22/11/2016
Tuberkulose (TB) er fortsat en af de mest dødelige infektionssygdomme globalt og kræver årligt næsten to millioner menneskeliv. Sygdommen skyldes en bemærkelsesværdig modstandsdygtig og kompleks bakterie: Mycobacterium tuberculosis (Mtb). På trods af, at den blev opdaget af Robert Koch helt tilbage i 1882, og på trods af udviklingen af antibiotika, udgør Mtb stadig en enorm udfordring for global sundhed. En af de primære årsager til bakteriens succes er dens utrolige evne til at manipulere det menneskelige immunsystem og gå i en dvaletilstand, hvor den kan gemme sig i årtier, før den potentielt reaktiveres og forårsager aktiv sygdom. At forstå denne mikroskopiske modstanders strategier er afgørende for at udvikle bedre behandlinger og vacciner.

Hvad er Mycobacterium tuberculosis?
Mtb er en stavformet, langsomt voksende bakterie, der tilhører slægten Mycobacterium. Denne slægt omfatter også andre patogener som Mycobacterium leprae, der forårsager spedalskhed. Mtb er kendetegnet ved en unik og kompleks cellevæg, som er rig på lipider, især mykolsyrer. Denne voksagtige cellevæg gør bakterien ekstremt modstandsdygtig over for mange antibiotika, desinfektionsmidler og kroppens egne forsvarsmekanismer. Den er så robust, at den kan overleve under barske forhold, både inden i og uden for menneskekroppen.
I modsætning til mange andre bakterier danner Mtb ikke sporer. I stedet har den udviklet en anden overlevelsesmekanisme: evnen til at gå i dvale. I denne tilstand stopper bakterien med at dele sig og nedregulerer sin metaboliske aktivitet til et minimum. Dette gør den usynlig for store dele af immunsystemet og resistent over for lægemidler, der typisk angriber celler i vækst. Det anslås, at omkring en fjerdedel af verdens befolkning er bærere af Mtb i denne latente, dvalende form.
Smitte og den indledende kamp i lungerne
Tuberkulose smitter gennem luften, når en person med aktiv lungetuberkulose hoster, nyser eller taler og derved frigiver små dråber, der indeholder Mtb-bakterier. Når en anden person indånder disse dråber, kan bakterierne nå helt ned i lungernes mindste luftveje, de såkaldte alveoler. Her møder de kroppens første forsvarslinje: de alveolære makrofager.
Makrofager er specialiserede immunceller, hvis opgave er at opsluge og ødelægge fremmede mikroorganismer. Processen kaldes fagocytose. Normalt vil en opslugt bakterie blive indkapslet i en blære (et fagosom), som derefter smelter sammen med en anden blære fyldt med nedbrydende enzymer og syre (et lysosom). Denne sammensmeltning skaber et dødeligt miljø for de fleste bakterier. Men Mtb er ikke en almindelig bakterie. Den har udviklet sofistikerede mekanismer til at afværge dette angreb. Den forhindrer aktivt fagosomet i at smelte sammen med lysosomet og stopper forsuringen, hvilket skaber et beskyttet rum, hvor den kan overleve og endda formere sig inde i den celle, der skulle have dræbt den.
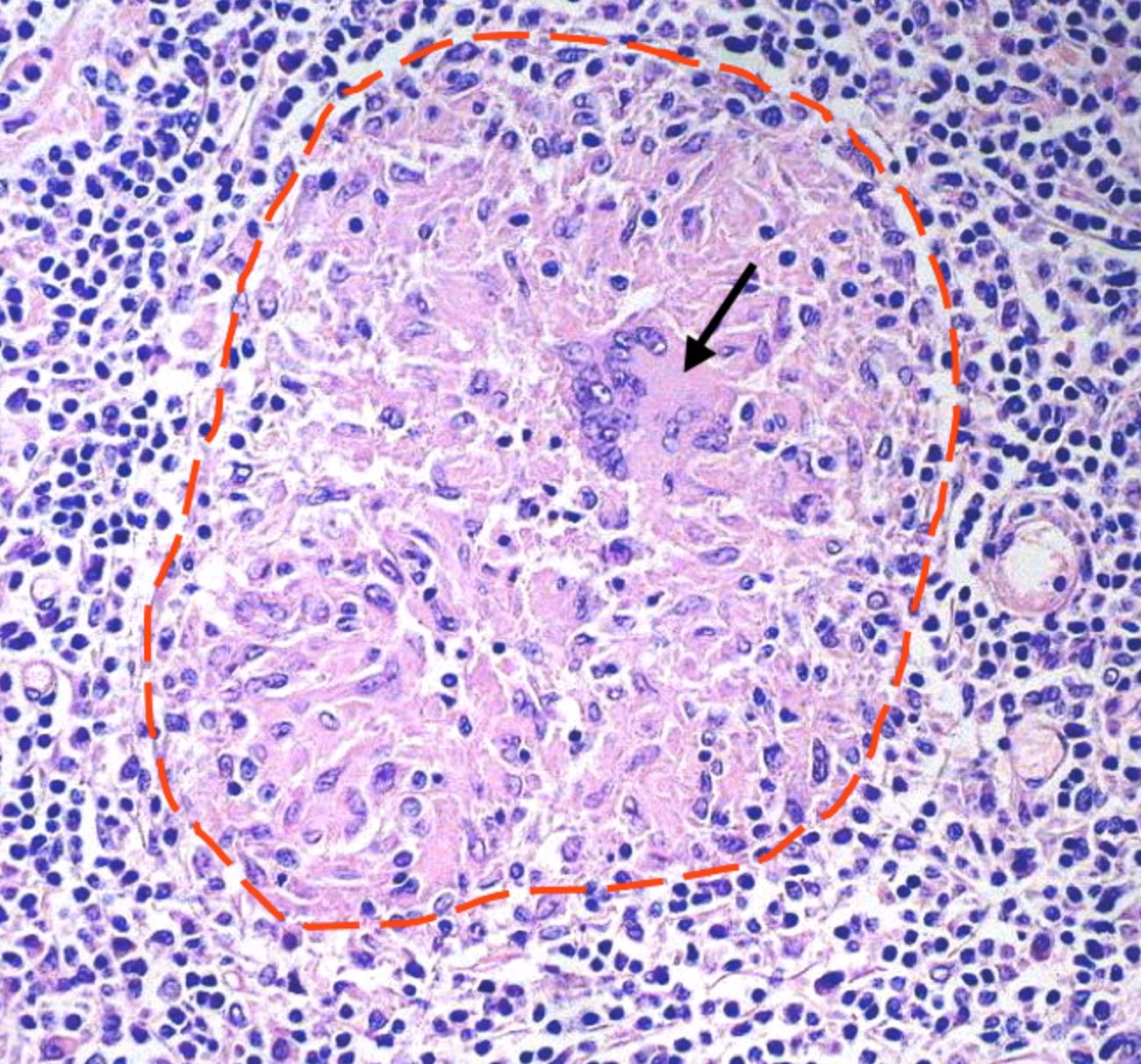
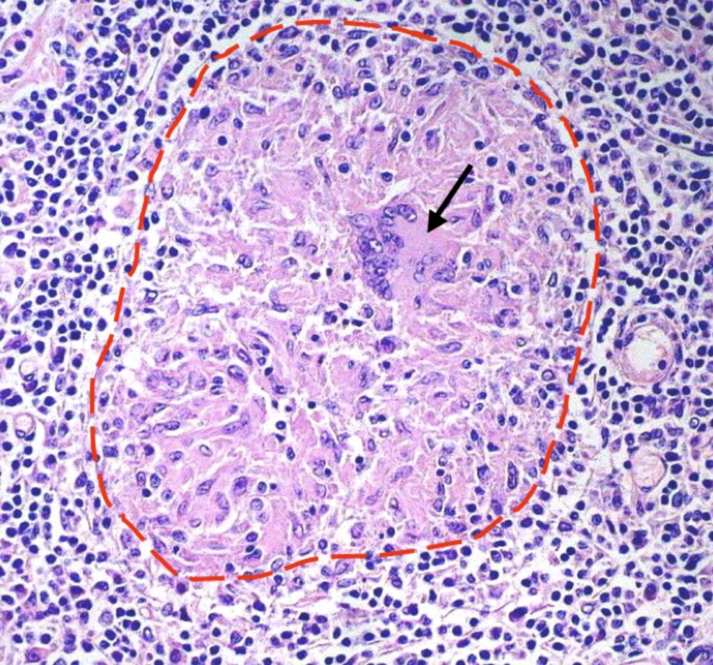
Granulomet: Bakteriens Fæstning og Fængsel
Som reaktion på den ukontrollerede infektion i makrofagerne, iværksætter immunsystemet en mere organiseret forsvarsstrategi. Det samler forskellige typer immunceller, herunder flere makrofager, T-lymfocytter og B-lymfocytter, omkring de inficerede celler. Denne organiserede struktur kaldes et granulom. Granulomet er kendetegnet for tuberkulose og tjener et dobbelt formål. For det første fungerer det som en fysisk barriere, der inddæmmer bakterierne og forhindrer dem i at sprede sig til resten af kroppen. For det andet skaber det et lokalt mikromiljø, hvor immuncellerne kan koordinere deres angreb på Mtb.
I de fleste tilfælde (omkring 90% af infektionerne) lykkes det for immunsystemet at kontrollere infektionen inden i disse granulomer. Bakterierne bliver ikke elimineret, men holdes i skak i en dvaletilstand. Dette er kendt som latent tuberkuloseinfektion (LTBI). Personen er ikke syg, har ingen symptomer og kan ikke smitte andre. Granulomet kan dog også blive bakteriens redning. Inden i granulomet kan forholdene blive iltfattige (hypoksiske) og næringsfattige, hvilket netop er de signaler, der får Mtb til at gå i dvale og blive resistent over for behandling.
Hvis immunforsvaret svækkes – f.eks. på grund af HIV, underernæring, alderdom eller immunsupprimerende medicin – kan balancen tippe. Granulomets struktur kan bryde sammen, og Mtb-bakterierne kan begynde at formere sig igen. Dette kaldes reaktivering.
Forskellige typer granulomer
Granulomer er ikke statiske, men kan udvikle sig over tid, især under aktiv sygdom:
- Solide granulomer: Typiske for latent TB. Velorganiserede strukturer med få, dvalende bakterier.
- Nekrotiske granulomer: Centrum af granulomet begynder at dø (nekrose), hvilket skaber en osteagtig masse. Bakterierne kan begynde at formere sig i dette miljø.
- Kaseøse granulomer (kaviteter): Det nekrotiske centrum bliver flydende (kaseøst), og granulomet kan briste ind i en luftvej. Dette frigiver enorme mængder bakterier, som kan hostes op og smitte andre. Patienten har nu aktiv, smitsom tuberkulose, og der opstår hulrum (kaviteter) i lungevævet.
Overlevelse under pres: Mtb's biokemiske forsvarsværker
Inde i makrofagen og granulomet udsættes Mtb for et massivt angreb fra værtens immunsystem. Dette inkluderer:
- Syrestress: Selvom Mtb forhindrer fuld forsuring af fagosomet, udsættes den stadig for et surt miljø. Den har udviklet mekanismer til at modstå dette, bl.a. ved at pumpe protoner ud og have en meget uigennemtrængelig cellevæg.
- Oxidativt stress: Makrofager producerer reaktive ilt- og kvælstofforbindelser (ROS og RNS), som er giftige molekyler designet til at ødelægge mikrobielle komponenter som DNA og proteiner. Mtb forsvarer sig med en række enzymer, såsom catalase-peroxidase (KatG), der neutraliserer disse giftige forbindelser.
- Næringsstofmangel: Mtb er i stand til at skifte sin metabolisme for at udnytte de næringsstoffer, der er tilgængelige i værten. Den kan f.eks. leve af værtens fedtsyrer og kolesterol ved at aktivere specielle metaboliske veje som glyoxylat-shunten.
Sammenligning af Aktiv og Dvalende Mtb
| Egenskab | Aktiv Mtb | Dvalende Mtb |
|---|---|---|
| Replikation (deling) | Hurtig og kontinuerlig | Ingen eller meget langsom |
| Metabolisme | Høj; forbruger mange ressourcer | Meget lav; minimal aktivitet |
| Følsomhed over for antibiotika | Følsom over for de fleste standardlægemidler | Fænotypisk resistent (tolerant) over for de fleste lægemidler |
| Typisk placering | Ekstracellulært i kaseøse granulomer (kaviteter) og i aktiverede makrofager | Intracellulært i makrofager i solide granulomer |
| Smittefare | Høj (forårsager smitsom sygdom) | Ingen (forårsager latent infektion) |
Udfordringer for behandling og fremtidens forskning
Mtb's komplekse biologi, især dens evne til at gå i dvale, er den primære årsag til, at behandlingen af tuberkulose er så langvarig. En standardbehandling varer mindst seks måneder og involverer flere forskellige antibiotika. Denne lange varighed er nødvendig for at dræbe de bakterier, der sporadisk "vågner op" fra deres dvaletilstand. Den lange behandlingstid fører desværre ofte til, at patienter stopper behandlingen for tidligt, hvilket er en væsentlig årsag til udviklingen af multiresistent tuberkulose (MDR-TB) og ekstremt resistent tuberkulose (XDR-TB).
Fremtidens forskning fokuserer på flere nøgleområder:
- Nye lægemidler: Der er et desperat behov for lægemidler, der kan dræbe dvalende Mtb. Dette ville kunne forkorte behandlingstiden markant og forbedre patientens efterlevelse.
- Bedre vacciner: Den nuværende vaccine, BCG, beskytter spædbørn mod alvorlige former for TB, men er ikke særlig effektiv til at forhindre lungetuberkulose hos voksne. Forskere arbejder på nye vacciner, der kan skabe et stærkere og mere varigt immunrespons, herunder vacciner der er rettet mod de proteiner (antigener), som Mtb udtrykker under dvaletilstanden.
- Forbedret diagnostik: Der er brug for hurtigere og mere præcise tests til at diagnosticere både aktiv og latent TB samt til at identificere lægemiddelresistens.
Kampen mod tuberkulose er en kamp mod en utroligt tilpasningsdygtig og sejlivet modstander. Ved at afdække de molekylære hemmeligheder bag Mycobacterium tuberculosis' overlevelsesstrategier, håber forskere og læger at kunne udvikle de værktøjer, der endelig kan få overtaget i denne ældgamle kamp mellem menneske og mikrobe.
Ofte Stillede Spørgsmål
Hvilken bakterie forårsager tuberkulose hos mennesker?
Tuberkulose forårsages af bakterien Mycobacterium tuberculosis, ofte forkortet som Mtb. Den tilhører en familie af bakterier kendetegnet ved en voksagtig, uigennemtrængelig cellevæg.
Hvorfor tager det så lang tid at behandle tuberkulose?
Behandlingen er langvarig (typisk 6 måneder eller mere), fordi Mtb kan gå i en dvaletilstand. I denne tilstand deler bakterien sig ikke og har en meget lav metabolisme, hvilket gør den tolerant over for de fleste antibiotika, der virker ved at angribe processer i voksende celler. Behandlingen skal fortsætte længe nok til at dræbe de bakterier, der periodisk vågner op fra dvalen.
Hvad er et granulom?
Et granulom er en lille, organiseret samling af immunceller, der dannes i lungerne (eller andre organer) for at indkapsle og kontrollere Mtb-infektionen. Det er en central forsvarsmekanisme, men kan også fungere som et skjulested for dvalende bakterier.
Er latent tuberkulose smitsom?
Nej. En person med latent tuberkuloseinfektion (LTBI) har dvalende bakterier, der er inddæmmet i granulomer. Personen har ingen symptomer og kan ikke smitte andre. Risikoen er, at infektionen på et senere tidspunkt kan reaktiveres og udvikle sig til aktiv, smitsom tuberkulose.
Hvis du vil læse andre artikler, der ligner Mtb: Bakterien bag tuberkulose, kan du besøge kategorien Sundhed.
