22/05/2023
Når en patient ankommer til skadestuen med akutte smerter i den øvre del af maven, er en ultralydsscanning ofte et af de første diagnostiske skridt. Læger leder typisk efter tegn på galdesten eller betændelse i galdeblæren, kendt som akut kolecystitis. Men hvad nu hvis ultralydsbilledet afslører noget uventet, der peger i en helt anden retning? En fortykket og ødematøs galdeblærevæg kan nemlig være et overset, men afgørende tegn på en helt anden sygdom: akut viral hepatitis. At forstå denne sammenhæng er essentielt for at undgå fejldiagnoser og sikre korrekt behandling fra starten.

Viral hepatitis er en betændelsestilstand i leveren, som er forårsaget af en virusinfektion. Der findes flere typer hepatitis-vira, primært A, B, C, D og E, som varierer i smitteveje og sygdomsforløb. Akut viral hepatitis, især Hepatitis A, kan opstå pludseligt og give markante symptomer. Sygdommen starter ofte med influenzalignende symptomer, men udvikler sig til mere specifikke tegn på leverpåvirkning.
De mest almindelige symptomer inkluderer:
- Smerter eller ubehag i den øvre højre del af maven, hvor leveren er placeret.
- Kvalme og opkastning.
- Nedsat appetit.
- Mørk, orange- eller te-farvet urin.
- Gulsot (icterus), hvor hud og det hvide i øjnene bliver gulligt.
- Feber og generel utilpashed.
Diagnosen stilles typisk ved hjælp af blodprøver, der måler levertal (f.eks. ALAT og ASAT) og tester for specifikke antistoffer mod de forskellige hepatitis-vira. Men som vi skal se, kan billeddiagnostik som ultralyd spille en afgørende rolle i at lede lægen på rette spor.
Ultralyds Overraskende Rolle
Point-of-care ultralyd (POCUS) er blevet et uundværligt værktøj på skadestuer verden over. Det giver lægen mulighed for hurtigt at vurdere organer ved patientens seng. Når en patient klager over smerter i øvre højre kvadrant, er fokus naturligt på galdeblæren.
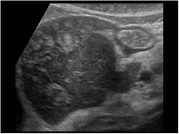
Ved akut kolecystitis (galdeblærebetændelse) vil lægen typisk se en fortykket galdeblærevæg, væske omkring galdeblæren, og ofte en eller flere galdesten, der blokerer galdegangen. Men ved akut viral hepatitis kan ultralydsbilledet på bemærkelsesværdig vis efterligne disse fund. Den primære forskel er ofte fraværet af galdesten. Leverbetændelsen forårsager en reaktiv hævelse (ødem) i den nærliggende galdeblærevæg, hvilket får den til at se fortykket ud på scanningen. Denne galdeblærevægsfortykkelse er et centralt, men ofte misforstået, fund.

Det Vildledende "Dobbeltvægstegn"
Et særligt interessant fund ved hepatitis er det såkaldte "dobbeltvægstegn" (double-wall sign). Dette fænomen opstår, når væske siver ind i lagene af galdeblærevæggen og skaber et mørkere (mindre ekkogent) bånd mellem de lysere (mere ekkogene) indre og ydre lag af væggen. På ultralydsskærmen ser det ud, som om galdeblæren har en dobbelt kontur.
Forestil dig en 38-årig mand med en historik med kronisk Hepatitis C, som kommer på skadestuen med forværrede mavesmerter, kvalme og mørk urin. Hans hud og øjne er tydeligt gule. En POCUS-scanning udføres for at udelukke galdeblæreproblemer. Scanningen viser en markant fortykket galdeblærevæg og det klassiske dobbeltvægstegn, men ingen galdesten. Samtidig viser hans blodprøver skyhøje levertal. En efterfølgende blodprøve for hepatitis bekræfter en ny, akut infektion med Hepatitis A oven i hans kroniske sygdom. Her var ultralydsfundet afgørende for at mistænke en leverrelateret årsag frem for et primært galdeblæreproblem.
Hvorfor er Korrekt Tolkning så Vigtig?
En læge, der ikke er bekendt med sammenhængen mellem hepatitis og fortykket galdeblærevæg, kan let falde i en diagnostisk fælde. Hvis man udelukkende fokuserer på den fortykkede væg og tolker det som kolecystitis, kan det føre til en kaskade af unødvendige og potentielt skadelige handlinger. Patienten kan blive indlagt til observation for galdeblærebetændelse, modtage unødvendig antibiotika eller i værste fald blive henvist til en operation for at fjerne galdeblæren.
En fejldiagnose forsinker ikke kun den korrekte symptomatiske behandling for hepatitis, men medfører også unødvendige risici og omkostninger for både patienten og sundhedsvæsenet. Ved at kende til de sonografiske tegn på hepatitis kan lægen hurtigere bestille de relevante blodprøver (en hepatitis-panel) og stille den korrekte diagnose. Dette er især vigtigt under udbrud af Hepatitis A, som ses med jævne mellemrum, ofte blandt udsatte befolkningsgrupper.
Andre Årsager til Fortykket Galdeblærevæg
Det er vigtigt at understrege, at viral hepatitis ikke er den eneste alternative årsag til en fortykket galdeblærevæg. Fundet er uspecifikt, hvilket betyder, at det kan ses ved en række forskellige tilstande. Lægens opgave er at sammenholde ultralydsfundet med patientens symptomer, sygehistorie og blodprøver for at nå frem til den rigtige konklusion.

Nedenstående tabel sammenligner fundene ved forskellige tilstande:
| Tilstand | Typiske Ultralydsfund | Andre Kliniske Tegn |
|---|---|---|
| Akut Viral Hepatitis | Fortykket galdeblærevæg, ofte med dobbeltvægstegn. Ingen galdesten. Normal eller let sammentrukket galdeblære. | Gulsot, mørk urin, meget høje levertal (ALAT/ASAT), positive hepatitis-antistoffer. |
| Akut Kolecystitis | Fortykket galdeblærevæg, tilstedeværelse af galdesten (ofte fastklemt), væske omkring galdeblæren, smerte ved tryk med ultralydsproben (sonografisk Murphy's tegn). | Feber, høje hvide blodlegemer (leukocytose), lokale smerter i øvre højre mavekvadrant. |
| Hjertesvigt | Fortykket galdeblærevæg pga. væskeophobning (ødem). Ofte ses også væske i bughulen (ascites) og forstørrede levervener. | Åndenød, hævede ben, vægtøgning, tegn på væske i lungerne. |
| Andre årsager | Pancreatitis, nyresvigt, sepsis og portal hypertension kan også give en fortykket galdeblærevæg. | Symptomerne vil variere meget afhængigt af den underliggende sygdom. |
Ofte Stillede Spørgsmål (FAQ)
Kan en ultralydsscanning alene diagnosticere hepatitis?
Nej. En ultralydsscanning kan give stærke indicier og lede mistanken i retning af hepatitis, især hvis den viser en fortykket galdeblærevæg uden galdesten hos en patient med symptomer på leversygdom. Den endelige diagnose kræver dog altid blodprøver, der kan bekræfte leverpåvirkning og identificere det specifikke hepatitis-virus.
Er en fortykket galdeblærevæg altid et tegn på sygdom?
Ja, en markant fortykket galdeblærevæg (typisk defineret som over 3-4 mm) er næsten altid et tegn på en underliggende patologisk proces. Det er ikke en sygdom i sig selv, men et symptom, der kræver yderligere udredning for at finde årsagen, hvad enten det er hepatitis, kolecystitis, hjertesvigt eller en anden tilstand.
Behandlingen for de fleste tilfælde af akut viral hepatitis, især Hepatitis A, er primært symptomatisk og understøttende. Det indebærer hvile, rigelig væskeindtagelse og undgåelse af alkohol og anden leverbelastende medicin. Kroppens immunforsvar vil i de fleste tilfælde selv bekæmpe infektionen over nogle uger til måneder. Ved mere alvorlige forløb kan indlæggelse være nødvendig for at overvåge leverfunktionen og behandle komplikationer.
Hvad skal jeg gøre, hvis jeg oplever symptomer som mavesmerter og mørk urin?
Hvis du oplever en kombination af symptomer som smerter i øvre del af maven, kvalme, mørk urin eller gulfarvning af huden, bør du omgående søge læge. Disse symptomer kan være tegn på alvorlig lever- eller galdevejssygdom, der kræver hurtig diagnostik og behandling.
Konklusion
Ultralyd er et kraftfuldt værktøj i udredningen af mavesmerter, men billederne skal altid tolkes i lyset af hele det kliniske billede. Opdagelsen af en fortykket galdeblærevæg bør ikke automatisk føre til en diagnose af kolecystitis. For klinikere, især på skadestuer, er det afgørende at have akut viral hepatitis med i de diagnostiske overvejelser, når dette fund ses – især når der ikke er galdesten til stede. Denne viden kan forbedre diagnostisk præcision, forhindre unødvendige procedurer og sikre, at patienten hurtigst muligt får den korrekte diagnose og pleje. Næste gang et ultralydsbillede viser en hævet galdeblærevæg, er det værd at spørge: Er det galdeblæren, der er syg, eller er det leveren, der kalder på hjælp?
Hvis du vil læse andre artikler, der ligner Kan ultralyd afsløre viral hepatitis?, kan du besøge kategorien Sundhed.
