26/12/2025
Hoftesmerter kan være en invaliderende oplevelse, der påvirker alt fra din evne til at gå en tur til at rejse dig fra en stol. En af de mest almindelige årsager til kroniske hoftesmerter, især hos voksne, er slidgigt, også kendt som artrose. Når du henvender dig til din læge med disse symptomer, er en af de første diagnostiske undersøgelser, der ofte bliver foreslået, en røntgenundersøgelse. Men kan et røntgenbillede rent faktisk vise skader på brusk? Svaret er både ja og nej. Selvom røntgenstråler ikke direkte kan visualisere brusk, er de et yderst effektivt værktøj til at identificere de følgevirkninger, som bruskskader har på selve hofteleddet. Denne artikel vil dykke ned i, hvad et røntgenbillede af en hofte med slidgigt afslører, hvordan undersøgelsen foregår, og hvilke andre diagnostiske metoder der kan supplere billedet for at give en fuldstændig diagnose.

Forståelse af Hofteslidgigt (Artrose)
For at forstå, hvad et røntgenbillede viser, er det vigtigt først at forstå selve sygdommen. Hofteleddet er et kugleled, hvor hovedet på lårbenet (femur) passer ind i en skålformet del af bækkenet (acetabulum). Overfladerne på disse knogler er dækket af et glat, beskyttende lag af brusk, som fungerer som en støddæmper og sikrer, at leddet kan bevæge sig gnidningsfrit. Ved slidgigt nedbrydes denne brusk gradvist. Tidligere mente man, at det udelukkende var et resultat af mekanisk 'slid', men i dag ved man, at det er en mere kompleks sygdomsproces, der involverer hele leddet, inklusiv knoglen under brusken og ledhinden. Når brusken forsvinder, begynder knoglerne at gnide direkte mod hinanden. Dette forårsager smerte, stivhed, inflammation og nedsat bevægelighed.
Hvad lægen ser på et røntgenbillede
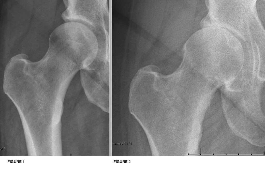
Et røntgenbillede er i bund og grund et todimensionelt billede af kroppens tætte strukturer, primært knogler. Brusk er et blødt væv og er ikke tæt nok til at blive vist tydeligt på et standard røntgenbillede. I stedet ser lægen efter indirekte tegn på, at brusken er beskadiget eller helt forsvundet. Disse tegn er de klassiske kendetegn for slidgigt.
Typiske fund ved hofteslidgigt på røntgen:
- Forsnævret ledspalte: På et billede af en sund hofte vil der være et synligt mellemrum mellem lårbenets hoved og bækkenets ledskål. Dette 'mellemrum' er i virkeligheden fyldt med brusk. Når brusken slides ned, bliver dette mellemrum mindre. En forsnævret eller helt forsvundet ledspalte er det mest almindelige og tydelige tegn på slidgigt.
- Subkondral sklerose: Når brusken er væk, øges trykket på knoglen nedenunder (den subkondrale knogle). Kroppen reagerer ved at gøre denne knogle tættere og hårdere. På et røntgenbillede ses dette som et hvidere, mere fremtrædende område på knogleoverfladerne i leddet.
- Osteofytter (knogleudvækster): Som en reaktion på den øgede belastning og ustabilitet i leddet, kan kroppen forsøge at 'reparere' skaden ved at danne nyt knoglevæv langs kanterne af leddet. Disse knogleudvækster kaldes osteofytter. De kan ses som små 'spidser' eller udvækster på røntgenbilledet og kan bidrage til smerter og nedsat bevægelighed.
- Cyster: I nogle tilfælde kan der dannes små, væskefyldte hulrum, eller cyster, i knoglen tæt på leddet. Dette er endnu et tegn på den stress, knoglen udsættes for.
- Fri legemer: Små stykker af nedbrudt brusk eller knogle kan brække af og 'flyde' rundt i leddet. Disse kan nogle gange ses som små hvide pletter på et røntgenbillede.
Røntgenundersøgelsen: Fra forberedelse til resultat
Selve proceduren for at få taget et røntgenbillede af hoften er hurtig, enkel og smertefri. Du vil blive bedt om at lægge dig på et røntgenleje, og en radiograf vil hjælpe dig med at placere din hofte og ben i den korrekte position. Typisk tages der billeder fra flere vinkler (f.eks. forfra og fra siden) for at give lægen et komplet billede af leddets tilstand. Du skal ligge helt stille i de få sekunder, billedet tages, for at undgå sløring. Hele processen tager normalt kun få minutter. Stråledosis er meget lav og betragtes som sikker.
Begrænsninger og alternative undersøgelser
Selvom røntgen er et fremragende værktøj, har det sine begrænsninger. Den største begrænsning er, at det ikke direkte kan vise brusken. Derfor kan tidlige stadier af slidgigt, hvor der kun er let udtynding af brusken, være svære eller umulige at se på et røntgenbillede. En anden vigtig pointe er, at graden af forandringer på et røntgenbillede ikke altid stemmer overens med patientens smerteniveau. Nogle mennesker kan have alvorlige forandringer på deres røntgenbilleder med få smerter, mens andre kan have stærke smerter med kun minimale forandringer.
Hvis diagnosen er usikker, eller hvis lægen har mistanke om skader på andre strukturer i hoften, kan der anvendes andre billeddiagnostiske metoder.
Sammenligning af diagnostiske værktøjer
| Funktion | Røntgen | MR-scanning |
|---|---|---|
| Viser primært | Knogler og forkalkninger | Bløddele (brusk, muskler, sener, ledbånd) |
| Viser brusk direkte | Nej (viser kun tab af brusk som forsnævret ledspalte) | Ja, kan vise tykkelse og skader på brusken |
| Anvendelse ved hofteslidgigt | Standardundersøgelse til at bekræfte moderat til svær slidgigt | Bruges ved tvivl, mistanke om tidlig slidgigt eller andre skader |
| Tidsforbrug | Få minutter | 30-60 minutter |
| Stråling | Ja (meget lav dosis) | Nej (bruger magnetfelt) |
En MR-scanning er særligt nyttig, da den kan skabe detaljerede billeder af bløddele. Den kan direkte visualisere brusken og afsløre skader på et meget tidligt stadie. Den kan også identificere andre potentielle årsager til hoftesmerter, såsom skader på ledbånd, sener eller en såkaldt labrumskade.
Ofte Stillede Spørgsmål (FAQ)
Spørgsmål: Betyder et 'normalt' røntgenbillede, at jeg ikke har slidgigt?
Svar: Ikke nødvendigvis. I de helt tidlige stadier af slidgigt, hvor brusk-nedbrydningen er minimal, kan et røntgenbillede se helt normalt ud. Diagnosen stilles altid på baggrund af en samlet vurdering af dine symptomer, en fysisk undersøgelse og resultaterne fra billeddiagnostik.
Spørgsmål: Hvorfor bestiller min læge et røntgenbillede, hvis en MR-scanning er mere detaljeret?
Svar: Røntgen er en hurtig, billig og let tilgængelig undersøgelse, der er yderst effektiv til at bekræfte diagnosen i de fleste tilfælde af moderat til svær slidgigt. Det er et fremragende førstevalg. En MR-scanning er væsentligt dyrere og mere tidskrævende og reserveres ofte til de tilfælde, hvor røntgenbilledet ikke giver et klart svar, eller der er mistanke om andre problemer.
Spørgsmål: Hvad er det næste skridt, efter jeg har fået konstateret slidgigt via røntgen?
Svar: Når diagnosen er stillet, vil din læge diskutere en behandlingsplan med dig. Denne plan er individuel og kan omfatte en kombination af livsstilsændringer (vægttab, motion), fysioterapi for at styrke musklerne omkring hoften, smertestillende medicin, og i mere alvorlige tilfælde kan en henvisning til en ortopædkirurg med henblik på en hofteoperation (hoftealloplastik) komme på tale.
Konklusionen er, at et røntgenbillede er en central og yderst værdifuld del af diagnosticeringen af hofteslidgigt. Selvom det ikke viser selve brusken, giver det et klart billede af de konsekvenser, bruskskader har på knoglerne i leddet. Ved at identificere tegn som forsnævret ledspalte og knogleudvækster kan lægen med stor sikkerhed bekræfte en diagnose og vurdere sværhedsgraden, hvilket er afgørende for at kunne planlægge den rette behandling for dig.
Hvis du vil læse andre artikler, der ligner Kan røntgen vise bruskskade i hoften?, kan du besøge kategorien Sundhed.
