04/05/2023
Hvordan ved jeg, om mit barn har lungebetændelse? Dette er et af de spørgsmål, forældre oftest stiller, især når vinteren nærmer sig. Det er helt naturligt at være bekymret, for ingen ønsker at se sit barn sygt. Lungebetændelse er en alvorlig luftvejsinfektion, der kan have alvorlige konsekvenser for de små. Ifølge Verdenssundhedsorganisationen (WHO) bliver millioner af børn i udviklingslande hvert år indlagt med lungebetændelse, og sygdommen er en af de førende årsager til børnedødelighed på verdensplan. At forstå sygdommen er det første skridt mod at beskytte dit barn effektivt.

Hvad er lungebetændelse?
Lungebetændelse, også kendt som pneumoni, er en infektion i en eller begge lunger. Lungerne, som er ansvarlige for at ilte blodet og fjerne kuldioxid fra kroppen, bliver betændte. De små luftsække i lungerne, alveolerne, kan blive fyldt med væske eller pus, hvilket gør det svært at trække vejret. I de fleste tilfælde er sygdommen forårsaget af bakterier eller vira, men i sjældnere tilfælde kan svampe også være årsagen.
Genkend symptomerne: Hvornår skal du søge læge?
Det kan være svært at skelne lungebetændelse fra en almindelig forkølelse eller influenza i de tidlige stadier. Vær dog opmærksom på følgende symptomer, som bør få dig til at kontakte en læge med det samme:
- Høj feber: Ofte over 38°C, som kan være vedvarende og svær at slå ned.
- Hoste: Typisk en produktiv hoste med slim (opspyt), som kan være gulligt, grønligt eller endda blodplettet.
- Hurtig eller besværet vejrtrækning: Barnet trækker vejret hurtigere end normalt, eller du kan se, at huden mellem ribbenene eller ved halsen trækkes ind ved hver indånding. Dette kaldes indtrækninger og er et alvorligt tegn på åndedrætsbesvær.
- Brystsmerter: Større børn kan klage over smerter i brystet, især når de hoster eller trækker vejret dybt.
- Nedsat appetit og træthed: Barnet er ofte meget træt, sløvt og har ingen lyst til at spise eller drikke.
- Opkast og diarré: Disse symptomer kan også ledsage infektionen.
- Blålige læber eller negle: Dette er et kritisk tegn på, at barnet ikke får nok ilt, og kræver øjeblikkelig lægehjælp.
Hos spædbørn kan symptomerne være mere uspecifikke og sværere at tolke. De kan inkludere irritabilitet, besvær med at spise, slaphed og blot en generel fornemmelse af, at barnet er 'ikke sig selv'.

Tabel: Forskel på influenza og lungebetændelse
Det er afgørende at kunne skelne mellem en slem influenza og lungebetændelse. Her er en sammenligningstabel for at hjælpe med at identificere forskellene:
| Symptom | Stærk Influenza | Lungebetændelse |
|---|---|---|
| Feber | Høj, men reagerer typisk på febernedsættende medicin. | Meget høj og vedvarende, ofte svær at kontrollere. |
| Hoste | Ofte tør i starten, kan blive produktiv. | Dyb, produktiv hoste med slim. Kan være smertefuld. |
| Vejrtrækning | Kan være normal eller let påvirket. | Hurtig, overfladisk og anstrengt. Tydeligt besvær med at trække vejret. |
| Almentilstand | Barnet er sløjt, men kvikker op, når feberen falder. | Barnet er konstant meget træt og afkræftet, selv uden feber. |
Årsager og Risikofaktorer
Børn er mere sårbare over for lungebetændelse, fordi deres immunsystem endnu ikke er fuldt udviklet. En almindelig forkølelse eller influenza kan svække barnets forsvar og skabe en åbning for bakterier, der kan inficere lungerne. Dette kaldes en sekundær bakteriel infektion.
Forskellige smittekilder for forskellige aldre:
- Mindre end 4 måneder: I denne alder kan spædbørn udvikle lungebetændelse fra vira som RS-virus, men også fra bakterier som Chlamydia trachomatis, som kan overføres under fødslen.
- Mindre end 5 år: Vira er den hyppigste årsag i denne aldersgruppe. RS-virus er en stor synder, der ofte starter som en bronkiolitis og udvikler sig til lungebetændelse. Bakterierne Streptococcus pneumoniae (pneumokokker) og Staphylococcus aureus er også almindelige.
- Større end 5 år: Hos ældre børn er bakterier den dominerende årsag, især Streptococcus pneumoniae og Mycoplasma pneumoniae, som kan give en såkaldt "atypisk lungebetændelse".
Hvem er i særlig risiko?
Nogle børn har en højere risiko for at udvikle lungebetændelse:
- For tidligt fødte børn og børn med lav fødselsvægt.
- Børn med underernæring eller vitaminmangel (især vitamin A).
- Børn, der ikke ammes, især i de første seks måneder.
- Børn udsat for passiv rygning eller høj luftforurening.
- Børn med et svækket immunforsvar.
- Børn, der ikke har modtaget de anbefalede vaccinationer.
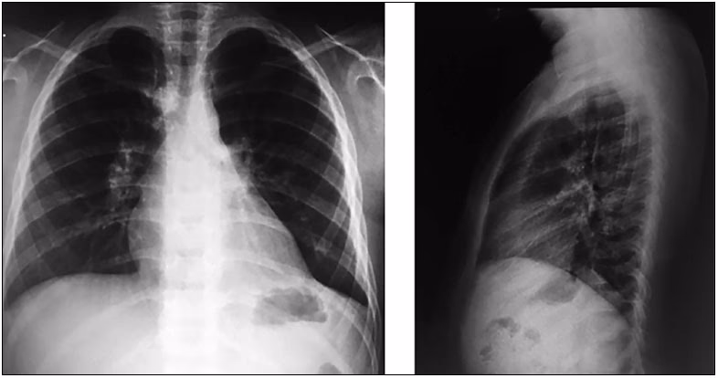
Diagnose og Behandling
Diagnosen stilles af en læge baseret på en fysisk undersøgelse, hvor lægen lytter på barnets lunger med et stetoskop. Lægen vil også vurdere barnets vejrtrækningsfrekvens og generelle tilstand. I mange tilfælde vil et røntgenbillede af brystkassen være nødvendigt for at bekræfte diagnosen og se omfanget af infektionen. Blodprøver kan også tages for at identificere den specifikke virus eller bakterie.
Behandlingen afhænger af årsagen. Hvis lungebetændelsen er forårsaget af bakterier, vil lægen ordinere antibiotika. Det er ekstremt vigtigt at fuldføre hele antibiotikakuren, selvom barnet får det bedre efter få dage. Ved viral lungebetændelse virker antibiotika ikke. Her fokuserer behandlingen på at lindre symptomerne: hvile, rigeligt med væske, febernedsættende medicin og eventuelt inhalationer med saltvand for at løsne slim. I alvorlige tilfælde, især hos små børn, kan indlæggelse være nødvendig for at give ilt, væske og medicin direkte i en blodåre.

Forebyggelse: Det bedste forsvar for dit barn
Heldigvis er der meget, du kan gøre for at reducere dit barns risiko for at få lungebetændelse. Forebyggelse er nøglen.
Vaccination: Et afgørende skjold
Den absolut mest effektive måde at forebygge de mest alvorlige former for bakteriel lungebetændelse er gennem vaccination. Sørg for, at dit barns vaccinationsprogram er opdateret. De vigtigste vacciner i denne sammenhæng er:
- Pneumokokvaccine (PCV): Beskytter mod Streptococcus pneumoniae, den hyppigste bakterielle årsag til lungebetændelse, meningitis og blodforgiftning hos børn. Denne er en del af det danske børnevaccinationsprogram.
- Hib-vaccine: Beskytter mod Haemophilus influenzae type b, en anden bakterie, der kan forårsage lungebetændelse og meningitis. Denne er også en del af børnevaccinationsprogrammet.
- Influenzavaccine: Anbefales årligt til børn med visse kroniske sygdomme og tilbydes generelt for at reducere risikoen for alvorlig influenza, som kan kompliceres af lungebetændelse.
Andre vigtige forebyggende tiltag
- Amning: Modermælk er fyldt med antistoffer, der styrker barnets immunforsvar. Eksklusiv amning i de første 6 måneder giver en markant beskyttelse.
- God håndhygiejne: Lær dit barn at vaske hænder ofte og grundigt med sæbe og vand. Det forhindrer spredning af både vira og bakterier.
- Undgå røg: Udsæt aldrig dit barn for tobaksrøg. Passiv rygning skader lungerne og øger risikoen for luftvejsinfektioner dramatisk.
- Sund kost: En nærende og balanceret kost styrker immunforsvaret.
- God ventilation: Sørg for at lufte ud i hjemmet regelmæssigt, selv om vinteren, for at reducere koncentrationen af smitstoffer i luften.
- Hold afstand til syge: Undgå så vidt muligt tæt kontakt med personer, der er forkølede eller har influenza.
Hyppigt Stillede Spørgsmål (FAQ)
Er lungebetændelse smitsomt?
Selve lungebetændelsen er ikke direkte smitsom, men de vira og bakterier, der forårsager den, er. De spredes typisk via dråber i luften fra hoste eller nys. Derfor er god hygiejne så vigtig.
Hvor hurtigt virker antibiotika?
Ved bakteriel lungebetændelse bør man se en klar forbedring i barnets tilstand inden for 48-72 timer efter start på antibiotika. Hvis barnet ikke får det bedre, eller får det værre, skal man kontakte lægen igen.

Må mit barn komme i institution, når det har lungebetændelse?
Nej. Et barn med lungebetændelse er sygt og har brug for hvile for at komme sig. Barnet skal være feberfrit og have en god almentilstand, før det kan vende tilbage til daginstitution eller skole.
Hvad er potentielle komplikationer ved lungebetændelse?
Selvom de fleste børn kommer sig fuldstændigt, kan der opstå alvorlige komplikationer. Disse inkluderer væskeansamling omkring lungen (pleural effusion), dannelse af bylder i lungen eller spredning af infektionen til blodet (sepsis), hvilket er en livstruende tilstand. Rettidig behandling er afgørende for at undgå dette.
Hvis du vil læse andre artikler, der ligner Sådan forebygger du lungebetændelse hos børn, kan du besøge kategorien Sundhed.
