12/04/2014
At få fjernet mandler, en procedure kendt som en tonsillektomi, er et almindeligt kirurgisk indgreb, især hos børn, men også hos voksne. Selvom selve operationen er hurtig, kræver helingsprocessen tålmodighed og korrekt pleje for at sikre en vellykket og så smertefri restitution som muligt. Mange er usikre på, hvad de kan forvente i dagene og ugerne efter operationen. Denne artikel vil guide dig igennem hele helingsforløbet, fra den første dag efter operationen til du er fuldt restitueret. Vi dækker tidslinjen for heling, hvad du kan forvente at føle, og hvordan du bedst kan hjælpe dig selv eller dit barn med at komme sig hurtigere.

Forventet helingsforløb og tidslinje
En fuld restitution efter en tonsillektomi tager typisk mellem 10 dage og to uger. Det er dog vigtigt at understrege, at dette er et gennemsnit, og den individuelle oplevelse kan variere betydeligt. Faktorer som alder, generel sundhedstilstand og den anvendte kirurgiske teknik spiller alle en afgørende rolle for, hvor hurtigt man kommer sig.
De fleste tonsillektomier udføres som ambulante indgreb, hvilket betyder, at patienten kan tage hjem samme dag som operationen. Lad dig dog ikke narre til at tro, at du er klar til at genoptage dine normale aktiviteter dagen efter. Kroppen har brug for tid til at hele, og de første dage er ofte de mest ubehagelige.
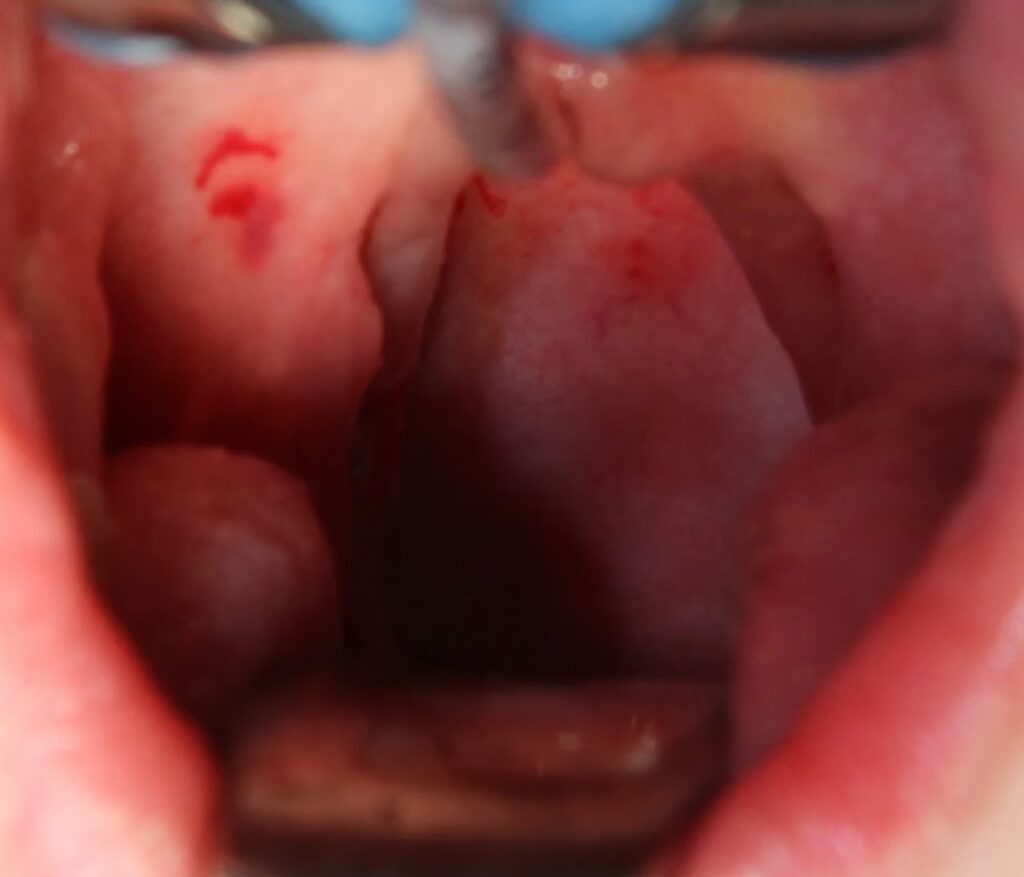
Symptomer i de første dage:
- Ondt i halsen: Dette er det mest fremtrædende symptom. Smerten kan være intens og stråle ud til ørerne, især når man synker.
- Kvalme: Nogle oplever kvalme og opkastning i de første timer efter operationen, hvilket er en reaktion på anæstesien.
- Træthed: Kroppen bruger meget energi på at hele, så en overvældende træthed og et stort behov for søvn er helt normalt.
- Nedsat appetit: På grund af smerter ved synkning er det naturligt at have meget lidt lyst til at spise.
En af de vigtigste ting at være opmærksom på er risikoen for blødning efter operationen. Denne risiko er til stede i op til 7-10 dage efter indgrebet. Derfor er det afgørende at tage den med ro i denne periode. Hvis du ser frisk, rødt blod, skal du straks kontakte din læge eller skadestuen.
Alders betydning for helingstiden
Du har måske hørt, at jo ældre man er, desto sværere er det at komme sig efter en tonsillektomi – og det er generelt sandt. Forskellige aldersgrupper restituerer sig i forskelligt tempo.
Små børn har en tendens til at komme sig hurtigst. Mange føler sig markant bedre og er næsten tilbage til deres normale jeg efter blot et par dage. Ældre børn, i alderen 5 til 12 år, kan have brug for lidt flere dage til at komme på fode igen. Teenagere og voksne skal derimod forvente en helingsperiode på omkring to uger.
En mulig årsag til, at voksne har en hårdere tid, er, at mandlerne med alderen kan udvikle mere arvæv, hvilket kan gøre dem sværere for kirurgen at fjerne. Dette forklarer dog ikke fuldt ud forskellene i postoperativ smerte og restitutionstid.
Sammenligning af helingstid baseret på alder
| Aldersgruppe | Forventet helingstid |
|---|---|
| Små børn (under 5 år) | Føler sig ofte bedre efter få dage |
| Ældre børn (5-12 år) | Tager typisk op til en uge |
| Teenagere og voksne | Kan forvente 10 dage til 2 uger |
Nøglen til en hurtigere restitution
Selvom du ikke kan fremskynde kroppens naturlige helingsproces, er der flere ting, du kan gøre for at gøre forløbet mere behageligt og undgå komplikationer. De tre vigtigste søjler i din restitution er hvile, væske og korrekt ernæring.
Kost og Væske
At holde sig hydreret er altafgørende. Dehydrering kan forværre halssmerter og forsinke helingen. Sørg for at drikke rigeligt med væske. Vand er bedst, men saftevand, fortyndet juice og isterninger kan også hjælpe. Undgå meget syreholdige drikke som appelsinjuice, da det kan svie i såret.
I de første dage efter operationen bør kosten udelukkende bestå af bløde og kolde fødevarer. Dette lindrer halsen og reducerer risikoen for blødning.
- Gode madvalg: Is, yoghurt, budding, gelé, kolde supper, smoothies og kartoffelmos (afkølet).
- Mad der skal undgås: Hårde, sprøde eller spidse fødevarer som chips, knækbrød og nødder. Varm og stærkt krydret mad bør også undgås i den første uge.
Smertebehandling og hvile
Effektiv smertebehandling er essentiel. Følg lægens anvisninger nøje med hensyn til smertestillende medicin. Det er ofte en god idé at tage medicinen regelmæssigt i de første dage, selvom du ikke har ondt lige nu, for at holde smerterne på et tåleligt niveau. Det gør det også lettere at drikke og spise en smule.
Din krop har brug for hvile for at hele. Undgå fysisk anstrengelse, tunge løft og sport i mindst to uger, eller indtil din læge giver grønt lys. For børn betyder det ingen vild leg, gymnastik eller cykling i den anbefalede periode.
Tilbagevenden til skole og arbejde
Det er vigtigt ikke at haste tilbage til hverdagens forpligtelser. Lægen vil sandsynligvis anbefale, at dit barn bliver hjemme fra skole i mindst en uge efter udskrivelsen. Før du sender dit barn tilbage, kan du overveje følgende spørgsmål:
- Kan barnet spise og drikke komfortabelt på egen hånd?
- Har barnet stadig brug for smertestillende medicin i løbet af dagen?
- Sover barnet godt om natten?
Hvis svaret på et af disse spørgsmål er nej, kan det være i barnets bedste interesse at blive hjemme et par dage ekstra.
Voksne skal forvente at tage 10 til 14 dages fri fra arbejde. Dette afhænger af typen af arbejde og hvordan du har det. Hvis du for eksempel taler meget i telefon i dit job, kan din hals være for øm og din stemme for svag til at udføre arbejdet ordentligt. Flyrejser frarådes i de første to uger efter operationen på grund af trykændringer og risikoen for blødning.
Ofte Stillede Spørgsmål
Hvorfor gør det mere ondt efter et par dage?
Det er meget normalt, at smerten topper omkring 3-5 dage efter operationen. Dette skyldes, at de sårskorper, der dannes i halsen, begynder at falde af, hvilket kan efterlade nerveenderne mere eksponerede og følsomme. Det er en del af helingsprocessen, og smerten vil gradvist aftage derefter.
Er dårlig ånde normalt efter en tonsillektomi?
Ja, dårlig ånde er et meget almindeligt og forventeligt symptom. Det skyldes de hvidlige belægninger (fibrin), der dækker sårene i halsen under helingen. Lugten forsvinder af sig selv, efterhånden som halsen heler fuldstændigt.
Hvornår er jeg fuldstændig helet?
Selvom du vil føle dig meget bedre efter cirka to uger og kan genoptage de fleste normale aktiviteter, tager den fuldstændige heling af vævet i halsen ofte flere måneder op til et år. Du vil dog ikke mærke meget til det efter den indledende restitutionsperiode.
At komme sig efter en tonsillektomi kræver tid og tålmodighed. Ved at lytte til din krop, følge lægens råd og sørge for rigelig hvile og væske, kan du sikre dig selv eller dit barn den bedst mulige heling. Husk, at selvom det kan være et par ubehagelige uger, er det midlertidigt, og resultatet er ofte en markant forbedring af livskvaliteten.
Hvis du vil læse andre artikler, der ligner Heling efter fjernelse af mandler: Din guide, kan du besøge kategorien Sundhed.
