21/04/2024
Lungebetændelse er en almindelig, men potentielt alvorlig infektionssygdom, der påvirker millioner af mennesker hvert år. Selvom alle kan blive ramt, er sygdommen særligt udbredt og farlig for ældre voksne. I takt med at alderen stiger, sker der naturlige ændringer i kroppen, som gør seniorer mere sårbare over for infektioner og deres komplikationer. At forstå sygdommens natur, dens specifikke stadier hos ældre og de tilgængelige behandlinger er afgørende for at sikre den bedst mulige pleje og et hurtigt helbredelsesforløb. Denne artikel giver en dybdegående vejledning til lungebetændelse hos ældre, fra de første tegn til fuld restitution.

Hvorfor er ældre voksne og seniorer i øget risiko?
Mens lungebetændelse kan ramme i alle aldre, er ældre mennesker særligt udsatte. De har ikke kun en højere sandsynlighed for at udvikle sygdommen, men også for at opleve alvorlige og livstruende symptomer. Dette skyldes en kombination af flere faktorer, som er tæt knyttet til aldringsprocessen.
Underliggende helbredstilstande
En af de primære årsager til den øgede risiko hos ældre er tilstedeværelsen af kroniske sygdomme. Hjertesygdomme, KOL (Kronisk Obstruktiv Lungesygdom) og andre respiratoriske lidelser er udbredte blandt seniorer. Disse tilstande svækker kroppens generelle modstandskraft og gør det sværere for lungerne og immunsystemet at bekæmpe en infektion som lungebetændelse. Når en person med en eksisterende hjertesygdom får lungebetændelse, lægges der et enormt pres på både hjerte og lunger, hvilket kan forværre symptomer som hoste og åndenød markant og føre til alvorlige komplikationer.
Svækket immunforsvar
Med alderen svækkes vores immunsystem naturligt – en proces kendt som immunosenescens. Et svækket immunforsvar har sværere ved at genkende og bekæmpe invaderende patogener som bakterier og vira. For ældre voksne betyder det, at en eksponering for en smittekilde, som en yngre person let ville kunne afværge, kan udvikle sig til en fuldbyrdet lungebetændelse. Denne nedsatte immunfunktion er en central årsag til, at infektionen ofte forløber mere aggressivt hos denne aldersgruppe.
De 4 stadier af lungebetændelse hos ældre patienter
Lungebetændelse hos ældre udvikler sig typisk gennem fire adskilte stadier, som hver især er kendetegnet ved specifikke ændringer i lungerne og tilsvarende symptomer. At kunne genkende disse stadier er vigtigt for at kunne gribe ind med den rette behandling på det rigtige tidspunkt.
Fase 1: Kongestion (Ophobning)
Den første fase er kongestionsfasen. Her begynder infektionen at tage fat i lungerne. Lungevævet bliver tungt og overbelastet på grund af væske, der siver ind i luftsækkene (alveolerne). Denne infektiøse væske skaber et gunstigt miljø for bakterier eller vira at formere sig. I denne tidlige fase kan symptomerne være milde og let forveksles med en almindelig forkølelse, men hos ældre kan de udvikle sig hurtigt. Typiske symptomer inkluderer:
- Hoste, ofte tør i starten
- Tab af appetit
- Udtalt træthed og mangel på energi
- En følelse af tyngde eller trykken for brystet
- Hurtig, overfladisk vejrtrækning
Det er afgørende at være opmærksom på disse tidlige tegn hos en ældre person og søge lægehjælp hurtigt.
Fase 2: Rød Hepatisation
I den anden fase træder kroppens immunforsvar i aktion. Røde blodlegemer og immunceller strømmer til de væskefyldte lunger for at bekæmpe infektionen. Denne massive tilstrømning af blodceller giver lungevævet en rødlig farve og en fast, leverlignende konsistens – deraf navnet "hepatisation". I denne fase forværres symptomerne betydeligt, og patienten vil typisk føle sig meget syg. Symptomerne omfatter:
- Produktiv hoste med gulligt, grønligt eller blodigt opspyt
- Åndenød, selv i hvile
- Muskelsmerter og generel kropssmerte
- Hovedpine
- Ekstrem træthed
- Kulderystelser og feber
- Kraftig svedtendens
- Lavt iltindhold i blodet, hvilket kan føre til blå læber og negle (cyanose)
Nogle ældre patienter kan i denne fase opleve forvirring eller delirium. Dette er et alvorligt tegn på, at iltniveauet i hjernen er faretruende lavt, og det kræver øjeblikkelig akut lægehjælp.

Fase 3: Grå Hepatisation
I den tredje fase begynder de røde blodlegemer i lungerne at gå til grunde. Dette ændrer lungevævets farve fra rød til grålig. Selvom de røde blodlegemer forsvinder, forbliver immuncellerne (især makrofager) i lungerne for at fortsætte oprydningsarbejdet og bekæmpe de resterende patogener. Symptomerne på lungebetændelse vil fortsat være til stede i denne fase, men de kan begynde at aftage gradvist i intensitet, efterhånden som infektionen kommer under kontrol.
Fase 4: Resolution (Opløsning)
Resolution er den sidste og helbredende fase. I denne fase begynder den ældre patient endelig at få det bedre. Immuncellerne har fået overtaget og fjerner effektivt infektionen og de døde celler fra kroppen. En produktiv hoste er ofte fremtrædende i denne fase, da den hjælper med at fjerne overskydende væske og slim fra lungerne. Dette er en vigtig del af helingsprocessen, da det renser luftvejene og genopretter normal lungefunktion. Gradvist vil energien vende tilbage, og vejrtrækningen blive lettere.
Diagnose og Behandling af Lungebetændelse
Hurtig diagnose og behandling er altafgørende, især hos ældre, hvor sygdommen kan forværres hurtigt. Processen starter med en grundig undersøgelse hos lægen.
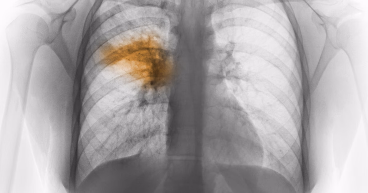
For at stille en korrekt diagnose vil lægen typisk lytte på lungerne med et stetoskop og udføre en række tests. Disse kan omfatte billeddiagnostik som et røntgenbillede af brystkassen eller en CT-scanning for at visualisere infektionen i lungerne. Blodprøver kan også tages for at identificere tegn på infektion og fastslå den underliggende årsag.
Behandlingen afhænger direkte af årsagen til lungebetændelsen:
- Bakteriel lungebetændelse: Dette er den mest almindelige type og behandles effektivt med antibiotika. Det er vigtigt at fuldføre hele antibiotikakuren, selvom man begynder at føle sig bedre, for at sikre, at alle bakterier er udryddet.
- Viral lungebetændelse: Antibiotika virker ikke mod vira. Behandlingen fokuserer i stedet på at støtte kroppen, mens den selv bekæmper infektionen. Dette indebærer hvile, rigeligt væskeindtag og brug af håndkøbsmedicin til at lindre symptomer som feber og smerter.
I alvorlige tilfælde, især hos skrøbelige ældre med underliggende sygdomme, kan hospitalsindlæggelse være nødvendig for at give intravenøs væske, antibiotika og iltbehandling.
| Karakteristik | Bakteriel Lungebetændelse | Viral Lungebetændelse |
|---|---|---|
| Årsag | Bakterier (f.eks. Streptococcus pneumoniae) | Virus (f.eks. influenza, RSV) |
| Symptomstart | Ofte pludselig og alvorlig | Typisk mere gradvis, ligner influenza |
| Behandling | Antibiotika | Hvile, væske, symptomlindrende medicin |
| Forebyggelse | Pneumokokvaccine | Influenzavaccine, god hygiejne |
Helbredelse og restitution efter lungebetændelse
For generelt sunde ældre kan det tage flere uger at komme sig helt over en lungebetændelse. For ældre med kroniske sygdomme kan helbredelsesprocessen tage meget længere tid, ofte måneder. Træthed og åndenød kan vare ved i lang tid efter, at infektionen er bekæmpet.

Efter en eventuel hospitalsindlæggelse kan der være behov for støtte i hjemmet. Alvorlige lungebetændelser kan have varige konsekvenser, såsom nedsat lungekapacitet. Hjemmehjælp eller en pårørende kan assistere med daglige gøremål som personlig pleje, madlavning og rengøring, så den ældre kan fokusere fuldt ud på at genvinde sin styrke.
Forebyggelse: Vaccination er nøglen
Den bedste behandling er altid forebyggelse. En af de mest effektive måder at beskytte sig mod den mest almindelige form for bakteriel lungebetændelse er gennem vaccination. Pneumokokvaccinen beskytter mod Streptococcus pneumoniae, den bakterie, der er ansvarlig for de fleste tilfælde af bakteriel lungebetændelse. Sundhedsmyndighederne anbefaler generelt denne vaccine til voksne over 65 år samt til yngre voksne med visse kroniske sygdomme. Ligeledes er den årlige influenzavaccine vigtig, da influenza ofte kan føre til en sekundær bakteriel lungebetændelse. At holde sig vaccineret er et af de vigtigste skridt, ældre kan tage for at beskytte deres helbred.
Ofte Stillede Spørgsmål
Er lungebetændelse smitsomt?
Selve lungebetændelsen er en reaktion i lungerne og er ikke direkte smitsom. Dog er de bakterier og vira, der forårsager sygdommen, smitsomme. De spredes typisk via dråber i luften fra hoste eller nys. En person, der bliver smittet, udvikler ikke nødvendigvis lungebetændelse; det afhænger af deres immunforsvar og generelle helbredstilstand.
Hvor lang tid tager det at komme sig over lungebetændelse som ældre?
Restitutionsperioden varierer meget. For en relativt rask ældre kan det tage 3-6 uger at føle sig normal igen. For en person med underliggende helbredsproblemer eller en alvorlig infektion kan fuld helbredelse tage flere måneder, og vedvarende træthed er almindeligt.
Hvad er de farligste tegn på lungebetændelse hos en ældre person?
De mest alarmerende tegn, der kræver øjeblikkelig lægehjælp, er pludselig forvirring eller delirium, alvorlig åndenød (svært ved at trække vejret), brystsmerter og blåfarvning af læber eller negle (cyanose). Disse symptomer indikerer, at kroppen ikke får nok ilt, og det er en medicinsk nødsituation.
Hvis du vil læse andre artikler, der ligner Lungebetændelse hos ældre: Stadier & behandling, kan du besøge kategorien Sundhed.
