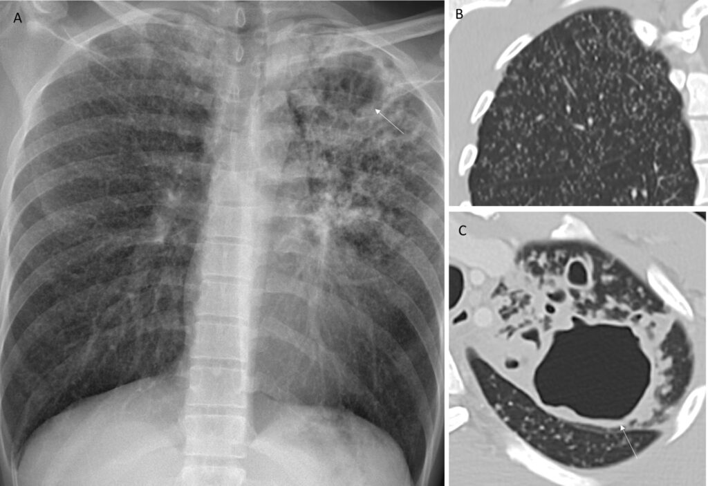
Resultatet er, at man på et røntgenbillede eller en CT-scanning ser et centralt, større område med betændelse (det oprindelige reaktiveringssted), omgivet af talrige små, satellit-noduler. Samlet set fremstår dette som en klynge af små noduler. På højopløselige CT-scanninger kan dette mønster ligne et træ med knopper og kaldes ofte for "tree-in-bud"-mønsteret, hvilket er et meget suggestivt tegn på en infektion, der spreder sig via de små luftveje.
Diagnostiske Udfordringer og Værktøjer
Diagnosticering af post-primær tuberkulose, der præsenterer sig som nodulære klynger, kan være en udfordring. Som det ses i kliniske studier, er det ikke altid, at patienter har de klassiske symptomer som hoste, feber og vægttab. Desuden kan standard spytprøver (sputumundersøgelser) for syrefaste stave være negative i starten, fordi infektionen endnu ikke har skabt en åben forbindelse til de større luftveje.
Derfor er billeddiagnostik afgørende.
- Røntgen af thorax: Ofte det første skridt. Kan vise en uklar fortætning eller en nodulær læsion, typisk i de øvre lungelapper, men detaljerne kan være svære at se.
- CT-scanninger: Er langt mere følsomme og detaljerede. En CT-scanning kan tydeligt visualisere den enkelte store nodul som værende sammensat af talrige mindre noduler og kan afsløre det karakteristiske "tree-in-bud"-mønster, hvilket styrker mistanken om tuberkulose.
For at stille en endelig diagnose er det dog nødvendigt at påvise selve bakterien eller de karakteristiske vævsforandringer. Dette kræver mere invasive metoder:
- Bronkoskopi med biopsi: En tynd kikkert føres ned i luftvejene for at tage vævsprøver (biopsier) direkte fra det mistænkelige område.
- Nålebiopsi: En tynd nål stikkes gennem brystvæggen ind i lungen for at udtage en vævsprøve under vejledning af en CT-scanner.
Disse vævsprøver sendes derefter til histologisk undersøgelse, hvor man leder efter kaseøse granulomer, og til mikrobiologisk undersøgelse for at dyrke Mycobacterium tuberculosis, hvilket er den endelige bekræftelse.
Sammenligning af Primær og Post-primær TB
| Karakteristikum | Primær Tuberkulose | Post-primær Tuberkulose |
|---|---|---|
| Patientgruppe | Oftest børn eller personer uden tidligere eksponering | Oftest voksne med svækket immunforsvar |
| Placering i lungen | Alle dele af lungen kan rammes | Typisk de øvre lungelapper (apikalt) |
| Typiske radiologiske fund | Ghon-fokus, forstørrede lymfeknuder i hilus | Kaverner (huller), fibrose, nodulære klynger |
| Symptomer | Ofte asymptomatisk eller milde influenzalignende symptomer | Hoste, feber, nattesved, vægttab, opspyt (kan være blodigt) |
| Smittefare | Sjældent smitsom (medmindre sygdommen udvikler sig) | Kan være meget smitsom, især ved kavernedannelse |
Behandling og Opfølgning
Når diagnosen aktiv post-primær tuberkulose er stillet, iværksættes en langvarig behandling med en kombination af flere forskellige typer antibiotika. Standardbehandlingen varer typisk i mindst 6 måneder. Det er ekstremt vigtigt at fuldføre hele behandlingsforløbet, selvom man føler sig rask efter få uger. Afbrudt behandling kan føre til, at bakterierne overlever og udvikler resistens mod medicinen, hvilket gør fremtidig behandling meget vanskeligere.
Opfølgning med røntgenbilleder er en central del af forløbet. Lægerne vil se efter, at de nodulære klynger og andre forandringer i lungerne gradvist bliver mindre og til sidst omdannes til arvæv. Radiologisk forbedring er et af de vigtigste tegn på, at behandlingen virker.
Ofte Stillede Spørgsmål
Er tuberkulose stadig et problem i Danmark?
Ja, selvom antallet af tilfælde er lavt sammenlignet med mange andre lande, diagnosticeres der stadig nye tilfælde af tuberkulose i Danmark hvert år. Sygdommen ses især hos ældre, der blev smittet i deres ungdom, hos personer med svækket immunforsvar og blandt indvandrere fra lande med høj forekomst af TB.
Hvad er forskellen på latent og aktiv tuberkulose?
Ved latent TB er bakterierne til stede i kroppen i en dvaletilstand, indkapslet af immunforsvaret. Personen er ikke syg og smitter ikke. Ved aktiv TB er bakterierne begyndt at formere sig, og personen udvikler symptomer. En person med aktiv lungetuberkulose kan smitte andre.
Kan man blive helbredt for post-primær tuberkulose?
Ja, absolut. Med den rette antibiotikabehandling, der tages korrekt over den foreskrevne periode, kan langt de fleste patienter med post-primær tuberkulose blive fuldstændig helbredt. Sygdommen efterlader dog ofte arvæv i lungerne.
Konklusion
Fundet af en klynge af små noduler på et røntgenbillede eller en CT-scanning er et vigtigt diagnostisk spor, der peger i retning af post-primær tuberkulose. Dette mønster er ikke tilfældigt, men et direkte visuelt resultat af sygdommens spredningsmekanisme i lungerne – den endobronkiale spredning. Når et reaktiveret tuberkuløst fokus nedbrydes og tømmes ud i de små luftveje, sås nye små infektioner i det omkringliggende lungevæv. Forståelsen af denne proces er afgørende for radiologer og lungemedicinere, da det hjælper med at stille en hurtig og præcis diagnose, så den livsvigtige behandling kan påbegyndes.
Hvis du vil læse andre artikler, der ligner Tuberkulose: Mysteriet om Nodulære Klynger Løst, kan du besøge kategorien Sundhed.
