15/12/2025
Diabetes påvirker næsten 6% af verdens befolkning, og forekomsten stiger hvert år. Det er en kronisk sygdom, der medfører en række potentielt alvorlige komplikationer, hvis den ikke håndteres korrekt. I takt med at flere mennesker diagnosticeres, især type 2-diabetes, stiger behovet for effektiv overvågning og tidlig opsporing af følgesygdomme. En af de vigtigste metoder til dette er medicinsk billeddiagnostik, herunder røntgenundersøgelser af brystkassen. Men hvor nyttig er denne type undersøgelse egentlig for patienter med diabetes? Denne artikel dykker ned i betydningen af billeddiagnostik for diabetikere og belyser, hvordan forskellige teknikker kan hjælpe med at identificere og håndtere komplikationer.

Hvad er Billeddiagnostik?
Billeddiagnostik er en gren af medicinen, der anvender forskellige billeddannelsesteknikker til at visualisere kroppens indre for at diagnosticere, overvåge og behandle sygdomme. Disse teknikker giver et detaljeret kig på fysiologiske og patologiske forandringer uden behov for invasive indgreb. Moderne udstyr som magnetisk resonans (MR), computertomografi (CT) og digital røntgen er centrale værktøjer. For patienter med diabetes kan disse undersøgelser være afgørende for at opdage komplikationer i organer som hjerte, nyrer, blodkar og fødder, længe før de giver alvorlige symptomer.
Diabetes og Dets Alvorlige Komplikationer
For at forstå vigtigheden af billeddiagnostik, må man først anerkende de risici, diabetes medfører. Kronisk højt blodsukker (hyperglykæmi) kan over tid skade kroppens organer og systemer. Komplikationerne opdeles typisk i to hovedgrupper:
- Mikrovaskulære komplikationer: Disse påvirker de små blodkar i kroppen og inkluderer retinopati (øjenbeskadigelse), nefropati (nyrebeskadigelse) og neuropati (nervebeskadigelse).
- Makrovaskulære komplikationer: Disse påvirker de store blodkar og er den primære årsag til dødsfald blandt diabetikere. De omfatter koronararteriesygdom (hjertesygdom), slagtilfælde og perifer arteriesygdom (dårligt blodomløb i benene). Faktisk anses diabetes for at være en risikofaktor på lige fod med eksisterende hjertesygdom.
Derudover er diabetikere mere modtagelige for infektioner, og de kan udvikle en specifik hjertesygdom kaldet diabetisk kardiomyopati, som opstår uafhængigt af forhøjet blodtryk og koronararteriesygdom. Den store byrde af disse komplikationer gør tidlig screening og diagnose altafgørende.
Er Røntgen af Brystkassen Nyttig for Diabetikere?
Spørgsmålet om rutinemæssig røntgenundersøgelse af brystkassen for alle diabetespatienter er relevant. En undersøgelse evaluerede røntgenbilleder af brystkassen hos 43 på hinanden følgende diabetespatienter for at bestemme deres rolle som en rutinemæssig undersøgelse. Resultaterne var interessante:
- Hos 22 patienter (51,2%) var røntgenbillederne normale.
- De resterende 21 patienter havde 61 unormale fund på deres billeder.
- Af disse var 26 (42,6%) signifikante abnormiteter, mens 35 (57,4%) var ikke-signifikante.
- Blandt de signifikante fund var kardiomegali (forstørret hjerte) det mest almindelige (42,3%).
- Blandt de ikke-signifikante fund var udvidelse af aorta det hyppigste.
Studiet viste, at radiologiske abnormiteter blev observeret tre gange hyppigere hos patienter over 40 år sammenlignet med yngre patienter. I 19 ud af 21 tilfælde med unormale fund bekræftede røntgenbilledet en klinisk diagnose. Konklusionen er derfor, at rutinemæssig røntgen af brystkassen er mest værdifuld hos diabetespatienter, der har kliniske symptomer, samt hos ældre diabetikere over 40 år. Det er ikke nødvendigvis en standardundersøgelse for alle, men et vigtigt værktøj i specifikke patientgrupper.
Hvad en Radiolog Bør Vide om en Patient med Diabetes
For at en radiolog kan tolke billeddiagnostiske resultater korrekt, er det essentielt at have kendskab til patientens fulde kliniske billede, herunder en diabetesdiagnose. Diagnosen stilles ud fra kriterier fastsat af organisationer som American Diabetes Association (ADA) og WHO.

Diagnostiske Kriterier for Diabetes
En diagnose kan stilles på baggrund af en af følgende tests:
| Test | Diagnostisk Værdi |
|---|---|
| Glykeret hæmoglobin (HbA1c) | ≥6.5% |
| Fastende plasmaglukose (FPG) | ≥7.0 mmol/l (126 mg/dl) |
| 2-timers plasmaglukose under en oral glukosetolerancetest (OGTT) | ≥11.1 mmol/l (200 mg/dl) |
| Tilfældig plasmaglukose (hos patienter med klassiske symptomer) | ≥11.1 mmol/l (200 mg/dl) |
Kendskab til risikofaktorer som overvægt, familiehistorie, forhøjet blodtryk, unormale kolesteroltal og en historik med graviditetsdiabetes er også afgørende. Disse faktorer øger sandsynligheden for at finde diabetesrelaterede forandringer på billeddiagnostiske undersøgelser.
Specifikke Billeddiagnostiske Anvendelser ved Diabetes
Ud over røntgen af brystkassen bruges en række andre billeddiagnostiske metoder til at overvåge specifikke komplikationer.
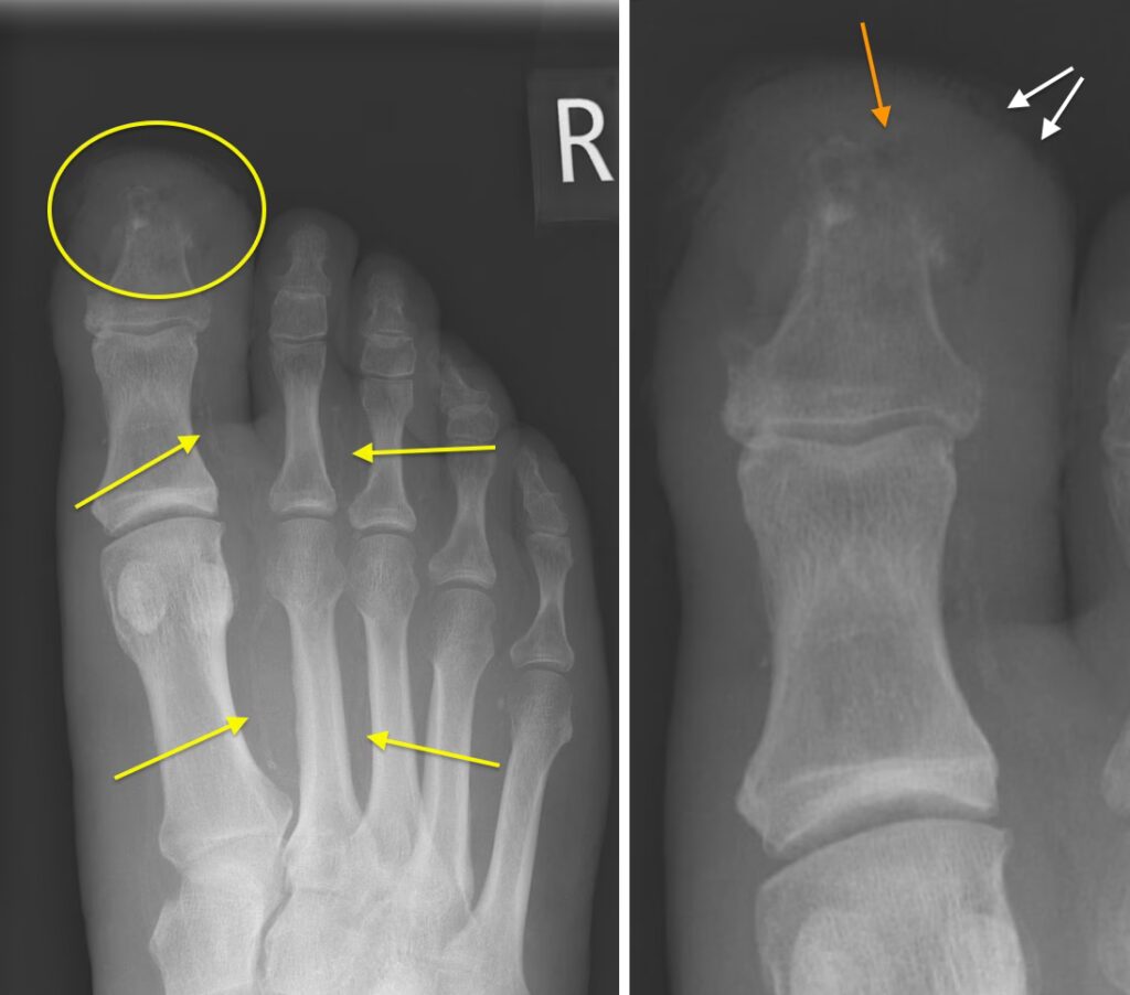
Diabetisk Fod
Den diabetiske fod er en alvorlig komplikation, der skyldes en kombination af neuropati (nedsat følesans) og perifer arteriesygdom. Et almindeligt røntgenbillede af foden er ofte den første undersøgelse og kan afsløre:
- Arteriel forkalkning: Forkalkninger i blodkarrene, et tegn på aterosklerose (åreforkalkning).
- Bløddelshævelse og sår: Kan indikere inflammation eller infektion.
- Charcot-fod: En alvorlig tilstand med progressiv ødelæggelse af knogler og led, som kan føre til svære deformiteter.
- Osteomyelitis: En infektion i knoglen, som er en hyppig og alvorlig komplikation til fodsår.
Selvom røntgen er vigtigt, anses MR-scanning ofte for at være guldstandarden for en tidlig diagnose af tilstande som Charcot-fod og osteomyelitis, da det giver en langt mere detaljeret fremstilling af både knogler og bløddele.
Hjerte-kar-sygdomme
Da 80% af dødsfaldene i den diabetiske population skyldes kardiovaskulære hændelser, er billeddiagnostik af hjertet og blodkarrene central. Metoder som ekkokardiografi (ultralyd af hjertet) og hjerte-MR kan diagnosticere diabetisk kardiomyopati ved at vurdere hjertets struktur og funktion, herunder fortykkelse af hjertevæggen og nedsat diastolisk funktion (hjertets evne til at slappe af og fyldes med blod). CT-scanning af kranspulsårerne kan bruges til at vurdere forkalkningsgraden (calcium score) og identificere forsnævringer.
Særlige Overvejelser: Insulinpumper og Scanning
Et praktisk, men yderst vigtigt aspekt for diabetikere, der bruger insulinpumpe, er sikkerheden under billeddiagnostiske undersøgelser. Producenter anbefaler, at pumpen ikke udsættes for magnetisk stråling (MR) eller røntgenstråler (røntgen, CT). Disse kan beskadige pumpens motor, hvilket kan føre til uforudsigelig insulinlevering og i værste fald alvorlig hypoglykæmi. Derfor skal pumpen altid kobles fra og efterlades uden for scanningsrummet. Alle metaldele, såsom infusionssæt med metalkanyle, skal også fjernes fra kroppen før en MR-scanning.

Ofte Stillede Spørgsmål (FAQ)
Er en rutinemæssig røntgenundersøgelse af brystkassen nødvendig for alle diabetikere?
Nej, ikke nødvendigvis. Forskning tyder på, at det er mest nyttigt for patienter med symptomer fra brystet (f.eks. hoste, åndenød) og for patienter over 40 år, hvor risikoen for hjerte- og lungeproblemer er højere.
Kan jeg have min insulinpumpe på under en MR- eller CT-scanning?
Nej. Insulinpumpen skal kobles fra og opbevares sikkert uden for scanningsrummet. Magnetfelter og røntgenstråling kan beskadige pumpen og forstyrre insulinleveringen.
Hvilke tegn på diabetes kan ses på et røntgenbillede af foden?
Typiske fund inkluderer vaskulære forkalkninger, bløddelshævelse, tegn på knogleinfektion (osteomyelitis) og led-destruktion som ved en Charcot-fod. Disse fund er afgørende for at forhindre alvorlige konsekvenser som amputation.
Hvorfor er billeddiagnostik så vigtig i behandlingen af diabetes?
Billeddiagnostik er afgørende for tidlig opdagelse af de mange alvorlige komplikationer, der kan opstå som følge af diabetes. Ved at visualisere forandringer i hjerte, blodkar, nyrer og fødder kan læger gribe ind tidligere, tilpasse behandlingen og forbedre patientens langsigtede prognose markant.
Hvis du vil læse andre artikler, der ligner Billeddiagnostik hos Diabetespatienter: En Guide, kan du besøge kategorien Sundhed.
