02/04/2022
Malaria er en af verdens mest kendte og frygtede tropesygdomme. Den forårsages af en lille parasit og overføres til mennesker gennem stik fra inficerede myg. Selvom sygdommen kan være livstruende, er den både mulig at forebygge og helbrede. At forstå malariaparasittens livscyklus, symptomerne den fremkalder, og hvordan man diagnosticerer og behandler infektionen, er afgørende for at bekæmpe denne globale sundhedsudfordring. Denne artikel dykker ned i alle aspekter af malaria, fra den mikroskopiske årsag til de praktiske skridt, man kan tage for at beskytte sig selv og andre.

Hvad er Malaria? En Dybdegående Forklaring
Malaria er en akut febersygdom, der udløses af parasitter af slægten Plasmodium. Når en inficeret Anopheles-myg stikker et menneske, overføres parasitterne til blodbanen. Herfra begynder en kompleks livscyklus, der involverer både leveren og de røde blodlegemer. Sygdommens symptomer opstår primært, når parasitterne formerer sig inde i de røde blodlegemer og får dem til at sprænges. Dette frigiver flere parasitter i blodbanen og udløser de karakteristiske feberanfald. Millioner af mennesker rammes hvert år, især i tropiske og subtropiske områder i Afrika, Asien og Latinamerika, hvor malariamyggen trives.
Årsagen til Malaria: Mød Parasitten
For at forstå malaria, må vi først forstå dens oprindelse. Sygdommen forårsages ikke af en virus eller en bakterie, men af en encellet parasit. Hvilket rige af parasitter forårsager malaria? Svaret er, at malariaparasitterne tilhører rækken (phylum) Apicomplexa, en stor gruppe af parasitiske protister. Inden for denne række er det slægten Plasmodium, der er den direkte årsag til sygdommen hos mennesker.
Der findes fem forskellige arter af Plasmodium-parasitten, som kan inficere mennesker:
- Plasmodium falciparum: Dette er den mest udbredte og farligste af alle malariaparasitterne, især i Afrika. Den er ansvarlig for de fleste dødsfald relateret til malaria, da den kan føre til alvorlige komplikationer som cerebral malaria og multiorgansvigt.
- Plasmodium vivax: Denne art er den mest udbredte uden for Afrika. Den forårsager typisk en mindre alvorlig sygdom end P. falciparum, men den har en unik evne til at danne hvilende stadier i leveren (hypnozoitter), som kan reaktiveres måneder eller endda år efter den oprindelige infektion og forårsage tilbagefald.
- Plasmodium ovale: Ligner P. vivax og kan også danne hvilende stadier i leveren. Den er mindre almindelig og findes primært i Vestafrika.
- Plasmodium malariae: Forårsager en mildere, men ofte mere kronisk form for malaria. Infektionen kan vare i årtier, hvis den ikke behandles korrekt.
- Plasmodium knowlesi: Er primært en parasit, der inficerer aber i Sydøstasien, men den kan også smitte mennesker og forårsage en potentielt alvorlig sygdom med en hurtig udvikling.
Parasittens Komplekse Livscyklus
Parasittens livscyklus er todelt og kræver både en myg (vektor) og et menneske (vært). Når en myg stikker, sprøjtes parasitter i sporozoit-stadiet ind i blodet. De rejser til leveren, hvor de modnes og formerer sig. Efter en periode brister levercellerne og frigiver tusindvis af nye parasitter (merozoitter) til blodbanen. Disse merozoitter invaderer de røde blodlegemer, hvor de fortsætter med at formere sig, indtil blodlegemerne sprænges. Det er denne cyklus i blodet, der forårsager symptomerne. Nogle parasitter udvikler sig til kønsceller (gametocytter), som kan optages af en ny myg, når den stikker. Inde i myggen sker den seksuelle formering, og nye sporozoitter dannes, klar til at inficere det næste menneske.
Symptomer på Malaria: Hvad Skal Man Være Opmærksom På?
Symptomerne på malaria viser sig typisk 10-15 dage efter myggestikket. De tidlige symptomer kan være milde og let forveksles med andre sygdomme som influenza. Det er afgørende at søge lægehjælp hurtigt, hvis man har været i et malariaområde og oplever symptomer.
De mest almindelige symptomer inkluderer:
- Feber: Høj, ofte cyklisk feber er det mest klassiske tegn.
- Kulderystelser: Intense kulderystelser, der får kroppen til at ryste.
- Hovedpine: Kraftig og vedvarende hovedpine.
- Svedeture: Efter febertoppen oplever patienten ofte voldsomme svedeture.
- Muskelsmerter og træthed: Generel utilpashed og en følelse af at være udmattet.
- Kvalme, opkast og diarré: Disse symptomer kan også forekomme.
Hvis malaria forårsaget af P. falciparum ikke behandles hurtigt, kan den udvikle sig til alvorlig malaria, som er en medicinsk nødsituation. Symptomer på alvorlig malaria kan omfatte kramper, bevidsthedsforstyrrelser, svær blodmangel (anæmi), åndedrætsbesvær og nyresvigt.
Diagnose: Hvordan Stilles Diagnosen?
En præcis og hurtig diagnose er essentiel for en effektiv behandling af malaria. Enhver person med feber, der har opholdt sig i et malaria-endemisk område, bør mistænkes for at have malaria, indtil det modsatte er bevist. Diagnosen bekræftes ved at påvise parasitter i en blodprøve.
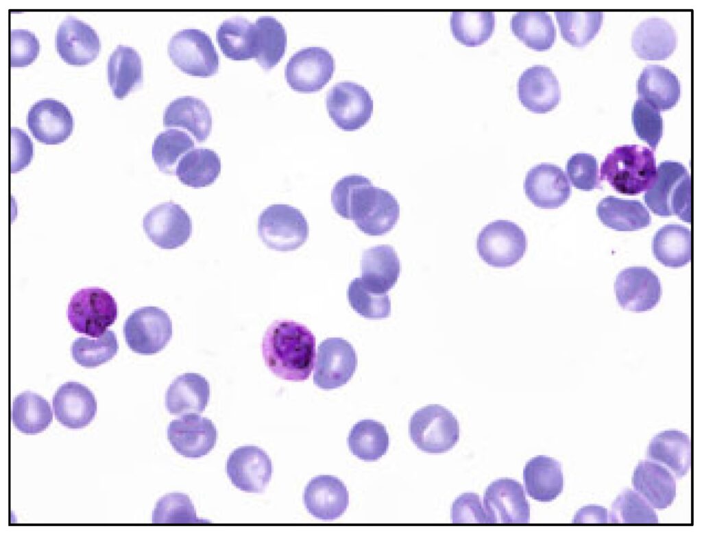
Mikroskopi af Blodudstryg
Den gyldne standard for malariadiagnose er mikroskopisk undersøgelse af et blodudstryg. Der laves typisk to typer præparater:
- Tykt blodudstryg: En tyk dråbe blod smøres ud på et objektglas. Dette gør det muligt at undersøge en større mængde blod og er derfor mere følsomt til at opdage tilstedeværelsen af parasitter, selv ved lav koncentration.
- Tydt blodudstryg: En enkelt dråbe blod trækkes ud i et tyndt lag. Dette præparat giver bedre mulighed for at vurdere parasitternes morfologi og dermed identificere den specifikke Plasmodium-art.
Når en blodprøve analyseres, tælles de aseksuelle former af parasitten (trofozoitter og schizonter) for at bestemme parasitæmien (tætheden af parasitter i blodet). De seksuelle former (gametocytter) tælles ikke med i denne vurdering, men deres tilstedeværelse rapporteres, da de er vigtige for smittespredningen. Denne detaljerede analyse er afgørende for at vurdere sygdommens sværhedsgrad og vælge den rette behandling.

Hurtigtests (Rapid Diagnostic Tests - RDTs)
Som et alternativ til mikroskopi findes der hurtigtests, der kan give svar inden for 15-20 minutter. Disse tests fungerer ved at påvise specifikke antigener (proteiner), som produceres af malariaparasitterne, i en dråbe blod. De er særligt nyttige i fjerntliggende områder, hvor adgangen til kvalificeret mikroskopi er begrænset.
Sammenligning af Diagnosemetoder
| Metode | Fordele | Ulemper |
|---|---|---|
| Mikroskopi | Kan identificere arten Kan kvantificere parasitæmien Høj følsomhed ved trænet personale Billig i drift | Kræver trænet personale og udstyr Tidskrævende Mindre pålidelig ved lav parasitæmi |
| Hurtigtest (RDT) | Hurtigt resultat (15-20 min) Let at anvende uden specialtræning Kræver ikke elektricitet | Kan ikke kvantificere parasitæmien Kan give falsk positive/negative resultater Varierende følsomhed mellem produkter |
Forebyggelse: Nøglen til at Bekæmpe Malaria
Da der endnu ikke findes en fuldt effektiv vaccine, der er tilgængelig for alle, er forebyggelse fortsat den vigtigste strategi i kampen mod malaria. Forebyggelse fokuserer primært på at undgå myggestik og i nogle tilfælde at tage forebyggende medicin.
Beskyttelse mod Myggestik
- Myggenet: Sov under et imprægneret myggenet (Insecticide-Treated Nets - ITNs). Det skaber en fysisk barriere og dræber de myg, der kommer i kontakt med nettet.
- Myggespray: Brug myggemidler, der indeholder DEET, på udsatte hudområder.
- Tøj: Bær langærmede trøjer og lange bukser, især efter mørkets frembrud, hvor malariamyggen er mest aktiv.
- Indendørs sprøjtning: I mange højrisikoområder sprøjtes indersiden af huse med insekticider (Indoor Residual Spraying - IRS) for at dræbe myg, der hviler på væggene.
Medicinsk Forebyggelse (Kemoprofylakse)
Rejsende til malariaområder anbefales ofte at tage forebyggende malariamedicin. Valget af medicin afhænger af rejsemålet, rejsens varighed og den rejsendes helbredstilstand. Det er vigtigt at konsultere en læge i god tid inden afrejse for at få den rette vejledning og recept.
Ofte Stillede Spørgsmål (FAQ)
Hvilket rige af parasitter forårsager malaria?
Malariaparasitter tilhører rækken Apicomplexa, som er en del af protistriget. Den specifikke slægt, der forårsager sygdommen hos mennesker, er Plasmodium.
Kan malaria smitte direkte fra person til person?
Nej, malaria smitter normalt ikke direkte mellem mennesker. Overførslen sker næsten udelukkende via stik fra en inficeret Anopheles-myg. I meget sjældne tilfælde kan smitte ske gennem blodtransfusion, organtransplantation eller fra mor til barn under graviditeten.
Findes der en vaccine mod malaria?
Ja, der er gjort store fremskridt inden for vaccineudvikling. Den første malariavaccine, RTS,S/AS01 (handelsnavn Mosquirix), er blevet anbefalet af WHO til børn i områder med høj smitterisiko. Flere andre vacciner er under udvikling. Vaccinerne er et vigtigt supplement, men de erstatter ikke de øvrige forebyggende foranstaltninger som myggenet og myggespray.
Er malaria altid dødelig?
Nej, heldigvis ikke. Med hurtig diagnose og korrekt behandling kan de fleste tilfælde af malaria helbredes fuldstændigt. Ubehandlet malaria, især den forårsaget af P. falciparum, kan dog hurtigt blive alvorlig og potentielt dødelig.
Hvis du vil læse andre artikler, der ligner Malaria: Alt om Parasitten og Sygdommen, kan du besøge kategorien Sygdomme.
