20/03/2015
Meningitis, en betændelsestilstand i hjernehinderne, der omgiver hjernen og rygmarven, kan være forårsaget af en række forskellige patogener, herunder bakterier, svampe og vira. Blandt de virale årsager er Varicella-Zoster Virus (VZV) en betydningsfuld, men ofte overset, synder. VZV er det samme virus, der forårsager skoldkopper (varicella) og helvedesild (herpes zoster). Når dette virus reaktiveres og påvirker centralnervesystemet, kan det føre til VZV meningitis. At forstå de specifikke fund på en magnetisk resonans (MR) scanning er afgørende for at stille en præcis diagnose og differentiere tilstanden fra andre årsager til meningeal irritation. Denne artikel giver et dybdegående indblik i de karakteristiske MR-fund ved VZV meningitis og belyser, hvordan denne avancerede billeddannelsesteknik bidrager til den kliniske håndtering.

Hvad er VZV Meningitis?
VZV meningitis opstår, når Varicella-Zoster virus inficerer hjernehinderne. Efter en primær infektion med skoldkopper forbliver virusset latent (sovende) i nerverødderne langs rygmarven og i kranienerverne. Mange år senere, ofte i forbindelse med nedsat immunforsvar på grund af alder, sygdom eller medicin, kan virusset reaktiveres. Den mest almindelige manifestation af reaktivering er helvedesild, et smertefuldt udslæt, der typisk følger en enkelt nerves forløb. I nogle tilfælde kan virusset dog sprede sig til centralnervesystemet og forårsage en række neurologiske komplikationer, herunder meningitis, encephalitis (hjernebetændelse), myelitis (rygmarvsbetændelse) og vaskulopati (betændelse i blodkarrene).
VZV er den næsthyppigste årsag til viral meningitis hos voksne, kun overgået af enterovirus. Symptomerne på VZV meningitis ligner andre former for meningitis og omfatter typisk hovedpine, feber, nakkestivhed, lysfølsomhed og generel utilpashed. Et vigtigt klinisk tegn, der kan pege i retning af VZV, er tilstedeværelsen af et helvedesild-udslæt, selvom det ikke er til stede i alle tilfælde (kendt som zoster sine herpete).
MR-scanningens Rolle i Diagnosen
Selvom den endelige diagnose af VZV meningitis ofte stilles ved at påvise VZV DNA i cerebrospinalvæsken (CSF) via en lumbalpunktur, spiller MR-scanning en afgørende rolle. MR-scanning kan visualisere betændelse i hjernehinderne og eventuelle ledsagende komplikationer i hjernen eller rygmarven. Dette er ikke kun vigtigt for at bekræfte mistanken om meningitis, men også for at udelukke andre alvorlige tilstande som hjerneabsces, tumorer eller autoimmune sygdomme, der kan give lignende symptomer.
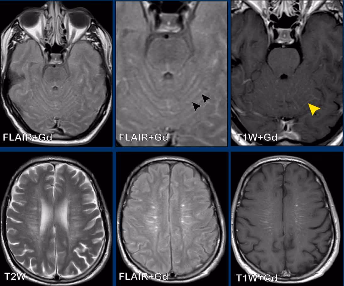
Ved MR-scanning af meningitis anvendes ofte et kontraststof (gadolinium), som sprøjtes ind i en blodåre. Kontraststoffet fremhæver områder med betændelse, hvor blod-hjerne-barrieren er brudt. Der findes to overordnede mønstre for meningeal kontrastopladning:
- Pachymeningeal (Dura-arachnoid) opladning: En tyk, lineær opladning langs den yderste hjernehinde (dura mater). Dette ses ofte ved tilstande som intrakraniel hypotension, efter operation eller ved visse tumorer.
- Leptomeningeal (Pia-subarachnoid) opladning: En tynd, fin opladning, der følger hjernens overflade ind i furerne (sulci) og cisternerne. Dette mønster er mere typisk for infektiøse årsager, herunder viral meningitis.
Karakteristiske MR-fund ved VZV Meningitis
MR-scanning ved VZV meningitis kan afsløre flere karakteristiske fund, der hjælper med at indsnævre diagnosen. Det er dog vigtigt at bemærke, at MR-scanningen kan være helt normal, især tidligt i forløbet.
1. Leptomeningeal Kontrastopladning
Som ved de fleste virale meningitider er det mest almindelige fund ved VZV meningitis en leptomeningeal kontrastopladning. Dette ses som fine, slyngede linjer af kontrast, der følger hjernens og rygmarvens konturer. Betændelsen i de indre hjernehinder (pia og arachnoid mater) er det, der visualiseres her. Selvom dette fund ikke er specifikt for VZV, er det et stærkt tegn på en infektiøs eller inflammatorisk proces i subaraknoidalrummet.
2. Involvering af Rygmarv og Nerverødder
Et mere specifikt og hyppigt fund ved VZV-infektion i centralnervesystemet er involvering af rygmarven og dens nerverødder. Da virusset ligger latent i de dorsale rodganglier (en samling af nerveceller ved siden af rygmarven), er det ikke overraskende, at reaktivering ofte påvirker disse strukturer. På MR-scanninger kan dette ses som:
- Kontrastopladning af nerverødderne: Især de dorsale (sensoriske) nerverødder kan vise unormal opladning, hvilket indikerer betændelse (radiculitis).
- Myelitis: Betændelse i selve rygmarven kan forekomme. I nogle tilfælde, især hos immunkompromitterede patienter, kan dette manifestere sig som en longitudinalt ekstensiv transversel myelitis, hvor et langt segment af rygmarven er påvirket.
Disse spinale fund er vigtige diagnostiske pejlemærker, da de er mindre almindelige ved mange andre former for viral meningitis.
3. Senfølger: Atrofi
Efter den akutte betændelsesfase kan der opstå permanente skader. MR-scanninger udført uger til måneder efter sygdomsdebut kan vise atrofi (svind af væv) i de områder af rygmarven, der var mest påvirket af betændelsen. Dette er et tegn på permanent nerveskade.
Sammenligning med Andre Typer Meningitis
For at sætte MR-fundene ved VZV meningitis i perspektiv, er det nyttigt at sammenligne dem med andre almindelige årsager til meningitis. Nedenstående tabel giver en forenklet oversigt.

| Type af Meningitis | Typisk MR-mønster | Andre Karakteristiske Fund |
|---|---|---|
| VZV Meningitis (Viral) | Leptomeningeal opladning | Hyppig involvering af rygmarvens nerverødder (radiculitis), myelitis. |
| Bakteriel Meningitis | Leptomeningeal opladning, ofte mere udtalt | Komplikationer som hjerneinfarkt, hjerneabsces, pus i ventriklerne (ventriculitis). |
| Tuberkuløs Meningitis | Tyk, nodulær opladning, især i de basale cisterner | Hydrocephalus (vand i hovedet), tuberkulomer (små granulomer i hjernen). |
| Svampe-meningitis (f.eks. Cryptococcus) | Leptomeningeal opladning | Gelatinøse pseudocyster i basalganglierne (kan ligne "sæbebobler"). |
Differentialdiagnoser og Klinisk Betydning
Selvom de ovennævnte fund er vejledende, kan meningeal opladning ses ved mange andre tilstande. Derfor er det vigtigt at overveje differentialdiagnoser. Disse inkluderer autoimmune sygdomme (f.eks. neurosarkoidose, vaskulitis), kræftsygdomme med spredning til hjernehinderne (leptomeningeal karcinomatose) og andre inflammatoriske tilstande. Lægens vurdering af patientens samlede kliniske billede, herunder symptomer, sygehistorie og resultater fra cerebrospinalvæskeanalyse, er afgørende for at nå den korrekte diagnose.
En hurtig og præcis diagnose af VZV meningitis er vigtig, da tilstanden kan behandles effektivt med antiviral medicin som aciclovir. Ubehandlet kan VZV-infektion i centralnervesystemet føre til alvorlige og permanente neurologiske skader. MR-scanning er således et uvurderligt redskab, der ikke blot understøtter diagnosen, men også hjælper med at vurdere omfanget af sygdommen og monitorere for potentielle komplikationer.
Ofte Stillede Spørgsmål (FAQ)
Hvad er de typiske symptomer på VZV meningitis?
De mest almindelige symptomer er intens hovedpine, feber, nakkestivhed, kvalme/opkastning og følsomhed over for lys. Ofte vil patienten have haft, eller aktuelt have, et helvedesild-udslæt (smertefulde blærer på huden), men meningitis kan også opstå uden udslæt.
Kan en normal MR-scanning udelukke meningitis?
Nej, meningitis kan ikke udelukkes baseret på en normal MR-scanning. Især i de tidlige stadier af sygdommen kan scanningen være helt uden tegn på betændelse. Kun omkring 50% af patienter med meningitis viser tegn på meningeal opladning på MR. Diagnosen baseres derfor på en samlet vurdering af symptomer, klinisk undersøgelse og analyse af cerebrospinalvæske.
Er VZV meningitis smitsomt?
Selve meningitistilstanden er ikke smitsom. Dog kan en person med et aktivt helvedesild-udslæt overføre Varicella-Zoster virus til en person, der ikke tidligere har haft skoldkopper. Den smittede person vil i så fald udvikle skoldkopper, ikke helvedesild eller meningitis.
Hvem er i risiko for at udvikle VZV meningitis?
Alle, der har haft skoldkopper, bærer virusset i en latent form og har en potentiel risiko. Risikoen for reaktivering stiger markant med alderen (typisk over 50 år) og hos personer med et svækket immunforsvar, f.eks. på grund af HIV, kræftbehandling eller immundæmpende medicin.
Konklusion
MR-scanning er en central del af den diagnostiske udredning af VZV meningitis. Mens leptomeningeal kontrastopladning er et almindeligt, men uspecifikt fund, er den hyppige involvering af rygmarven og dens nerverødder et mere karakteristisk træk ved VZV-infektion. Ved at kombinere de radiologiske fund med kliniske oplysninger og laboratorieresultater kan læger stille en præcis diagnose og iværksætte den nødvendige antivirale behandling. Dette er afgørende for at minimere risikoen for alvorlige neurologiske komplikationer og forbedre patientens prognose.
Hvis du vil læse andre artikler, der ligner MR-scanning af VZV Meningitis: En Dybdegående Guide, kan du besøge kategorien Sundhed.
