03/10/2000
Har du hørt om en hoste, der bare ikke vil forsvinde? Eller måske føler du dig syg, men ikke syg nok til at blive i sengen? Du er måske stødt på Mycoplasma pneumoniae, en lille bakterie med stor indflydelse, der ofte er årsag til det, man i daglig tale kalder gående lungebetændelse. I de seneste år, herunder i 2024, har sundhedsmyndigheder som CDC rapporteret en stigning i antallet af infektioner, især blandt børn. Selvom infektionen ofte er mild, er det afgørende at forstå dens symptomer, potentielle komplikationer og behandlingsmuligheder for at kunne håndtere den effektivt og beskytte de mest sårbare.

Denne artikel dykker ned i alt, hvad du behøver at vide om Mycoplasma pneumoniae, fra de typiske tegn hos forskellige aldersgrupper til de mere alvorlige, og nogle gange overraskende, måder den kan påvirke kroppen på ud over lungerne.
Hvad er Mycoplasma Pneumoniae?
Mycoplasma pneumoniae er en af de mindste kendte fritlevende bakterier, der er i stand til at formere sig selv. En af dens mest markante egenskaber er, at den mangler en cellevæg, hvilket adskiller den fra de fleste andre bakterier. Denne unikke egenskab gør den naturligt resistent over for mange almindelige antibiotika, såsom penicillin, der virker ved at angribe bakteriens cellevæg.
Bakterien spredes typisk via dråber i luften, når en smittet person hoster eller nyser. Når den kommer ind i kroppen, angriber den slimhinderne i luftvejene – fra halsen og luftrøret helt ned i lungerne. Den kan forårsage betydelig inflammation og skade på vævet, hvilket fører til en række respiratoriske symptomer.

Hvordan forårsager bakterien sygdom?
Patogenesen, altså måden hvorpå Mycoplasma pneumoniae forårsager sygdom, er kompleks. Bakterien har specialiserede proteiner, især P1-adhæsin, som den bruger til at hæfte sig fast på cellerne i luftvejene. Når den er fastgjort, frigiver den flere skadelige stoffer, herunder et eksotoksin kaldet CARDS-toksin (Community-Acquired Respiratory Distress Syndrome toxin). Dette CARDS-toksin er en vigtig virulensfaktor, der forårsager direkte skade på cellerne, forstyrrer deres funktion og fremkalder en kraftig inflammatorisk reaktion fra kroppens immunsystem. Denne immunreaktion, hvor kroppen frigiver cytokiner for at bekæmpe infektionen, er i høj grad ansvarlig for mange af de symptomer, patienten oplever.
Symptomer på Mycoplasma Pneumoniae Infektion
En af de lumske ting ved denne infektion er den lange inkubationstid, som kan vare fra 1 til 4 uger efter eksponering. Dette betyder, at man kan være smittet længe, før de første symptomer viser sig. Symptomerne kan også vare i flere uger og varierer afhængigt af infektionens type og patientens alder.
Typiske symptomer (Brystforkølelse og trakeobronkitis)
For mange voksne og ældre børn starter infektionen som en mild øvre luftvejsinfektion, der gradvist udvikler sig. De mest almindelige symptomer inkluderer:
- Generel træthed og mathed
- Hovedpine
- Let feber
- Ondt i halsen
- En tør, stædig hoste, der langsomt bliver værre over tid
Symptomer hos yngre børn (under 5 år)
Små børn kan præsentere et helt andet symptombillede, der mere ligner en almindelig forkølelse eller mave-tarm-infektion. Forældre bør være opmærksomme på:
- Nysen
- Tilstoppet eller løbende næse
- Hvæsende vejrtrækning
- Vandige øjne
- Opkastning
- Diarré
Symptomer på Lungebetændelse (“Gående Lungebetændelse”)
Når infektionen udvikler sig til lungebetændelse, er den ofte mildere end lungebetændelse forårsaget af andre bakterier. Dette har givet den navnet "gående lungebetændelse", fordi patienterne ofte føler sig i stand til at fortsætte med deres daglige aktiviteter. Symptomerne omfatter typisk:
- En vedvarende hoste, som kan være tør eller med lidt opspyt
- Feber og kulderystelser
- Følelse af træthed
- Åndenød, især ved anstrengelse
Mulige Komplikationer og Manifestationer uden for Lungerne
Selvom det er sjældent, kan Mycoplasma pneumoniae forårsage alvorlige komplikationer, der kræver hospitalsindlæggelse. Infektionen kan sprede sig fra luftvejene eller udløse en autoimmun reaktion, hvor kroppens immunsystem ved en fejl angriber sine egne væv. Disse såkaldte ekstrapulmonale manifestationer kan påvirke næsten alle organer i kroppen.

Nedenstående tabel giver et overblik over de mulige pulmonale og ekstrapulmonale manifestationer:
| Organsystem | Mulige Manifestationer |
|---|---|
| Lunger (Pulmonal) | Forværring af astma/KOL, trakeobronkitis, lungebetændelse, akut respiratorisk distress syndrom (ARDS) |
| Neurologisk | Hjernebetændelse (encefalitis), meningitis, Guillain-Barré syndrom, optisk neuritis |
| Hud | Erythema multiforme, Stevens-Johnsons syndrom (SJS), urticaria (nældefeber) |
| Hjerte-kar | Myokarditis (betændelse i hjertemusklen), perikarditis (betændelse i hjertesækken), arytmier, tromboser (blodpropper) |
| Hæmatologisk | Autoimmun hæmolytisk anæmi (forårsaget af kuldeagglutininer), trombocytopeni (lavt antal blodplader) |
| Nyrer | Akut glomerulonefritis, interstitiel nefritis |
| Muskler og led | Myalgi (muskelsmerter), artritis (ledbetændelse), rhabdomyolyse (alvorlig muskelnedbrydning) |
Hvordan Stilles Diagnosen?
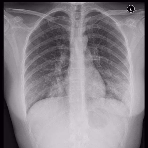
At diagnosticere en Mycoplasma pneumoniae-infektion kan være en udfordring for læger. Symptomerne er ofte uspecifikke og kan ligne mange andre luftvejsinfektioner forårsaget af vira eller andre bakterier. Der er ingen konstante fund ved en fysisk undersøgelse, og røntgenbilleder af lungerne kan vise forskellige mønstre, fra lette interstitielle infiltrater til mere tætte konsolideringer.
De mest anvendte diagnostiske metoder er:
- PCR (Polymerase Chain Reaction): Dette er en molekylær test, der kan påvise bakteriens DNA i en prøve fra luftvejene (f.eks. en svælgpodning eller opspyt). PCR-tests er hurtige og meget følsomme, men kan forblive positive, selv efter at infektionen er behandlet.
- Serologi: Dette er blodprøver, der måler kroppens antistofrespons (IgM og IgG) mod bakterien. En signifikant stigning i antistofniveauer mellem to prøver taget med et par ugers mellemrum bekræfter en nylig infektion. IgM-antistoffer indikerer en akut eller nylig infektion.
- Dyrkning: Det er muligt at dyrke bakterien i et laboratorium, men det er en langsommelig proces, der kan tage flere uger, og den bruges derfor sjældent i klinisk praksis.
Behandling af Mycoplasma Pneumoniae
Da mange infektioner er milde og selvbegrænsende, er behandling med antibiotika ikke altid nødvendig. Men ved mere alvorlige symptomer, især lungebetændelse, er antibiotika afgørende.
Som nævnt virker antibiotika som penicillin ikke, fordi bakterien mangler en cellevæg. Behandlingen retter sig i stedet mod bakteriens proteinsyntese. De mest effektive antibiotikaklasser er:
- Makrolider: Dette er ofte førstevalgsbehandlingen, især til børn. Azithromycin er et almindeligt anvendt makrolid på grund af dets gode tolerance og korte behandlingsforløb.
- Tetracykliner: Doxycyclin er effektivt og bruges ofte til voksne og ældre børn. Det anbefales normalt ikke til børn under 8 år på grund af risiko for misfarvning af tænderne.
- Fluorquinoloner: Lægemidler som levofloxacin og moxifloxacin er også effektive, men er normalt forbeholdt voksne og tilfælde, hvor andre antibiotika ikke virker, eller ved mistanke om resistens.
Udfordringen med Antibiotikaresistens
En voksende bekymring globalt er udviklingen af makrolidresistent Mycoplasma pneumoniae (MRMP). I nogle dele af verden, især i Asien, er resistensraten meget høj, men den ses også i stigende grad i Europa og Nordamerika. En infektion med en resistent stamme kan føre til et længere og mere alvorligt sygdomsforløb. Hvis der ikke er effekt af den indledende behandling med makrolider, kan lægen skifte til en anden type antibiotika som doxycyclin eller en fluorquinolon.
Ofte Stillede Spørgsmål (FAQ)
- Er Mycoplasma lungebetændelse smitsom?
- Ja, infektionen er smitsom. Den spredes via små dråber fra hoste og nys fra en smittet person. Risikoen for smitte er størst ved tæt og langvarig kontakt, som f.eks. inden for en husstand, i skoler eller på kaserner.
- Hvad er forskellen på "almindelig" lungebetændelse og "gående lungebetændelse"?
- "Gående lungebetændelse" er ikke en medicinsk term, men en populær betegnelse for en mild form for lungebetændelse, hvor patienten ikke føler sig alvorligt syg og kan fortsætte med sine daglige gøremål. Den er meget ofte forårsaget af Mycoplasma pneumoniae, hvorimod mere alvorlig lungebetændelse, der kræver sengeleje, ofte skyldes andre bakterier som pneumokokker.
- Hvor længe varer en Mycoplasma-infektion?
- Symptomerne kan opstå 1 til 4 uger efter smitte og kan vare i flere uger. Især hosten kan være meget vedvarende og fortsætte i lang tid, selv efter at andre symptomer er forsvundet og eventuel antibiotikabehandling er afsluttet.
- Findes der en vaccine mod Mycoplasma pneumoniae?
- Nej, på nuværende tidspunkt findes der ingen vaccine mod Mycoplasma pneumoniae. Forebyggelse handler primært om god håndhygiejne og at undgå tæt kontakt med personer, der hoster og er syge.
Hvis du vil læse andre artikler, der ligner Mycoplasma Pneumoniae: Symptomer og Behandling, kan du besøge kategorien Sundhed.
