29/11/2002
Lobær lungebetændelse er en alvorlig form for lungeinfektion, der specifikt påvirker en eller flere af lungernes lapper. Denne tilstand skyldes typisk en bakteriel infektion, der fører til en intens inflammation i lungevævet. Når en lungelap bliver betændt, fyldes de små luftsække, kendt som alveoler, med væske, pus og inflammatoriske celler. Dette forhindrer ilt i at passere effektivt over i blodet, hvilket resulterer i symptomer som åndedrætsbesvær, hoste og feber. At forstå denne sygdom, dens årsager, symptomer og behandlingsmuligheder er afgørende for en hurtig og fuldstændig helbredelse. Denne artikel vil guide dig gennem alt, hvad du behøver at vide om lobær lungebetændelse.

- Hvad er Lobær Lungebetændelse og Hvordan Udvikler Den Sig?
- De Primære Årsager til Lobær Lungebetændelse
- Genkendelse af Symptomerne
- Diagnose: Hvordan Stiller Lægen Diagnosen?
- Behandlingsmuligheder for Lobær Lungebetændelse
- Mulige Komplikationer
- Forebyggelse: Sådan Beskytter du Dig Selv
- Ofte Stillede Spørgsmål (FAQ)
Hvad er Lobær Lungebetændelse og Hvordan Udvikler Den Sig?
For at forstå lobær lungebetændelse, er det vigtigt at kende lungernes anatomi. Lungerne er opdelt i sektioner kaldet lapper; den højre lunge har tre lapper, mens den venstre har to. Lobær lungebetændelse er defineret ved, at infektionen og den efterfølgende inflammation er begrænset til en hel anatomisk lap. Dette adskiller den fra andre typer lungebetændelse, såsom bronkopneumoni, der er mere pletvis og spredt i mindre områder i begge lunger.
Sygdommen udvikler sig, når en persons immunforsvar bliver overvældet af en smitsom mikroorganisme. Bakterier kan komme ind i lungerne på flere måder, men den mest almindelige rute er gennem aspiration af mikroorganismer fra munden og svælget. Selvom vi alle regelmæssigt aspirerer små mængder, kan et stort antal bakterier eller et svækket immunforsvar føre til, at en infektion får fodfæste. Når bakterierne når alveolerne, formerer de sig hurtigt. Kroppen reagerer med et kraftigt immunrespons, hvor hvide blodlegemer strømmer til området for at bekæmpe infektionen. Denne kamp fører til ophobning af væske og pus, som skaber den 'konsolidering', der er karakteristisk for lobær lungebetændelse og kan ses på et røntgenbillede.
De Primære Årsager til Lobær Lungebetændelse
Den absolut mest almindelige årsag til lobær lungebetændelse er bakterien Streptococcus pneumoniae, også kendt som pneumokokbakterien. Andre bakterier kan dog også være ansvarlige, herunder:
- Haemophilus influenzae
- Klebsiella pneumoniae
- Staphylococcus aureus
Disse bakterier spredes typisk gennem dråber i luften, når en smittet person hoster eller nyser, eller ved direkte kontakt med forurenede overflader. Selvom det er mindre almindeligt, kan vira og svampe i sjældne tilfælde også forårsage et lignende sygdomsbillede.

Risikofaktorer: Hvem er mest udsat?
Selvom alle kan få lobær lungebetændelse, er visse grupper mere sårbare. Risikofaktorer inkluderer:
- Alder: Små børn under 2 år og voksne over 65 år har ofte et svagere immunforsvar.
- Underliggende Sygdomme: Kroniske lungesygdomme som KOL og astma, hjertesygdomme, diabetes og nyresvigt øger risikoen.
- Svækket Immunsystem: Personer med HIV/AIDS, dem der modtager kemoterapi, eller dem der tager immunsupprimerende medicin er i højere risiko.
- Rygning: Rygning skader lungernes forsvarsmekanismer og gør dem mere modtagelige for infektioner.
- Nylig Operation eller Skade: Personer, der for nylig har været opereret eller har haft en brystskade, kan have nedsat lungefunktion og svækket immunforsvar.
Genkendelse af Symptomerne
Symptomerne på lobær lungebetændelse kan udvikle sig hurtigt og være ganske alvorlige. Det er vigtigt at være opmærksom på følgende tegn:
- Høj feber: Ofte ledsaget af kulderystelser og svedeture.
- Vedvarende hoste: Typisk en produktiv hoste, der producerer tykt, gulligt eller grønligt slim (opspyt). I nogle tilfælde kan der være blod i opspyttet.
- Brystsmerter: En skarp eller stikkende smerte i brystet, der forværres ved dyb vejrtrækning eller hoste.
- Åndedrætsbesvær: Følelse af stakåndethed eller hurtig, overfladisk vejrtrækning.
- Generel utilpashed: Udtalt træthed, muskelsmerter, hovedpine og tab af appetit.
- Forvirring: Især hos ældre patienter kan forvirring eller ændringer i mental tilstand være et fremtrædende symptom.
Diagnose: Hvordan Stiller Lægen Diagnosen?
En præcis diagnose er afgørende for at starte den korrekte behandling. Diagnosen baseres typisk på en kombination af sygehistorie, en fysisk undersøgelse og diagnostiske tests.
Lægeundersøgelse
Lægen vil spørge ind til dine symptomer og din medicinske historie. Under den fysiske undersøgelse vil lægen lytte til dine lunger med et stetoskop for at høre efter unormale lyde som knitren (krepitation) eller nedsat vejrtrækningslyd over den berørte lungelap. Lægen kan også banke let på brystkassen for at tjekke for områder med 'dæmpning', som kan indikere væskeansamling.
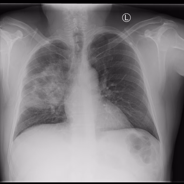
Billeddiagnostik
Et røntgenbillede af brystkassen er den vigtigste test til at bekræfte diagnosen. Ved lobær lungebetændelse vil røntgenbilledet typisk vise en tydeligt afgrænset, hvid skygge (konsolidering) i en hel lungelap. I nogle tilfælde kan en CT-scanning være nødvendig for at få et mere detaljeret billede af lungerne, især hvis der er mistanke om komplikationer.
Laboratorieprøver
For at identificere den specifikke bakterie og vælge det mest effektive antibiotikum, kan lægen bestille yderligere tests:
- Opspytsprøve (Ekspektorat): En prøve af det slim, du hoster op, sendes til laboratoriet for at blive dyrket og identificere bakterien.
- Blodprøver: En blodprøve kan vise tegn på infektion, såsom et forhøjet antal hvide blodlegemer. En bloddyrkning kan også afsløre, om infektionen har spredt sig til blodbanen (sepsis).
Behandlingsmuligheder for Lobær Lungebetændelse
Behandlingen fokuserer på at bekæmpe infektionen, lindre symptomerne og forhindre komplikationer. Hurtig behandling er nøglen til et godt resultat.

Antibiotika
Da lobær lungebetændelse oftest er forårsaget af bakterier, er antibiotika den primære behandling. Valget af antibiotikum afhænger af den formodede bakterie, sværhedsgraden af sygdommen og lokale resistensmønstre. Det er ekstremt vigtigt at fuldføre hele antibiotikakuren, selvom du begynder at føle dig bedre, for at sikre, at infektionen er fuldstændig udryddet.
| Antibiotikum | Almindelig Dosering | Mulige Bivirkninger |
|---|---|---|
| Amoxicillin | 500 mg – 1 g, tre gange dagligt | Kvalme, diarré, allergiske reaktioner |
| Azithromycin | 500 mg, en gang dagligt | Kvalme, opkastning, mavesmerter |
| Ceftriaxon | 1-2 g, en gang dagligt (intravenøst) | Diarré, allergiske reaktioner, reaktioner på injektionsstedet |
Understøttende Behandling og Hjemmepleje
Ud over antibiotika er understøttende pleje afgørende for helbredelsen:
- Hvile: Kroppen har brug for masser af hvile for at bekæmpe infektionen.
- Væske: Drik rigeligt med væske som vand, te og suppe for at undgå dehydrering og for at hjælpe med at løsne slim i lungerne.
- Symptomlindring: Håndkøbsmedicin som paracetamol eller ibuprofen kan bruges til at kontrollere feber og lindre brystsmerter.
- Brug en luftfugter: At tilføje fugt til luften kan lindre en irriteret hals og hoste. Et varmt dampbad kan have en lignende effekt.
I alvorlige tilfælde, især hos ældre eller personer med andre sygdomme, kan hospitalsindlæggelse være nødvendig for at give intravenøs antibiotika og iltbehandling.
Mulige Komplikationer
Selvom de fleste kommer sig fuldstændigt med behandling, kan lobær lungebetændelse i nogle tilfælde føre til alvorlige komplikationer:
- Pleural Effusion: En ophobning af væske i rummet mellem lungerne og brystvæggen (pleurahulen). Hvis væsken bliver inficeret, kaldes det et empyem.
- Lungeabsces: En lokaliseret samling af pus i lungevævet. Dette er sjældent, men kan kræve drænage.
- Sepsis: En livstruende tilstand, hvor infektionen spreder sig til blodbanen og forårsager en systemisk inflammatorisk reaktion.
- Respirationssvigt: Når lungerne ikke længere kan levere tilstrækkelig ilt til kroppen, hvilket kan kræve respiratorbehandling.
Forebyggelse: Sådan Beskytter du Dig Selv
Det er muligt at tage skridt for at reducere din risiko for at udvikle lobær lungebetændelse:
- Vaccination: Få pneumokokvaccinen, især hvis du er i en risikogruppe. Den årlige influenzavaccine er også vigtig, da lungebetændelse ofte kan opstå som en komplikation til influenza.
- God Hygiejne: Vask hænder regelmæssigt og grundigt med sæbe og vand.
- Undgå Rygning: Rygning er en af de største risikofaktorer for lungesygdomme.
- Styrk dit Immunsystem: En sund livsstil med en afbalanceret kost, regelmæssig motion og tilstrækkelig søvn hjælper med at holde dit immunforsvar stærkt.
Ofte Stillede Spørgsmål (FAQ)
Hvad er forskellen på lobær lungebetændelse og bronkopneumoni?
Lobær lungebetændelse påvirker en hel lungelap og giver en ensartet konsolidering. Bronkopneumoni er mere pletvis og involverer mindre områder omkring bronkierne, ofte i begge lunger.

Hvor længe varer lobær lungebetændelse?
Med behandling begynder de fleste at få det bedre inden for en uge eller to. Træthed og hoste kan dog vare i flere uger, før man er fuldstændig rask.
Er lobær lungebetændelse smitsom?
De bakterier, der forårsager lungebetændelse, kan være smitsomme og spredes via hoste og nys. Selve lungebetændelsen er dog en reaktion på infektionen, og ikke alle, der udsættes for bakterierne, vil udvikle sygdommen.
Hvornår skal jeg søge læge?
Du bør søge læge, hvis du oplever vedvarende hoste, høj feber, brystsmerter eller åndedrætsbesvær. Tidlig diagnose og behandling er afgørende for at undgå alvorlige komplikationer.
Hvis du vil læse andre artikler, der ligner Lobær Lungebetændelse: Symptomer og Behandling, kan du besøge kategorien Sundhed.
