19/11/2020
Spørgsmålet om, hvorvidt en CT-scanning kan opdage lungebetændelse, er yderst relevant i moderne medicin. Svaret er et klart ja, en CT-scanning er en yderst effektiv metode til at visualisere lungevævet og identificere tegn på infektion. Men selvom den er meget præcis, er den sjældent lægens første valg ved mistanke om en almindelig lungebetændelse. For at forstå hvorfor, må vi dykke ned i de forskellige billeddiagnostiske værktøjer, læger har til rådighed, og forstå deres specifikke roller i diagnosticering og behandling af lungesygdomme. Denne artikel vil guide dig igennem, hvornår og hvorfor en CT-scanning anvendes, og hvordan den adskiller sig fra det mere almindeligt anvendte røntgenbillede af brystkassen.

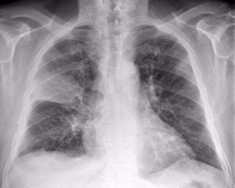
Røntgenbilledet: Lægens Første og Vigtigste Værktøj
Når en patient henvender sig til lægen med symptomer som hoste, feber, åndenød og brystsmerter, er det primære værktøj til at bekræfte en mistanke om lungebetændelse et røntgenbillede af brystkassen (thoraxrøntgen). Der er flere gode grunde til, at dette er standardproceduren:
- Tilgængelighed og Hastighed: Røntgenapparater er vidt udbredte på hospitaler og mange klinikker. Undersøgelsen tager kun få minutter at udføre, og billederne er hurtigt klar til analyse.
- Tilstrækkelig Information: I de fleste ukomplicerede tilfælde kan et røntgenbillede tydeligt vise de klassiske tegn på lungebetændelse, såsom fortætninger (konsolidering) i lungevævet. Det kan fastslå tilstedeværelsen af infektion, vurdere dens omfang og placering.
- Lav Stråledosis: Selvom al ioniserende stråling medfører en vis risiko, er stråledosis fra et enkelt røntgenbillede af brystkassen meget lav.
- Opfølgning: Røntgenbilleder er også ideelle til at følge op på behandlingen og sikre, at infektionen forsvinder som forventet.
Et røntgenbillede kan altså i langt de fleste tilfælde give lægen den nødvendige information til at stille en korrekt diagnose og iværksætte den rette antibiotikabehandling.
Hvornår kommer CT-scanningen ind i billedet?
Selvom røntgen er guldstandarden for den indledende vurdering, er der situationer, hvor dens todimensionelle billeder ikke giver nok detaljer. Her bliver CT-scanningen et uvurderligt redskab. En CT-scanner tager en serie af røntgenbilleder fra forskellige vinkler og bruger en computer til at sammensætte dem til detaljerede tværsnitsbilleder af lungerne. Dette giver et tredimensionelt og langt mere detaljeret billede af lungevævet og de omkringliggende strukturer. En CT-scanning overvejes typisk i følgende scenarier:
1. Langsom eller Manglende Reaktion på Behandling
Hvis en patient ikke får det bedre efter flere dages antibiotikabehandling, kan en CT-scanning afsløre årsagen. Det kan være, at infektionen er mere udbredt end først antaget, eller at der har udviklet sig komplikationer, som ikke er synlige på et almindeligt røntgenbillede.
2. Mistanke om Komplikationer
Lungebetændelse kan i nogle tilfælde føre til alvorlige komplikationer. En CT-scanning er markant bedre til at identificere disse:
- Lungeabsces: En byld eller en afgrænset samling af pus i lungevævet.
- Empyem: En ansamling af pus i lungehulen (pleurahulen), rummet mellem lungen og brystvæggen.
- Pleuraeffusion (Væske i lungehulen): Selvom større væskeansamlinger kan ses på røntgen, kan en CT-scanning opdage mindre mængder og hjælpe med at vurdere, om væsken skal dræneres.
- Nekrotiserende pneumoni: En sjælden, men alvorlig form for lungebetændelse, hvor lungevævet dør.
3. Vurdering af Underliggende Lungesygdom
Nogle gange kan en lungebetændelse være et tegn på en underliggende, kronisk sygdom. En fortætning på et røntgenbillede kan dække over en anden patologi. En CT-scanning kan se "igennem" infektionen og afsløre tilstande som:
- Lungekræft: En svulst kan blokere en luftvej og forårsage en infektion bag blokeringen.
- Kronisk Obstruktiv Lungesygdom (KOL): CT kan vurdere graden af emfysem.
- Bronkiektasier: Permanente udvidelser af luftvejene, som gør patienten mere modtagelig for infektioner.
4. Komplekse og Atypiske Tilfælde
Hos patienter med nedsat immunforsvar (f.eks. efter organtransplantation, under kemoterapi eller med HIV/AIDS) kan lungeinfektioner være forårsaget af usædvanlige mikroorganismer (svampe, specifikke vira) og have et atypisk udseende. En CT-scanning giver de nødvendige detaljer til at indsnævre de mulige årsager og guide den videre udredning og behandling.
CT-scanning vs. Røntgenbillede: En Direkte Sammenligning
For at give et klart overblik er her en sammenligning af de to metoder i en tabelstruktur.
| Egenskab | Røntgenbillede af Brystkassen | CT-scanning af Brystkassen |
|---|---|---|
| Detaljegrad | God til generelt overblik. 2D-billede hvor strukturer overlapper hinanden. | Ekstremt høj detaljegrad. Skaber tværsnitsbilleder (3D), der eliminerer overlap og viser fine detaljer. |
| Primær Anvendelse | Indledende diagnose af ukompliceret lungebetændelse. | Komplicerede tilfælde, manglende behandlingsrespons, mistanke om komplikationer eller underliggende sygdom. |
| Stråledosis | Meget lav. | Signifikant højere end et røntgenbillede (ca. 50-100 gange højere). |
| Tid og Tilgængelighed | Hurtig, tager få minutter. Meget udbredt. | Tager længere tid (10-30 minutter). Mindre tilgængelig og dyrere. |
| Evne til at se komplikationer | Begrænset. Kan overse små bylder eller væskeansamlinger. | Fremragende. Kan præcist identificere og karakterisere bylder, empyem og andre problemer. |
Kan Billeder Afsløre Årsagen til Lungebetændelse?
Selvom billeddiagnostik er afgørende for at bekræfte lungebetændelse, kan den sjældent med 100% sikkerhed fastslå den specifikke mikroorganisme (bakterie, virus, svamp), der er årsagen. Dog kan visse mønstre på en CT-scanning give lægen stærke fingerpeg:
- Lobar pneumoni: En fortætning, der er afgrænset til en hel lungelap, ses ofte ved klassisk bakteriel lungebetændelse, f.eks. forårsaget af pneumokokker.
- Bronkopneumoni: Pletvise fortætninger spredt i flere områder af lungerne kan tyde på andre bakterielle årsager, som f.eks. Stafylokokker.
- Interstitial pneumoni / Matglasforandringer: Et mere diffust, sløret udseende af lungevævet (kaldet "ground-glass opacities") er ofte forbundet med atypiske bakterier (som Mycoplasma) eller viral lungebetændelse, som f.eks. influenza eller COVID-19.
Det er vigtigt at understrege, at disse mønstre overlapper, og den endelige identifikation af årsagen kræver en kombination af patientens sygehistorie, kliniske symptomer og laboratorieprøver (f.eks. blodprøver, podning fra svælg eller opspyt).
Ofte Stillede Spørgsmål (OSS)
Er en CT-scanning af lungerne farlig?
Enhver undersøgelse, der bruger ioniserende stråling, indebærer en teoretisk, lille risiko for kræftudvikling på lang sigt. Læger ordinerer kun en CT-scanning, når den potentielle fordel ved at få en præcis diagnose klart opvejer denne minimale risiko. Stråledosis er højere end ved et røntgenbillede, men moderne scannere er designet til at bruge den lavest mulige dosis.
Hvorfor fik jeg ikke en CT-scanning med det samme?
Fordi et røntgenbillede i de fleste tilfælde er fuldt tilstrækkeligt til at stille diagnosen og starte behandling. Man undgår unødig stråling og sparer ressourcer i sundhedsvæsenet ved at reservere CT-scanninger til de mere komplicerede situationer, hvor den ekstra information er nødvendig.
Skal jeg forberede mig på en CT-scanning for lungebetændelse?
I mange tilfælde udføres en CT-scanning af lungerne for lungebetændelse uden kontrastvæske, og her kræves ingen særlig forberedelse. Hvis lægen har brug for at se blodkarrene tydeligere, kan det være nødvendigt med intravenøs kontrastvæske. I så fald vil du modtage specifikke instruktioner fra hospitalet, som kan inkludere at skulle faste i et par timer før undersøgelsen.
Hvad er forskellen på lungebetændelse og bronkitis på en scanning?
Akut bronkitis er en betændelse i de store luftveje (bronkierne), mens lungebetændelse er en infektion i selve lungevævet (alveolerne). Akut bronkitis giver typisk ingen forandringer, der kan ses på et røntgenbillede eller en CT-scanning. Lungebetændelse, derimod, viser sig som fortætninger eller sløring i lungevævet, hvilket er det, scanningerne leder efter.
Konklusion
For at opsummere: Ja, en CT-scanning er en yderst kapabel metode til at opdage lungebetændelse og dens mulige komplikationer med stor præcision. Den er dog et sekundært diagnostisk værktøj. Lægens førstevalg vil næsten altid være et røntgenbillede af brystkassen på grund af dets hurtighed, tilgængelighed og lavere stråledosis. CT-scanningen reserveres til de situationer, hvor sygdomsbilledet er uklart, patienten ikke reagerer på behandling, eller der er mistanke om alvorlige komplikationer eller en underliggende sygdom. Valget af billeddiagnostisk metode afhænger altid af en omhyggelig klinisk vurdering for at sikre den bedste og mest sikre behandling for den enkelte patient.
Hvis du vil læse andre artikler, der ligner Kan en CT-scanning opdage lungebetændelse?, kan du besøge kategorien Sundhed.
