03/02/2017
At modtage medicinsk information, som f.eks. målingen af din endometrieslimhinde til 4 mm, kan skabe mange spørgsmål. Er det normalt? Er det et tegn på et problem? Svaret er, at betydningen af en 4 mm endometrieslimhinde afhænger fuldstændigt af din livsfase – om du er i den fødedygtige alder, gravid, eller har passeret overgangsalderen. Denne artikel vil dykke ned i, hvad endometriet er, hvilken funktion det har, og hvad en tykkelse på 4 mm betyder i forskellige sammenhænge for en kvindes helbred.

Hvad er endometriet og dets funktion?
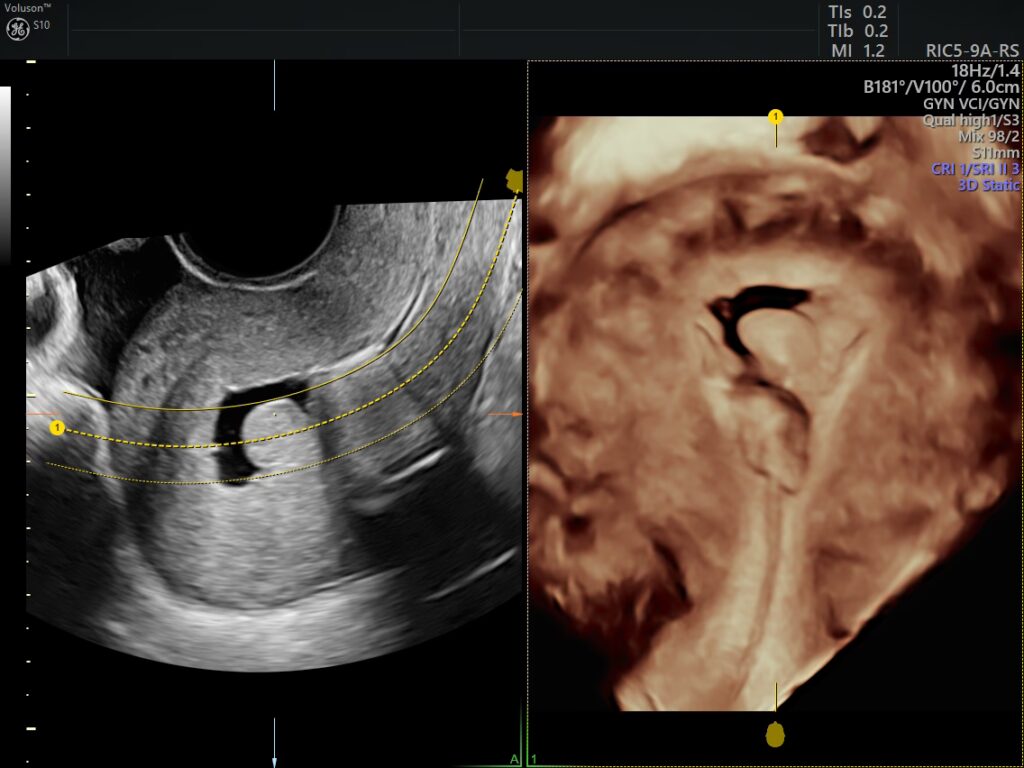
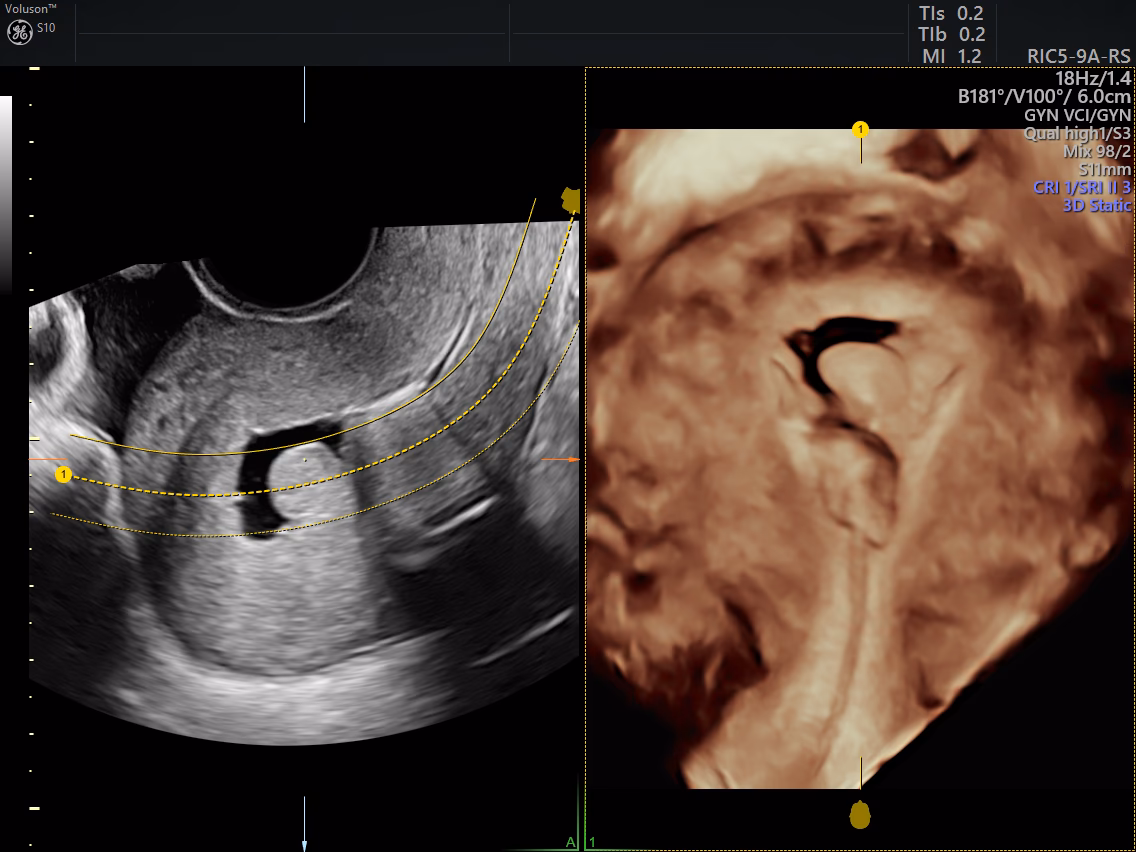
Endometriet er det medicinske udtryk for livmoderslimhinden, det lag af væv, der beklæder indersiden af livmoderen. Under en ultralydsscanning eller en MR-scanning (magnetisk resonansbilleddannelse) fremstår endometriet som en mørk linje, ofte omtalt som 'endometriestriben'. Dette er ikke en diagnose, men blot en beskrivelse af et normalt væv i kroppen.
Endometriets primære funktion er at forberede livmoderen på en eventuel graviditet. Det er et af de få organer i kroppen, der gennemgår dramatiske, cykliske ændringer hver måned i en kvindes reproduktive år. Styret af hormonerne østrogen og progesteron, vokser slimhinden sig tyk og rig på blodkar for at kunne modtage og nære et befrugtet æg. Hvis befrugtning ikke finder sted, afstødes det yderste lag af slimhinden, hvilket resulterer i menstruation. Denne cyklus af opbygning og afstødning gentages måned efter måned.
Normal tykkelse af endometriet i forskellige livsfaser
Den 'normale' tykkelse af endometriet varierer betydeligt afhængigt af en kvindes alder og hormonelle status. En måling på 4 mm kan være helt normal i én situation og et potentielt advarselstegn i en anden.
Før puberteten
Hos piger, der endnu ikke er kommet i puberteten, er endometriet meget tyndt, ofte kun en tynd linje, som kan være svær at se tydeligt på en ultralydsscanning.
I den fødedygtige alder (præmenopausal)
For kvinder, der har menstruation, ændrer endometriets tykkelse sig konstant i løbet af menstruationscyklussen. Her er 4 mm en helt normal måling i starten af cyklussen.
- Under menstruation (dag 1-5): Slimhinden afstødes, og den er på sit tyndeste, typisk mellem 2 og 4 mm. En måling på 4 mm er altså forventelig her.
- Tidlig proliferativ fase (efter menstruation, dag 6-10): Under indflydelse af østrogen begynder slimhinden at vokse igen og når en tykkelse på 5 til 7 mm.
- Sen proliferativ fase (op til ægløsning, dag 11-14): Væksten fortsætter, og tykkelsen kan nå op til 11 mm.
- Sekretorisk fase (efter ægløsning, dag 15-28): Under indflydelse af progesteron modnes slimhinden og bliver klar til implantation. Den når sin maksimale tykkelse, som kan være op til 16 mm.
Under graviditet
Når et befrugtet æg implanterer sig, sker det i den tykke, modne slimhinde. I meget tidlig graviditet kan en endometriestribe på omkring 2 mm eller mere være synlig, men den vil hurtigt blive dækket af fosterhinden og moderkagen, efterhånden som graviditeten udvikler sig.
Efter fødsel (postpartum)
Umiddelbart efter en fødsel er det normalt, at endometriet er tykkere end normalt. Dette skyldes rester af væv, blodpropper og helingsprocessen i livmoderen. Slimhinden vil gradvist normalisere sig og genoptage sin normale cyklus, når menstruationen vender tilbage.
Efter overgangsalderen (postmenopausal)
Dette er den livsfase, hvor en måling på 4 mm kræver mest opmærksomhed. Efter overgangsalderen stopper den cykliske produktion af hormoner, og endometriet bør forblive tyndt og inaktivt. For en kvinde, der oplever postmenopausal blødning, anses en slimhinde på 4 mm eller derunder generelt for at være normal. Men hvis slimhinden er tykkere end 4-5 mm, især hos en kvinde med blødning, vil det ofte føre til yderligere undersøgelser for at udelukke tilstande som livmoderkræft.
Hvordan måles endometriets tykkelse?
Den mest almindelige og effektive metode til at måle endometriets tykkelse er en transvaginal ultralydsscanning. Denne procedure giver et klart og detaljeret billede af livmoderen og slimhinden. I tilfælde hvor en ultralydsscanning ikke giver et tilstrækkeligt klart billede, f.eks. på grund af livmoderens position eller andre medicinske tilstande, kan en MR-scanning anvendes.

Symptomer og årsager til en unormal slimhinde
Unormale ændringer i endometriets tykkelse kan give forskellige symptomer, som det er vigtigt at være opmærksom på.
Årsager til en unormalt tyk slimhinde
En fortykket slimhinde er ikke altid et problem, men det kan være et tegn på underliggende tilstande:
- Endometriehyperplasi: En tilstand hvor kirtlerne i endometriet vokser for hurtigt, hvilket fører til en fortykkelse. Det skyldes ofte en ubalance med for meget østrogen i forhold til progesteron. I sjældne tilfælde kan det udvikle sig til kræft.
- Fibromer (muskelknuder): Godartede tumorer i livmodervæggen, som kan få slimhinden til at se tykkere ud på en scanning.
- Polypper: Små, ofte godartede vækster på slimhinden, som kan forårsage blødning og fortykkelse.
- Brug af Tamoxifen: Medicin, der bruges til behandling af brystkræft, kan som bivirkning forårsage fortykkelse af endometriet.
- Livmoderkræft: En unormalt tyk slimhinde, især efter overgangsalderen, er det mest almindelige tidlige tegn på livmoderkræft.
Symptomer på en for tyk slimhinde inkluderer kraftige eller langvarige menstruationer, pletblødning mellem perioder, blødning efter overgangsalderen og besvær med at blive gravid.
Årsager til en unormalt tynd slimhinde
En tynd slimhinde er sjældnere et problem, medmindre man forsøger at blive gravid.
- Endometrieatrofi: En tilstand forårsaget af lave østrogenniveauer, typisk i forbindelse med overgangsalderen, men kan også ses hos yngre kvinder pga. hormonelle ubalancer eller spiseforstyrrelser.
- Lavt østrogenniveau: Kan forhindre slimhinden i at opbygge den nødvendige tykkelse for implantation.
Symptomer kan omfatte manglende menstruation, uregelmæssige cyklusser og infertilitet.
Behandlingsmuligheder
Behandlingen afhænger af årsagen til den unormale tykkelse og kvindens individuelle situation.
- For en tyk slimhinde: Behandlingen kan omfatte hormonbehandling med progestin for at modvirke østrogenets effekt og fremkalde afstødning af slimhinden. I mere alvorlige tilfælde, eller ved mistanke om kræft, kan en hysterektomi (fjernelse af livmoderen) være nødvendig.
- For en tynd slimhinde: Hvis en tynd slimhinde forhindrer graviditet, kan behandlingen omfatte østrogentilskud, medicin til at forbedre blodgennemstrømningen til livmoderen, eller hCG-hormon (humant choriongonadotropin). Effekten af disse behandlinger kan dog variere.
Ofte Stillede Spørgsmål (FAQ)
Er en 4 mm endometrieslimhinde altid farlig?
Nej, absolut ikke. En tykkelse på 4 mm er helt normalt under menstruationen for kvinder i den fødedygtige alder. Det er kun efter overgangsalderen, især hvis der er vaginal blødning, at en måling på over 4-5 mm betragtes som unormal og kræver yderligere undersøgelse.
Hvad er den ideelle tykkelse for at blive gravid?
Selvom det kan variere, anser de fleste fertilitetsspecialister en endometrietykkelse på mellem 7 og 12 mm i den sekretoriske fase som ideel for en vellykket implantation af et befrugtet æg. En meget tynd slimhinde kan gøre det sværere at opnå graviditet.
Kan min livsstil påvirke min endometrieslimhinde?
Ja, indirekte. Faktorer som kost, motion, stress og kropsvægt kan påvirke dine hormonniveauer, især østrogen. En sund og afbalanceret livsstil kan bidrage til en sund hormonbalance, hvilket igen understøtter en normal og sund cyklus for din endometrieslimhinde.
Konklusion
Betydningen af en 4 mm endometrieslimhinde er helt afhængig af konteksten. For de fleste kvinder før overgangsalderen er det en normal og harmløs måling på et bestemt tidspunkt i deres cyklus. For kvinder efter overgangsalderen kan det være en vigtig indikator, der kræver opmærksomhed. Det er afgørende at lytte til din krop. Hvis du oplever unormale symptomer som uventet blødning, kraftige smerter eller ændringer i din cyklus, bør du altid konsultere en læge. Tidlig opdagelse er nøglen til effektiv behandling, især når det gælder alvorlige tilstande som livmoderkræft, hvor prognosen er god ved tidlig diagnose.
Hvis du vil læse andre artikler, der ligner Hvad betyder en 4 mm endometrieslimhinde?, kan du besøge kategorien Sundhed.
