22/08/2018
Multipel sklerose (MS) og systemisk lupus erythematosus (lupus) er begge alvorlige sygdomme, der skyldes, at kroppens immunsystem ikke fungerer korrekt. Selvom de kan have nogle overlappende symptomer, er de to forskellige tilstande. At forstå forskellene og lighederne er afgørende, især fordi nogle patienter med lupus fejlagtigt bliver diagnosticeret med MS og omvendt. En korrekt diagnose er nøglen til den rette behandling og håndtering af sygdommen.

Hvad er Multipel Sklerose (MS)?
Ved multipel sklerose angriber kroppens immunsystem myelinskeden, det beskyttende fedtlag omkring dine nerver i hjernen og rygmarven. Denne skade forstyrrer kommunikationen fra hjernen til resten af kroppen. Resultatet er en række forskellige symptomer, som kan variere meget fra person til person. Der er en vis debat blandt læger om, hvorvidt MS skal betragtes som en ren autoimmun sygdom, da forskere endnu ikke har fundet det specifikke antigen, der udløser immunresponsen. Derfor omtales MS undertiden som en "immunmedieret" tilstand snarere end en "autoimmun sygdom".
Typiske symptomer på MS kan omfatte:
- Gangbesvær
- Synstab eller dobbeltsyn
- Utydelig tale
- Følelsesløshed, prikken eller svaghed i en eller flere lemmer
- Problemer med balance og koordination
- Ekstrem træthed
Hvad er Lupus?
Lupus er en klassisk autoimmun sygdom, hvilket betyder, at immunsystemet reagerer mod kroppens egne sunde væv og celler. Med lupus angriber immunsystemet forskellige dele af kroppen, som om det ikke kan kende forskel på kroppens egne proteiner (antigener) og fremmede "invaderende" stoffer som bakterier eller vira. Dette kan føre til inflammation og skade på en lang række organer.
Lupus rammer oftest:
- Hud
- Leddene
- Nyrer
- Hjerte
- Lunger
- Nervesystemet
Symptomerne på lupus er ofte mere generaliserede end ved MS og inkluderer hyppigt hududslæt (især det karakteristiske sommerfugleudslæt i ansigtet) og feber.
Ligheder og Overlappende Symptomer
På trods af deres forskelle har MS og lupus flere ting til fælles, hvilket kan gøre diagnosen kompliceret. Begge sygdomme kan efterlade dig med en følelse af overvældende træthed, og den gigt, der ofte ledsager lupus, kan forveksles med den led- og muskelstivhed og smerte, som MS kan forårsage.
Her er nogle af de vigtigste ligheder:
- Autoimmun natur: Begge er tilstande, hvor immunsystemet angriber kroppen.
- Ukendt årsag: Den præcise årsag til begge sygdomme er stadig ukendt, men genetik og miljøfaktorer menes at spille en rolle.
- Demografi: Begge sygdomme rammer oftest yngre kvinder.
- Forløb: Begge kan have et "relapsing-remitting" forløb, hvor symptomerne blusser op i perioder (kaldet "flares" ved lupus eller "attakker" ved MS) og derefter gradvist forsvinder i en periode med remission.
- Neurologiske symptomer: Begge kan forårsage træthed, hovedpine, muskelstivhed og hukommelsesproblemer.
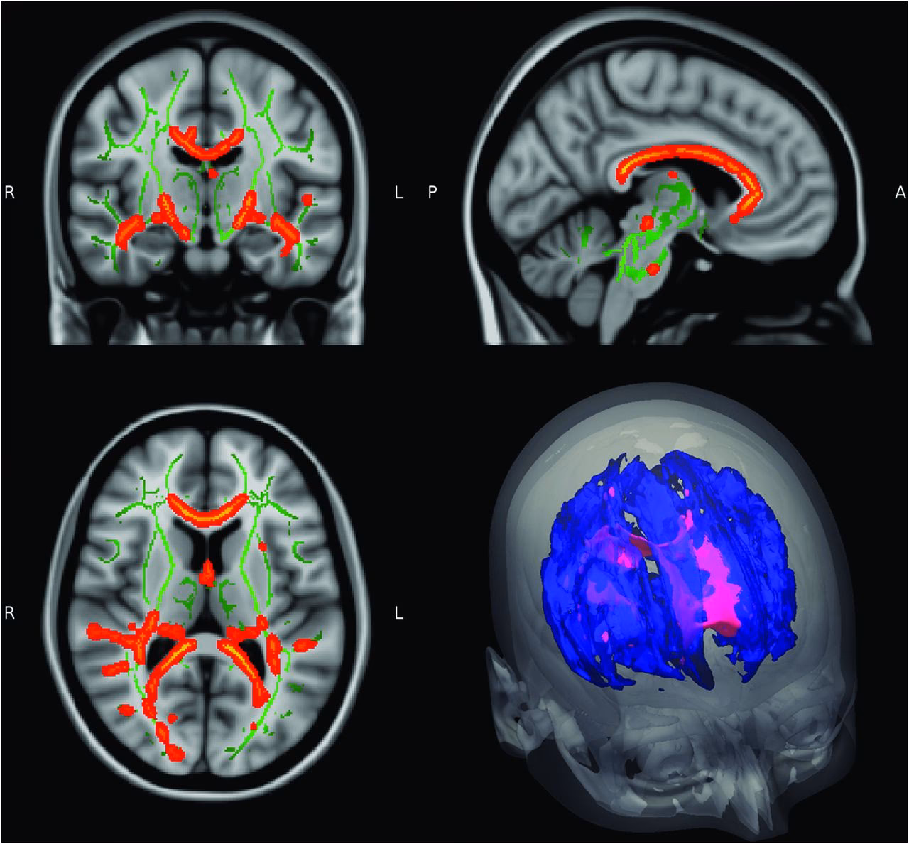
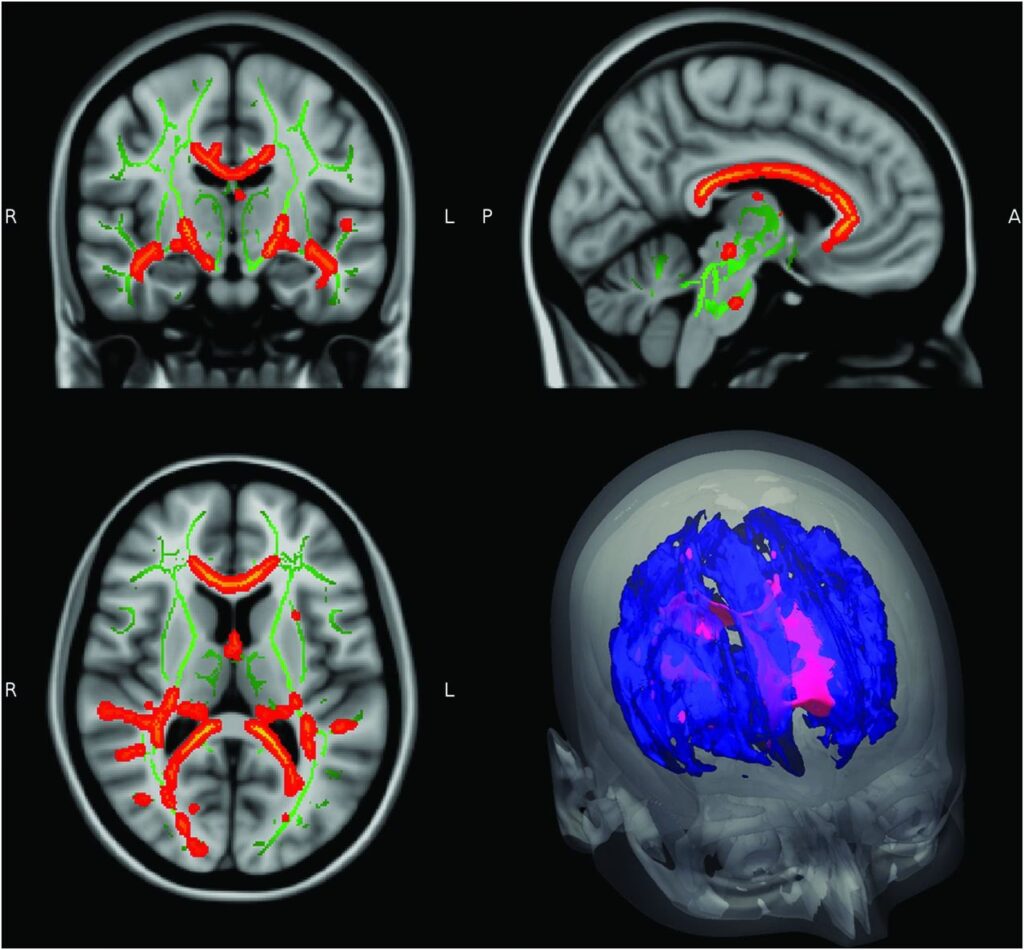
- Hjerneskanninger: Begge tilstande kan forårsage læsioner i hjernen, der kan se ens ud på en MR-skanning.
De Afgørende Forskelle: MS vs. Lupus
Selvom der er ligheder, er der afgørende forskelle, som hjælper læger med at skelne mellem de to sygdomme. Disse forskelle er især vigtige, da behandlingerne er meget forskellige.

Symptomatiske Forskelle
Mens MS primært er en neurologisk sygdom, forårsager lupus generelt mere udbredt skade i hele kroppen. Lupus er ofte kendetegnet ved hududslæt og ledsmerter. Neurologiske symptomer ved lupus, som normalt ikke ses ved MS, kan omfatte migræne, personlighedsændringer og epileptiske anfald. I modsætning hertil er de mest almindelige MS-symptomer relateret til nervesystemet, såsom dobbeltsyn, følelsesløshed og balanceproblemer.
Diagnostiske Værktøjer
Laboratorieprøver og billeddiagnostik spiller en afgørende rolle i at skelne mellem de to. En blodprøve for antinukleære antistoffer (ANA) er næsten altid positiv hos personer med lupus, mens den er mindre almindelig ved MS. Tilsvarende er tilstedeværelsen af antifosfolipid-antistoffer stærkt forbundet med lupus.
En analyse af cerebrospinalvæsken (væsken omkring hjernen og rygmarven) kan også være afgørende. Mere end 90% af patienter med MS har såkaldte oligoklonale bånd i deres cerebrospinalvæske, mens dette kun findes hos 15-50% af lupus-patienter med neurologiske symptomer.
Sammenligningstabel: Neuro-Lupus vs. MS
| Funktion | Multipel Sklerose (MS) | Neuro-Lupus (SLE) |
|---|---|---|
| Synsnervebetændelse | Almindelig, ofte ensidig | Sjælden |
| Rygmarvslæsioner | Korte segmenter, asymmetriske | Ofte lange, udbredte læsioner |
| Hjernelæsioner (MRI) | Ovale læsioner, ofte periventrikulære (nær væskefyldte hulrum) | Punktformede læsioner, kan involvere basal-ganglier |
| Oligoklonale Bånd (CSF) | Til stede hos >90% | Til stede hos 15-50% |
| ANA-antistoffer | Negative eller lave niveauer | Positive i høje niveauer |
| Systemiske Symptomer | Fraværende | Til stede (udslæt, gigt, nyrepåvirkning) |
Vigtigheden af en Korrekt Diagnose
En fejldiagnose kan have alvorlige konsekvenser. Behandlingerne for MS og lupus er meget forskellige. De mest almindelige behandlinger for lupus omfatter non-steroide antiinflammatoriske lægemidler (NSAID), steroider og malariamidler. Ved MS anvendes ofte interferoner og andre immunmodulerende lægemidler. Problemet er, at nogle af de lægemidler, der bruges til at behandle MS, kan forværre symptomerne på lupus. Derfor er det yderst vigtigt at få en præcis diagnose hos en specialist, f.eks. en neurolog eller reumatolog. Hvis du er i tvivl om din diagnose, er det altid en god idé at søge en second opinion.
Kan Man Have Både Lupus og MS?
Sameksistensen af både MS og lupus hos den samme patient er ekstremt sjælden. Der findes dog dokumenterede tilfælde i den medicinske litteratur. Disse tilfælde udgør en enorm diagnostisk udfordring for læger. Ofte vil en patient blive diagnosticeret med den ene sygdom, og først flere år senere vil symptomer på den anden sygdom opstå. I et velbeskrevet casestudie blev en kvinde først diagnosticeret med MS i 32-årsalderen. Tre år senere, efter at have stoppet sin MS-behandling for at blive gravid, udviklede hun klassiske symptomer på lupus, herunder nyre- og blodproblemer. Dette understreger kompleksiteten og behovet for tværfaglig behandling, hvor neurologer og reumatologer arbejder tæt sammen. I komplekse tilfælde som dette kan behandlinger som rituximab, der retter sig mod specifikke immunceller, være en mulighed for at håndtere begge tilstande.

Ofte Stillede Spørgsmål
Er MS og lupus den samme sygdom?
Nej, de er to forskellige sygdomme. MS er en sygdom, der primært påvirker centralnervesystemet ved at angribe myelinskeden, mens lupus er en systemisk sygdom, der kan påvirke næsten ethvert organ i kroppen, herunder hud, led og nyrer.
Hvilke symptomer er unikke for lupus sammenlignet med MS?
Lupus præsenterer sig ofte med symptomer, der sjældent ses ved MS, såsom et karakteristisk sommerfugleudslæt i ansigtet, smertefulde og hævede led, feber og følsomhed over for sollys.
Hvorfor er en korrekt diagnose så vigtig?
En korrekt diagnose er afgørende, fordi behandlingerne er meget forskellige. Forkert behandling kan være ineffektiv og i værste fald skadelig. Nogle lægemidler mod MS kan forværre lupus.
Er det almindeligt at have både MS og lupus?
Nej, det er yderst sjældent. Verdensomspændende er der kun rapporteret et lille antal tilfælde. Det anses for at være en meget usædvanlig kombination af sygdomme.
Hvis du vil læse andre artikler, der ligner Lupus og MS: Kan man have begge sygdomme?, kan du besøge kategorien Sundhed.
