20/05/2010
Et liv med konstante hoftesmerter kan være invaliderende. Hverdagslige aktiviteter som at gå på trapper, rejse sig fra en stol eller blot en gåtur i naturen kan blive en smertefuld udfordring. For mange mennesker, der lider af alvorlige hofteskader eller kroniske ledsygdomme, kan en hofteoperation, også kendt som en hoftealloplastik eller artroplastik, være nøglen til at genvinde livskvaliteten. Denne operation indebærer udskiftning af det beskadigede hofteled med et kunstigt led, en såkaldt hofteprotese, og er en af de mest succesfulde kirurgiske procedurer i moderne medicin.

Hvorfor er en hofteoperation nødvendig?
Det primære formål med en hofteoperation er at lindre smerter, forbedre funktionen i hofteleddet og dermed øge mobiliteten. Når et hofteled er ødelagt, typisk på grund af slid, sygdom eller skade, kan den brusk, der normalt sikrer en glidende bevægelse mellem knoglerne, blive nedbrudt. Dette fører til, at knoglerne gnider direkte mod hinanden, hvilket forårsager stærke smerter, stivhed og nedsat bevægelighed. En vellykket hofteoperation kan eliminere disse symptomer og give patienten mulighed for at vende tilbage til de fleste af sine daglige aktiviteter.
Tilstande, der fører til hofteoperation
Flere forskellige medicinske tilstande kan beskadige hofteleddet i en sådan grad, at en operation bliver den bedste løsning. De mest almindelige årsager inkluderer:
- Slidgigt (artrose): Dette er den hyppigste årsag. Slidgigt er en degenerativ ledsygdom, hvor brusken i leddet gradvist nedbrydes over tid. Det rammer ofte midaldrende og ældre mennesker.
- Leddegigt (reumatoid artrit): En autoimmun sygdom, hvor kroppens immunforsvar angriber leddene, hvilket fører til inflammation, der ødelægger brusk og knogle.
- Hoftedysplasi: En medfødt tilstand, hvor hofteleddet ikke er korrekt formet, hvilket fører til unormalt slid og tidlig udvikling af slidgigt.
- Brud på lårbenshalsen: Et alvorligt brud tæt på hofteleddet, ofte som følge af et fald, kan nødvendiggøre en udskiftning af leddet.
- Osteonekrose (avaskulær nekrose): En tilstand, hvor blodforsyningen til "kugle-delen" af hofteleddet (lårbenshovedet) bliver afbrudt. Uden blod dør knoglevævet og kollapser, hvilket ødelægger leddet.
- Knogletumorer: I sjældne tilfælde kan en tumor i eller omkring hofteleddet nødvendiggøre fjernelse af leddet og indsættelse af en protese.
Hvornår skal man overveje operation?
Beslutningen om at gennemgå en hofteoperation træffes altid i samråd med en ortopædkirurg. Typisk vil man først have forsøgt en række ikke-kirurgiske behandlinger uden tilstrækkelig effekt. Hvis du oplever et eller flere af følgende symptomer, kan det være tid til at drøfte muligheden for en operation med din læge:
- Smerter i hoften eller lysken, der er så stærke, at de forstyrrer din nattesøvn.
- Smertestillende medicin, fysioterapi eller brug af stok/gangstativ giver kun lidt eller ingen lindring.
- Betydelige vanskeligheder med at udføre simple opgaver som at tage sokker på, rejse sig fra en stol eller gå op ad trapper.
- Smerter, der tvinger dig til at opgive aktiviteter, du holder af, såsom gåture, havearbejde eller socialt samvær.
- En følelse af, at din livskvalitet er markant forringet på grund af din hoftetilstand.
Forberedelse til din hofteoperation
Når beslutningen om operation er truffet, starter en grundig forberedelsesfase. Du vil mødes med din ortopædkirurg til en forundersøgelse. Her vil kirurgen gennemgå din sygehistorie, spørge ind til din medicin og udføre en fysisk undersøgelse af din hofte for at vurdere bevægelighed og muskelstyrke. Der vil blive taget blodprøver og røntgenbilleder, og i nogle tilfælde kan en MR-scanning også være nødvendig for at få et detaljeret billede af leddets tilstand.
Dette møde er din chance for at stille alle de spørgsmål, du måtte have. Det er vigtigt, at du føler dig tryg og velinformeret. Nogle læger anbefaler et træningsprogram op til operationen for at styrke musklerne omkring hoften. Stærkere muskler kan bidrage til en hurtigere og mere vellykket genoptræning efter indgrebet.
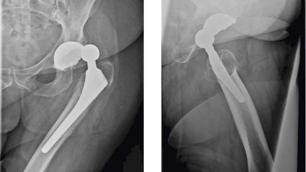
Hvad er en hofteprotese?
En moderne hofteprotese er et teknologisk vidunder designet til at efterligne funktionen af et naturligt hofteled. Den består typisk af to hoveddele: en kugle (caput) og en skål (acetabulum). Disse dele er fremstillet af materialer, der er skabt til at blive accepteret af kroppen, såkaldte biokompatible materialer. Kuglen er ofte lavet af poleret metal (f.eks. en kobolt-krom-legering) eller stærk keramik. Skålen har typisk en ydre skal af metal og en indre 'liner' af slidstærkt plastik (polyethylen), keramik eller metal. Valget af materialer afhænger af patientens alder, aktivitetsniveau og knoglekvalitet. Proteserne er designet til at modstå korrosion og mange års slid.
Risici og mulige komplikationer
En hofteoperation er et meget almindeligt og generelt sikkert indgreb med en succesrate på over 90%. Men som ved al kirurgi er der forbundet visse risici. De fleste komplikationer kan heldigvis behandles succesfuldt. Det er vigtigt at være bevidst om dem, så man kan genkende eventuelle advarselstegn.
| Risiko/Komplikation | Beskrivelse og Forebyggelse/Håndtering |
|---|---|
| Blodpropper | Der er en risiko for at udvikle blodpropper i benenes dybe vener. Dette forebygges med blodfortyndende medicin, støttestrømper og ved at komme hurtigt op at gå efter operationen. |
| Infektion | Infektion i operationssåret eller omkring protesen er en sjælden, men alvorlig komplikation. Det behandles med antibiotika, og i svære tilfælde kan en ny operation være nødvendig. |
| Dislokation | Protesens kugle kan gå ud af led. Risikoen er størst de første måneder og minimeres ved at følge fysioterapeutens anvisninger om, hvilke bevægelser man skal undgå. |
| Benlængdeforskel | Kirurgen tilstræber at gøre benene lige lange, men små forskelle kan opstå. Dette kan ofte korrigeres med et lille indlæg i skoen. |
| Løsning og slid | Over mange år kan protesen blive slidt eller løsne sig fra knoglen. Dette kan medføre smerter og kræve en ny operation for at udskifte protesen. |
Livet efter operationen: Forventninger og genoptræning
Forventningerne til resultatet af en hofteoperation er generelt meget høje. Du kan forvente en markant reduktion i smerter og en væsentlig forbedring af din evne til at bevæge dig. Det er dog vigtigt at have realistiske forventninger. Operationen vil ikke gøre dig i stand til at gøre ting, du ikke kunne, før dine hofteproblemer startede. Målet er at vende tilbage til en normal, aktiv hverdag.
En afgørende faktor for et vellykket resultat er din egen indsats under genoptræningen. Du vil blive vejledt af en fysioterapeut, som giver dig et skræddersyet træningsprogram. Træningen har til formål at genopbygge styrken i musklerne omkring din nye hofte og genvinde fuld bevægelighed. Vedholdenhed og tålmodighed er nøgleordene i denne proces.
Efterhånden som du kommer dig, vil du kunne genoptage mange af dine yndlingsaktiviteter. Aktiviteter med lav impakt som svømning, cykling, golf og lange gåture er ideelle. Aktiviteter med høj impakt som løb, hop og kontaktsport frarådes typisk, da de kan slide unødigt på protesen og forkorte dens levetid.
Ofte Stillede Spørgsmål (FAQ)
Hvor længe holder en hofteprotese?
Holdbarheden af en moderne hofteprotese er meget god. For de fleste patienter kan man forvente, at protesen holder i 15-20 år, og ofte længere. Holdbarheden afhænger af flere faktorer, herunder patientens alder, vægt, aktivitetsniveau og den specifikke type protese, der er anvendt.
Hvor hurtigt er jeg på benene igen efter operationen?
Du vil typisk blive hjulpet op at gå allerede dagen efter operationen med hjælp fra en fysioterapeut og et gangstativ eller krykker. De fleste patienter udskrives fra hospitalet efter få dage. Du vil skulle bruge krykker i nogle uger, og den samlede genoptræningsperiode, før du føler dig fuldt restitueret, kan vare fra flere måneder op til et år.
Vil min nye hofte sætte metaldetektorer i gang i lufthavnen?
Ja, det er meget sandsynligt. Hofteproteser indeholder metaldele, som vil blive opfanget af sikkerhedsscannere. Det er en god idé at informere sikkerhedspersonalet om din protese. Mange hospitaler udsteder et kort, du kan fremvise, som bekræfter, at du har et metalimplantat.
Er det en smertefuld operation?
Selve operationen foregår under fuld bedøvelse eller rygmarvsbedøvelse, så du vil ikke mærke smerte. Efter operationen vil du opleve smerter, men disse håndteres effektivt med smertestillende medicin. Smerterne aftager gradvist i løbet af de første uger, og den postoperative smerte er for de fleste langt at foretrække frem for de kroniske smerter fra den nedslidte hofte.
Hvis du vil læse andre artikler, der ligner Hofteoperation: Årsager, risici og forløb, kan du besøge kategorien Sundhed.
