21/01/2020
Et brækket eller revnet ribben er en almindelig, men yderst smertefuld skade, der oftest opstår som følge af et direkte traume mod brystkassen, såsom et fald, en bilulykke eller en sportsskade. Smerten kan være intens og forværres ved simple handlinger som at trække vejret dybt, hoste eller bevæge overkroppen. At forstå forskellen på et brækket og et revnet ribben, genkende symptomerne og vide, hvordan man bedst håndterer helingsprocessen, er afgørende for en god og hurtig bedring. Denne artikel vil guide dig gennem alt, hvad du behøver at vide om ribbensbrud, fra diagnose og behandling til den forventede helingstid.

Brækket eller revnet ribben? Hvad er forskellen?
Selvom de ofte bruges i flæng, er der en teknisk forskel mellem et revnet og et brækket ribben. Et revnet ribben, også kendt som en fissur, indebærer en delvis sprække i knoglen, hvor knoglen stadig er i ét stykke. Et brækket ribben, medicinsk kendt som en ribbensfraktur, betyder, at knoglen er brækket helt over i to eller flere dele. I praksis er symptomerne og den grundlæggende behandling ofte de samme, da begge skader kan være meget smertefulde og kræver tid for at hele. Smerten stammer ikke kun fra selve knoglen, men også fra de omkringliggende muskler og nerver, der bliver irriterede.
Symptomer du skal være opmærksom på
Hvis du har mistanke om, at du har skadet dine ribben, er der flere karakteristiske symptomer, du bør holde øje med. Det er vigtigt at genkende disse tegn for at søge den rette hjælp.
- Stærke smerter: Det mest fremtrædende symptom er en skarp, intens smerte i området omkring det beskadigede ribben. Smerten forværres markant ved dyb indånding, hoste, nys, latter eller vrid i overkroppen.
- Ømhed ved berøring: Området over bruddet vil være meget ømt at røre ved.
- Hævelse og blå mærker: Det er almindeligt at se hævelse og misfarvning (blå mærker) på huden over det brækkede ribben.
- Besværet åndedræt: På grund af smerten tager mange overfladiske, hurtige vejrtrækninger for at undgå at udvide brystkassen. Dette kan føre til utilstrækkelig lungeventilation.
- En 'knasende' fornemmelse: Nogle gange kan man mærke eller høre en knasende lyd (krepitation), når knogleenderne gnider mod hinanden. Dette kan også skyldes luft eller væske i vævet.
- Synlig deformitet: I sjældne tilfælde, især ved flere brud, kan der være en synlig deformitet af brystkassen.
Almindelige og uventede årsager til ribbensbrud
Den mest oplagte årsag til et brækket ribben er et direkte, kraftigt slag mod brystet. Dette ses ofte i forbindelse med:
- Trafikulykker: Især fra rattet, airbaggen eller sikkerhedsselen.
- Fald: Et fald fra en højde eller blot et uheldigt fald på en hård overflade.
- Kontaktsport: Sportsgrene som fodbold, ishockey og rugby medfører en høj risiko.
Det kan dog komme som en overraskelse, at man kan brække et ribben uden et voldsomt traume. Kraftige og gentagne hosteanfald, som dem man oplever under en slem bronkitis eller lungebetændelse, kan skabe nok pres til at forårsage et brud, især hos personer med svækkede knogler. Personer med knogleskørhed (osteoporose) eller andre knoglesygdomme er i særlig risiko for 'spontane' brud, der kan opstå ved selv mindre anstrengelser.
Diagnose og behandling
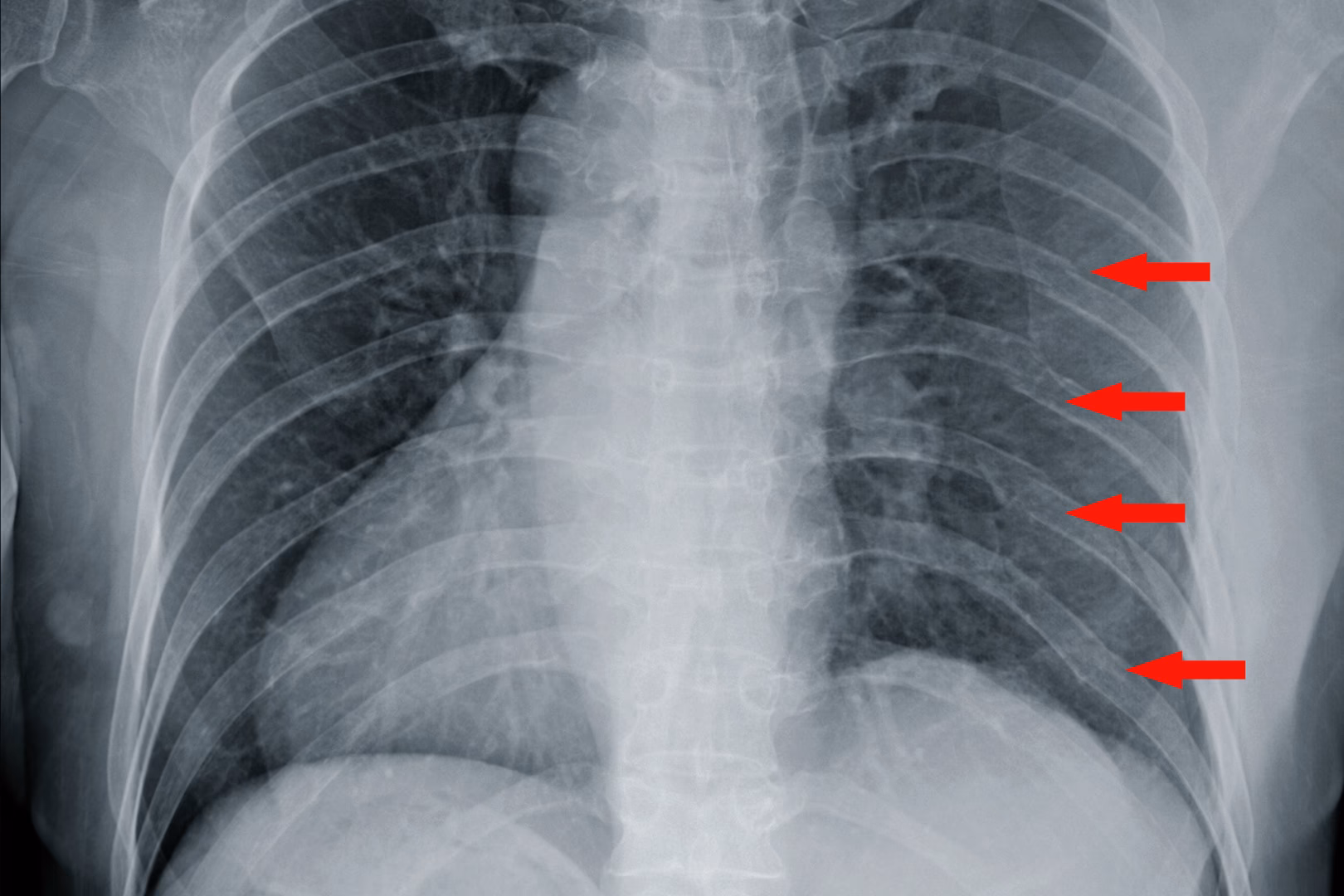
En læge vil typisk kunne stille en formodet diagnose baseret på dine symptomer og en fysisk undersøgelse. For at bekræfte bruddet og udelukke komplikationer kan billeddiagnostik være nødvendig. Et røntgenbillede kan ofte vise bruddet, men det er ikke ualmindeligt, at især revner ikke er synlige. I op til 50% af tilfældene kan et røntgenbillede ikke vise et eksisterende brud. Derfor fravælges det nogle gange, da det sjældent ændrer behandlingsplanen for et ukompliceret brud. Ved mistanke om flere brud, skader på indre organer som lungerne (f.eks. en punkteret lunge/pneumothorax) eller ved alvorlige traumer, kan en CT-scanning give et meget mere detaljeret billede.
Hvad kan du selv gøre for at lindre smerten?
I modsætning til et brækket ben eller en arm kan et ribben ikke kommes i gips. Behandlingen fokuserer derfor primært på smertelindring og på at undgå komplikationer, mens kroppen heler sig selv.

- Smertestillende medicin: Håndkøbsmedicin som paracetamol er ofte førstevalg. Din læge kan ordinere stærkere smertestillende medicin eller antiinflammatoriske lægemidler (NSAID'er), hvis det er nødvendigt.
- Kulde og varme: I de første par dage kan ispakker (pakket ind i et håndklæde) på det ømme område i 15-20 minutter ad gangen hjælpe med at reducere hævelse og smerter. Senere i forløbet kan varme hjælpe med at afslappe de spændte muskler omkring bruddet.
- Find en behagelig stilling: Det kan være svært at finde en god sovestilling. At sove mere oprejst, støttet af puder, kan hjælpe mange. En graviditets- eller ammepude kan være en stor hjælp til at støtte kroppen.
- Åndedrætsøvelser: Selvom det gør ondt, er det ekstremt vigtigt at trække vejret dybt og hoste med jævne mellemrum. Overfladisk åndedræt øger risikoen for lungebetændelse. Hold en pude mod det ømme område, når du skal hoste, for at give modtryk og lindre smerten.
- Aktivitet: Undgå anstrengende aktiviteter, men prøv at bevæge dig rundt. Let gang er godt for at holde blodcirkulationen i gang og forebygge blodpropper og forstoppelse.
Forventet helingstid: En oversigt
Helingstiden for et brækket ribben varierer fra person til person og afhænger af skadens omfang, din alder og din generelle helbredstilstand. Nedenstående tabel giver et generelt overblik over helingsprocessen.
| Fase | Typisk tidsramme fra skadesdagen |
|---|---|
| Mærkbar smertelindring | 1-3 uger |
| Knoglen er helet (konsolidering) | 4-8 uger |
| Hævelse og blå mærker forsvinder | Flere uger |
| Genoptagelse af normal gang | Få dage til et par uger |
| Tilbagevenden til stillesiddende arbejde | 1-3 uger |
| Tilbagevenden til fysisk krævende arbejde | 6-12 uger |
| Genoptagelse af sport (uden kontakt) | 4-6 uger |
| Genoptagelse af kontaktsport | 8-12 uger eller længere |
Ofte Stillede Spørgsmål (FAQ)
Hvorfor bliver smerten værre efter en uge eller to?
Det er en meget almindelig oplevelse, at smerten kan toppe en uge eller to efter skaden. Dette kan virke kontraintuitivt, men der er flere forklaringer. Kroppens inflammatoriske respons, som er en del af helingsprocessen, kan nå sit højdepunkt i denne periode. Desuden kan den indledende chok og adrenalin have maskeret en del af smerten. Når du begynder at bevæge dig mere, kan det også irritere det helende område og midlertidigt øge smerten. Det er sjældent et tegn på en komplikation, men kontakt din læge, hvis du er bekymret.
Skal man bruge bandage eller et støttebælte?
Tidligere var det almindeligt at binde brystkassen stramt ind, men det anbefales generelt ikke længere. En stram bandage kan begrænse dit åndedræt for meget og øge risikoen for lungekomplikationer. Et elastisk ribbensbælte eller et støttebælte kan dog for nogle give en følelse af støtte og lindre smerter ved bevægelse. Formålet er ikke at immobilisere, men at give en let kompression, der kan dæmpe smerten.
Er fysioterapi nødvendigt?
For de fleste ukomplicerede ribbensbrud er specifik fysioterapi ikke nødvendig. En fysioterapeut kan dog være en stor hjælp, især hvis du har været indlagt. De kan instruere dig i sikre måder at bevæge dig på, komme ud af sengen, og give dig specifikke åndedrætsøvelser for at forhindre lungeproblemer. De kan også hjælpe med at genopbygge styrke og bevægelighed i overkroppen, når helingen er godt i gang.
Hvornår kan jeg køre bil igen?
Der er ingen fast regel for, hvornår du må køre bil. Du skal være i stand til at udføre alle nødvendige manøvrer sikkert og uden tøven, herunder et pludseligt drej på rattet eller en hård opbremsning. Smerten fra et brækket ribben kan gøre dette umuligt i de første dage eller uger. Du skal også sikre dig, at du ikke er påvirket af stærk smertestillende medicin. Start med korte ture og se, hvordan det føles, før du begiver dig ud på længere rejser.
Hvis du vil læse andre artikler, der ligner Brækket ribben: Helingstid, symptomer og behandling, kan du besøge kategorien Sundhed.
