21/09/2002
Lungebetændelse er en velkendt, men potentielt alvorlig infektion i lungevævet. Men hvad sker der, når denne tilstand kompliceres af en væskeansamling omkring lungen? Denne tilstand er kendt som lungebetændelse med pleural effusion, og den kræver særlig opmærksomhed og behandling. I denne artikel vil vi dykke ned i, hvad denne tilstand indebærer, fra de grundlæggende definitioner til symptomer, diagnose og de mest effektive behandlingsformer. At forstå denne komplikation er afgørende for at sikre en hurtig og korrekt håndtering og forbedre patientens prognose.

Hvad er Lungebetændelse?
For at forstå komplikationen er det vigtigt først at have en klar forståelse af, hvad lungebetændelse (pneumoni) er. Lungebetændelse er en infektion, der forårsager betændelse i luftsækkene (alveolerne) i en eller begge lunger. Disse luftsække kan fyldes med væske eller pus, hvilket fører til en række respiratoriske symptomer. Infektionen kan være forårsaget af forskellige mikroorganismer, herunder bakterier, vira og svampe.
Den mest almindelige årsag til bakteriel lungebetændelse er Streptococcus pneumoniae, også kendt som pneumokokken. Andre bakterier som Haemophilus influenzae og Mycoplasma pneumoniae er også hyppige årsager. Lungebetændelse klassificeres ofte ud fra, hvor den er erhvervet: samfundserhvervet lungebetændelse (erhvervet uden for et hospital) eller hospitalserhvervet lungebetændelse (erhvervet under et hospitalsophold). Denne skelnen er vigtig, da de involverede patogener og den nødvendige antibiotikabehandling kan variere.
Typiske Symptomer på Lungebetændelse
Symptomerne på lungebetændelse kan variere fra milde til livstruende. De mest almindelige symptomer inkluderer:
- Hoste, som kan være tør eller produktiv (med opspyt)
- Feber, svedeture og kulderystelser
- Åndenød eller hurtig, overfladisk vejrtrækning
- Brystsmerter, der forværres ved dyb indånding eller hoste
- Træthed og generel utilpashed
- Forvirring eller ændringer i mental bevidsthed (især hos ældre voksne)
Forståelse af Pleural Effusion
Nu hvor vi har defineret lungebetændelse, lad os se på komplikationen. En pleural effusion er en unormal ophobning af væske i pleurahulen – det tynde rum mellem lungen og brystvæggen. Pleuraen består af to hinder: en, der dækker lungen (visceral pleura), og en, der beklæder indersiden af brystvæggen (parietal pleura). Normalt indeholder dette rum en meget lille mængde væske, der fungerer som smøremiddel for lungernes bevægelse under vejrtrækningen.
Når en pleural effusion opstår i forbindelse med en lungebetændelse, kaldes den en parapneumonisk effusion. Dette sker, fordi betændelsen fra lungeinfektionen kan sprede sig til pleuraen, hvilket øger permeabiliteten af de små blodkar og fører til, at væske siver ud i pleurahulen. Det anslås, at 20-40% af patienter, der indlægges med lungebetændelse, udvikler en vis grad af parapneumonisk effusion.
Symptomer og Diagnose af Lungebetændelse med Pleural Effusion
Symptomerne på en parapneumonisk effusion overlapper ofte med symptomerne på selve lungebetændelsen. Dog kan tilstedeværelsen af en betydelig mængde væske forårsage yderligere eller forværrede symptomer:
- Forværret åndenød: Væsken presser på lungen og begrænser dens evne til at udvide sig.
- Pleuritiske brystsmerter: En skarp, stikkende smerte, der forværres ved vejrtrækning, hoste eller nys. Dette er et stærkt advarselstegn.
- Tør hoste: I modsætning til den ofte produktive hoste ved lungebetændelse kan effusionen forårsage en vedvarende tør hoste.
Diagnostiske Metoder
For at stille en præcis diagnose er en kombination af klinisk undersøgelse og billeddiagnostik nødvendig.

Fysisk Undersøgelse: Ved at lytte på lungerne med et stetoskop kan lægen høre dæmpede eller fraværende vejrtrækningslyde over det område, hvor væsken har samlet sig. Perkussion (at banke let på brystkassen) kan afsløre en mat lyd i stedet for den normale hule lyd over lungerne.
Billeddiagnostik:
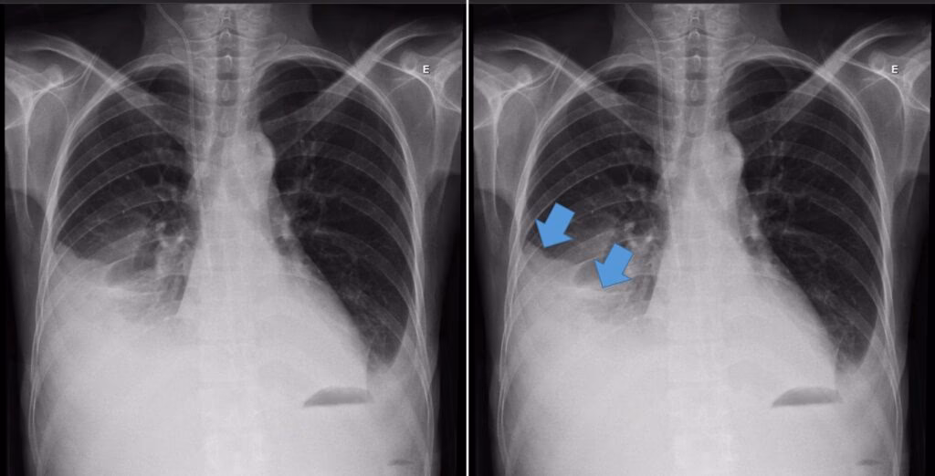
- Røntgen af thorax (brystkassen): Dette er typisk den første undersøgelse. Et røntgenbillede kan vise tegn på lungebetændelse (et infiltrat) og samtidig afsløre tilstedeværelsen af væske i pleurahulen. Et billede taget, mens patienten ligger på siden (lateral dekubitus), kan hjælpe med at vurdere mængden af væske og om den er fritflydende.
- Ultralyd af brystkassen: Ultralyd er en meget følsom metode til at påvise selv små mængder væske. Det er også et fremragende værktøj til at guide nålen sikkert, hvis det bliver nødvendigt at udtømme væsken.
- CT-scanning: En CT-scanning giver mere detaljerede billeder af lungerne, pleuraen og væskeansamlingen. Den kan hjælpe med at skelne mellem en simpel væskeansamling og mere komplicerede tilstande som et empyem (en byld i pleurahulen) eller fortykket pleura.
Thoracentese: Hvis der er en betydelig mængde væske, kan lægen udføre en thoracentese. Dette er en procedure, hvor en tynd nål føres ind i pleurahulen for at udtage en prøve af væsken. Væsken analyseres derefter i laboratoriet for at bestemme dens sammensætning (protein, glukose, LDH), celletal og for at lede efter bakterier. Denne analyse er afgørende for at skelne mellem en ukompliceret parapneumonisk effusion og en kompliceret effusion eller et empyem, hvilket har stor betydning for behandlingen.
Behandling af Lungebetændelse med Pleural Effusion
Behandlingen afhænger af effusionens størrelse og art. Målet er at behandle den underliggende lungebetændelse og håndtere væskeansamlingen for at lindre symptomer og forhindre komplikationer.
1. Antibiotika
Kernen i behandlingen er aggressiv behandling af lungeinfektionen med antibiotika. Valget af antibiotika afhænger af, om lungebetændelsen er samfundserhvervet eller hospitalserhvervet, patientens alder og eventuelle andre sygdomme. Ofte startes en bredspektret antibiotikabehandling empirisk (baseret på erfaring), indtil resultaterne fra væske- eller blodkulturer er tilgængelige.
2. Drænage af Væsken
Ikke alle effusioner kræver drænage. Små, ukomplicerede parapneumoniske effusioner forsvinder ofte af sig selv, når lungebetændelsen behandles med antibiotika.

Drænage er dog indiceret i følgende tilfælde:
- Store effusioner: Hvis væsken forårsager betydelig åndenød.
- Komplicerede effusioner: Hvis analysen af pleuravæsken viser tegn på en mere alvorlig infektion (f.eks. lav pH, lav glukose, højt LDH) eller hvis der er bakterier til stede.
- Empyem: Hvis væsken er pus, skal den altid dræneres.
Drænage kan udføres ved hjælp af:
- Terapeutisk thoracentese: Udtømning af en større mængde væske for at lindre symptomer.
- Anlæggelse af pleuradræn: Et tyndt plastikrør (dræn) placeres i pleurahulen for kontinuerligt at dræne væsken over flere dage. Dette gøres ofte ultralydsvejledt.
Sammenligningstabel: Ukompliceret vs. Kompliceret Effusion
| Karakteristik | Ukompliceret Parapneumonisk Effusion | Kompliceret Effusion / Empyem |
|---|---|---|
| Udseende af væske | Klar, strågul | Uklar, grumset eller pus-lignende |
| Bakterier | Ingen bakterier ved dyrkning (steril) | Ofte positive bakteriekulturer |
| Biokemi (pH, Glukose) | Normal pH (>7.20), Normal glukose | Lav pH (<7.20), Lav glukose |
| Behandling | Kun antibiotika | Antibiotika OG drænage |
Ofte Stillede Spørgsmål (FAQ)
Kan en pleural effusion forsvinde af sig selv?
Ja, små, ukomplicerede parapneumoniske effusioner kan ofte forsvinde fuldstændigt, når den underliggende lungebetændelse er effektivt behandlet med antibiotika. Kroppen vil gradvist reabsorbere væsken.
Er lungebetændelse med pleural effusion smitsom?
Selve den pleurale effusion er ikke smitsom. Det er en komplikation og en reaktion på infektion. Dog kan den lungebetændelse, der forårsagede effusionen, være smitsom afhængigt af den specifikke mikroorganisme (f.eks. via dråbesmitte ved hoste).
Hvad er prognosen?
Prognosen afhænger i høj grad af patientens generelle helbredstilstand, sværhedsgraden af lungebetændelsen og hvor hurtigt korrekt behandling iværksættes. Med rettidig diagnose og behandling, herunder drænage når det er nødvendigt, kommer de fleste patienter sig fuldstændigt. Ubehandlede komplicerede effusioner eller empyemer kan dog føre til alvorlige komplikationer som ardannelse i pleura (fibrose), der kan give permanent nedsat lungefunktion.
Konklusion
Lungebetændelse med pleural effusion er en almindelig, men potentielt alvorlig komplikation, der kræver omhyggelig diagnostik og håndtering. Mens den grundlæggende behandling fokuserer på at bekæmpe lungeinfektionen med antibiotika, er det afgørende at vurdere karakteren af den pleurale væske. En hurtig identifikation og drænage af komplicerede effusioner og empyemer er nøglen til at forhindre langsigtede komplikationer og sikre en god prognose for patienten. Hvis du oplever symptomer som forværret åndenød eller skarpe brystsmerter i forbindelse med en luftvejsinfektion, er det vigtigt at søge lægehjælp med det samme.
Hvis du vil læse andre artikler, der ligner Lungebetændelse med Pleural Effusion: En Guide, kan du besøge kategorien Sundhed.
