12/03/2009
Lungekonsolidering er en tilstand, hvor de små luftsække i lungerne, kendt som alveoler, bliver fyldt med væske, pus, blod eller andre stoffer i stedet for luft. Dette er ikke en sygdom i sig selv, men snarere et klinisk tegn, der observeres på et røntgenbillede af brystkassen. Når lungerne konsolideres, bliver det ramte område tættere og mere solidt, hvilket markant forringer lungernes evne til at udveksle ilt og kuldioxid. Dette fører næsten altid til åndedrætsbesvær og en række andre symptomer, som afhænger af den underliggende årsag. En korrekt diagnose og behandling er afgørende for at genoprette normal lungefunktion.

Hvad er Lungekonsolidering Præcist?
For at forstå lungekonsolidering er det vigtigt at kende til lungernes normale funktion. Dine lunger er fyldt med millioner af små, elastiske luftsække kaldet alveoler. Det er her, den vitale gasudveksling finder sted: ilt fra den luft, du indånder, passerer over i blodet, og kuldioxid fra blodet frigives til udåndingsluften. Ved lungekonsolidering bliver disse normalt luftfyldte rum blokeret. Forestil dig en svamp, der normalt er let og fuld af luft, men som bliver tung og solid, når den er gennemblødt med vand. Det er en lignende proces, der sker i lungevævet. Materialet, der fylder alveolerne, kan være inflammatorisk ekssudat (pus) fra en infektion, væske fra hjertesvigt, blod fra en blødning eller endda kræftceller.
Almindelige Symptomer på Lungekonsolidering
Symptomerne på lungekonsolidering varierer afhængigt af årsagen og omfanget af det berørte lungevæv. Det mest fremtrædende symptom er dog næsten altid relateret til vejrtrækningen.

- Åndenød (Dyspnø): Det mest almindelige symptom. Det kan føles som om, du ikke kan få nok luft, og det kan forværres ved fysisk aktivitet.
- Hoste: Hoste kan være tør i starten, men udvikler sig ofte til at producere slim (opspyt). Farven på opspyttet kan give et fingerpeg om årsagen: grønligt eller gult slim kan tyde på en bakteriel infektion, mens blodigt opspyt (hæmoptyse) kan ses ved lungeblødning eller lungekræft.
- Brystsmerter: Ofte en skarp, stikkende smerte, der forværres ved dyb indånding eller hoste. Dette skyldes irritation af lungehinden (pleura).
- Feber og kulderystelser: Almindeligt, især når årsagen er en infektion som lungebetændelse.
- Hurtig vejrtrækning (Takypnø): Kroppen forsøger at kompensere for den nedsatte iltoptagelse ved at trække vejret hurtigere.
- Træthed og udmattelse: En generel følelse af at være syg og mangle energi er meget almindelig.
- Cyanose: I alvorlige tilfælde kan mangel på ilt føre til en blålig misfarvning af hud, læber og negle.
De Førende Årsager til Konsolidering i Lungerne
Flere forskellige tilstande kan føre til, at alveolerne fyldes med materiale. At identificere den præcise årsag er nøglen til en effektiv behandling.
Lungebetændelse (Pneumoni)
Dette er den absolut mest almindelige årsag til lungekonsolidering. En infektion forårsaget af bakterier, vira eller svampe udløser en inflammatorisk reaktion i kroppen. Immunsystemet sender hvide blodlegemer til lungerne for at bekæmpe infektionen. Resultatet er en ophobning af døde celler, væske og affaldsstoffer, der danner pus, som fylder alveolerne og skaber en solid konsolidering.
Lungeødem (Væske i Lungerne)
Lungeødem opstår, når væske siver fra blodkarrene ud i lungevævet og alveolerne. Den hyppigste årsag er kongestivt hjertesvigt, hvor hjertet ikke pumper blodet effektivt nok. Dette skaber et øget tryk i lungernes blodkar, hvilket presser væske ud i luftsækkene. Andre årsager kan inkludere nyresvigt og akut lungeskade (ARDS).

Lungeblødning (Pulmonal Hæmoragi)
Dette indebærer blødning direkte ind i lungerne. En almindelig årsag er vaskulitis, en betændelsestilstand i blodkarrene, som gør dem svage og utætte. Blod siver ud og fylder alveolerne, hvilket fører til konsolidering og alvorlige vejrtrækningsproblemer.
Aspiration
Aspiration sker, når du ved et uheld indånder fremmedlegemer som madpartikler, opkast eller maveindhold ned i lungerne. Mavesyre er stærkt irriterende for det sarte lungevæv og kan forårsage en kemisk lungebetændelse (pneumonitis). Hvis madpartikler indeholder bakterier, kan det føre til en svær aspirationspneumoni.

Lungekræft
En voksende tumor i lungen kan blokere luftvejene eller forårsage inflammation og blødning, hvilket kan resultere i et område med konsolidering. Nogle gange kan en type lungekræft kaldet adenokarcinom sprede sig langs alveolernes vægge og ligne en lungebetændelse på et røntgenbillede.
Forskel på Lungekonsolidering og Pleuravæske
Det er vigtigt at skelne mellem lungekonsolidering og pleuravæske (også kendt som pleuraeffusion), da de kan se ens ud på et røntgenbillede og have lignende årsager. Forskellen ligger i placeringen af væsken.
| Karakteristik | Lungekonsolidering | Pleuravæske (Pleuraeffusion) |
|---|---|---|
| Placering | Væske/materiale er inde i selve lungevævet (alveolerne). | Væske er i rummet mellem lungen og brystvæggen (pleurahulen). |
| Bevægelse | Fast. Ændrer ikke position, når patienten bevæger sig. | Bevægelig. Væsken flytter sig med tyngdekraften, når patienten ændrer stilling. |
| Lyd ved stetoskopi | Bronkial vejrtrækning og knitren (krepitation). | Dæmpede eller fraværende vejrtrækningslyde. |
Diagnose: Hvordan Stiller Lægen Diagnosen?
Diagnoseprocessen starter med en grundig gennemgang af din sygehistorie og en fysisk undersøgelse. Lægen vil lytte til dine lunger med et stetoskop for at høre efter unormale lyde som knitren eller en hul, bronkial lyd over det konsoliderede område. For at bekræfte diagnosen og finde årsagen anvendes flere tests:
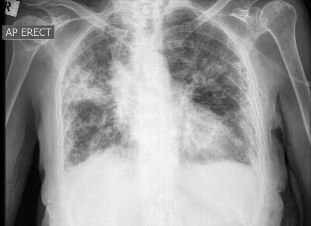
- Røntgenbillede af brystkassen: Dette er ofte den første test. Et område med konsolidering vil fremstå som et hvidt eller uigennemsigtigt (opakt) område i modsætning til det mørke, luftfyldte, raske lungevæv.
- CT-scanning: Giver mere detaljerede billeder end et røntgenbillede og kan bedre karakterisere konsolideringen og afsløre underliggende problemer som en lille tumor eller en byld (absces).
- Blodprøver: Kan vise tegn på infektion (forhøjede hvide blodlegemer og infektionstal som CRP) og vurdere iltniveauet i blodet.
- Opspytprøve (Ekspektorat): En prøve af det slim, du hoster op, kan analyseres for at identificere specifikke bakterier eller svampe, der forårsager en infektion.
- Bronkoskopi: En tynd, fleksibel slange med et kamera føres ned i luftvejene. Dette giver lægen mulighed for at se direkte ind i lungerne, tage vævsprøver (biopsier) og opsamle skyllevæske til analyse.
Behandling af Lungekonsolidering
Behandlingen afhænger fuldstændigt af den underliggende årsag. Målet er at fjerne årsagen til konsolideringen, så lungevævet kan hele, og luften kan vende tilbage til alveolerne.

- Ved lungebetændelse: Behandlingen rettes mod den specifikke mikroorganisme. Bakteriel lungebetændelse behandles med antibiotika, mens viral lungebetændelse kan kræve antiviral medicin. Svampeinfektioner behandles med antimykotika.
- Ved lungeødem: Behandlingen fokuserer på at fjerne overskydende væske. Dette gøres typisk med vanddrivende medicin (diuretika) og medicin, der styrker hjertets pumpefunktion.
- Ved lungeblødning: Ofte behandles den underliggende årsag, som f.eks. vaskulitis, med steroider eller immundæmpende medicin for at stoppe betændelsen og blødningen.
- Ved aspiration: Hvis der er opstået en infektion, gives antibiotika. I tilfælde af kemisk pneumonitis kan steroider bruges til at dæmpe inflammationen. Det er også afgørende at adressere eventuelle synkeproblemer for at forhindre fremtidige episoder.
- Ved lungekræft: Behandlingen afhænger af kræfttypen og stadiet og kan omfatte kemoterapi, strålebehandling, immunterapi eller kirurgisk fjernelse af tumoren.
Ofte Stillede Spørgsmål (FAQ)
Er lungekonsolidering en sygdom?
Nej, lungekonsolidering er ikke en selvstændig sygdom. Det er et radiologisk og klinisk fund, der indikerer en underliggende sygdomsproces i lungerne, såsom en infektion, væskeophobning eller en tumor.
Hvad betyder tiltagende konsolidering nær en lungetumor?
Dette kan have flere betydninger. Det kan indikere, at selve tumoren vokser, men det kan også være et tegn på en infektion (post-obstruktiv pneumoni) i det lungevæv, der er blokeret af tumoren, eller inflammation forårsaget af strålebehandling. Det kræver altid nøje undersøgelse af en læge.

Hvor lang tid tager det at komme sig?
Helingstiden varierer meget afhængigt af årsagen, sværhedsgraden af konsolideringen og patientens generelle helbredstilstand. En ukompliceret bakteriel lungebetændelse hos en ellers rask person kan bedres markant inden for en uge eller to, mens heling efter alvorlige tilstande som ARDS eller lungeblødning kan tage måneder.
Afslutningsvis er lungekonsolidering et alvorligt tegn på, at noget er galt i lungerne. Hvis du oplever symptomer som vedvarende hoste, åndenød eller brystsmerter, er det afgørende at søge lægehjælp. En hurtig og præcis diagnose af den bagvedliggende årsag er det første skridt mod en vellykket behandling og fuld helbredelse.
Hvis du vil læse andre artikler, der ligner Lungekonsolidering: Årsager, Symptomer og Behandling, kan du besøge kategorien Sundhed.
