15/04/2002
Systemisk lupus erythematosus (SLE) er en kompleks autoimmun sygdom, der kan påvirke næsten alle organer i kroppen. Mens nyreinddragelse, kendt som lupus nefritis, er en velkendt og hyppig komplikation, er involvering af urinblæren, kendt som lupus cystitis, langt mere sjælden, men ikke mindre alvorlig. Denne tilstand kan være udfordrende at diagnosticere, da dens symptomer ofte er uspecifikke og kan overlappe med andre lidelser. En dybere forståelse af lupus cystitis er afgørende for både patienter og læger for at sikre tidlig opdagelse og behandling, hvilket kan forhindre permanente skader på urinvejene.

- Hvad er Systemisk Lupus Erythematosus (SLE)?
- Lupus Cystitis: En Dybdegående Forklaring
- Patogenese: Hvorfor Opstår Lupus Cystitis?
- Symptomer: Mere End Bare Blæreproblemer
- Diagnostik og Potentielle Komplikationer
- Behandling og Prognose
- Sammenligning: Blæretilstande ved SLE
- Ofte Stillede Spørgsmål (FAQ)
- Konklusion
Hvad er Systemisk Lupus Erythematosus (SLE)?
Før vi dykker ned i blærens specifikke involvering, er det vigtigt at forstå den underliggende sygdom. SLE er en kronisk autoimmun sygdom, hvor kroppens immunsystem fejlagtigt angriber sit eget væv og organer. Denne proces forårsager inflammation og kan føre til skade i forskellige dele af kroppen, herunder hud, led, nyrer, hjerte, lunger, hjerne og blodceller. Sygdommen er kendetegnet ved perioder med opblussen (flares), hvor symptomerne forværres, og perioder med remission, hvor symptomerne aftager eller forsvinder. Kvinder rammes langt oftere end mænd, og sygdommen debuterer typisk i den fødedygtige alder.
Lupus Cystitis: En Dybdegående Forklaring
Lupus cystitis er en sjælden manifestation af SLE, der anslås at påvirke mellem 0,01% og 2% af alle lupuspatienter, hvoraf omkring 92% er kvinder. Det er en form for interstitiel cystitis, hvilket betyder, at det er en inflammation i blærevæggen, der ikke er forårsaget af en bakteriel infektion. Inflammationen kan føre til en progressiv fibrose (ardannelse) i blærevæggen, hvilket resulterer i en formindsket blærekapacitet og en tyndere blærevæg over tid. I nogle tilfælde kan symptomerne på lupus cystitis opstå, før patienten overhovedet er blevet diagnosticeret med SLE, hvilket gør diagnosen endnu mere kompleks.
Patogenese: Hvorfor Opstår Lupus Cystitis?
Den præcise mekanisme bag udviklingen af lupus cystitis er endnu ikke fuldt ud forstået. Dog peger histopatologiske undersøgelser af blærevæv fra patienter stærkt i retning af, at tilstanden skyldes en immun-kompleks-medieret vaskulitis i de små blodkar i blæren. Dette betyder, at antistoffer og antigener danner immunkomplekser, som aflejres i blodkarrenes vægge. Disse aflejringer aktiverer komplementsystemet, en del af immunsystemet, hvilket fører til en kaskade af inflammatoriske reaktioner. Denne inflammation skader blodkarrene og det omkringliggende væv i blæren, hvilket forårsager symptomerne og de strukturelle ændringer. Man har fundet aflejringer af immunglobuliner (IgA, IgG, IgM) og komplementkomponenter (C1q, C3) i blærevæggen hos patienter med lupus cystitis, hvilket understøtter denne teori.
Symptomer: Mere End Bare Blæreproblemer
Et af de mest udfordrende aspekter ved lupus cystitis er det brede og ofte vildledende spektrum af symptomer. Interessant nok er det ofte symptomer fra mave-tarm-kanalen, der optræder først og er mest fremtrædende.
Typiske Urinvejssymptomer:
- Hyppig vandladning (pollakisuri): Behov for at tisse meget oftere end normalt.
- Urgency: En pludselig og stærk trang til at tisse.
- Nykturi: At skulle vågne om natten for at tisse.
- Dysuri: Smerte eller ubehag ved vandladning.
- Smerter eller ubehag over skambenet (suprapubisk), som kan lette efter vandladning.
Ofte Forekommende Mave-Tarm-Symptomer:
- Mavesmerter, som kan være diffuse.
- Kvalme og opkastning.
- Vandig diarré eller forstoppelse.
- Vægttab som følge af fordøjelsesproblemer.
I alvorlige tilfælde kan der opstå blødning fra mave-tarm-kanalen eller endda tarmobstruktion. Det er vigtigt at bemærke, at lupus cystitis også kan udvikle sig uden mærkbare kliniske symptomer, især fra urinvejene. Dette øger risikoen for, at tilstanden overses, indtil der er opstået alvorlige komplikationer.
Diagnostik og Potentielle Komplikationer
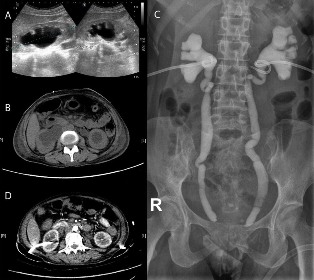
Diagnosen af lupus cystitis er en proces, der kræver udelukkelse af andre årsager til symptomerne, såsom bakterielle infektioner, medicinbivirkninger eller andre sygdomme. Urinanalyse er ofte normal og viser ingen tegn på infektion. Derfor er billeddiagnostik afgørende.
- CT-scanning og ultralydsscanning: Disse undersøgelser er centrale i diagnostikken. De kan afsløre en karakteristisk fortykket blærevæg, nedsat blærekapacitet og, vigtigst af alt, tegn på komplikationer som hydroureter (udvidet urinleder) og hydronefrose (vand i nyrerne). Hydronefrose opstår, når urinen ikke kan passere frit fra nyrerne til blæren på grund af hævelse og fibrose ved urinledernes indmunding i blæren.
- Cystoskopi: En kikkertundersøgelse af blæren kan vise inflammation i slimhinden og en lille blærekapacitet.
- Biopsi: En vævsprøve fra blærevæggen kan bekræfte tilstedeværelsen af vaskulitis og immunkompleksaflejringer.
Den mest alvorlige konsekvens af forsinket diagnose og behandling er udviklingen af hydronefrose. Hvis urinen stuver op i nyrerne over længere tid, kan det føre til permanent og irreversibelt nyresvigt.

Behandling og Prognose
Da lupus cystitis er en autoimmun inflammatorisk tilstand, er behandlingen rettet mod at dæmpe immunsystemets aktivitet. Den primære behandling er højdosis glukokortikoider (steroider), som hurtigt kan reducere inflammationen. I mere alvorlige tilfælde eller ved manglende respons på steroider, kan immunsupprimerende lægemidler som cyclophosphamid blive nødvendige. Ved tidlig diagnose og hurtig iværksættelse af behandling er prognosen generelt god, og de fleste patienter oplever en markant forbedring af både urinvejs- og mave-tarm-symptomer. Uden behandling er risikoen for permanent skade på blære og nyrer betydelig.
Sammenligning: Blæretilstande ved SLE
Det er vigtigt at kunne skelne lupus cystitis fra andre blæretilstande, som SLE-patienter også kan opleve. Nedenstående tabel giver et overblik.
| Tilstand | Årsag | Typiske Symptomer | Behandling |
|---|---|---|---|
| Lupus Cystitis | Autoimmun vaskulitis i blæren | Hyppig vandladning, urgency, mavesmerter, kvalme, diarré | Steroider, immunsuppressiva |
| Almindelig Urinvejsinfektion (UTI) | Bakteriel infektion (f.eks. E. coli) | Svie ved vandladning, hyppig trang, grumset urin | Antibiotika |
| Interstitiel Cystitis (Smertefuldt Blæresyndrom) | Kronisk inflammation, ukendt/autoimmun årsag | Kroniske bækkensmerter, urgency, frekvens. Mindre udtalte GI-symptomer. | Fysioterapi, smertestillende, blæreinstallationer |
Ofte Stillede Spørgsmål (FAQ)
Er lupus cystitis det samme som en almindelig blærebetændelse?
Nej. En almindelig blærebetændelse (urinvejsinfektion) er forårsaget af bakterier og behandles med antibiotika. Lupus cystitis er en steril inflammation forårsaget af kroppens eget immunsystem og kræver behandling med immunsupprimerende medicin som steroider.
Kan lupus cystitis helbredes?
Ligesom SLE kan lupus cystitis ikke helbredes, men det kan behandles effektivt og bringes i remission. Det er en kronisk tilstand, der er tæt knyttet til den overordnede lupus-aktivitet i kroppen. Målet med behandlingen er at kontrollere inflammationen og forhindre permanent skade.
Hvorfor får man maveproblemer ved en blæresygdom?
Den underliggende årsag, vaskulitis (inflammation i blodkarrene), er ikke begrænset til blæren. De samme inflammatoriske processer kan påvirke blodkarrene i tarmvæggen, hvilket fører til symptomer som smerte, kvalme og diarré. Ofte er mave-tarm-involveringen et tegn på den samme systemiske proces.
Hvad er den største fare ved ubehandlet lupus cystitis?
Den største og mest alvorlige fare er udviklingen af hydronefrose, hvor urinen hober sig op og udvider nyrerne. Hvis dette ikke behandles hurtigt, kan det føre til permanent tab af nyrefunktion og i sidste ende nyresvigt.
Konklusion
Lupus cystitis er en sjælden, men potentielt ødelæggende komplikation af SLE. Nøglen til en god prognose ligger i bevidstheden om tilstanden og dens ofte atypiske symptombillede, der inkluderer både urinvejs- og mave-tarm-gener. Patienter med SLE, der oplever nye eller uforklarlige symptomer fra disse organsystemer, bør straks søge læge. En hurtig og præcis diagnose, primært ved hjælp af billeddiagnostik som CT-scanning, er afgørende for at kunne starte den rette behandling med steroider og dermed beskytte blæren og nyrerne mod varig skade.
Hvis du vil læse andre artikler, der ligner Lupus Cystitis: En Sjælden Komplikation af SLE, kan du besøge kategorien Sundhed.
