29/09/2004
At få en diagnose for dyb endometriose kan være en lang og frustrerende proces for mange kvinder. Denne komplekse tilstand, hvor endometriose-lignende væv vokser mere end 5 millimeter ind i bækkenorganerne, kræver en specialiseret og grundig tilgang for at blive korrekt identificeret. En præcis diagnose er ikke kun afgørende for at lindre smertefulde symptomer, men også for at udarbejde en effektiv og skræddersyet behandlingsplan, der ofte involverer avanceret kirurgi. Denne artikel vil guide dig gennem de forskellige trin og metoder, som specialister bruger til at diagnosticere dyb infiltrerende endometriose, fra den indledende samtale til de mest avancerede billeddiagnostiske teknikker.

Den Første Konsultation: Symptomer og Fysisk Undersøgelse
Rejsen mod en diagnose starter typisk hos lægen eller gynækologen. Her er en detaljeret sygehistorie det første og vigtigste redskab. Lægen vil spørge indgående til dine symptomer, herunder:
- Smerter: Hvornår opstår smerterne? Er de cykliske (relateret til menstruation)? Oplever du smerter under samleje (dyspareuni), ved vandladning (dysuri) eller ved afføring (dyschezi)?
- Blødningsmønster: Er dine menstruationer meget kraftige eller uregelmæssige?
- Infertilitet: Har du haft svært ved at blive gravid?
- Mave-tarm-symptomer: Oplever du oppustethed, forstoppelse eller diarré, især i forbindelse med din menstruation?
Efter samtalen vil lægen foretage en gynækologisk undersøgelse. Under denne undersøgelse kan lægen mærke efter ømhed, knuder (noduli) eller fortykkelser i bækkenet, især i området mellem skeden og endetarmen (det rektovaginale septum) og langs livmoderens støttebånd (de uterosakrale ligamenter). Selvom en fysisk undersøgelse kan give en stærk mistanke om dyb endometriose, er den sjældent tilstrækkelig til at stille en endelig diagnose eller vurdere det fulde omfang af sygdommen.
Billeddiagnostik: Nøglen til at Afsløre Dyb Endometriose
For at visualisere bækkenorganerne og identificere endometriose-læsioner er billeddiagnostik essentiel. De to primære metoder er transvaginal ultralyd og MR-scanning, som hver især har deres styrker og anvendelsesområder.
Transvaginal Ultralyd (TVUS): Den Foretrukne Førstelinjeundersøgelse
Transvaginal ultralyd betragtes i dag som guldstandarden for den indledende udredning af dyb endometriose. Undersøgelsen udføres af en specialuddannet sonograf eller gynækolog og er både tilgængelig og omkostningseffektiv. Med en avanceret og systematisk tilgang, som f.eks. IDEA-protokollen (International Deep Endometriosis Analysis), kan en erfaren undersøger med høj præcision identificere læsioner i forskellige dele af bækkenet.
Under en TVUS ser specialisten efter specifikke tegn:
- Direkte visualisering af knuder: Mørke, uregelmæssige knuder i blærevæggen, tarmvæggen, skedevæggen eller de uterosakrale ligamenter.
- "Soft markers": Indirekte tegn, der indikerer sammenvoksninger. Dette inkluderer ømhed ved tryk med ultralydsproben på et specifikt sted eller nedsat bevægelighed af æggestokkene.
- "Sliding sign": En dynamisk test, hvor undersøgeren vurderer, om livmoderen kan glide frit i forhold til endetarmen. Et negativt "sliding sign" (hvor organerne sidder fast) er et stærkt tegn på sammenvoksninger i det bagerste bækkenrum.
- "Kissing ovaries": Et tegn, hvor begge æggestokke er trukket ind mod midten og klæber sammen bag livmoderen, hvilket indikerer alvorlige sammenvoksninger.
For at forbedre billedkvaliteten, især ved mistanke om tarmendometriose, kan det være nødvendigt med en tarmforberedelse inden undersøgelsen, eller der kan anvendes en vand- eller gelkontrast i skeden eller endetarmen.
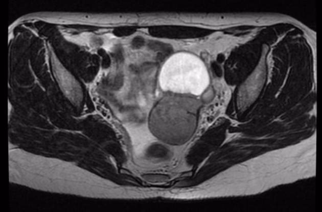
Magnetisk Resonansscanning (MRI): Et Detaljeret Kort over Bækkenet
MR-scanning er en anden kraftfuld billeddiagnostisk metode, der ofte anvendes som et supplement til TVUS, især i komplekse tilfælde eller som en del af den præoperative planlægning. En MR-scanning giver et fremragende overblik over hele bækkenet og kan visualisere væv og organer med meget høj kontrast.
Fordelene ved MRI inkluderer:
- Omfattende overblik: Giver et komplet "kort" over bækkenanatomien og udbredelsen af endometriose, hvilket er uvurderligt for kirurger.
- Bedre visualisering af visse områder: Er særligt god til at identificere læsioner højt oppe i tarmsystemet (rectosigmoideum), i urinlederne eller i mere sjældne lokalisationer som f.eks. mellemgulvet.
- Karakterisering af læsioner: Kan hjælpe med at skelne endometriose fra andre tilstande.
Specifikke tegn på dyb endometriose på en MR-scanning inkluderer det såkaldte "mushroom cap sign", hvor endometriose i tarmvæggen ligner en svamp, der vokser ind i tarmens muskellag.
Sammenligning af Diagnostiske Metoder
For at give et klart overblik er her en sammenligningstabel over de primære billeddiagnostiske metoder.
| Egenskab | Transvaginal Ultralyd (TVUS) | MR-Scanning (MRI) |
|---|---|---|
| Tilgængelighed | Høj, findes på de fleste gynækologiske klinikker. | Lavere, kræver specialiseret udstyr og radiologer. |
| Omkostning | Lavere. | Højere. |
| Patientoplevelse | Kan være ubehagelig, især ved ømhed. Undersøgelsen er dynamisk. | Mindre invasiv, men kræver at man ligger stille i et trangt rum i længere tid. |
| Nøjagtighed | Meget høj i hænderne på en erfaren specialist, især for det bagerste bækkenrum. | Meget høj, især for det overordnede billede og læsioner uden for rækkevidde af TVUS. |
| Bedst til... | Førstelinjeundersøgelse, dynamisk vurdering af sammenvoksninger, identifikation af læsioner i blære og tarm tæt på skeden. | Præoperativ planlægning, komplekse tilfælde, vurdering af urinledere og højereliggende tarmsegmenter. |
Laparoskopi: Den Definitive Diagnose og Behandling
Selvom billeddiagnostik er blevet utroligt præcis, er den definitive "guldstandard" for diagnosticering af endometriose stadig laparoskopi (kikkertoperation). Under en laparoskopi kan kirurgen direkte se læsionerne, vurdere deres udbredelse og tage vævsprøver (biopsier) til histologisk undersøgelse, hvilket giver en 100% sikker diagnose.
I moderne praksis er målet dog at have en meget præcis diagnose stillet ved hjælp af TVUS og/eller MRI *før* en operation. Dette paradigmeskifte fra "diagnostisk laparoskopi" til "billedbaseret diagnose" har enorme fordele. Det sikrer, at operationen kan planlægges omhyggeligt, og at det korrekte tværfaglige team (f.eks. med en tarmkirurg og en urolog) er til stede fra starten. Dette minimerer risikoen for, at patienten skal gennemgå flere operationer, og forbedrer de kirurgiske resultater markant.
Ofte Stillede Spørgsmål (FAQ)
Er en diagnose kun mulig med operation?
Ikke længere. En såkaldt "klinisk diagnose" baseret på en kombination af symptomer, gynækologisk undersøgelse og højkvalitets billeddiagnostik (især ekspert-udført TVUS) betragtes i dag som meget pålidelig. Laparoskopi bruges til at bekræfte diagnosen endeligt og, vigtigst af alt, til at behandle sygdommen kirurgisk i samme seance.
Hvilken undersøgelse skal jeg have først, ultralyd eller MRI?
For de fleste kvinder vil en specialiseret transvaginal ultralyd være den første og ofte eneste nødvendige billeddiagnostiske undersøgelse. En MR-scanning vil typisk blive anbefalet, hvis ultralyden er inkonklusiv, hvis der er mistanke om endometriose på steder, der er svære at se med ultralyd, eller som en del af en detaljeret planlægning før en kompliceret operation.
Hvorfor er en præcis diagnose før operation så vigtig?
En præcis præoperativ diagnose er altafgørende. Den giver kirurgen et detaljeret kort over sygdommens udbredelse. Dette gør det muligt at informere patienten grundigt om operationens omfang og potentielle risici, sammensætte det rette kirurgiske team og vælge den optimale kirurgiske strategi. Resultatet er en mere sikker og effektiv behandling med færre komplikationer.
Kan dyb endometriose påvirke mine urinveje?
Ja, dyb endometriose kan vokse på eller ind i blæren og urinlederne (de rør, der fører urin fra nyrerne til blæren). Dette kan være "tavst" (uden symptomer) men potentielt farligt, da det kan blokere for urinafløbet og forårsage permanent nyreskade. Derfor er en grundig vurdering af urinvejene en standarddel af udredningen for dyb endometriose.
Hvis du vil læse andre artikler, der ligner Diagnose af Dyb Endometriose: En Guide, kan du besøge kategorien Sundhed.
