23/09/2025
Lungebetændelse er en alvorlig infektion, der rammer lungevævet og kan forårsage betydeligt ubehag og alvorlige komplikationer, hvis den ikke behandles korrekt. En hurtig og præcis diagnose er nøglen til en vellykket behandling og for at undgå potentielt livstruende situationer. Et af de mest centrale værktøjer i lægens arsenal til at diagnosticere denne tilstand er røntgenbilledet af brystkassen. Men selvom det er et uvurderligt redskab, er processen ikke altid ligetil. Fortolkningen af billederne kan være kompleks, og der er flere faldgruber, som kan gøre diagnosen udfordrende. Denne artikel vil dykke ned i, hvordan et røntgenbillede bruges til at identificere lungebetændelse, hvilke udfordringer der er forbundet med det, og hvad patienter bør vide om processen.

Hvad er Lungebetændelse, og Hvorfor er Diagnosen Vigtig?
Lungebetændelse, medicinsk kendt som pneumoni, er en betændelsestilstand i lungeblærerne (alveolerne) i den ene eller begge lunger. Disse små luftsække kan blive fyldt med væske eller pus, hvilket fører til en række symptomer. Årsagerne kan være mange, herunder bakterier, vira, svampe eller endda indånding af kemikalier. De mest almindelige symptomer inkluderer:
- Hoste, som kan producere gulligt, grønligt eller blodigt slim
- Feber, svedeture og kulderystelser
- Åndenød eller hurtig, overfladisk vejrtrækning
- Smerter i brystet, der forværres ved dyb indånding eller hoste
- Træthed og tab af appetit
- Forvirring, især hos ældre voksne
Tidlig diagnose er altafgørende. Ubehandlet lungebetændelse kan føre til alvorlige komplikationer som blodforgiftning (sepsis), lungebylder og permanent lungeskade. For sårbare grupper som ældre, spædbørn og personer med svækket immunforsvar kan sygdommen være dødelig. Derfor er en pålidelig diagnostisk metode essentiel.
Røntgenbilledets Rolle i Diagnostik
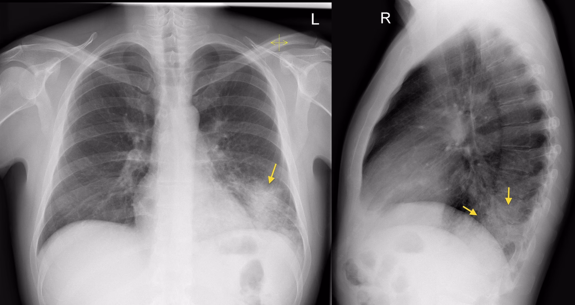
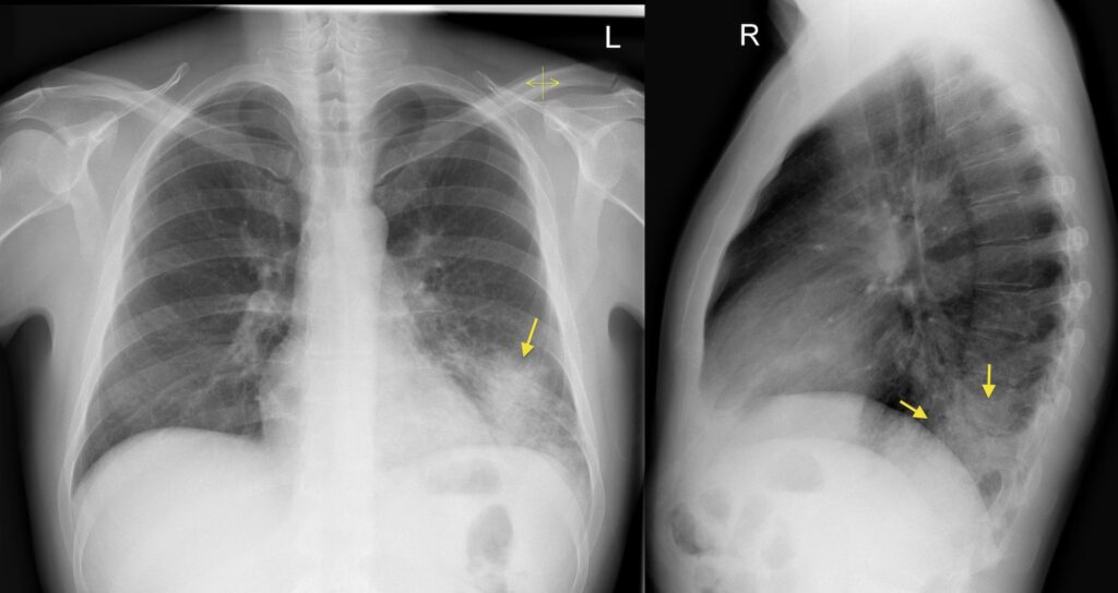
Når en læge har mistanke om lungebetændelse baseret på symptomer og en fysisk undersøgelse (f.eks. ved at lytte på lungerne med et stetoskop), er et røntgenbillede af brystkassen ofte det næste skridt. Denne procedure, også kaldet et thoraxrøntgen, bruger en lille mængde ioniserende stråling til at skabe billeder af organerne i brystet, herunder hjerte, lunger og knogler.
På et normalt røntgenbillede fremstår lungerne som mørke, fordi de primært er fyldt med luft, som strålerne let passerer igennem. Knogler og hjertet fremstår hvide, da de er tættere og absorberer mere stråling. Når der er lungebetændelse, vil de betændte områder i lungen, der er fyldt med væske og pus, også fremstå som hvidlige eller uklare pletter. Disse områder kaldes infiltrater eller konsolideringer. Et røntgenbillede kan hjælpe lægen med at:
- Bekræfte diagnosen: Visualisere tilstedeværelsen af infiltrater, der er et klassisk tegn på lungebetændelse.
- Bestemme omfanget: Vise, hvor stor en del af lungen der er påvirket, og om det er i den ene eller begge lunger.
- Identificere komplikationer: Opdage eventuelle komplikationer som væskeansamling omkring lungen (pleural effusion) eller dannelsen af en byld (absces).
- Udelukke andre årsager: Symptomer som hoste og åndenød kan også skyldes andre tilstande som hjertesvigt eller en blodprop i lungen, som et røntgenbillede kan hjælpe med at differentiere.
Udfordringer ved Fortolkning af Røntgenbilleder
Selvom det er et kraftfuldt diagnostisk værktøj, er et røntgenbillede ikke altid entydigt. En erfaren radiolog eller læge skal fortolke billederne, og der er flere faktorer, der kan gøre dette vanskeligt.
1. Overlappende Diagnoser
Flere andre lungesygdomme kan ligne lungebetændelse på et røntgenbillede. Det kræver klinisk erfaring og ofte yderligere undersøgelser at skelne mellem dem. Nedenstående tabel viser nogle af de tilstande, der kan forveksles med lungebetændelse:
| Tilstand | Røntgenfund, der kan ligne Lungebetændelse | Hvordan de adskiller sig |
|---|---|---|
| Lungeødem (væske i lungerne pga. hjertesvigt) | Diffuse, hvidlige uklarheder i begge lunger. | Ofte ledsaget af et forstørret hjerte og væske i lungespalterne (Kerley B-linjer). Patientens sygehistorie med hjertesygdom er afgørende. |
| Atelektase (sammenfaldet lungevæv) | En hvidlig fortætning, der kan ligne en konsolidering. | Atelektase medfører ofte et tab af lungevolumen, hvilket kan trække mellemgulvet opad eller forskyde hjertet. |
| Lungekræft | En masse eller knude, der kan forveksles med en lungebyld eller en lokaliseret lungebetændelse. | Kræftknuder har ofte en mere velafgrænset og solid form. Et opfølgende røntgenbillede efter antibiotikabehandling vil vise, om forandringen forsvinder. |
| Lungeemboli (blodprop i lungen) | Kan i nogle tilfælde forårsage et kileformet område med fortætning (Hampton's Hump). | Røntgenbilledet er ofte normalt. Diagnosen stilles typisk med en CT-scanning. Patientens symptomer med pludselig åndenød er et vigtigt spor. |
2. Uklare eller Tvetydige Billeder
Kvaliteten af røntgenbilledet spiller en stor rolle. Et billede kan være svært at tolke, hvis:
- Patienten har bevæget sig: Bevægelse under eksponeringen kan gøre billedet sløret.
- Inspirationen er utilstrækkelig: Hvis patienten ikke har trukket vejret dybt nok ind, kan lungerne se mindre og tættere ud, hvilket kan ligne sygdom.
- Patientens kropsbygning: Hos overvægtige patienter kan det være sværere at opnå billeder af høj kvalitet.
- Tidligt i sygdomsforløbet: I de allerførste timer eller dage af en lungebetændelse er forandringerne måske endnu ikke synlige på et røntgenbillede.
3. Forskellige Typer af Lungebetændelse
Ikke alle lungebetændelser ser ens ud. En "typisk" bakteriel lungebetændelse viser sig ofte som en velafgrænset fortætning i en enkelt lungelap (lobar pneumoni). En "atypisk" lungebetændelse, ofte forårsaget af vira eller Mycoplasma-bakterien, kan give mere diffuse og spredte forandringer, der kan være sværere at identificere.
Ofte Stillede Spørgsmål (FAQ)
Kan et røntgenbillede med sikkerhed udelukke lungebetændelse?
Ikke altid. Som nævnt kan et røntgenbillede være normalt i de tidligste stadier af sygdommen. Hvis de kliniske symptomer er stærke, kan en læge vælge at starte behandling alligevel og eventuelt gentage røntgenbilledet efter 24-48 timer.
Er strålingen fra et røntgenbillede farlig?
Mængden af stråling fra et enkelt røntgenbillede af brystkassen er meget lav – omtrent den samme mængde baggrundsstråling, som man udsættes for i løbet af et par dage. Fordelen ved at få stillet en korrekt og hurtig diagnose vejer langt tungere end den minimale risiko, der er forbundet med strålingen.
Hvad sker der, hvis diagnosen er usikker?
Hvis røntgenbilledet er tvetydigt, vil lægen kombinere informationen med andre fund. Dette kan omfatte blodprøver (for at se efter tegn på infektion som forhøjede hvide blodlegemer og CRP), en podning fra svælget eller en spytprøve (sputum) for at identificere den specifikke mikroorganisme. I mere komplicerede tilfælde kan en CT-scanning af brystkassen blive nødvendig, da den giver langt mere detaljerede billeder af lungerne.
Skal man have taget et kontrol-røntgenbillede efter endt behandling?
Det afhænger af situationen. For unge, ellers raske personer er det ofte ikke nødvendigt. For ældre patienter, rygere, eller hvis der var usædvanlige fund på det første billede, anbefales det ofte at tage et kontrolbillede efter 4-6 uger for at sikre, at fortætningen er forsvundet helt, og at der ikke gemmer sig en anden underliggende sygdom, som f.eks. kræft.
Konklusion
Røntgenbilleder af brystkassen er og bliver en hjørnesten i diagnosticeringen af lungebetændelse. Det er en hurtig, tilgængelig og effektiv metode til at bekræfte mistanken om sygdommen, vurdere dens alvorlighed og udelukke andre lidelser. Dog er det vigtigt at forstå, at fortolkningen kræver ekspertise, og at billedet altid skal ses i sammenhæng med patientens symptomer og andre kliniske fund. Udfordringer som overlappende diagnoser og tvetydige billeder betyder, at røntgenbilledet er en vigtig brik i et større diagnostisk puslespil, men sjældent hele svaret alene. Hvis du oplever symptomer på lungebetændelse, er det afgørende at søge lægehjælp for at få den rette diagnose og behandling.
Hvis du vil læse andre artikler, der ligner Røntgen og Lungebetændelse: En Komplet Guide, kan du besøge kategorien Sundhed.
