05/12/2000
Mange mennesker oplever gener og smerter fra en skæv storetå, en tilstand der medicinsk er kendt som hallux valgus. Ofte er det ikke kun knysten ved storetåens grundled, der er problemet, men også at selve tåen peger indad mod de andre tæer. Dette kan skabe tryk, ubehag og endda sår. En af de kirurgiske teknikker, der anvendes til at korrigere selve tåens retning, er Akin osteotomi. Dette er en præcis og effektiv procedure, der ofte udføres i kombination med andre korrigerende operationer for at opnå det bedst mulige resultat for foden som helhed.

Hvad er en Akin Osteotomi?
En Akin osteotomi er et kirurgisk indgreb, der har til formål at rette op på en skævhed i selve storetåen. Navnet stammer fra den amerikanske ortopædkirurg, Dr. Oscar Akin, som først beskrev proceduren i 1925. Ordet osteotomi betyder bogstaveligt talt "at skære i knogle". Under en Akin osteotomi fjerner kirurgen en lille kileformet stump knogle fra storetåens grundstykke (den proksimale falanks). Når knoglen samles igen, rettes tåens yderste del op, hvilket resulterer i en mere lige og funktionel storetå.
Det er afgørende at forstå, at en Akin osteotomi primært korrigerer en deformitet kaldet hallux valgus interphalangeus. Dette betyder, at skævheden sidder i leddet inde i selve storetåen, og ikke nødvendigvis ved grundleddet, hvor den klassiske knyst (bunion) dannes. Derfor er proceduren næsten altid en del af en større operationsplan.
Hvornår er en Akin Osteotomi den Rette Løsning?
Beslutningen om at udføre en Akin osteotomi træffes af en ortopædkirurg efter en grundig undersøgelse. Indgrebet er typisk indiceret i følgende situationer:
- Som en supplerende procedure: Den mest almindelige anvendelse er som en kombinationsprocedure sammen med andre knystoperationer, såsom Chevron- eller Scarf-osteotomier. Mens de andre procedurer retter vinklen ved storetåens grundled, finjusterer Akin osteotomien tåens endelige position, så den står helt lige.
- Hallux Valgus Interphalangeus: Når den primære årsag til tåens skævhed er en deformitet i selve tåknoglen, kan en Akin osteotomi være den primære korrektion.
- Resterende skævhed: Efter en anden type knystoperation kan der nogle gange være en resterende skævhed i tåen. Her kan en Akin osteotomi bruges til at opnå den endelige, ønskede justering.
- Aflastning af anden tå: Hvis storetåen presser kraftigt mod den anden tå og forårsager smerter, ligtorne eller sår, kan proceduren hjælpe med at skabe plads og lindre trykket.
Det er vigtigt at bemærke, at en Akin osteotomi sjældent er en passende behandling alene for en standard hallux valgus deformitet. At rette tåen uden at korrigere vinklen ved grundleddet vil ikke løse det underliggende problem og kan føre til, at deformiteten hurtigt vender tilbage.
Den Vigtige Forundersøgelse
En omhyggelig forundersøgelse er nøglen til en succesfuld operation. Kirurgen vil foretage en detaljeret evaluering af din fod, både fysisk og ved hjælp af røntgenbilleder, for at skræddersy den bedste behandlingsplan.

Fysisk Undersøgelse
Undersøgelsen foregår både, mens du står og sidder, for at vurdere foden under belastning og i hvile.
- Stående vurdering: Kirurgen observerer fodens stilling, svangens højde, størrelsen på knysten, og hvordan storetåen positionerer sig i forhold til de andre tæer.
- Siddende vurdering: Her testes leddenes bevægelighed. Kirurgen vil undersøge fleksibiliteten i storetåens grundled (MTP-leddet) og det ydre led (IP-leddet). Det vurderes også, om skævheden kan rettes passivt ud med hænderne. Fodens nerve- og blodforsyning kontrolleres også.
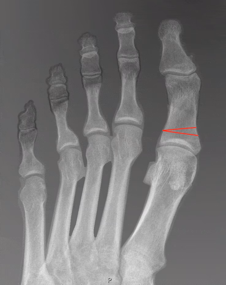
Røntgenbilleder
Røntgenbilleder taget, mens du står op, er essentielle. De giver kirurgen et præcist billede af knoglestrukturen og de vinkler, der skal korrigeres. Følgende måles typisk:
- Hallux Valgus Vinkel (HVA): Vinklen mellem mellemfodsknoglen og storetåen.
- Intermetatarsal Vinkel (IMA): Vinklen mellem første og anden mellemfodsknogle.
- Distal Metatarsal Articular Angle (DMAA): Vinklen på ledfladen af mellemfodsknoglens hoved.
- Hallux Interphalangeus Vinkel (HIA): Vinklen inde i selve storetåen, som er den primære vinkel, en Akin osteotomi korrigerer.
| Vurderingstype | Hvad Undersøges? | Formål |
|---|---|---|
| Fysisk (Stående) | Fodens holdning, knystens størrelse, tåens position under vægt. | At vurdere deformitetens funktionelle betydning. |
| Fysisk (Siddende) | Leddenes bevægelighed, passiv korrektion, nerve- og blodforsyning. | At vurdere leddenes tilstand og fleksibilitet. |
| Røntgen (Stående) | Måling af diverse vinkler (HVA, IMA, HIA), slidgigt og ledkongruens. | At kvantificere deformiteten og planlægge den kirurgiske korrektion. |
Selve Operationen: Trin for Trin
En Akin osteotomi udføres typisk i lokalbedøvelse eller fuld narkose. Processen følger generelt disse trin:
- Snit: Kirurgen lægger et lille snit på indersiden af storetåen.
- Osteotomi: Ved hjælp af en lille sav fjernes en præcist målt kile af knogle fra storetåens grundstykke. Basen af kilen vender mod indersiden af foden.
- Korrektion: Knogleenderne presses sammen, hvilket lukker det skabte hul. Dette retter tåen op.
- Fiksering: For at holde knoglen stabil, mens den heler, indsættes en lille skrue, et stift eller en krampe. Dette materiale er designet til at blive i foden permanent og generer normalt ikke.
- Lukning: Såret syes sammen, og der anlægges en beskyttende forbinding.
Efter Operationen: Heling og Genoptræning
Helingsperioden er afgørende for et godt resultat. De første uger efter operationen skal foden holdes eleveret så meget som muligt for at mindske hævelse. Du vil blive udstyret med en speciel hælsko, der fjerner trykket fra forfoden, så du kan gå forsigtigt rundt.
Knoglen tager typisk 6-8 uger om at hele. I denne periode er det vigtigt at følge kirurgens anvisninger nøje. Efter helingsperioden kan du gradvist vende tilbage til almindeligt fodtøj og normale aktiviteter. Fysioterapi kan i nogle tilfælde være nødvendigt for at genvinde fuld bevægelighed og styrke i tåen.
Ofte Stillede Spørgsmål (FAQ)
Er en Akin osteotomi en smertefuld operation?
Du vil opleve smerter efter operationen, men disse kan håndteres effektivt med smertestillende medicin. Smerterne aftager typisk markant inden for de første par dage.

Hvor lang tid tager det at komme sig helt?
Knoglen heler på 6-8 uger, men det kan tage 3-6 måneder, før al hævelse er forsvundet, og du har opnået det endelige resultat. Tålmodighed er en vigtig del af helingsprocessen.
Kan jeg få en Akin osteotomi alene for min knyst?
Det er meget usandsynligt. En Akin osteotomi adresserer ikke årsagen til en almindelig knyst, som sidder ved grundleddet. Den bruges næsten altid sammen med en anden procedure, der korrigerer dette grundlæggende problem.
Hvad er de potentielle risici og komplikationer?
Som ved alle kirurgiske indgreb er der risici, herunder infektion, blødning, nerveskade og problemer med sårheling. Specifikt for Akin osteotomi er der en lille risiko for, at knoglen ikke heler korrekt (pseudoartrose), at tåen bliver over- eller underkorrigeret, eller at skruen/fikseringsmaterialet generer. Din kirurg vil gennemgå alle risici med dig før operationen.
Sammenfattende er Akin osteotomi et værdifuldt kirurgisk redskab til at opnå en komplet og holdbar korrektion af hallux valgus. Når den anvendes korrekt som en del af en velplanlagt operation, kan den markant forbedre storetåens funktion og udseende og lindre de smerter og gener, der er forbundet med en skæv storetå.
Hvis du vil læse andre artikler, der ligner Akin Osteotomi: En Dybdegående Guide, kan du besøge kategorien Kirurgi.
