06/08/2017
Når et barn pludselig får høj feber, en vedvarende hoste og generel utilpashed, er en af de store bekymringer for forældre ofte lungebetændelse. Denne almindelige, men potentielt alvorlige, luftvejsinfektion kræver en præcis diagnose for at sikre den korrekte behandling. Et af de mest afgørende værktøjer, læger har til rådighed, er et røntgenbillede af brystkassen. Men hvad ser lægen egentlig på billedet, og er det altid nødvendigt at tage et? Denne artikel dykker ned i, hvordan radiografi bruges til at identificere lungebetændelse hos børn, og hvad fundene betyder for dit barns helbred.

Hvad er Lungebetændelse hos Børn?
Lungebetændelse, eller pneumoni, er en infektion i en eller begge lunger. Infektionen forårsager betændelse i lungernes små luftsække, alveolerne, som kan blive fyldt med væske eller pus. Dette gør det sværere at trække vejret og kan føre til en række symptomer. Årsagerne kan være både vira, bakterier og i sjældnere tilfælde svampe.
De mest almindelige symptomer på lungebetændelse hos børn inkluderer:
- Høj feber, ofte ledsaget af kulderystelser.
- En vedvarende hoste, som kan være tør eller producere slim (opspyt).
- Hurtig eller anstrengt vejrtrækning.
- Smerter i brystet, især ved hoste eller dyb vejrtrækning.
- Træthed og mangel på energi.
- Nedsat appetit og eventuelt opkast.
Mens en erfaren læge ofte kan stille en sandsynlighedsdiagnose baseret på en fysisk undersøgelse og lytning til lungerne (stetoskopi), kan symptomerne overlappe med andre sygdomme som bronkitis eller en kraftig forkølelse. Her kommer billeddiagnostik ind i billedet.
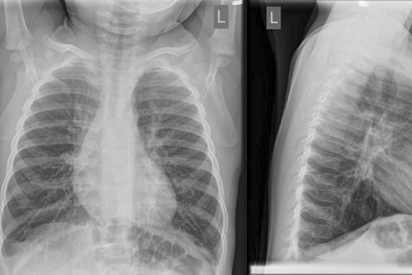
Røntgenbilledets Rolle i Diagnosen
Et røntgenbillede af brystkassen er en hurtig og smertefri procedure, der bruger en lille mængde ioniserende stråling til at skabe billeder af kroppens indre strukturer. For lungerne er det et uvurderligt værktøj. Sunde lunger er fyldt med luft og fremstår derfor mørke på et røntgenbillede. Når der er en infektion, som ved lungebetændelse, vil det betændte område blive fyldt med væske og celler, hvilket gør det tættere. Dette tættere væv absorberer mere stråling og fremstår som et lysere eller hvidt område på billedet. Dette fænomen kaldes en pulmonal fortætning eller et infiltrat.
Forståelse af Pulmonal Fortætning
Når en radiolog beskriver en pulmonal fortætning på et røntgenbillede, betyder det simpelthen, at et område af lungen er blevet uigennemsigtigt eller uklart. Selvom dette er det klassiske tegn på lungebetændelse, er det vigtigt at forstå, at det ikke er en specifik diagnose i sig selv. Fortætningen skyldes, at alveolerne er fyldt med noget andet end luft. Der kan være flere årsager til dette, og lægen bruger de kliniske symptomer til at finde den mest sandsynlige forklaring.
Her er en oversigt over de mulige årsager til en pulmonal fortætning:
| Årsag (Hvad fylder alveolerne) | Mulig Diagnose | Typiske Ledsagende Symptomer |
|---|---|---|
| Pus (infektion) | Lungebetændelse (Pneumoni) | Feber, hoste, forhøjede infektionstal (høje hvide blodlegemer) |
| Væske | Hjertesvigt, lungeødem | Åndenød, hævede ben, hjerteproblemer i historikken |
| Blod | Lungeblødning | Hoste med blod op, traume, blødningsforstyrrelser |
| Celler | Kræft (meget sjældent hos børn) | Vægttab, langvarig sygdomsfølelse |
Hos et barn med feber, hoste og en blodprøve, der viser et forhøjet antal hvide blodlegemer (leukocytter), vil en pulmonal fortætning på et røntgenbillede med meget stor sandsynlighed pege diagnosen i retning af lungebetændelse.
Hvornår er et Røntgenbillede Nødvendigt?
Selvom røntgen er et effektivt værktøj, er det ikke altid nødvendigt for at diagnosticere og behandle lungebetændelse hos børn, især i de industrialiserede dele af verden som Europa og Nordamerika. Sundhedsstyrelser og børnelæger overvejer nøje, hvornår fordelene ved en røntgenundersøgelse opvejer ulemperne, som f.eks. stråleeksponering og omkostninger.

Et røntgenbillede er oftest berettiget i følgende situationer:
- Alvorlig sygdom: Hvis barnet er meget medtaget, har svære vejrtrækningsproblemer eller kræver indlæggelse.
- Diagnostisk usikkerhed: Når lægen ikke er sikker på diagnosen ud fra den fysiske undersøgelse alene.
- Manglende respons på behandling: Hvis barnet er startet på antibiotika, men ikke viser tegn på bedring efter 48-72 timer.
- Mistanke om komplikationer: Hvis der er mistanke om, at lungebetændelsen har ført til komplikationer som en byld i lungen (lungeabsces) eller væskeansamling omkring lungen (pleuraeffusion).
- Tilbagevendende lungebetændelse: Hvis barnet har haft lungebetændelse flere gange, kan et røntgenbillede hjælpe med at lede efter underliggende årsager.
I mange ukomplicerede tilfælde, hvor barnet er i god almentilstand, vil lægen ofte vælge at behandle baseret på de kliniske symptomer og kun bestille et røntgenbillede, hvis der ikke ses den forventede bedring.
Ofte Stillede Spørgsmål (FAQ)
Er et røntgenbillede af brystet farligt for mit barn?
Mængden af stråling, der bruges i et moderne røntgenapparat, er meget lav. Risikoen er minimal og anses for at være langt mindre end fordelen ved at få stillet en korrekt diagnose, især ved alvorlig sygdom. Læger og radiografer er uddannet til at bruge den lavest mulige dosis for at opnå et klart billede.
Kan mit barn have lungebetændelse, selvom røntgenbilledet er normalt?
Ja, det er muligt. I de meget tidlige stadier af en infektion er forandringerne i lungevævet måske endnu ikke synlige på et røntgenbillede. Desuden kan visse typer af atypisk eller viral lungebetændelse give meget diskrete forandringer, der er svære at se. Diagnosen hviler derfor altid på en samlet vurdering af symptomer, undersøgelse og eventuelle billeder.
Hvorfor tager lægen en blodprøve?
En blodprøve kan give vigtig information om infektionens art og sværhedsgrad. Et forhøjet antal hvide blodlegemer tyder på, at kroppens immunforsvar kæmper mod en infektion. En anden test, CRP (C-reaktivt protein), er også en markør for inflammation og kan hjælpe med at skelne mellem en bakteriel og en viral infektion, hvilket har betydning for, om der skal gives antibiotika.
Skal mit barn have taget et kontrol-røntgenbillede efter endt behandling?
For de fleste børn, der kommer sig fuldstændigt og uden komplikationer, er det ikke nødvendigt med et opfølgende røntgenbillede. De radiologiske forandringer i lungerne kan tage flere uger eller endda måneder om at forsvinde helt, længe efter at barnet er blevet rask. Et kontrolbillede kan overvejes, hvis symptomerne vender tilbage, eller hvis der var tale om en meget alvorlig eller kompliceret lungebetændelse.
Hvis du vil læse andre artikler, der ligner Lungebetændelse hos børn: Røntgenbilledets rolle, kan du besøge kategorien Sundhed.
