01/02/2004
Næsten alle kender til det: Fra tid til anden bløder tandkødet en smule. Bag dette fænomen gemmer der sig sandsynligvis en almindelig tandkødsbetændelse, også kendt som gingivitis, som udløses af bakterier i tandbelægninger. Det kan virke harmløst, men det er kroppens advarselssignal om, at noget er galt. Den gode nyhed er, at det i de fleste tilfælde er en tilstand, du selv kan behandle og forebygge. Hvis du fortsætter med at børste dine tænder og tandmellemrum omhyggeligt, selvom det bløder, vil du hurtigt kunne slippe af med betændelsen. I denne artikel dykker vi ned i, hvad tandkødsbetændelse er, hvorfor det opstår, og hvad du helt konkret kan gøre for at bekæmpe det effektivt.

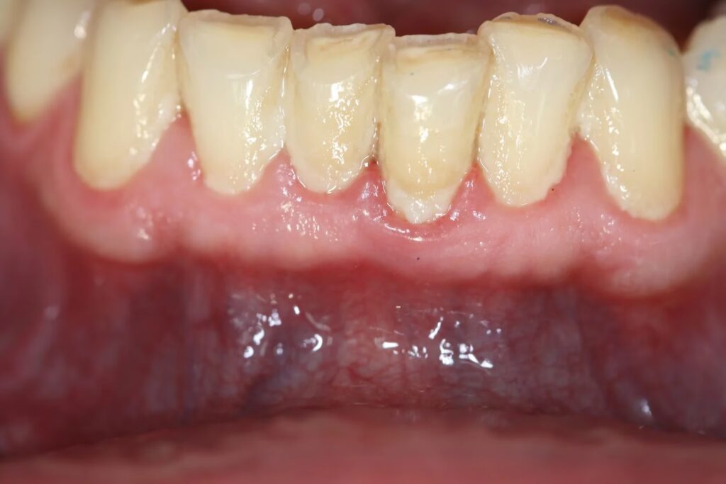
Hvad er tandkødsbetændelse?
I vores mundhule lever der både skadelige og gavnlige bakterier i en fin balance. De skadelige bakterier lever af madrester og sukker og danner en klæbrig, farveløs film på tænderne, som kaldes plak. Når denne plak ikke fjernes, producerer bakterierne affaldsstoffer, der irriterer tandkødet. Kroppens immunforsvar reagerer på denne irritation ved at sende mere blod til området for at bekæmpe bakterierne, hvilket fører til en betændelsestilstand. Dette er tandkødsbetændelse eller gingivitis. De mest almindelige symptomer er, at tandkødet bliver rødt, hævet og ømt. Et tydeligt tegn er også, at tandkødet har let ved at bløde, for eksempel når du børster tænder eller bruger tandtråd. Ved en mere fremskreden betændelse kan tandkødet endda bløde ved let berøring eller helt spontant.
Forskellige former for tandkødsbetændelse
Tandkødsbetændelse er ikke bare én ting. Det kan variere i sværhedsgrad og udvikling.
Kronisk tandkødsbetændelse
Hvis de bakterielle stoffer fra plakken irriterer tandkødet over en længere periode, kan der udvikle sig en kronisk tandkødsbetændelse. Her er symptomerne som blødning og rødme ofte mindre udtalte end ved den akutte form, hvilket kan være vildledende. I dette stadie kan man opleve, at tandhalsene bliver blottede, fordi tandkødet trækker sig tilbage. Smerter er sjældne. Faren ved kronisk gingivitis er, at den kan sprede sig og udvikle sig til parodontitis (paradentose), hvor betændelsen bevæger sig ned under det synlige tandkød og angriber knoglen, der holder tanden fast.
Akut nekrotiserende ulcerøs gingivitis (ANUG)
Dette er en sjælden, men meget aggressiv og smertefuld form for tandkødsbetændelse. ANUG starter pludseligt og ødelægger tandkødsvævet i et kraterlignende mønster. Symptomerne inkluderer kraftig blødning, voldsomme smerter, meget dårlig ånde og generelle infektionstegn som feber og utilpashed. Årsagen til, hvorfor denne bakterielle infektion pludselig opstår, er ikke fuldt klarlagt, men den ses ofte hos personer med et svækket immunforsvar. Det er afgørende at søge akut tandlægehjælp for at stoppe spredningen af infektionen.
Hvorfor opstår tandkødsbetændelse?
Den primære årsag til de fleste tilfælde af tandkødsbetændelse er ophobning af plak, hvilket skyldes manglende eller utilstrækkelig mundhygiejne. Hvor meget plak der skal til for at udløse en betændelse, er dog meget individuelt. Nogle mennesker reagerer på selv en lille mængde plak, mens andre kan have tykke belægninger uden mærkbare symptomer. Flere faktorer kan øge din risiko for at udvikle tandkødsbetændelse:
- Hormonelle svingninger: F.eks. under graviditet eller ved brug af p-piller kan tandkødet blive mere følsomt over for plak.
- Rygning: Rygning svækker immunforsvaret i munden og forringer blodcirkulationen, hvilket både øger risikoen og maskerer symptomer som blødning.
- Nedsat spytproduktion: Mundtørhed, forårsaget af visse typer medicin (f.eks. antidepressiva) eller strålebehandling, reducerer spytets rensende effekt.
- Kroniske sygdomme: Især ukontrolleret diabetes mellitus svækker kroppens evne til at bekæmpe infektioner, herunder i munden.
- Medicin: Visse lægemidler mod forhøjet blodtryk, epilepsi og nogle antibiotika kan påvirke tandkødet.
- Svækket immunforsvar: Sygdomme som HIV/AIDS, kræft eller brug af immunsupprimerende medicin gør dig mere modtagelig.
- Genetisk disposition: Nogle mennesker er genetisk mere tilbøjelige til at udvikle tandkødsproblemer.
- Stress og dårlig ernæring: Dette kan svække kroppens overordnede forsvar.
Hvad kan man gøre for at behandle tandkødsbetændelse?
Den absolut mest effektive behandling mod almindelig gingivitis er at fjerne årsagen: plakken. Ved at fjerne biofilm – altså tandbelægningerne – fra alle tandflader og mellemrum hver eneste dag, kan du slippe af med betændelsen inden for få dage til en uge.
1. Optimer din daglige rengøring
Den vigtigste indsats er den, du selv gør derhjemme. En elektrisk tandbørste, især en med et oscillerende-roterende rundt børstehoved, er ofte mere effektiv til at fjerne plak end en manuel tandbørste, da den kompenserer for små fejl i børsteteknikken. Børst dine tænder grundigt i mindst to minutter, to gange dagligt. Fokuser på hver enkelt tand og sørg for at børste langs tandkødskanten, hvor plakken samler sig. Mange glemmer mellemrummene mellem tænderne, men her samler en stor del af bakterierne sig. Brug derfor dagligt hjælpemidler som mellemrumsbørster eller tandtråd for at fjerne plak, hvor tandbørsten ikke kan nå.
2. Understøttende produkter
Som supplement til den mekaniske rengøring kan du anvende mundskyllevæsker, der hæmmer bakterievækst og dæmper betændelse. Mundskyl med klorhexidin har en veldokumenteret effekt mod gingivitis. Til forebyggende langvarig brug bør du vælge en lav koncentration (0,06%). Ved en akut betændelse kan en kortvarig kur (2-4 uger) med en højere koncentration (0,1-0,2%) være mere effektiv. Vær dog opmærksom på bivirkninger ved klorhexidin, såsom midlertidig misfarvning af tænder og tunge samt smagsforstyrrelser. Tal med din tandlæge om, hvad der er bedst for dig.

3. Professionel hjælp hos tandlægen
Hvis plak har fået lov at sidde længe, kan den forkalke og blive til tandsten. Tandsten har en ru overflade, hvor ny plak let kan sætte sig fast, og den kan ikke fjernes med en almindelig tandbørste. Det er derfor vigtigt at få fjernet tandsten regelmæssigt hos en tandlæge eller tandplejer. Din tandlæge kan også tjekke, om der er andre årsager til betændelsen. Trykker broer eller proteser? Er der utætte fyldninger eller kroner, hvor bakterier kan gemme sig? En justering eller reparation kan gøre det lettere for dig at holde munden ren og fri for betændelse.
Sammenligning af forskellige former for tandkødsbetændelse
| Egenskab | Akut Gingivitis | Kronisk Gingivitis | ANUG |
|---|---|---|---|
| Symptomer | Tydelig rødme, hævelse, let blødning ved børstning | Mindre udtalte symptomer, evt. tilbagetrukket tandkød | Voldsomme smerter, sår, feber, kraftig dårlig ånde |
| Årsag | Ophobning af bakteriel plak | Langvarig plak-påvirkning, ofte med tandsten | Overvækst af bakterier, ofte pga. stress/svækket immunforsvar |
| Behandling | Forbedret mundhygiejne | Professionel tandrensning, grundig daglig hygiejne | Akut tandlægehjælp, rensning, evt. antibiotika |
Ofte Stillede Spørgsmål (FAQ)
Er blødende tandkød altid et tegn på tandkødsbetændelse?
I langt de fleste tilfælde, ja. Blødning er det klassiske tegn på, at tandkødet er betændt. I sjældne tilfælde kan det skyldes for hård tandbørstning eller en skade. Blodfortyndende medicin kan også forstærke blødningstendensen. Det er vigtigt at bemærke, at rygere ofte ikke oplever blødning, selvom de har betændelse, fordi nikotin forringer blodgennemstrømningen i tandkødet.
Hvad skal man absolut ikke gøre ved tandkødsbetændelse?
Den største fejl er at stoppe med at børste tænder i det område, der bløder, af frygt for at gøre det værre. Det er netop børstningen, der fjerner årsagen til problemet. Fortsæt med at børste omhyggeligt men skånsomt, og husk mellemrummene. Undgå også rygning. Rygning forsinker helingen markant og øger risikoen for, at betændelsen udvikler sig til parodontitis med næsten tre gange.
Hvor hurtigt forsvinder tandkødsbetændelse?
Med en konsekvent og grundig indsats med tandbørste og mellemrumsrensere vil en ukompliceret gingivitis typisk forsvinde i løbet af en uges tid. Tandkødet vil blive fastere, mere lyserødt, og blødningen vil stoppe.
Hvornår skal jeg søge tandlæge?
Du bør søge tandlæge, hvis blødningen ikke aftager efter en uges forbedret mundhygiejne, eller hvis du oplever stærke smerter, løse tænder eller meget dårlig ånde. Regelmæssige tandeftersyn er den bedste måde at fange og behandle problemer, før de udvikler sig.
Bruger tandlægen antibiotika mod tandkødsbetændelse?
Normalt ikke. Almindelig gingivitis behandles ved at fjerne plak og tandsten mekanisk. Antibiotika kommer kun på tale i meget sjældne og alvorlige tilfælde, som f.eks. ved ANUG, hvor infektionen er aggressiv og ledsages af feber og almen utilpashed. I sådanne tilfælde kan tandlægen ordinere f.eks. Metronidazol eller Amoxicillin for at slå infektionen ned.
Hvis du vil læse andre artikler, der ligner Hvad hjælper bedst mod tandkødsbetændelse?, kan du besøge kategorien Sundhed.
