13/07/2001
En diagnose med tuberkulose (TB) er en alvorlig og ofte skræmmende oplevelse. Behandlingsforløbet er langt og krævende, og når det endelig er overstået, er det største ønske at kunne lægge sygdommen bag sig for altid. Men hvad sker der, hvis behandlingen afbrydes for tidligt? Hvad hvis feber og hoste pludselig vender tilbage? Mange patienter oplever en dyb angst og paranoia for et tilbagefald, hvor enhver lille sygdom kan føles som et tegn på, at mareridtet starter forfra. Denne artikel dykker ned i, hvorfor fuld behandlingstid er altafgørende, hvordan man håndterer frygten for tilbagefald, og hvad man skal gøre, hvis man mistænker, at TB er vendt tilbage.

Forståelse af Tuberkulosebehandling: En Kamp mod Tiden
Tuberkulose forårsages af bakterien Mycobacterium tuberculosis, en sejlivet modstander, der kræver en lang og konsekvent behandling for at blive fuldstændig udryddet fra kroppen. Standardbehandlingen for lægemiddelfølsom lungetuberkulose er en nøje tilrettelagt kur, der typisk varer i seks måneder og er opdelt i to faser.
Behandlingens To Faser
- Intensivfasen (De første 2 måneder): I denne fase tager patienten normalt en kombination af fire forskellige antibiotika (Isoniazid, Rifampicin, Pyrazinamid og Ethambutol). Målet er hurtigt at nedkæmpe det store flertal af de aktive bakterier, lindre symptomerne og reducere smittefaren markant.
- Fortsættelsesfasen (De følgende 4 måneder): Her fortsætter behandlingen typisk med to af lægemidlerne (oftest Isoniazid og Rifampicin). Formålet med denne lange fase er at udrydde de resterende, langsomt delende eller 'sovende' bakterier. Disse bakterier kan overleve den indledende fase og vil, hvis de ikke bliver slået ned, kunne forårsage et tilbagefald senere.
Det er netop i vigtigheden af fortsættelsesfasen, at vi finder kernen i problemet med for tidligt afbrudt behandling. Selvom en patient føler sig rask, og røntgenbilleder af lungerne ser normale ud efter 2, 3 eller 4 måneder, lurer de skjulte bakterier stadig. At stoppe behandlingen før tid er som at slukke en ildebrand, før alle gløderne er væk. Det kan blusse op igen, og ofte med større styrke.
Risici ved For Tidlig Afslutning af Behandling
At stoppe en TB-behandling før den anbefalede tid, selv på en læges opfordring, medfører betydelige risici. Det er ikke patientens skyld, men konsekvenserne rammer desværre patienten hårdest.
- Høj Risiko for Tilbagefald: Den mest umiddelbare fare er, at sygdommen vender tilbage. De overlevende bakterier kan formere sig igen, og patienten vil skulle gennemgå et nyt, og ofte længere, behandlingsforløb.
- Udvikling af Lægemiddelresistens: En endnu mere alvorlig risiko er udviklingen af lægemiddelresistens. Når bakterier udsættes for antibiotika, men ikke udryddes fuldstændigt, kan de overlevende udvikle resistens over for de anvendte lægemidler. Dette fører til multiresistent tuberkulose (MDR-TB), som er langt sværere, dyrere og mere giftigt at behandle, ofte med et forløb på op til to år.
- Psykologisk Belastning: Følelsen af at have kæmpet forgæves i flere måneder er knusende. Det kan føre til desperation, angst og en følelse af at være svigtet af sundhedssystemet, hvilket gør det endnu sværere at mønstre energien til en ny behandlingsrunde.
Symptomer: Tilbagefald eller Almindelig Sygdom?
For en person, der har haft TB, kan enhver hoste eller feber udløse panik. Det er vigtigt at kunne skelne mellem symptomerne på et potentielt tilbagefald og en almindelig infektion som forkølelse eller influenza. En tabel kan hjælpe med at give overblik, men husk altid at konsultere en læge ved tvivl.
| Symptom | Typisk for TB-Tilbagefald | Typisk for Almindelig Infektion (f.eks. influenza) |
|---|---|---|
| Hoste | Vedvarende i over 2-3 uger, ofte med gulligt/grønligt opspyt, nogle gange med blod. Forværres langsomt. | Kommer ofte pludseligt, kan være tør eller produktiv, forbedres typisk inden for 1-2 uger. |
| Feber | Lav til moderat feber, ofte værst om aftenen og natten. Kan være vedvarende i ugevis. | Høj feber, der typisk topper inden for de første par dage og derefter falder. |
| Nattesved | Gennemblødende nattesved, der kræver skift af sengetøj. Et meget klassisk symptom. | Sjældent, medmindre feberen er meget høj. |
| Vægttab | Utilsigtet og uforklarligt vægttab over uger eller måneder. | Ikke typisk, medmindre appetitten er stærkt nedsat i få dage. |
| Træthed | Dyb, vedvarende udmattelse, der ikke forbedres markant med hvile. | Udtalt træthed, men forbedres normalt i takt med, at infektionen klinger af. |
| Ondt i halsen | Ikke et primært symptom på lungetuberkulose. | Meget almindeligt ved virale infektioner i de øvre luftveje. |
Selvom denne tabel kan give en indikation, er den eneste sikre måde at få vished på gennem diagnostiske tests. En opspytprøve (sputumprøve) er den vigtigste test for at påvise aktive TB-bakterier i lungerne.
Hvad Gør Jeg Nu? En Trin-for-Trin Guide
Hvis du befinder dig i en situation, hvor din behandling er blevet stoppet for tidligt, og du nu oplever symptomer, er det forståeligt, at du føler dig forvirret og bange. Her er en konkret handlingsplan:
- Stol på en specialist: Søg hjælp hos en lungelæge (pulmonolog). De er specialister i lungesygdomme som TB og har den dybeste viden om gældende behandlingsstandarder. En alment praktiserende læge har en bred viden, men en specialist har dybden.
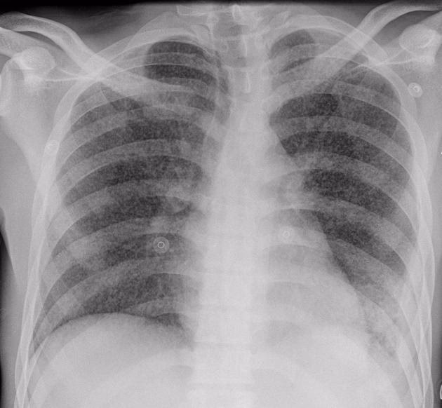
- Få foretaget de rigtige tests: Insister på at få taget en opspytprøve, som kan sendes til både mikroskopi og dyrkning. Selvom dit røntgenbillede er normalt, kan der stadig være aktive bakterier. Et normalt røntgenbillede udelukker ikke aktiv TB.
- Vær tålmodig med resultaterne: En dyrkning af TB-bakterier kan tage flere uger. Det er en frustrerende ventetid, men den er nødvendig for at få et sikkert svar.
- Følg den nye behandlingsplan: Hvis testen desværre viser sig at være positiv igen, er det afgørende at følge den nye plan, som din lungelæge udstikker. Det vil sandsynligvis indebære at genoptage behandlingen og fuldføre den til de anbefalede 6 måneder, eller måske endda længere, afhængigt af situationen.
- Beskyt dine nærmeste: Indtil du har et negativt svar fra din opspytprøve, er det en god idé at tage forholdsregler. Brug mundbind i tætbefolkede områder, sørg for god udluftning derhjemme, og undgå tæt kontakt med særligt sårbare personer (små børn, ældre, immunsvækkede).
Ofte Stillede Spørgsmål (FAQ)
Er det min skyld, at jeg måske har fået et tilbagefald?
Absolut ikke. En patient har ansvaret for at tage sin medicin som foreskrevet, men når en læge træffer beslutningen om at stoppe behandlingen, har patienten handlet i god tro. Ansvaret for behandlingsvarigheden ligger hos den ordinerende læge, som bør følge internationale retningslinjer.
Hvis min test er positiv igen, er mine første 4 måneders behandling så helt spildt?
Nej, de er ikke spildt. De fire måneders behandling har med stor sandsynlighed reduceret mængden af bakterier i din krop markant og svækket dem. Det er dog tydeligt, at behandlingen ikke var lang nok til at udrydde dem alle. Den nye behandling bygger videre på det fundament, der allerede er lagt, for at opnå en fuldstændig helbredelse.
Hvorfor er der forskel på, hvad læger anbefaler?
Internationale sundhedsorganisationer som WHO har klare retningslinjer baseret på årtiers forskning, som anbefaler 6 måneders behandling for standard lungetuberkulose. I sjældne, specifikke tilfælde kan kortere forløb overvejes, men det er ikke normen. Forskelle i anbefalinger kan skyldes manglende opdateret viden, en fejltolkning af patientens specifikke tilfælde eller lokale retningslinjer, der afviger fra den internationale standard. Det understreger vigtigheden af at konsultere en specialist.
Hvordan håndterer jeg den mentale byrde og paranoia?
Det er en reel og valid følelse. Tal åbent med din læge om din angst. Del dine bekymringer med dine nærmeste venner og familie. At anerkende, at din frygt er baseret på en reel risiko, kan hjælpe andre med at forstå, at du ikke er 'bare paranoid'. At følge en klar plan og få konkrete svar gennem tests er den bedste medicin mod usikkerhed. Husk, du har kæmpet en hård kamp én gang – du har styrken til at sikre dig, at den bliver vundet for altid.
Hvis du vil læse andre artikler, der ligner Tuberkulose: Frygten for et Tilbagefald, kan du besøge kategorien Sundhed.
