25/06/2017
Lungebetændelse er en af de hyppigste årsager til alvorlig sygdom hos små børn og kan i værste fald være livstruende. De fleste forældre kender til den klassiske lungebetændelse, der behandles med almindelig penicillin. Men der findes en anden, mere snigende form for lungeinfektion, kendt som atypisk lungebetændelse. Denne type forårsages ofte af bakterier, som ikke reagerer på standardbehandling, hvilket kan føre til langvarige og komplicerede sygdomsforløb. To af de mest almindelige årsager til atypisk lungebetændelse er Mycoplasma pneumoniae (MP) og Chlamydia pneumoniae (CP). Disse små, langsomt voksende patogener kan være svære at diagnosticere og udgør en særlig risiko, især når de optræder sammen hos små børn.

Hvad Er Atypisk Lungebetændelse?
Begrebet "atypisk" bruges, fordi symptomerne og forløbet kan adskille sig fra den "typiske" lungebetændelse forårsaget af bakterier som pneumokokker. Ofte er symptomerne mildere i starten, hvilket har givet Mycoplasma-infektionen tilnavnet "vandrende lungebetændelse", fordi patienten ikke altid er syg nok til at være sengeliggende. Men lad dig ikke narre af navnet – især hos små børn kan infektionen udvikle sig til en alvorlig tilstand.
Det, der gør disse bakterier specielle, er deres biologiske opbygning. I modsætning til de fleste andre bakterier mangler Mycoplasma og Chlamydia en cellevæg. Dette er afgørende, fordi mange af de mest almindelige antibiotika, såsom penicillin og cephalosporiner, virker ved at ødelægge netop denne cellevæg. Da de atypiske bakterier ikke har en, er disse lægemidler fuldstændig virkningsløse. Dette er en af de primære årsager til, at en korrekt diagnose er så afgørende for en vellykket behandling.
Inkubationstiden – tiden fra smitte til de første symptomer viser sig – er også betydeligt længere for disse infektioner, ofte op til tre uger. Dette kan gøre det svært at spore smittekilden.
Symptomer, Forældre Skal Være Opmærksomme På
Kliniske tegn på en infektion med Mycoplasma eller Chlamydia kan variere meget fra barn til barn. Mens nogle kun oplever milde, forkølelseslignende symptomer, kan andre blive alvorligt syge. Vær opmærksom på følgende tegn:
- Langvarig feber: Feber, der varer ved i mange dage eller kommer igen efter en kort bedring.
- Vedvarende hoste: Ofte starter det som en tør hoste, der gradvist kan blive mere produktiv med slim. Hosteanfaldene kan være kraftige og forstyrre søvnen.
- Træthed og utilpashed: Barnet virker unormalt træt, sløvt og mangler energi.
- Ondt i halsen og hovedpine: Disse symptomer er også almindelige, især hos lidt større børn.
- Vejrtrækningsbesvær: I mere alvorlige tilfælde kan barnet have hurtig eller anstrengt vejrtrækning, og man kan høre en hvæsende lyd.
Desuden er det velkendt, at disse infektioner kan udløse eller forværre astma hos børn. Et barn uden en forhistorie med astma kan pludselig begynde at have hvæsende vejrtrækning under en infektion med MP eller CP.
Udfordringerne ved at Stille Diagnosen
En af de største udfordringer for læger er at identificere disse atypiske patogener. Standardmetoder er ofte utilstrækkelige, hvilket kan forsinke den korrekte behandling betydeligt.
Hvorfor er det så svært?
For det første er MP og CP ekstremt svære at dyrke i et laboratorium. De kræver specielle vækstmedier og vokser meget langsomt, hvilket gør en dyrkningsbaseret diagnose upraktisk i en akut situation. Derfor må lægerne ty til andre metoder:
- Blodprøver (Serologi): Dette er den mest almindelige metode. Man leder efter antistoffer, som kroppens immunforsvar producerer mod bakterierne. Man skelner mellem IgM-antistoffer, som typisk indikerer en ny eller igangværende infektion, og IgG-antistoffer, som kan indikere en tidligere infektion. Et positivt IgM-resultat er derfor en stærk indikator for en akut infektion.
- PCR-test: En mere moderne teknik, hvor man kan påvise bakteriens DNA fra en svælgpodning eller opspyt. Denne metode er hurtig og specifik, men er ikke altid tilgængelig overalt.
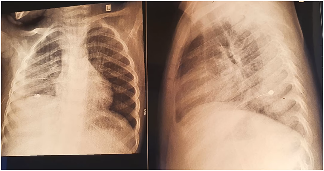
- Røntgenbilleder: Et røntgenbillede af lungerne kan bekræfte, at der er lungebetændelse, og vise tegn som inflammation eller væskeansamling (pleural effusion), men det kan ikke afsløre, hvilken mikroorganisme der er årsagen.
Ofte stilles diagnosen på baggrund af en kombination af det kliniske billede, manglende respons på standardbehandling og resultaterne af blodprøver.
Den Rigtige Behandling: Når Standard Antibiotika Svigter
Som nævnt er beta-laktam-antibiotika (som penicillin) ineffektive. Behandlingen af lungebetændelse forårsaget af Mycoplasma eller Chlamydia kræver en helt anden type antibiotika. De mest effektive grupper er:
- Makrolider: Præparater som Azithromycin eller Clarithromycin er ofte førstevalget til børn. De virker ved at hæmme bakteriens proteinsyntese.
- Tetracykliner: Doxycyclin er meget effektivt, men bruges normalt kun til ældre børn og voksne på grund af risikoen for misfarvning af tænderne hos små børn.
- Fluorquinoloner: Levofloxacin er et eksempel på et kraftigt, bredspektret antibiotikum, der reserveres til alvorlige eller komplicerede tilfælde, hvor andre behandlinger ikke har virket.
Et tidligt skift til den korrekte antibiotikabehandling er afgørende for at forkorte sygdomsforløbet og forhindre alvorlige komplikationer som f.eks. store væskeansamlinger i lungehinden, der kan kræve kirurgisk drænage.
Sammenligning: Typisk vs. Atypisk Lungebetændelse
| Egenskab | Typisk Lungebetændelse | Atypisk Lungebetændelse |
|---|---|---|
| Almindelige årsager | Streptococcus pneumoniae (pneumokokker) | Mycoplasma pneumoniae, Chlamydia pneumoniae |
| Symptomstart | Ofte pludselig og akut | Gradvis og langsom udvikling |
| Primære symptomer | Høj feber, kulderystelser, produktiv hoste, brystsmerter | Lav feber, tør hoste, hovedpine, træthed |
| Effekt af Penicillin | God effekt | Ingen effekt |
Risikofaktorer og Smitteveje
Mycoplasma- og Chlamydia-infektioner er mest udbredte blandt børn i alderen 1-7 år. Smitte sker via dråber fra hoste og nys, typisk i miljøer med tæt kontakt som daginstitutioner, skoler og inden for familien. En kendt risikofaktor, der kan øge et barns modtagelighed for luftvejsinfektioner generelt, er passiv rygning. Røg i hjemmet irriterer luftvejene og svækker deres naturlige forsvarsmekanismer, hvilket gør det lettere for bakterier at få fodfæste. God håndhygiejne og at lære børn at hoste i ærmet kan hjælpe med at begrænse spredningen, men det kan være svært helt at undgå smitte.
Ofte Stillede Spørgsmål (FAQ)
Er atypisk lungebetændelse smitsom?
Ja, sygdommen er smitsom og spredes via luftvejsdråber. Smitte kræver dog ofte tættere og mere langvarig kontakt end f.eks. en almindelig forkølelse. Inkubationstiden kan være op til tre uger, hvilket betyder, at en person kan være smittebærer længe, før symptomerne viser sig.
Kan mit barn få det igen?
Ja, desværre giver en overstået infektion med Mycoplasma eller Chlamydia ikke livslang immunitet. Reinfektion er mulig, selvom efterfølgende infektioner ofte er mildere end den første.
Hvad er "vandrende lungebetændelse"?
Dette er et populært udtryk for en mild form for atypisk lungebetændelse, oftest forårsaget af Mycoplasma. Navnet kommer af, at den smittede person ofte er i stand til at "vandre rundt" og udføre daglige aktiviteter, i modsætning til ved en alvorlig, typisk lungebetændelse, der binder patienten til sengen.
Hvornår skal jeg kontakte lægen?
Du bør altid kontakte en læge, hvis dit barn har vedvarende feber, en hoste der ikke forbedres, vejrtrækningsbesvær, eller hvis barnet virker unormalt træt og afkræftet. Det er især vigtigt at søge lægehjælp, hvis barnet allerede er i behandling med antibiotika for en formodet lungebetændelse, men ikke viser tegn på bedring efter et par dage.
Afslutningsvis er det afgørende, at både forældre og sundhedspersonale er opmærksomme på muligheden for atypisk lungebetændelse hos børn med vedvarende luftvejssymptomer. En hurtig og korrekt diagnose, efterfulgt af den rette antibiotikabehandling, er nøglen til at forhindre alvorlige komplikationer og sikre, at barnet kommer sig hurtigt og fuldstændigt.
Hvis du vil læse andre artikler, der ligner Atypisk Lungebetændelse hos Børn: En Skjult Trussel, kan du besøge kategorien Sundhed.
