28/03/2025
Endometriose er en kompleks og ofte smertefuld kronisk sygdom, der påvirker utallige kvinder i den fødedygtige alder. Tilstanden er kendetegnet ved, at væv, der ligner livmoderslimhinden (endometrium), vokser uden for livmoderen. Dette kan føre til inflammation, arvæv og stærke smerter. At stille en præcis diagnose kan være en lang og frustrerende proces, men moderne billeddiagnostik, især MRI-scanning, har revolutioneret måden, hvorpå læger kan visualisere og planlægge behandlingen af denne sygdom. Denne artikel giver en dybdegående forståelse af, hvad en MRI-scanning for endometriose indebærer, hvornår den anvendes, og hvad den kan afsløre.

Hvad er Endometriose? En Oversigt
For at forstå værdien af en MRI-scanning er det vigtigt først at forstå selve sygdommen. Ved Endometriose implanterer endometrielignende væv sig på organer i bækkenet, såsom æggestokkene, æggelederne, ydersiden af livmoderen, tarmene og blæren. Dette væv reagerer på hormonelle svingninger i menstruationscyklussen, hvilket fører til cyklisk blødning og en inflammatorisk reaktion. Kroppen reagerer ved at danne arvæv og adhærencer (sammenvoksninger), som kan binde organer sammen og forårsage betydelig smerte og funktionsnedsættelse.
Symptomerne varierer meget fra kvinde til kvinde, men de mest almindelige omfatter:
- Stærke menstruationssmerter (dysmenoré)
- Kroniske bækkensmerter
- Smerter ved samleje (dyspareuni)
- Smerter ved afføring eller vandladning, især under menstruation
- Infertilitet eller nedsat fertilitet
- Oppustethed, forstoppelse og andre fordøjelsesproblemer
Det er afgørende at bemærke, at symptomernes sværhedsgrad ikke altid afspejler omfanget af sygdommen. Nogle kvinder med udbredt endometriose har få symptomer, mens andre med milde tilfælde kan opleve invaliderende smerter.
Rollen af MRI i Diagnosticering af Endometriose
Diagnosen af endometriose involverer typisk en kombination af en grundig sygehistorie, en gynækologisk undersøgelse og billeddiagnostik. Transvaginal ultralyd (TVUS) er ofte det første skridt, da den er let tilgængelig og god til at identificere endometriomer (cyster på æggestokkene, også kendt som "chokoladecyster"). Men ultralyd har sine begrænsninger, især når det kommer til at visualisere dybere og mere spredte læsioner.
Her kommer MRI-scanning (Magnetisk Resonans Imaging) ind i billedet. MRI er en avanceret billeddannelsesteknik, der bruger et kraftigt magnetfelt og radiobølger til at skabe detaljerede tværsnitsbilleder af kroppens indre. Den er exceptionelt god til at fremstille bløddele, hvilket gør den ideel til at kortlægge endometriose i bækkenet. En MRI-scanning er en ikke-invasiv procedure, der ikke anvender ioniserende stråling.
Hvornår Anbefales en MRI-Scanning?
Ifølge retningslinjer fra førende europæiske ekspertpaneler (som ESUR), anbefales en MRI-scanning typisk i følgende situationer:
- Når ultralyd er inkonklusiv: Hvis en transvaginal ultralyd ikke giver et klart svar, eller hvis der er mistanke om mere kompleks sygdom, end ultralyden kan vise.
- Ved negative ultralydsresultater trods stærke symptomer: Nogle former for endometriose, især overfladiske implantater og visse dybe læsioner, kan være svære at se på ultralyd.
- Før kirurgisk behandling: MRI er et uvurderligt værktøj til kirurgisk planlægning. Den kan skabe et detaljeret "kort" over sygdommens udbredelse, hvilket hjælper kirurgen med at forberede sig på en potentielt kompliceret operation, der kan involvere tarm- eller urinvejskirurger.
- Efter operation ved vedvarende symptomer: Hvis smerterne fortsætter efter en operation, kan en MRI hjælpe med at identificere eventuelt tilbageværende eller nyopstået sygdom.
- Når ultralyd ikke er mulig: Hos patienter, der ikke kan gennemgå en transvaginal undersøgelse (f.eks. jomfruer eller kvinder med vaginisme).
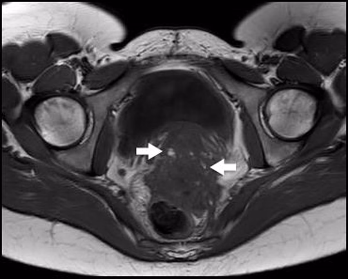
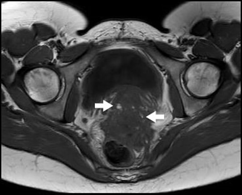
Forståelse af MRI-Resultater: Dyb Infiltrerende Endometriose (DIE)
En af de største fordele ved MRI er dens evne til præcist at identificere og vurdere dyb infiltrerende endometriose (DIE). DIE er defineret som endometriose, der trænger mere end 5 mm ind under bughinden (peritoneum). Denne form for sygdom er ofte forbundet med de mest alvorlige symptomer og kræver specialiseret kirurgi.
På en MRI-scanning fremstår DIE-læsioner typisk som mørke, fibrøse knuder eller fortykkelser på T2-vægtede billeder. De kan indeholde små, lyse pletter, som repræsenterer indkapslede blødninger. Almindelige placeringer for DIE, som MRI er særligt god til at visualisere, inkluderer:
- De uterosakrale ligamenter: Disse ligamenter, der støtter livmoderen, er den hyppigste placering for DIE. MRI kan vise fortykkelse, nodularitet og sammenvoksninger til omkringliggende strukturer.
- Tarmen (især rektosigmoideum): Når endometriose vokser ind i tarmvæggen, kan det forårsage alvorlige mave-tarm-symptomer. MRI kan vise dybden af invasionen og er kendt for at kunne identificere det såkaldte "mushroom cap sign", hvor endometriosevævet buler ind i tarmens lumen.
- Blæren og urinlederne: Involvering af urinvejene kan føre til smertefuld vandladning og i sjældne tilfælde blokering af urinlederne. MRI kan tydeligt afgrænse disse læsioner.
- Rectovaginal septum: Rummet mellem skeden og endetarmen er et andet almindeligt sted for DIE, som kan forårsage dybe samlejesmerter.
Derudover kan MRI identificere sekundære tegn på endometriose, såsom "kissing ovaries", hvor adhærencer trækker begge æggestokke sammen bag livmoderen, hvilket er et tegn på fremskreden sygdom.
Klassificering og Rapportering: Bedre Kommunikation og Behandling
For at sikre, at informationen fra en MRI-scanning er så nyttig som muligt, er der udviklet standardiserede klassificerings- og rapporteringssystemer. Formålet er at forbedre kommunikationen mellem radiologer, kirurger og patienter.

Et af de mest anerkendte systemer er dPEI-score (deep-pelvic endometriosis index). Dette system inddeler bækkenet i ni rum og tildeler point baseret på, hvilke rum der er påvirket af DIE. Den samlede score hjælper med at kategorisere sygdommen som mild, moderat eller svær. Denne score har vist sig at korrelere med operationstid, længden af hospitalsophold og risikoen for postoperative komplikationer. Det giver kirurgen et klart billede af, hvad der venter, og hjælper med at informere patienten om operationens omfang.
Strukturerede rapporter, der systematisk gennemgår alle relevante anatomiske områder, sikrer, at ingen potentielle læsioner overses. Nogle radiologer inkluderer endda tegninger eller diagrammer i deres rapporter for visuelt at illustrere placeringen og udbredelsen af endometriosen, hvilket kan være en stor hjælp for både kirurgen og patientens forståelse.
Sammenligning af Billeddiagnostiske Metoder
For at give et klart overblik er her en sammenligning mellem transvaginal ultralyd og MRI-scanning til diagnosticering af endometriose.
| Egenskab | Transvaginal Ultralyd (TVUS) | MRI-Scanning |
|---|---|---|
| Anvendelse | Førstelinjeundersøgelse | Andenlinje, præ-kirurgisk kortlægning |
| Tilgængelighed | Høj | Lavere |
| Omkostning | Lavere | Højere |
| Nøjagtighed (Endometriomer) | God | Meget høj |
| Nøjagtighed (DIE) | Variabel, afhænger af operatør | Høj, især for dybe læsioner i tarm og ligamenter |
| Visualisering | Begrænset synsfelt | Komplet overblik over hele bækkenet |
Ofte Stillede Spørgsmål (FAQ)
Gør en MRI-scanning for endometriose ondt?
Selve scanningen er smertefri. Udfordringen for nogle kan være at ligge helt stille i scanneren i 30-45 minutter. Maskinen kan også være støjende. For at forbedre billedkvaliteten kan du få et lægemiddel, der midlertidigt nedsætter tarmbevægelserne. Nogle undersøgelser involverer brug af kontrastvæske via en blodåre eller gel i skeden og/eller endetarmen for bedre visualisering, hvilket kan føles lidt ubehageligt, men ikke smertefuldt.
Kan en MRI-scanning se alle former for endometriose?
Nej. MRI er ikke velegnet til at opdage meget små, overfladiske endometriose-implantater på bughinden. Disse kan ofte kun ses ved en kikkertoperation (laparoskopi). MRI's styrke ligger i at detektere endometriomer (cyster) og især dyb infiltrerende endometriose.
Hvad er adenomyose, og kan MRI se det?
Adenomyose er en beslægtet tilstand, hvor endometrievæv vokser ind i selve livmodermusklen (myometriet). Det forårsager ofte kraftige menstruationer og smerter. Mange kvinder med endometriose har også adenomyose. MRI er den bedste ikke-invasive metode til at diagnosticere adenomyose, da den tydeligt kan vise en fortykket overgangszone i livmodervæggen.
Konklusion
MRI-scanning har etableret sig som et afgørende redskab i håndteringen af moderat til svær endometriose. Selvom den ikke erstatter den gynækologiske undersøgelse eller ultralyd som første skridt, tilbyder den en uovertruffen detaljerigdom, når der er mistanke om dyb og kompleks sygdom. Ved at levere et præcist anatomisk kort over endometriose-læsionernes placering og omfang, gør MRI det muligt for kirurger at planlægge den mest effektive og skånsomme operation. Samtidig bidrager standardiserede rapporteringsmetoder til bedre kommunikation og giver patienter en dybere forståelse af deres tilstand, hvilket er et vigtigt skridt mod bedre behandling og livskvalitet.
Hvis du vil læse andre artikler, der ligner MRI-scanning af Endometriose: En Dybdegående Guide, kan du besøge kategorien Sundhed.
