28/03/2002
Lungetuberkulose, ofte blot kaldet TB, er en potentielt alvorlig infektionssygdom, der primært angriber lungerne. Sygdommen forårsages af en bakterie ved navn Mycobacterium tuberculosis. Selvom den kan være livstruende, kan den i dag næsten altid helbredes med den rette medicinske behandling. At forstå sygdommen, dens symptomer, og hvordan den spredes, er afgørende for både forebyggelse og effektiv behandling. I det internationale klassifikationssystem for sygdomme, ICD-10, har lungetuberkulose fået tildelt koden A15.0, hvilket hjælper sundhedspersonale verden over med at standardisere diagnoser og behandlingsforløb.

Hvad er Lungetuberkulose? (ICD-10 Kode A15.0)
Lungetuberkulose er en specifik form for tuberkulose, hvor infektionen er lokaliseret i lungerne. Når en person med aktiv lungetuberkulose hoster, nyser eller taler, frigives små dråber indeholdende tuberkulosebakterier i luften. Andre mennesker kan derefter blive smittet ved at indånde disse bakterier. Det er dog vigtigt at understrege, at ikke alle, der bliver smittet, udvikler sygdommen med det samme. Kroppens immunforsvar kan ofte indkapsle bakterierne, hvilket fører til en tilstand kendt som latent tuberkuloseinfektion.
Diagnosekoden A15.0 er en del af Verdenssundhedsorganisationens (WHO) ICD-10-system. Denne specifikke kode bruges af læger og hospitaler til at klassificere "Tuberkulose i lungen, bakteriologisk og histologisk bekræftet". Det betyder, at diagnosen er stillet på baggrund af fund af tuberkulosebakterier i en prøve (f.eks. spyt) eller ved undersøgelse af vævsprøver. Koden dækker over flere relaterede tilstande, herunder:
- Tuberkuløs bronkiektasi (udvidelse af luftvejene)
- Tuberkuløs lungefibrose (ardannelse i lungevævet)
- Tuberkuløs lungebetændelse
- Tuberkuløs pneumothorax (kollapset lunge)
Brugen af denne kode sikrer en ensartet registrering og er afgørende for overvågning af sygdommens udbredelse samt til administrative formål som f.eks. refusion.
Symptomer på Lungetuberkulose
Symptomerne på aktiv lungetuberkulose kan udvikle sig langsomt over uger eller måneder og kan i starten være milde og let forveksles med andre sygdomme. Det er vigtigt at være opmærksom på tegnene, især hvis man tilhører en risikogruppe.

Generelle Symptomer
Disse symptomer er ofte de første, der viser sig, og kan påvirke hele kroppen:
- Feber, ofte lavgradig og mest udtalt om aftenen
- Uforklarligt vægttab og nedsat appetit
- Intens træthed og generel følelse af svækkelse
- Kraftig nattesved, der kan gøre sengetøjet vådt
- Kulderystelser
Specifikke Lungesymptomer
Efterhånden som infektionen udvikler sig i lungerne, opstår mere specifikke symptomer:
- En vedvarende hoste, der varer i tre uger eller mere
- Hoste med opspyt (sputum), som kan være gulligt, grønligt eller indeholde blodstriber
- Ophostning af rent blod (hæmoptyse)
- Smerter i brystet, som kan forværres ved vejrtrækning eller hoste
- Åndenød
Hvis du oplever en vedvarende hoste kombineret med et eller flere af de generelle symptomer, bør du søge læge for at blive undersøgt.
Forskel på Latent TB-infektion og Aktiv TB-sygdom
Det er afgørende at forstå forskellen mellem at være smittet med tuberkulosebakterien (latent TB) og at have den aktive sygdom. De to tilstande er meget forskellige i forhold til symptomer, smitsomhed og behandling.
| Karakteristikum | Latent TB-infektion | Aktiv TB-sygdom |
|---|---|---|
| Bakteriernes tilstand | Bakterierne er i kroppen, men i en "sovende" eller inaktiv tilstand. | Bakterierne er aktive, formerer sig og forårsager skade på væv. |
| Symptomer | Ingen symptomer. Personen føler sig ikke syg. | Har typiske symptomer som hoste, feber, vægttab osv. |
| Smitsomhed | Kan ikke smitte andre. | Kan smitte andre, hvis sygdommen er i lunger eller hals. |
| Diagnostisk test | Positiv reaktion på hudtest (Mantoux) eller blodprøve (IGRA). Røntgen af lungerne er typisk normalt. | Positiv reaktion på hud- eller blodprøve. Røntgen af lungerne viser ofte forandringer. Bakterier kan påvises i spyt. |
| Behandling | Behandling anbefales for at forhindre, at infektionen udvikler sig til aktiv sygdom. | Kræver en længerevarende kur med flere typer antibiotika for at helbrede sygdommen. |
Smitteveje og Risikofaktorer
Tuberkulose er en luftbåren smitte. Det betyder, at bakterierne spredes gennem luften fra en person med aktiv lungetuberkulose. Risikoen for smitte er størst ved tæt og langvarig kontakt i dårligt ventilerede rum. Sygdommen smitter ikke ved håndtryk, deling af mad eller ved at røre ved overflader, som en smittet person har rørt ved.

Alle kan i princippet blive smittet med tuberkulose, men visse grupper har en højere risiko for enten at blive smittet eller for at udvikle aktiv sygdom efter smitte:
Højere risiko for at blive smittet:
- Personer, der bor sammen med en person med aktiv TB.
- Sundhedspersonale, der behandler TB-patienter.
- Personer, der kommer fra eller har rejst i lande med høj forekomst af TB.
- Personer, der bor eller arbejder i tætbefolkede miljøer som fængsler, herberger eller plejehjem.
Højere risiko for at udvikle aktiv sygdom:
- Personer med et svækket immunforsvar, f.eks. på grund af HIV/AIDS.
- Personer, der modtager immunsupprimerende behandling (f.eks. efter organtransplantation eller for autoimmune sygdomme).
- Personer med kroniske sygdomme som diabetes, alvorlig nyresygdom eller visse former for kræft.
- Personer, der er svært underernærede.
- Små børn og ældre.
- Personer med et alkohol- eller stofmisbrug.
Diagnose og Undersøgelser
Processen med at diagnosticere lungetuberkulose involverer typisk flere trin. Mistanken opstår ofte på baggrund af patientens symptomer og risikofaktorer.
- Indledende screening: Dette kan være en tuberkulin-hudtest (Mantoux-test) eller en blodprøve (IGRA-test). Disse tests kan vise, om en person nogensinde har været udsat for tuberkulosebakterien, men de kan ikke skelne mellem latent infektion og aktiv sygdom.
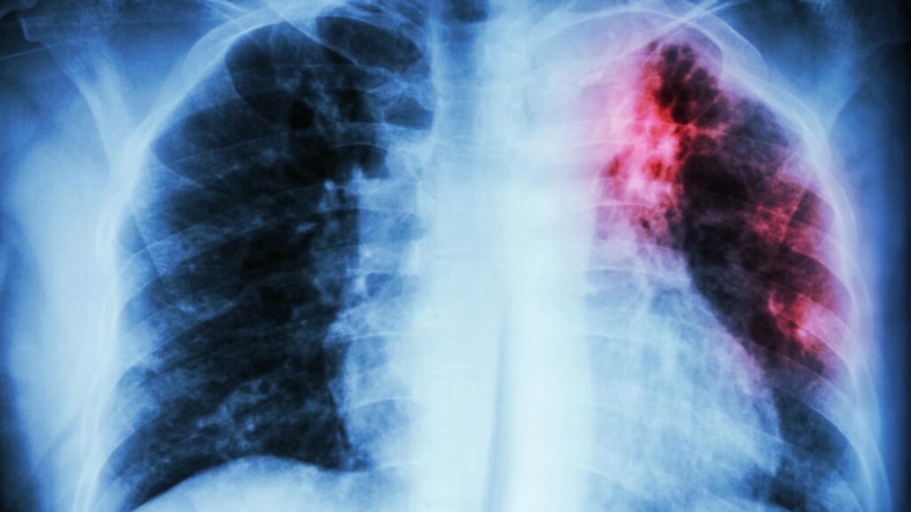
- Røntgenbillede af brystkassen: Hvis den indledende test er positiv, eller hvis der er stærk mistanke om aktiv sygdom, vil det næste skridt ofte være et røntgenbillede af brystkassen. Dette kan afsløre forandringer i lungerne, der er typiske for tuberkulose, såsom infiltrater eller kaverner (huller i lungevævet).
- Spytprøver (sputumprøver): Den endelige bekræftelse af diagnosen A15.0 kræver påvisning af selve bakterien. Patienten bliver bedt om at hoste en prøve af slim op fra lungerne. Denne prøve undersøges derefter under et mikroskop for at se efter bakterier, og der laves en dyrkning for at få bakterierne til at vokse, hvilket kan tage flere uger. Moderne molekylærbiologiske tests (som PCR) kan give et hurtigere svar.
Behandling af Lungetuberkulose
Behandlingen af aktiv lungetuberkulose er en langvarig proces, der kræver stor disciplin fra patientens side. Standardbehandlingen består af en kombination af flere forskellige typer antibiotika, som skal tages dagligt i mindst seks måneder. For latent TB er behandlingen kortere, typisk 3-4 måneder med et eller to medikamenter.
Det er ekstremt vigtigt at fuldføre hele behandlingsforløbet som ordineret af lægen. Hvis behandlingen afbrydes for tidligt, eller hvis medicinen ikke tages regelmæssigt, kan nogle af de mest modstandsdygtige bakterier overleve. Dette kan føre til, at sygdommen blusser op igen og potentielt udvikler sig til multiresistent tuberkulose (MDR-TB), som er meget sværere og dyrere at behandle.

I de første uger af behandlingen for smitsom lungetuberkulose kan det være nødvendigt for patienten at være isoleret for at forhindre spredning af sygdommen til andre. Lægen vil vurdere, hvornår patienten ikke længere er smitsom.
Ofte Stillede Spørgsmål (FAQ)
Hvad betyder ICD-10 koden A15.0?
A15.0 er en international diagnosekode, der specifikt identificerer tuberkulose i lungerne, som er blevet bekræftet ved laboratorieundersøgelser. Den bruges af sundhedssystemet til at klassificere sygdommen præcist.
Er lungetuberkulose altid smitsom?
Nej. Kun personer med aktiv tuberkulose i lungerne eller halsen er smitsomme. Personer med latent TB-infektion eller tuberkulose i andre dele af kroppen (f.eks. nyrer eller knogler) smitter ikke.

Kan man blive fuldstændig helbredt for tuberkulose?
Ja, med den rette behandling kan langt de fleste tilfælde af tuberkulose helbredes fuldstændigt. Nøglen til succes er at tage al medicinen præcis som foreskrevet og i hele den anbefalede periode.
Hvad er multiresistent tuberkulose (MDR-TB)?
MDR-TB er en form for tuberkulose, hvor bakterierne er resistente over for de to mest effektive førstelinje-antibiotika. Det opstår ofte som følge af ufuldstændig eller forkert behandling. Behandlingen af MDR-TB er meget længere (op til to år), mere kompleks og har flere bivirkninger.
Skal jeg testes for TB, hvis jeg har rejst meget?
Hvis du har haft længerevarende ophold (typisk flere måneder) i et land med høj forekomst af tuberkulose og/eller har haft tæt kontakt med lokalbefolkningen, kan det være en god idé at drøfte behovet for en test med din læge, især hvis du udvikler symptomer.
Hvis du vil læse andre artikler, der ligner Forståelse af Lungetuberkulose (ICD-10 A15.0), kan du besøge kategorien Sygdom.
