21/07/2023
Legionærsygdom, en alvorlig form for lungebetændelse forårsaget af bakterien Legionella pneumophila, kræver hurtig og præcis diagnose for at sikre den bedste behandling og undgå alvorlige komplikationer. Mens et almindeligt røntgenbillede af brystkassen ofte er det første skridt, kan dets fund være uspecifikke og ligne andre, mere almindelige lungebetændelser. Her spiller en computertomografi (CT-scanning) en afgørende rolle. En CT-scanning giver et langt mere detaljeret, tredimensionelt billede af lungerne, hvilket gør det muligt for læger at identificere mønstre, der er mere karakteristiske for netop denne infektion. Denne artikel dykker ned i, hvad en CT-scanning specifikt viser hos en patient med Legionella-lungebetændelse, og hvorfor denne teknologi er så værdifuld i den diagnostiske proces.

Hvad er Legionærsygdom?
Før vi ser på billederne, er det vigtigt at forstå sygdommen. Legionærsygdom er en infektion, der typisk spredes gennem indånding af forurenede vanddråber (aerosoler) fra kilder som airconditionanlæg, spabade og vandsystemer i store bygninger. Den rammer oftest personer med nedsat immunforsvar, rygere, ældre eller personer med kroniske lungesygdomme. Symptomerne kan være voldsomme og omfatter høj feber, kulderystelser, hovedpine, muskelsmerter og en tør hoste, der senere kan udvikle sig til at producere slim. Et særkende ved Legionella er, at den udover lungesymptomer ofte giver symptomer fra andre organsystemer, såsom diarré, kvalme og forvirring.
Hvorfor er en CT-scanning nødvendig?
Et traditionelt røntgenbillede kan vise tegn på lungebetændelse, såsom pletter eller skygger i lungen, men det kan være svært at skelne mellem forskellige årsager. Især i de tidlige stadier, eller hos patienter med eksisterende lungesygdomme, kan et røntgenbillede være tvetydigt. En CT-scanning overvinder disse begrænsninger ved at tage en række tværsnitsbilleder af lungerne, som en computer sammensætter til et detaljeret billede. Dette giver radiologer og læger mulighed for at vurdere udbredelsen, placeringen og karakteren af infektionen med meget større præcision.
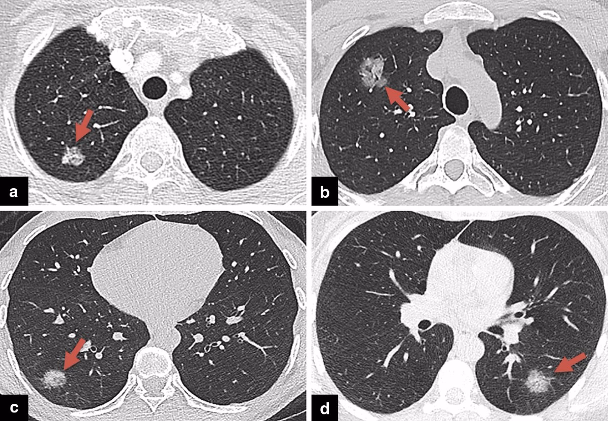
Typiske fund på en CT-scanning ved Legionella
Selvom ingen enkelte fund er 100% specifikke for Legionella, er der et mønster af forandringer, som ofte ses, og som kan give en stærk mistanke. Disse fund udvikler sig ofte hurtigt over få dage.
- Konsolidering: Dette er det mest almindelige fund. Konsolidering betyder, at lungevævets små luftsække (alveoler) er fyldt med væske, pus og celler i stedet for luft. På en CT-scanning ses dette som tætte, hvide områder. Ved Legionella er disse konsolideringer ofte pletvise (patchy) og kan involvere flere lapper af lungen (multilobære), ofte startende i de nedre dele af lungerne.
- Matglasinfiltrater (Ground-Glass Opacities): Dette er et andet hyppigt fund. Matglasinfiltrater beskriver områder i lungen, der ser tågede eller slørede ud på scanningen, som at kigge gennem mat glas. Det indikerer en delvis fyldning af luftsækkene eller en fortykkelse af vævet omkring dem. Disse områder findes ofte omkring de mere tætte konsolideringer og kan være et tegn på, at infektionen spreder sig.
- Pleuraeffusion (Væske i lungehinden): Det er relativt almindeligt, at patienter med Legionella-lungebetændelse udvikler væskeansamling i pleurahulen, som er rummet mellem lungen og brystvæggen. En CT-scanning kan meget præcist påvise selv små mængder væske, hvilket kan være sværere at se på et almindeligt røntgenbillede.
- Hurtig progression: Et karakteristisk træk ved Legionella er, at forandringerne i lungerne kan udvikle sig meget hurtigt. En patient kan gå fra at have mindre pletter til udbredt konsolidering i begge lunger på bare 2-4 dage. Opfølgende CT-scanninger kan visualisere denne progression og hjælpe med at vurdere, om behandlingen virker.
Sammenligning med andre lungebetændelser
For at forstå værdien af CT-fundene er det nyttigt at sammenligne dem med andre almindelige former for lungebetændelse.
| Karakteristik | Legionella-lungebetændelse | Typisk bakteriel lungebetændelse (f.eks. pneumokokker) | Viral lungebetændelse (f.eks. influenza) |
|---|---|---|---|
| Placering | Ofte plettet, i flere lapper, typisk perifert og i de nedre lungelapper. | Ofte afgrænset til en enkelt lungelap (lobar konsolidering). | Ofte diffus og spredt i begge lunger, typisk med et mere udtalt matglasmønster. |
| Konsolidering | Pletvis, som hurtigt kan smelte sammen til større områder. | Tæt og velafgrænset til en enkelt lap. | Mindre almindeligt og mindre tæt end ved bakterielle infektioner. |
| Matglasinfiltrater | Almindeligt, ofte omkring konsolideringerne. | Mindre fremtrædende end ved Legionella eller viral lungebetændelse. | Meget almindeligt og ofte det dominerende fund. |
| Pleuraeffusion | Relativt almindeligt. | Kan forekomme, især ved mere alvorlige tilfælde. | Mindre almindeligt. |
Den diagnostiske proces: Mere end bare billeder
Det er afgørende at understrege, at en CT-scanning alene ikke kan stille den endelige diagnose. Fundene giver en stærk mistanke, som guider den videre udredning. Den endelige bekræftelse af Legionærsygdom kræver laboratorietests. Den mest anvendte og hurtigste metode er en urintest for antigen, som kan påvise et specifikt protein fra Legionella-bakterien i patientens urin. Svaret foreligger ofte inden for få timer. Dyrkning af bakterien fra opspyt eller væv fra lungerne er den mest sikre metode, men den tager flere dage.
CT-scanningens rolle er derfor at:
- Hurtigt rejse en stærk mistanke om Legionella, så den rette behandling kan startes med det samme.
- Vurdere sværhedsgraden og udbredelsen af infektionen.
- Identificere eventuelle komplikationer, såsom bylddannelse i lungen (lungeabsces) eller tegn på akut lungesvigt (ARDS).
- Udelukke andre sygdomme, der kan ligne lungebetændelse, f.eks. lungekræft eller blodpropper i lungen.
Ofte Stillede Spørgsmål (FAQ)
Kan en CT-scanning alene diagnosticere Legionærsygdom?
Nej, en CT-scanning kan give en meget stærk mistanke baseret på de karakteristiske mønstre, men den endelige diagnose stilles altid ved hjælp af laboratorietests som en urintest for antigen eller dyrkning af bakterien.
Er en CT-scanning farlig på grund af stråling?
En CT-scanning involverer en højere dosis røntgenstråling end et almindeligt røntgenbillede. Læger vejer dog altid fordelen ved en præcis diagnose op mod den minimale risiko, strålingen udgør. Ved en potentielt livstruende sygdom som Legionærsygdom er fordelen ved en hurtig og korrekt diagnose langt større end risikoen.
Hvor hurtigt kan man se forandringer på en CT-scanning efter smitte?
Forandringerne i lungerne udvikler sig typisk i takt med symptomerne. De kan ofte ses på en CT-scanning få dage efter, at symptomerne er begyndt, og de kan udvikle sig markant over de efterfølgende 24-48 timer.
Hvad sker der, når en CT-scanning viser tegn på Legionella?
Når radiologen beskriver fund, der er suspekte for Legionella, vil den behandlende læge straks igangsætte behandling med specifikke typer antibiotika (typisk makrolider eller quinoloner), som er effektive mod denne bakterie. Samtidig vil man fremskynde laboratorietests for at få bekræftet diagnosen.
Hvis du vil læse andre artikler, der ligner CT-scanning af lunger ved Legionella, kan du besøge kategorien Sundhed.
