08/02/2014
Lipoid lungebetændelse er en sjælden, ikke-infektiøs lungesygdom, der opstår, når fedtstoffer eller olier (lipider) trænger ind i lungerne og forårsager en inflammatorisk reaktion. I modsætning til almindelig lungebetændelse, som typisk skyldes bakterier eller vira, er denne tilstand kroppens reaktion på tilstedeværelsen af fedtmolekyler i lungeblærerne (alveolerne). Symptomerne kan ligne andre former for lungebetændelse, hvilket kan gøre diagnosen kompliceret. Denne artikel vil dykke ned i symptomerne, årsagerne, hvordan diagnosen stilles, og hvilke behandlingsmuligheder der findes for denne usædvanlige tilstand.

Hvad er Symptomerne på Lipoid Lungebetændelse?
Symptomerne på lipoid lungebetændelse kan variere betydeligt fra person til person. Nogle individer kan være helt symptomfri og tilstanden opdages tilfældigt ved en røntgenundersøgelse af brystkassen. Hos andre kan symptomerne udvikle sig langsomt over tid og blive alvorlige eller endda livstruende. De mest almindelige symptomer, der observeres, inkluderer:
- Vedvarende hoste: En kronisk hoste, som kan være tør eller producere opspyt.
- Åndenød (dyspnø): Besvær med at trække vejret, især ved anstrengelse.
- Brystsmerter: En trykkende eller stikkende fornemmelse i brystet.
- Feber: Ofte en lavgradig, men vedvarende feber.
- Vægttab: Uforklarligt vægttab over tid.
- Blodigt opspyt (hæmoptyse): I sjældne tilfælde kan man hoste blod op.
Da disse symptomer er uspecifikke og overlapper med mange andre lungesygdomme, såsom kronisk obstruktiv lungesygdom (KOL), astma eller infektionsbetinget lungebetændelse, kan det være en udfordring at nå frem til den korrekte diagnose.
To Typer af Lipoid Lungebetændelse: Endogen vs. Eksogen
Man skelner mellem to hovedtyper af lipoid lungebetændelse, baseret på hvor fedtstofferne kommer fra.
Eksogen Lipoid Lungebetændelse
Dette er den mest almindelige form og opstår, når fedtstoffer eller olier fra en ekstern kilde inhaleres eller aspireres (fejlsynkes) ned i lungerne. Når disse stoffer når alveolerne, kan kroppens immunsystem ikke nedbryde dem effektivt, hvilket fører til en kronisk inflammation og ophobning af fedtholdige celler. Sværhedsgraden afhænger ofte af typen af olie og varigheden af eksponeringen. Almindelige kilder til eksogen lipoid lungebetændelse inkluderer:
- Afføringsmidler: Især mineralolie, som tidligere blev brugt mod forstoppelse, er en af de hyppigste årsager, specielt hos ældre eller personer med synkebesvær.
- Næsedråber og sprays: Oliebaserede næsedråber kan utilsigtet løbe ned i svælget og aspireres til lungerne.
- Personlige plejeprodukter: Overdreven brug af produkter som vaseline, læbepomade eller mentholatum-salver omkring næse og mund kan føre til inhalation af små oliedråber over tid.
- Vaping/E-cigaretter: Olierne, der bruges som base i nogle e-væsker, kan ved inhalation føre til en form for lipoid lungebetændelse, ofte refereret til som EVALI (e-cigarette or vaping product use-associated lung injury).
- Arbejdsmiljø: Personer, der arbejder med industrielle smøremidler, maling, pesticider eller andre oliebaserede kemikalier, er i risiko, hvis de ikke anvender passende beskyttelsesudstyr.
- "Oil pulling": En alternativ medicinsk praksis, hvor man gurgler olie i munden. Hvis olien ved et uheld aspireres, kan det forårsage lipoid lungebetændelse.
Endogen Lipoid Lungebetændelse
Denne form er sjældnere og opstår, når fedtstoffer, der allerede findes i kroppen, ophobes i lungerne. Dette sker typisk som en konsekvens af en anden underliggende sygdom eller tilstand, der forstyrrer den normale fedtmetabolisme eller fører til vævsnedbrydning i lungerne. Årsagerne til endogen lipoid lungebetændelse, også kendt som kolesterolpneumoni, kan omfatte:
- Luftvejsobstruktion: En blokeret luftvej, for eksempel på grund af en lungetumor, kan føre til inflammation og nedbrydning af lungevæv bag blokeringen. Dette frigiver kolesterol og andre lipider, som ophobes.
- Lipidlagringssygdomme: Sjældne genetiske sygdomme som Niemann-Picks sygdom eller Gauchers sygdom, hvor kroppen ikke kan nedbryde fedtstoffer korrekt.
- Lungevævsskade: Skader på lungevævet fra andre sygdomme kan føre til frigivelse af lipider fra ødelagte celler.
Diagnose: En Udfordrende Proces
At diagnosticere lipoid lungebetændelse kan være svært, fordi symptomerne minder om mange andre lungesygdomme. En grundig sygehistorie er afgørende, hvor lægen vil spørge ind til brug af olier, salver, afføringsmidler og eksponering på arbejdspladsen.
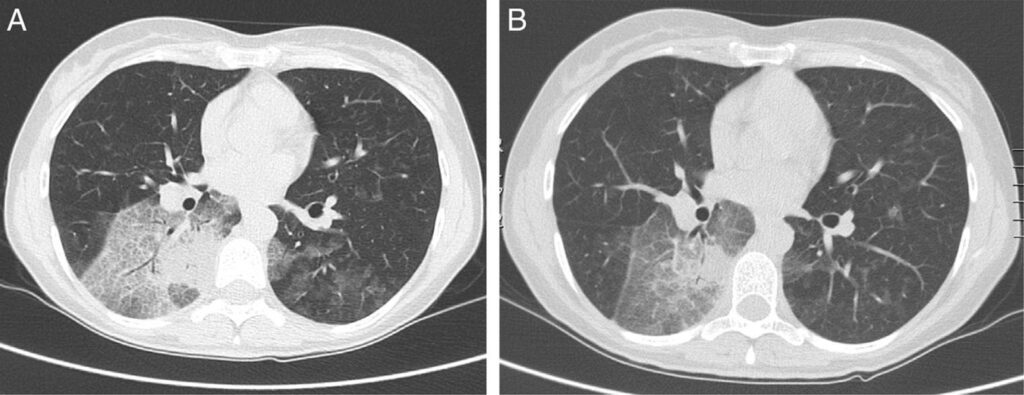
Den primære billeddiagnostiske metode er en højopløselig computertomografi (HRCT-scanning) af brystkassen. På en HRCT-scanning kan lægen se karakteristiske forandringer, såsom områder med lav tæthed (der indikerer fedt) i lungevævet. Selvom disse fund er stærkt suggestive, er de ikke altid definitive.
For at bekræfte diagnosen er det ofte nødvendigt med yderligere undersøgelser:
- Bronkoskopi med bronkoalveolær lavage (BAL): En tynd kikkert føres ned i lungerne, hvor en lille mængde saltvand sprøjtes ind og suges ud igen. Væsken analyseres i laboratoriet for tilstedeværelsen af lipidfyldte makrofager (immunceller, der har "spist" fedtdråber), hvilket er et tegn på lipoid lungebetændelse.
- Lungebiopsi: I nogle tilfælde, især ved mistanke om endogen lipoid lungebetændelse, kan det være nødvendigt at tage en lille vævsprøve fra lungen for at undersøge den under mikroskop og bekræfte diagnosen.
Behandlingsmuligheder og Prognose
Der findes ingen standardiseret behandling for lipoid lungebetændelse, og tilgangen afhænger af typen, sværhedsgraden af symptomerne og patientens generelle helbredstilstand.
For eksogen lipoid lungebetændelse er det absolut vigtigste skridt at identificere og stoppe eksponeringen for den olie eller det fedtstof, der forårsager problemet. For mange symptomfrie eller mildt symptomatiske patienter er dette den eneste nødvendige behandling, og tilstanden kan forbedres eller stabiliseres over tid.

For patienter med mere udtalte symptomer kan følgende behandlinger overvejes:
- Systemiske kortikosteroider: Disse lægemidler (f.eks. prednisolon) virker ved at dæmpe immunsystemets inflammatoriske reaktion i lungerne. De bruges ofte til at reducere inflammation og lindre symptomer som hoste og åndenød.
- Lungeskylning (hel-lunge lavage): I alvorlige tilfælde kan læger udføre en procedure, hvor hele lungen skylles med saltvand for fysisk at fjerne de ophobede lipider.
- Understøttende behandling: Dette kan omfatte iltbehandling for at afhjælpe åndenød og respirationsfysioterapi for at hjælpe med at fjerne slim fra lungerne og forbedre lungefunktionen.
Antibiotika er ineffektive mod lipoid lungebetændelse, da det ikke er en infektion. De kan dog blive nødvendige, hvis der opstår en sekundær bakteriel infektion.
Prognosen for lipoid lungebetændelse er generelt god, hvis årsagen identificeres og fjernes tidligt, og hvis patienten har et godt generelt helbred. I nogle tilfælde kan inflammationen dog føre til permanent arvævsdannelse i lungerne (lungefibrose), hvilket kan give varige vejrtrækningsproblemer.
Sammenligning af Lungebetændelsestyper
| Karakteristik | Lipoid Lungebetændelse | Bakteriel/Viral Lungebetændelse |
|---|---|---|
| Årsag | Inflammatorisk reaktion på fedt/olie i lungerne. | Infektion med mikroorganismer (bakterier, vira). |
| Smitte | Ikke smitsom. | Kan være smitsom. |
| Symptomudvikling | Ofte langsom og gradvis (kronisk). | Typisk hurtig og akut. |
| Primær behandling | Stop eksponering, evt. kortikosteroider. | Antibiotika (for bakteriel) eller antiviral medicin. |
Ofte Stillede Spørgsmål (FAQ)
Er lipoid lungebetændelse smitsom?
Nej, lipoid lungebetændelse er en inflammatorisk reaktion og ikke en infektion. Den kan derfor ikke smitte fra person til person.
Kan man dø af lipoid lungebetændelse?
I sjældne og alvorlige tilfælde, hvor der udvikles udbredt lungefibrose eller akut respirationssvigt, kan tilstanden være livstruende. Men med tidlig diagnose og korrekt håndtering er prognosen oftest god.
Hvornår skal jeg søge læge?
Du bør søge læge, hvis du oplever vedvarende hoste, åndenød, feber eller brystsmerter, især hvis du ved, at du regelmæssigt har inhaleret eller været eksponeret for oliebaserede produkter. En tidlig diagnose er nøglen til at forhindre varig lungeskade.
Hvis du vil læse andre artikler, der ligner Lipoid Lungebetændelse: Symptomer og Årsager, kan du besøge kategorien Sundhed.
