07/12/2023
Smerter i foden er en almindelig klage, men når smerten er koncentreret i midten af foden og forværres ved gang eller stående, kan det være et tegn på slidgigt i mellemfoden, også kendt som mellemfodsartrose. Denne tilstand kan være invaliderende og påvirke livskvaliteten betydeligt. En af de største udfordringer for både patienter og læger er imidlertid at opnå en præcis og rettidig diagnose. Mellemfodens komplekse anatomi gør det vanskeligt at vurdere leddene ved hjælp af traditionelle billeddiagnostiske metoder. Denne artikel dykker ned i de diagnostiske udfordringer og sammenligner de to primære metoder, der anvendes i dag: vægtbærende røntgenbilleder og den mere avancerede vægtbærende computertomografi (CT-scanning).

Hvad er Mellemfodsartrose? En Dybdegående Forklaring
For at forstå diagnoseudfordringerne er det vigtigt først at forstå selve tilstanden. Mellemfoden (tarsus) er den del af foden, der danner svangen. Den består af en gruppe små knogler, der er forbundet via flere led, herunder de tarsometatarsale led (også kendt som Lisfranc-leddet). Disse led er afgørende for fodens stabilitet og fleksibilitet under bevægelse.
Artrose, eller slidgigt, er en degenerativ ledsygdom, hvor brusken, der dækker enderne af knoglerne i et led, gradvist nedbrydes. Uden denne beskyttende brusk begynder knoglerne at gnide mod hinanden, hvilket fører til smerte, stivhed, hævelse og dannelse af knogleudvækster (osteofytter). I mellemfoden kan denne proces føre til en gradvis kollaps af svangen og betydelige gangbesvær.
Risikofaktorer for at udvikle mellemfodsartrose inkluderer:
- Tidligere skader: En forstuvning eller et brud i mellemfoden, især en såkaldt Lisfranc-skade, øger risikoen markant.
- Alder: Som med andre former for artrose stiger risikoen med alderen.
- Fodens struktur: Personer med platfod eller en høj svang kan have en unormal belastning på mellemfodsleddene.
- Overvægt: Øget kropsvægt lægger ekstra pres på føddernes led.
- Systemiske sygdomme: Tilstande som leddegigt kan også påvirke mellemfoden.
Udfordringerne ved Traditionel Diagnostik: Vægtbærende Røntgen
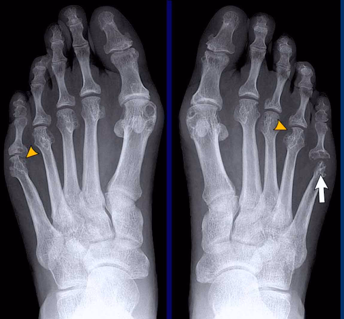
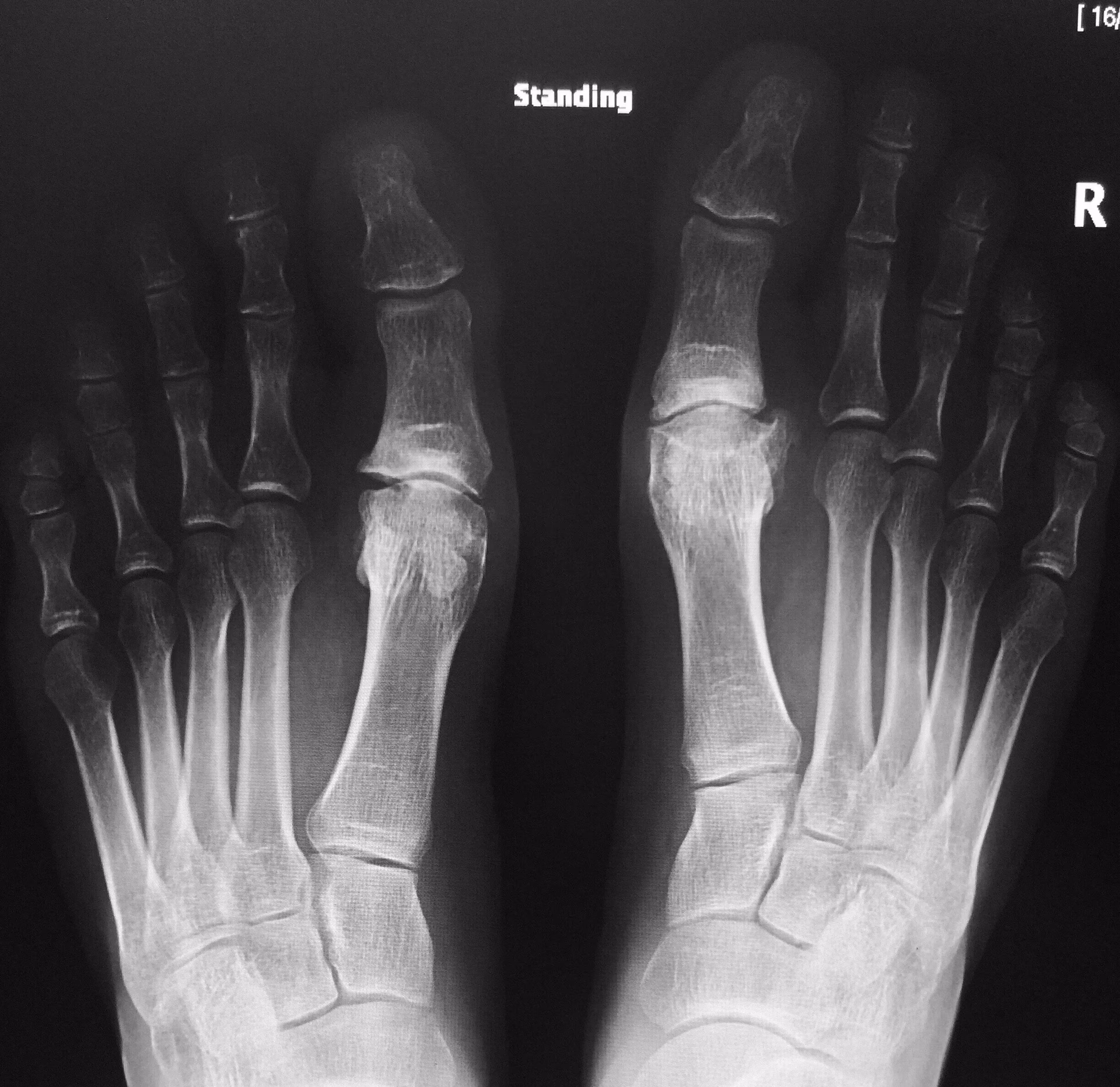
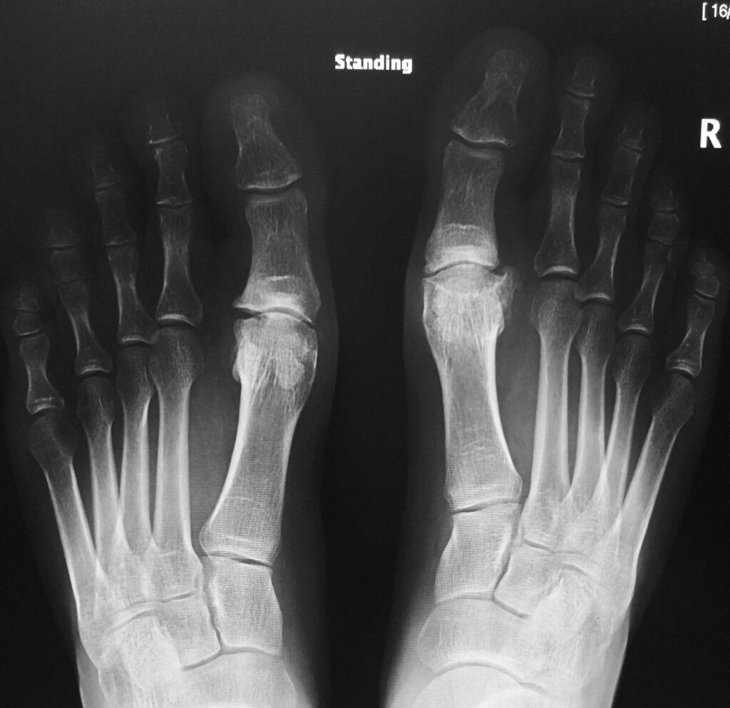
I årtier har vægtbærende almindelige røntgenbilleder været den primære metode til at diagnosticere knogle- og ledproblemer i foden. 'Vægtbærende' betyder, at billederne tages, mens patienten står op, så lægen kan se, hvordan knoglerne og leddene opfører sig under kroppens vægt. Dette er især vigtigt i foden, da mange problemer kun bliver tydelige under belastning.
På trods af dens udbredte anvendelse har vægtbærende røntgen betydelige begrænsninger, når det kommer til mellemfodsartrose:
- Overlejring af knogler: Mellemfoden er en tredimensionel struktur med mange små knogler, der ligger tæt på hinanden. På et todimensionelt røntgenbillede overlapper disse knogler hinanden, hvilket gør det ekstremt svært at få et klart billede af de enkelte ledspalter. Det kan være næsten umuligt at vurdere, om der er en indsnævring af ledspalten, hvilket er et kardinaltegn på artrose.
- Lav sensitivitet for tidlige stadier: I de tidlige stadier af artrose er forandringerne ofte subtile. Røntgenbilleder er ikke altid følsomme nok til at opfange den tidlige nedbrydning af brusk eller små osteofytter. Dette kan føre til en forsinket diagnose, hvor patientens symptomer fortsætter, selvom røntgenbilledet ser normalt ud.
- Begrænset information: Et røntgenbillede giver primært information om knoglerne. Det giver begrænset indsigt i det omkringliggende bløddelsvæv, såsom ledbånd og sener, som også kan være påvirket.
Disse begrænsninger betyder, at den diagnostiske sensitivitet (evnen til korrekt at identificere dem med sygdommen) og specificitet (evnen til korrekt at identificere dem uden sygdommen) for røntgen kan være utilstrækkelig i komplekse tilfælde.
Et Gennembrud? Vægtbærende CT-Scanning
Som svar på udfordringerne med røntgen er vægtbærende computertomografi (WBCT) opstået som en mere avanceret og potentielt mere præcis diagnostisk metode. En CT-scanner tager en række røntgenbilleder fra forskellige vinkler og bruger en computer til at sammensætte dem til detaljerede tværsnitsbilleder eller endda tredimensionelle (3D) modeller af foden.
Når denne teknologi anvendes i en vægtbærende situation, giver den en hidtil uset indsigt i mellefodens biomekanik og patologi. Fordelene er markante:
- Eliminering af overlejring: Da CT-scanning skaber tværsnitsbilleder, er problemet med overlappende knogler fuldstændig elimineret. Lægen kan inspicere hvert enkelt led fra enhver vinkel uden forstyrrelser.
- Overlegen detaljegrad: CT-scanninger kan visualisere knoglestrukturer i meget høj opløsning. Dette gør det muligt at opdage selv de mindste forandringer, såsom tidlig ledspalteindsnævring, små osteofytter eller cyster i knoglen under brusken (subkondrale cyster).
- 3D-vurdering: Muligheden for at skabe 3D-rekonstruktioner giver kirurger og læger en fuldstændig rumlig forståelse af deformiteten. Dette er især værdifuldt ved planlægning af kirurgisk behandling, da det giver et præcist kort over de berørte led.
Direkte Sammenligning: Røntgen vs. CT-Scanning
For at give et klart overblik over forskellene mellem de to metoder, kan vi opstille en sammenligningstabel. Studier, der har undersøgt den diagnostiske nøjagtighed, har generelt vist, at vægtbærende CT-scanning har en højere sensitivitet og specificitet til at identificere artrose i specifikke led i mellemfoden sammenlignet med almindelig røntgen.
| Parameter | Vægtbærende Røntgen | Vægtbærende CT-Scanning (WBCT) |
|---|---|---|
| Billedtype | 2D-projektion | 3D-tværsnitsbilleder |
| Visualisering af led | Dårlig på grund af knogleoverlejring | Fremragende, ingen overlejring |
| Detektion af tidlige forandringer | Lav sensitivitet | Høj sensitivitet |
| Stråledosis | Lav | Moderat (dog lavere i moderne scannere) |
| Tilgængelighed og Omkostninger | Høj tilgængelighed, lave omkostninger | Lavere tilgængelighed, højere omkostninger |
Den overlegne diagnostisk evne ved WBCT gør det muligt for læger at stille en mere sikker diagnose tidligere i sygdomsforløbet. Dette kan føre til mere målrettet og effektiv behandling, potentielt forsinke behovet for operation og forbedre patientens langsigtede prognose.
Hvordan Stilles Diagnosen i Praksis?
En patients rejse mod en diagnose starter typisk med en grundig samtale og fysisk undersøgelse hos lægen. Lægen vil spørge ind til symptomerne, deres varighed, og hvad der forværrer eller lindrer dem. Ved den fysiske undersøgelse vil lægen mærke på foden for at finde ømme punkter, vurdere bevægeligheden i leddene og observere patientens gangmønster.
Baseret på den kliniske mistanke vil det første skridt i billeddiagnostikken næsten altid være et vægtbærende røntgenbillede. Det er hurtigt, billigt og let tilgængeligt. I mange tilfælde, især hvis artrosen er fremskreden, kan røntgenbilledet være tilstrækkeligt til at bekræfte diagnosen.
En vægtbærende CT-scanning kommer typisk på tale i følgende situationer:
- Når patienten har stærke og klassiske symptomer på mellemfodsartrose, men røntgenbillederne er normale eller tvetydige.
- Ved planlægning af en operation. En CT-scanning giver kirurgen et detaljeret 3D-kort over de beskadigede led, hvilket er afgørende for at kunne planlægge en præcis stivgørende operation (artrodese) eller indsættelse af en ledprotese.
- For at vurdere omfanget af en tidligere skade og dens indvirkning på leddene.
Det er vigtigt at huske, at billeddiagnostik altid skal ses i sammenhæng med patientens kliniske billede. En person kan have tegn på artrose på en scanning uden at have symptomer, og omvendt. Den endelige diagnose er en samlet vurdering af patientens historie, den fysiske undersøgelse og resultaterne fra billeddiagnostikken.
Ofte Stillede Spørgsmål (FAQ)
- Gør en vægtbærende CT-scanning ondt?
- Nej, selve scanningen er fuldstændig smertefri. Udfordringen for nogle kan være at stå stille i den vægtbærende position i de få minutter, scanningen tager, især hvis foden er meget smertefuld.
- Hvorfor er 'vægtbærende' så vigtigt?
- Når vi står og går, presser vores kropsvægt knoglerne i foden sammen. Dette afslører problemer som ledinstabilitet eller en indsnævring af ledspalten, som måske ikke er synlige, når foden er ubelastet (f.eks. liggende). Vægtbærende billeder giver et mere funktionelt og realistisk billede af fodens tilstand.
- Er strålingen fra en CT-scanning farlig?
- En CT-scanning involverer en højere dosis ioniserende stråling end et almindeligt røntgenbillede. Moderne WBCT-scannere er dog designet til at bruge en så lav dosis som muligt. Lægen vil altid afveje den minimale risiko ved strålingen mod den store fordel ved at opnå en præcis diagnose, som er afgørende for korrekt behandling.
- Hvis mit røntgenbillede er normalt, kan jeg så stadig have artrose?
- Ja, absolut. Dette er en af de centrale udfordringer ved diagnosticering af tidlig mellemfodsartrose. Røntgen kan se helt normalt ud i de tidlige stadier. Hvis dine symptomer fortsætter og er i overensstemmelse med artrose, kan din læge overveje at gå videre med en mere følsom undersøgelse som en vægtbærende CT-scanning eller en MR-scanning.
Afslutningsvis er diagnosticering af mellemfodsartrose en kompleks opgave, der kræver en kombination af klinisk ekspertise og avanceret billeddiagnostik. Mens vægtbærende røntgenbilleder fortsat er et vigtigt førstelinjeværktøj, har fremkomsten af vægtbærende CT-scanning revolutioneret evnen til at visualisere den indviklede anatomi i mellemfoden. Ved at tilbyde en uovertruffen detaljegrad og et tredimensionelt perspektiv giver WBCT læger mulighed for at stille en mere præcis og rettidig diagnose, hvilket er det afgørende første skridt mod en effektiv behandlingsplan og en forbedret livskvalitet for patienten.
Hvis du vil læse andre artikler, der ligner Diagnose af slidgigt i mellemfoden, kan du besøge kategorien Sundhed.
